Search Dental Tribune

Abordaje mínimamente invasivo en ortodoncia

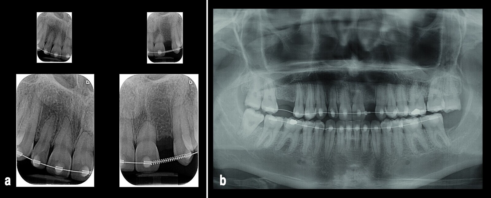
Figura 1. Radiografías iniciales. En la panorámica general (a) y en la imagen más detallada en 3D (b) se observa microdoncia aislada en el diente 22 e infraoclusión en el diente 23 respecto a su posición ideal y acortamiento radicular por trauma.
Joaquín Ariza Olaya

Joaquín Ariza Olaya

Juan Carlos Támara Motta

Juan Carlos Támara Motta

lun. 29 mayo 2023

guardar

El estilo de vida actual y los rápidos avances tecnológicos hacen que los pacientes busquen opciones de tratamiento distintas a las ya conocidas para solucionar sus problemas dentales. Esta revolución tecnológica lleva al profesional de la odontología a reinventarse y repensar cómo realizar tratamientos más efectivos para el paciente.

La digitalización de muchos procesos, como el registro de modelos dentales con un escáner intraoral o la odontología robótica son algunos ejemplos. En campos como la ortodoncia, esto ha llevado a la creación de sistemas que reemplazan a los brackets, como los alineadores dentales o los mini tubos Flowjac System.

El tratamiento de ortodoncia con estos mini tubos brinda una alternativa que tiene ventajas estéticas e higiénicas y que es más cómodo que los brackets. El sistema se basa en la mínima invasión de la cavidad oral, ya que utiliza aparatos de tamaño reducido (mini tubos) que se usan como punto de apoyo para realizar el movimiento dental, logrando resultados de forma más agradable, cómoda y efectiva que otros sistemas de ortodoncia. Esto aporta una relevancia clínica considerable, que convierte a Flowjac System en una alternativa a tener en cuenta en nuestra práctica diaria1,2.

Caso clínico

Se presenta el caso clínico de un paciente femenino de 28 años que describió como sigue el motivo de su consulta: “Quiero una ortodoncia muy estética y sé que mi caso es complejo”.

Diagnóstico general

Paciente sin antecedentes sistémicos relevantes con maloclusión de clase II, mordida profunda anterior, diastema en dientes anteriores superiores con microdoncia aislada en el diente 22 (incisivo superior lateral izquierdo), forma cónica y movilidad dental3. El diente 23 presentaba infraoclusión con relación vestibular y mesial a su posición ideal. Al análisis radiográfico presentó acortamiento radicular por trauma oclusal a nivel de los incisivos superiores. En el arco inferior tenía una profundidad moderada de la curva de Spee, apiñamiento dental moderado y diente 38 impactado horizontal (Fig. 1).

Figura 1. Radiografías iniciales. En la panorámica general (a) y en la imagen más detallada en 3D (b) se observa microdoncia aislada en el diente 22 e infraoclusión en el diente 23 respecto a su posición ideal y acortamiento radicular por trauma.

Objetivos de tratamiento

Después del diagnóstico se decide realizar un abordaje mínimamente invasivo utilizando el sistema de mini tubos Flowjac para ortodoncia4, con corrección de la maloclusión y de la mordida profunda para mejorar el overbite, la alineación y nivelación de los arcos dentarios, el apiñamiento, los diastemas y la curva de Spee. Se planifica la exodoncia de los dientes 22 y 38, tracción del diente 23 y creación del espacio para la posterior rehabilitación de diente 22 (Fig. 2).

Figura 2. Exodoncia del diente 22, que presentó microdoncia aislada.

Plan de tratamiento

Fase de ambientación y preparación, higiene oral y exodoncias de los dientes 22 y 38.

Fase inicial

Se decidió iniciar el tratamiento en el maxilar superior realizando mecánicas seccionadas con el fin de evitar las fuerzas indeseadas reactivas en los dientes que presentaban acortamiento radicular, sobre todo en los incisivos centrales superiores5. Se diseñó un arco seccional con alambre calibre 0.016 (Special-Plus-Grade A.J. Wilcock), basado en la acción de un cantiléver en ortodoncia6 (Fig. 3).

Figura 3. Tres ángulos del arco cantiléver seccional de alambre (a, b, c), que se diseñó para evitar fuerzas reactivas en los dientes con acortamiento radicular.

Para disminuir el trauma oclusal sobre los incisivos superiores se suele usar dispositivos tipo bite turbo o topes cementados sobre los dientes superiores caninos o centrales en la superficie palatina, Pero debido a la inadecuada nivelación de los caninos, no era ideal para dichos topes y colocarlos sobre los incisivos aumentaría la carga oclusal. Por esta razón, se decide usar un plano de mordida anterior removible con diente temporal a nivel del 22 para mejorar la estética del sector anterior (Fig. 4).

Figura 4. Fase de nivelación, vista desde tres perspectivas distintas (a, b, c), donde se usó un plano de mordida anterior removible con diente temporal a nivel del 22 (d) para mejorar la estética del sector anterior.

Fase intermedia

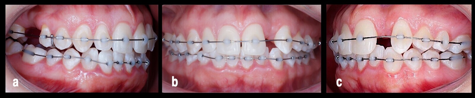
Una vez conseguida la adecuada nivelación con corrección de la sobremordida, se procedió al tratamiento del arco inferior. Esta estrategia está dirigida a ofrecer la mínima invasión posible para el paciente, logrando la corrección por fases de tratamiento guiadas en lograr los objetivos del diagnóstico inicial (Fig. 5).

Figura 5. El tratamiento del arco inferior, después de conseguir una adecuada nivelación y corrección de la sobremordida en el arco superior desde tres vistas (a, b, c).

Los dientes con acortamiento radicular pueden ser sometidos a terapia de ortodoncia teniendo en cuenta indicaciones y precauciones precisas, así como realizando un control radiográfico de los mismos para su evaluación durante el tratamiento. En las radiografías de control ya se puede observar una mejoría en el paralelismo radicular (Fig. 6).

Figura 6. Los dientes con acortamiento radicular pueden ser tratados efectivamente (a), como demuestra el control radiográfico de progreso del tratamiento (b).

Fase final

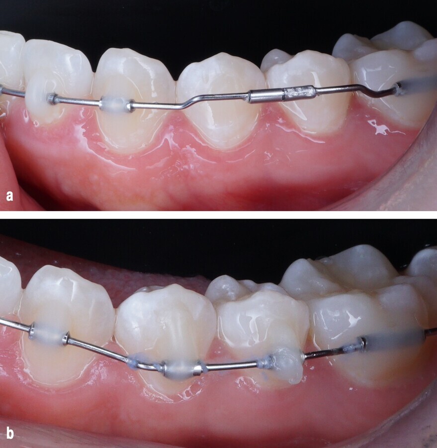
El desarrollo de tratamiento permite apreciar una mejoría en la alineación y nivelación dental, por lo cual pasamos a la última fase del tratamiento. En esta fase se pretende mejorar la nivelación del arco inferior. Para la corrección de la curva de Spee (Fig. 7), se realizaron dobleces en el arco hacia vestibular y oclusal, logrando una extrusión de los premolares inferiores sin el efecto indeseado de inclinación en sentido lingual (Fig. 8).

Figura 7. La nivelación de la curva de Spee, vista desde tres ángulos diferentes (a, b, c), resulta en una mejoría en la alineación y nivelación dental.

Figura 8. Doblez extrusivo (a) y compensatorio vestibular (b) en premolares inferiores del lado izquierdo.

Logrados los objetivos de tratamiento se refiere el caso para estudio de rehabilitación oral con el fin de valorar el diámetro mesodistal del diente 22 previo al retiro de la aparatología. Después de comprobar que se tenía el espacio ideal para su posterior rehabilitación se finaliza el tratamiento con resultados aceptables, que solucionaron el motivo de la consulta de la paciente (Fig. 9).

Figura 9. El sistema de ortodoncia utilizado logró el espacio ideal para la posterior rehabilitación oral del diente 22 que se muestra en tres vistas (a, b, c). El tratamiento se finalizó con resultados aceptables con uso del retenedor, como se puede observar en tres proyecciones (d, e, f), tal como quería la paciente.

Conclusión

Flowjac System puede ser una alternativa de tratamiento en pacientes que buscan una ortodoncia más estética, higiénica y confortable, así como también para el ortodoncista que quiere utilizar fuerzas bajas con biomecánicas encaminadas a la mínima invasión de la cavidad oral. Independientemente de la complejidad del caso o del tipo de maloclusión que se pretende solucionar, este sistema logra resultados predecibles y objetivos de tratamiento que toman en cuenta en el bienestar del paciente durante todo el curso del tratamiento.

______________________________________________________________________________________________________________________________

Autores

El doctor Juan Carlos Támara Motta es Docente en la Pontificia Universidad Javeriana de Bogotá, Colombia. Email: juancarlostamara@gmail.com

El doctor Joaquín Ariza Olaya es Docente en la Universidad el Valle, UNICIEO, Bogotá, Colombia.

______________________________________________________________________________________________________________________________

Bibliografía

  1. Plaza SP, Tamara JC, Ariza JT, Vergara SE. Assessment of threedimensional changes after orthodontic treatment of low-complexity cases, using self-ligating brackets, conventional brackets or bracketless fixed system. Clin Orthod. 2022; 21(4):79-91.
  2. Ariza J. Revolucionando el movimiento dental. DT latín America No 2, 2022: 8-10.
  3. Chi AC, Neville BW, Damm DD, Allen CM. Oral and maxillofacial pathology - e-book. 2015:234-240.
  4. Ariza J.(2020). Orthodontic system and method of use. (Patente EE UU No.10675128B2). Oficina de Patentes y Marcas Registradas de Estados Unidos.
  5. Valladares Neto J, Rino Neto J, Paiva JB. Orthodontic movement of teeth with short root anomaly: Should it be avoided, faced or ignored? Dental Press J Orthod. 2013(6):72-85.
  6. Bilinska M, Kristensen KD, Dalstra M. Cantilevers: Multi-Tool in Orthodontic Treatment. J. 2022;10:135
To post a reply please login or register
advertisement
advertisement