Search Dental Tribune

Decisiones clínicas en restauraciones directas

Imágenes inicial (A), radiográfica (B) y final (C) del diente 46 de una paciente de 7 años con sensibilidad dentinaria, que se restauró utilizando el material estético de fraguado rápido EQUIA Forte fil, y la resina compuesta everX Flow. Estos materiales utilizan la nueva tecnología de vidrio híbrido y actúan de forma sinérgica para formar un material más fuerte de colocación en bloque.
Eraldo Pesaressi Torres 

Eraldo Pesaressi Torres 

lun. 24 abril 2023

guardar

El objetivo de este artículo es describir las propiedades de nuevos materiales restauradores que amplían las indicaciones en lesiones de caries en abordajes directos, utilizando vidros híbridos y resinas reforzadas por fibras cortas como sustituto dentinario, las cuales remineralizan el sustrato y disminuyen el riesgo de ulteriores lesiones de caries marginal.

 

La Convención de Minamata para el cuidado del medio ambiente exhorta a la profesión odontológica a promover la salud oral, disminuyendo la necesidad de cuidados restauradores, y, cuando sea necesario, optar por materiales alternativos a la amalgama dental. Recientes avances y consensos en cariología apuntan al diagnóstico del riesgo de caries y detección de lesiones en estadios que puedan ser controladas sin la necesidad de un acto operatorio.

La interpretación de la caries dental como una enfermedad no-transmisible, biofilm-azúcar dependiente, permite cambiar el enfoque del tratamiento hacia una modulación de hábitos del paciente con el objetivo de postergar la primera intervención operatoria todo lo que sea posible. Sin embargo, cuando exista la sospecha de una lesión que radiográficamente alcance al tercio medio de la dentina, se requerirá un abordaje restaurador. La pregunta que nos formularnos entonces es: ¿en qué momento se debe intervenir operatoriamente el proceso de caries?

Las consideraciones a tener en cuenta antes de realizar una intervención son: tamaño y etiología de una lesión, estética, número de dientes afectados, consideraciones periodontales, endodónticas y oclusales.

La toma de decisiones clínicas en relación con las técnicas de limpieza de una lesión de caries y los materiales restauradores idóneos para cada caso pueden ser determinados por criterios como los siguientes: tamaño y etiología de una lesión, estética, número de dientes afectados, consideraciones periodontales, endodónticas y oclusales.

En el caso de lesiones de caries o pérdidas estructurales (clase I, III, IV y V), la gran mayoría de casos pueden resolverse de manera directa utilizando materiales restauradores como la resina compuesta. En casos donde el riesgo de caries sea alto o de proximidad pulpar, un material bioactivo como un ionómero de vidrio podría ser más recomendable, especialmente en dientes permanentes jóvenes, donde sería ideal promover la remineralización extrínseca. El objetivo del presente artículo es describir las propiedades de nuevos materiales restauradores que amplíen las indicaciones para abordajes restauradores directos: los vidros híbridos y resinas reforzadas por fibras como sustituto dentinario.

La innovación en ionómeros de vidrio ha logrado incorporar partículas vítreas (silicatos) de menor tamaño y mayor reactividad, así como la adición de ácido poliacrílico de mayor peso molecular en una presentación encapsulada (EQUIA Forte Fil, GC Corporation). Esta nueva tecnología permite mejorar considerablemente las propiedades mecánicas debido a la aceleración de la formación de la matriz, conformando una categoría diferencial en este tipo de productos que se han denominado ‘vidrios híbridos’ por su tecnología diferenciada.

Adicionalmente, la presentación encapsulada reduce el riesgo del denominado ‘factor operador’ durante la mezcla y aplicación dentro de la cavidad, haciéndola consistente para el usuario. Además, al aplicar un recubrimiento de resina de nano-relleno uniformemente disperso (EQUIA Forte Coat, GC Corporation), las propiedades del material logran su máximo potencial de resistencia a la flexión y micro-dureza al proteger la superficie del material durante los primeros minutos de fraguado, durante los cuales existe un gran riesgo de ganancia y pérdida de agua.

Los procedimientos clínicos con estos materiales detienen o desaceleran el ciclo restaurador repetitivo, lo cual nos permite brindar los más altos estándares de salud y satisfacción a nuestros pacientes.  

Esta nueva tecnología adopta algunas de las propiedades esenciales de los ionómeros convencionales, como la adhesión química (mediante la formación de enlaces químicos entre los radicales carboxilos y el calcio de la estructura dental), y la liberación de iones, como el estroncio y el flúor, que contribuyen en la remineralización del sustrato y la disminución del riesgo de ulteriores lesiones de caries marginal, respectivamente. Al tratarse de un material biocompatible y que pierde su acidez con el paso de algunos minutos, no se requiere del uso de una base cavitaria mientras exista al menos 0.5 mm de remanente dentinario que separe la restauración de la cámara pulpar.

Cuando existan casos de dientes con lesiones extensas, con pérdida de varias cúspides o tratamiento de conductos, se suele optar por alternativas indirectas, ya sea en resina de laboratorio o en materiales cerámicos. Los dientes con restauraciones amplias o tratados endodónticamente, se consideran de mayor riesgo a fractura por su pérdida de elasticidad dentinaria, pérdida de elementos de soporte estructural (puentes adamantinos, crestas marginales, techo de cámara pulpar) y menor contenido de agua. Sin embargo, los materiales restauradores adhesivos permiten utilizar abordajes mínimamente invasivos que preserven la mayor cantidad de remanente dentario para así mejorar el desempeño a largo plazo de los dientes restaurados. Algunos indicadores como la profundidad de la cavidad, el ancho del istmo y la configuración cavitaria son factores muy críticos para determinar la reducción de la rigidez dentaria y el potencial riesgo de fractura. En casos de dientes tratados endodónticamente, los elementos intrarradiculares han demostrado no ser esenciales para garantizar la retención del material restaurador, e incluso están asociados con mayores tasas de fallas catastróficas (aquellas que comprometen la integridad dental sin posibilidad de repararse). Actualmente, existen nuevas alternativas adhesivas aditivas que permiten extender la vida de los dientes con grandes compromisos estructurales o tratados endodónticamente, y controlar el factor desfavorable del estrés de contracción de polimerización.

Innovaciones como el uso de fibras trenzadas de polietileno se han propuesto como un sustituto dentinario; sin embargo, son sensibles a la técnica y habilidad del operador. Y a pesar de estar presentes en el mercado por más de una década, no poseen suficiente evidencia clínica longitudinal que los respalde. Recientemente, se han lanzado al mercado latinoamericano un material a base de resina reforzadas con fibras discontinuas o cortas (EverX, GC Corporation) diseñados para usarse como material de restauración que soporte tensión y que supere la tenacidad de los materiales resinosos directos, especialmente en casos de grandes cavidades de dientes posteriores vitales y no vitales. Este material consiste en una combinación de una matriz de resina, fibras de vidrio E orientadas aleatoriamente y rellenos de partículas inorgánicas, que brindan excelentes propiedades de unión y mejoran la cohesión de la matriz polimérica. La resina reforzada por fibras cortas ha demostrado una tenacidad a la fractura (2,4 MPa), resistencia a la flexión (124 MPa) y módulo de flexión (12,6 GPa), significativamente mayores que todos los demás materiales de resina comparables como sustitutos dentinarios o de reconstrucción de núcleos. El efecto de refuerzo de los rellenos de fibra yace en la transferencia de tensión de la matriz polimérica a las fibras, al igual que en el comportamiento de las fibras cortas individuales como amortiguadores de la tensión de polimerización, fisuras o cracks.

Revisiones sistemáticas han señalado que el éxito del uso de materiales restauradores directos depende en gran medida del factor operador; por lo tanto, los materiales que requieran menos pasos o sean más sencillos de aplicar presentan ventajas de reproducibilidad y, sobre todo, extienden la sobrevida de los dientes tratados.

A continuación se presentan dos casos clínicos donde se aplican materiales a base de vidrios híbridos en un diente permanente joven con una lesión de caries primaria; en el segundo caso se utiliza resina reforzada por fibra como sustituto dentinario en un diente tratado endodónticamente.

La Tabla 1 describe una serie de criterios que sirven en la toma de decisiones y aplicación de cada uno de estos materiales.

Tabla 1. Indicaciones clínicas para materiales a base de vidrio híbrido (EQUIA Forte fil) y resinas reforzadas por fibra como sustituto dentinario (EverX) combinado con una resina compuesta como sustituto de esmalte. 
Criterio de evaluación EQUIA Forte fil EverX
Tipo de lesión Lesión de caries primaria o secundaria en diente vital que no comprometan más de dos superficies

 

Lesión de caries o pérdida estructural en dientes con hipomineralización de molares e incisivos (HMI)

 

Lesiones cervicales no cariosas, lesiones de caries en dentina radicular y lesiones por erosión en áreas en donde no exista carga oclusal

 Fracaso de restauración previa o lesión de caries/fractura extensa

 

 

Sustituto dentinario en dientes anteriores afectados por erosión dental moderada o severa (por ejemplo, reflujo gastro-esofágico), en superficies sometidas a carga oclusal

Riesgo de caries Recomendable para pacientes con riesgo de caries alto o moderado Recomendable para pacientes con riesgo de caries bajo o moderado
Tratamiento del sustrato En lesiones de caries: limpieza de la lesión mediante remoción selectiva de tejido cariado

 

 

 

No se requiere un condicionamiento previo con ácido poliacrílico, ni uso de agentes como clorhexidina o hipoclorito de sodio

Redondeado de márgenes en esmalte (optimización de exposición de prismas del esmalte), limpieza de la dentina con instrumentos rotatorios o manuales y arenado de la superficie de esmalte y dentina (opcional)

 

De utilizar un sistema adhesivo universal o de tipo total etch: condicionamiento de esmalte y dentina por 15 segundos, lavado y secado y aplicación del adhesivo frotando enérgicamente en dentina y suavemente en esmalte, evaporar solventes con aire y fotopolimerizar por 40 segundos (una capa de resina fluida sería recomendable como resin coating)

 

De utilizar un sistema adhesivo self-etch: condicionamiento selectivo del esmalte por 15 segundos, lavado y secado y aplicación del primer (paso 1) de manera enérgica en dentina, evaporar solventes con aire y luego aplicar el bonding (Paso 2) sobre esmalte y dentina, fotopolimerizar por 40 segundos (la aplicación de resin coating es opcional)

 

Edad del paciente Idóneo para pacientes pediátricos (ambas denticiones), niños y adultos mayores Pacientes de cualquier edad
Estado de salud pulpar Dientes vitales incluso con pulpitis reversible Dientes vitales y no vitales
Tipo de aislamiento Relativo Absoluto
Tipo de curado Químico*

Foto-polimerizable**

Foto-polimerizable
Técnica de aplicación Un solo incremento Incrementos no mayores a 2mm
Acabado Uso de instrumentos manuales para esculpir y remover excesos (Carver)

 

Aplicación de EQUIA Forte Coat que se polimeriza por 20 segundos para protección y brillo del material

Debido a la naturaleza del material, se requiere una capa de resina que lo recubra. Materiales a base de fibra no deben ser expuestos al medio bucal ni pulirse porque este último proceso incrementa su aspereza superficial, facilitando la adhesión del biofilm

*EQUIA Forte Fil es un material de curado químico.

**Equia Forte Coat es un material protector superficial que requiere fotopolimerización.

Caso A

Paciente femenina de 7 años de edad se presenta en el consultorio por manifestar sensibilidad en el cuarto cuadrante al consumir bebidas o alimentos fríos.

Fig. 1. El diente 46 presenta una sombra subyacente en la dentina apreciada desde oclusal.

Al realizar el examen clínico, el diente 46 presenta una sombra subyacente en la dentina apreciada desde oclusal (Fig. 1), que al manejar el sistema internacional de detección y valoración de caries dental se considera una lesión ICDAS 4 (sombra subyacente en la dentina con esmalte aparentemente intacto). El examen radiográfico, con una exposición de aleta de mordida, evidencia una imagen radiolúcida que alcanza al tercio medio de la dentina (Fig. 2).

Fig. 2. El examen radiográfico evidencia una imagen radiolúcida que alcanza al tercio medio de la dentina.

Por la severidad de la lesión, sin una cavidad evidente, se decide realizar una remoción de esmalte con alta rotación utilizando fresas diamantadas con la finalidad de acceder a la dentina cariada con instrumentos manuales, complementados con un agente enzimático a base de papaína (Papacarie Duo, Formula & Ação) (Fig. 3).

Fig. 3. La remoción de esmalte con fresas diamantadas para acceder a la dentina cariada con instrumentos manuales se complementó con la aplicación de un agente enzimático a base de papaína.

Antes de proceder con la limpieza de la cavidad, se toma una impresión de la anatomía con un material de barrera gingival (Gingival Barrier, SDI Ltd.) fijado en un micro-aplicador (Fig. 4), de forma que se pueda copiar la anatomía existente mediante la técnica del estampado oclusal (Fig. 5). Tras realizar la apertura de la cavidad (Fig. 6) se inicia la remoción selectiva del tejido cariado con una estrategia químico-mecánica (Fig. 7) hasta llegar a DENTINA FIRME en la base y dura en la periferia de la cavidad (Fig. 8) bajo aislamiento relativo utilizando Optragate (Ivoclar Vivadent) y rollos de algodón, se procede a aplicar el material restaurador EQUIA Forte fil (Fig. 9).

Fig. 4. Toma de impresión de la anatomía con un material de barrera gingival fijado en un micro-aplicador antes de proceder a la limpieza de la cavidad.

Fig. 5. Copia de la anatomía existente mediante la técnica del estampado oclusal.

Fig. 6. Apertura de la cavidad en el diente 46.

Fig. 7. Remoción selectiva del tejido cariado con una estrategia químico-mecánica hasta llegar a dentina firme.

Fig. 8. Acceso a dentina firme en la base y dura en la periferia de la cavidad bajo aislamiento relativo utilizando Optragate y rollos de algodón.

Fig. 9. Se procede a aplicar el material restaurador EQUIA Forte fil.

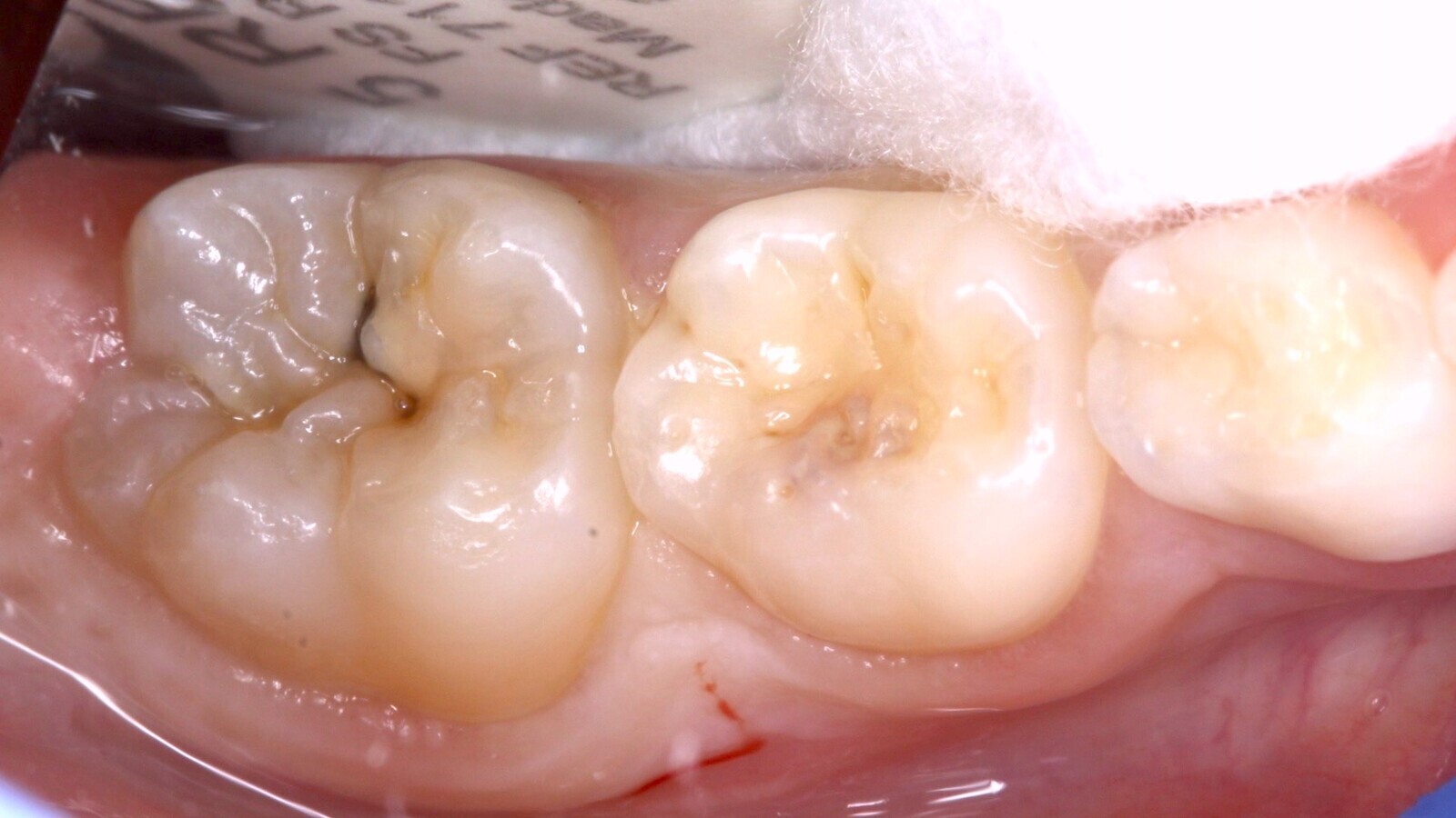
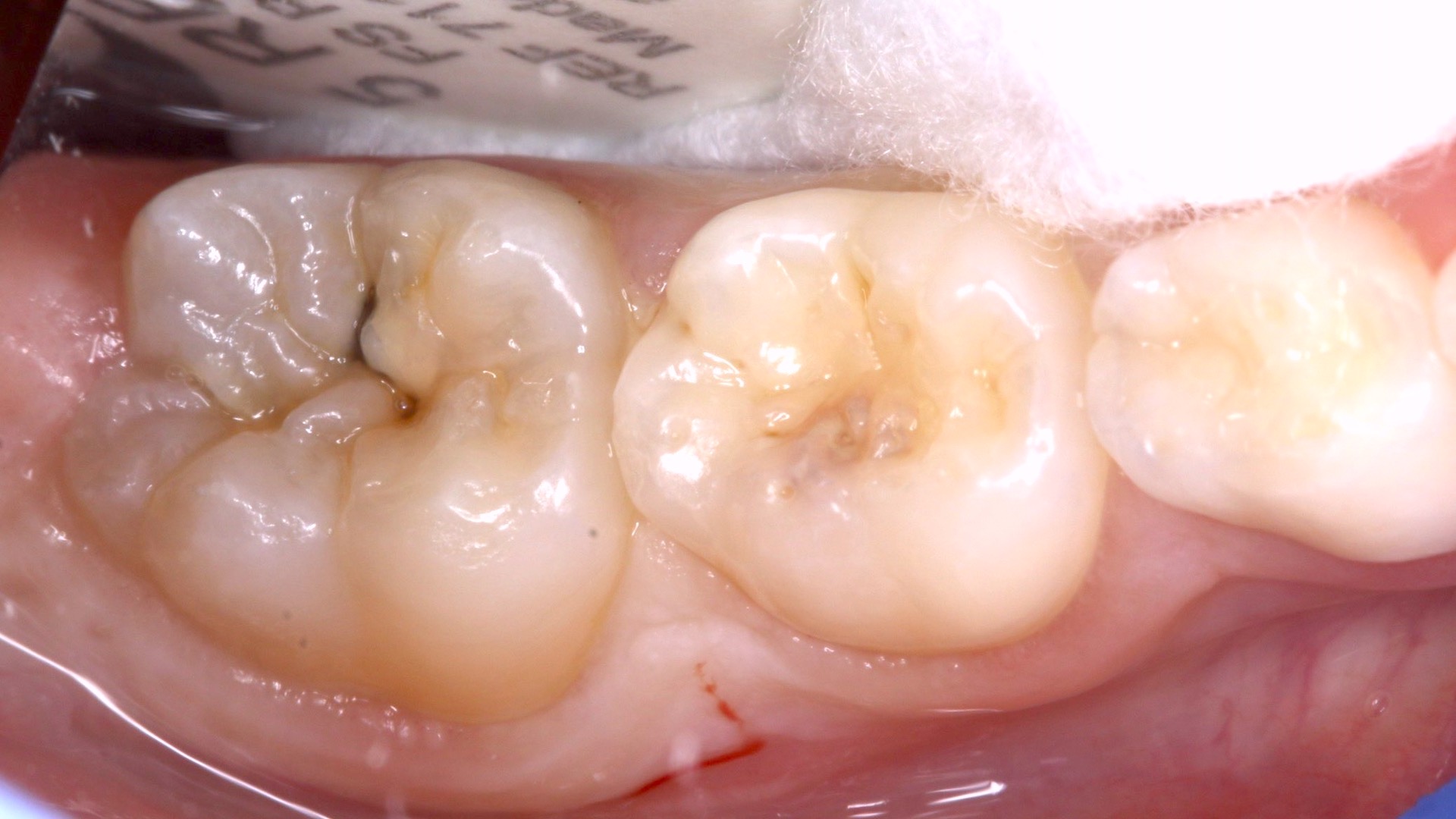
El material se extruye dentro la cavidad luego de realizar la mezcla durante 10 segundos y colocando la cápsula en un dispensador (Fig. 10) que permite aplicar el material desde el piso hasta los márgenes de la cavidad en un solo incremento. Inmediatamente, tras haber aplicado vaselina líquida con un pincel sobre la impresión oclusal, se procede al estampado. Posteriormente al fraguado inicial (2 - 3 minutos), se retira la copia oclusal y se eliminan los excesos que se extruyeron hacia los lados utilizando un instrumento manual (Carver, LM Arte) (Fig. 11). Se remueven los restos de vaselina y se aplica el EQUIA Forte Coat sobre la superficie del material para luego polimerizar durante 20 segundos (Fig. 12). Se realiza el control de oclusión y se da de alta a la paciente con la recomendación de evitar consumir alimentos duros por las próximas horas (Fig. 13).

Fig. 10. El dispensador permite aplicar el material restaurador desde el piso hasta los márgenes de la cavidad en un solo incremento.

Fig. 11. Utilizando un instrumento manual se retira la copia oclusal y se eliminan los excesos que se extruyeron hacia los lados.

Fig. 12. Se remueven los restos de vaselina y se aplica el EQUIA Forte Coat sobre la superficie del material para luego polimerizar durante 20 segundos.

Fig. 13. Se realiza el control de oclusión y se da de alta a la paciente con la recomendación de evitar consumir alimentos en las próximas horas.

Caso B

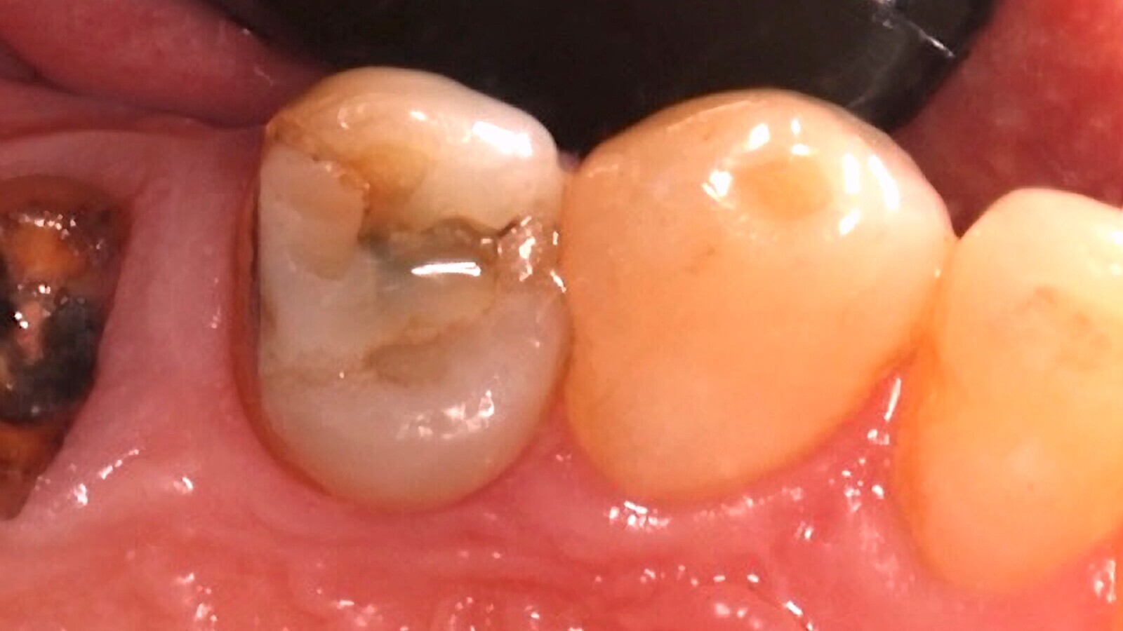
Paciente femenina de 64 años de edad se presenta al consultorio con una lesión de caries secundaria alrededor de una restauración con resina en las superficies oclusal y distal en un diente tratado endodónticamente (Fig. 14): el primer premolar superior izquierdo (diente 24).

Fig. 14. Caries secundaria alrededor de una restauración con resina en las superficies oclusal y distal en un diente tratado endodónticamente (primer premolar superior izquierdo, diente 24).

Fig. 15. Se sugiere cambiar por una nueva restauración directa en resina compuesta everX Flow.

Fig. 16. Remoción de la restauración con aislamiento absoluto utilizando un dique de hule y preservando la estructura dental remanente.

Fig. 17. Se limpian los márgenes de la preparación con fresas multilaminadas a alta velocidad e instrumentos manuales, en esmalte y dentina. Luego se realiza un arenado con partículas de óxido de aluminio.

Por la lesión secundaria y por el mal estado en el que se encuentra la restauración, se sugiere realizar un recambio por una nueva restauración directa en resina compuesta utilizando EverX Flow (GC Corp.) como sustituto dentinario (Fig. 15). Se procede a la remoción de la restauración con aislamiento absoluto utilizando un dique de hule y preservando la estructura dental remanente (Fig. 16). Se procede a limpiar los márgenes de la preparación con fresas multilaminadas en alta velocidad e instrumentos manuales, en esmalte y dentina. Se realiza un arenado con partículas de óxido de aluminio de 30 µm a 2 bares de presión (Fig. 17) y luego se procede con un grabado ácido selectivo en los márgenes de esmalte durante 15 segundos. Inmediatamente después de lavar profusamente y retirar el exceso de agua, se aplica un sistema adhesivo (Solare Universal Bond, GC Corp.) sobre toda la cavidad (Fig. 18), frotando enérgicamente en dentina y con gentileza sobre los márgenes de esmalte durante 10 a 20 segundos; se procede a evaporar los solventes con un chorro de aire suave y se realiza la fotopolimerización del adhesivo durante 40 segundos. Para evitar exponer la resina reforzada con fibras al medio bucal, se reconstruye en dos incrementos la pared distal, utilizando una matriz metálica circunferencial (Omnimatrix, Ultradent Products) (Fig. 19).

Fig. 18. Se aplica un sistema adhesivo sobre toda la cavidad después de grabado ácido selectivo en los márgenes y de lavar profusamente y retirar el exceso de agua.

Fig. 19. Se reconstruye en dos incrementos la pared distal, utilizando una matriz metálica circunferencial para evitar exponer la resina reforzada con fibras al medio bucal.

Fig. 20. Se eliminan los excesos de resina y se pule la pared con discos y cauchos.

Luego de eliminar excesos de resina y pulir la pared con discos y cauchos (Fig. 20), se realizan incrementos horizontales de 2 mm utilizando la siguiente secuencia: primer incremento de EverX Flow de 2 mm (Figs. 21, 22), fotopolimerización por 40 segundos; segundo incremento de EverX Flow de 2 mm (Fig. 23), fotopolimerización por 40 segundos; tercer incremento de 2 mm con resina Gradia Direct X AO2 (GC Corp.), fotopolimerización por 40 segundos; cuarto incremento de 1 mm con resina Gradia Direct X A3 (GC Corp.), fotopolimerización por 40 segundos (Figs. 24, 25), aplicación de pigmentos ocre/marrón en fosas y fisuras, fotopolimerización por 40 segundos (Fig. 26).

Figs. 21 y 22. Aplicación de incrementos horizontales de 2 mm utilizando una secuencia en la que el primer incremento de EverX Flow es de 2 mm.

Fig. 23. Segundo incremento de EverX Flow de 2 mm.

Figs. 24 y 25. Tercer incremento de 2 mm con resina Gradia Direct X AO2 y fotopolimerización por 40 segundos; cuarto incremento de 1 mm con resina Gradia Direct X A3 y fotopolimerización por 40 segundos.

Luego de realizar la secuencia de acabado y pulido (cauchos, fieltros y pasta diamantada) se retira el dique para control de oclusión y desgaste de puntos de contacto prematuros.

Fig. 26. Aplicación de pigmentos ocre/marrón en fosas y fisuras y fotopolimerización por 40 segundos.

Comentarios finales

El control de la caries dental tiene un enfoque netamente conductual (reducción de azúcares libres en la dieta y desorganización diaria de la biopelícula), aspectos sobre los cuales debemos desarrollar intervenciones profesionales con el fin de mantener la salud bucal o recuperar el balance, cuando el paciente se encuentra en riesgo. El abordaje del tratamiento de las lesiones de caries debe incorporar estrategias conservadoras con materiales bioactivos (que promuevan la remineralización) y/o biomiméticos (que se asemejen a las estructuras dentales que buscan reemplazar, tanto en sus propiedades ópticas como en su comportamiento biomecánico).

Los nuevos materiales dentales a base de vidrios híbridos y de resinas reforzadas por fibra, ofrecen una simplificación de los procedimientos clínicos, brindando alternativas más adecuadas para los pacientes y estableciendo nuevos parámetros de eficiencia enmarcadas en los enfoques de la Odontología Mínimamente Invasiva y de máxima preservación del tejido sano. Conocer los avances tecnológicos que ofrecen estos materiales y su impacto en las indicaciones y procedimientos clínicos es la piedra angular para poder detener o desacelerar el ciclo restaurador repetitivo, lo cual nos permitirá brindar los más altos estándares de salud y satisfacción a nuestros pacientes.

_________________________________________________________________________________________________________________

El Dr. Eraldo Pesaressi Torres  es Docente de la Facultad de Odontología de la Universidad San Martín de Porres de Lima, Perú.

Referencias 

  1. Banerjee A, Frencken JE, Schwendicke F, Innes NPT. Contemporary operative caries management: consensus recommendations on minimally invasive caries removal. Br Dent J. 2017 Aug 11;223(3):215-222.
  2. Carvalho MA, Lazari PC, Gresnigt M, Del Bel Cury AA, Magne P. Current options concerning the endodontically-treated teeth restoration with the adhesive approach. Braz Oral Res. 2018 Oct 18;32(suppl 1):e74. doi: 10.1590/1807-3107bor-2018.vol32.0074. PMID: 30365615.
  3. Dietschi D, Duc O, Krejci I, Sadan A. Biomechanical considerations for the restoration of endodontically treated teeth: a systematic review of the literature. Part 1. Composition and micro- and macrostructure alterations. Quintessence Int. 2007 Oct;38(9):733-43.
  4. Garoushi S, Sailynoja E, Vallittu PK, Lassila L. Physical properties and depth of cure of a short new fiber rein- forced composite. Dent Mater. 2013;29:835-41.
  5. Jafarnia S, Valanezhad A, Shahabi S, Abe S, Watanabe I. Physical and mechanical characteristics of short fiber-reinforced resin composite in comparison with bulk-fill composites. J Oral Sci. 2021 Mar 31;63(2):148-151.
  6. Khan AA, Zafar MS, Fareed MA, AlMufareh NA, Alshehri F, AlSunbul H, Lassila L, Garoushi S, Vallittu PK. Fiber-reinforced composites in dentistry - An insight into adhesion aspects of the material and the restored tooth construct. Dent Mater. 2023 Feb;39(2):141-151.
  7. Moshaverinia M, Navas A, Jahedmanesh N, Shah KC, Moshaverinia A, Ansari S. Comparative evaluation of the physical properties of a reinforced glass ionomer dental restorative material. J Prosthet Dent. 2019 Aug;122(2):154-159.
  8. De Lima Navarro MF. et al. Consensus on glass-ionomer cement thresholds for restorative indications J Dent. 2021 Apr;107:103609.
  9. Gurgan et al. Twenty-four-month clinical performance of a glass hybrid restorative in non-carious cervical lesions of patients with bruxism: a split-mouth, randomized clinical trial. Clin Oral Investig. 2020 Mar;24(3):1229-1238.
  10. Miletic et al. Clinical Performance of a Glass-Hybrid System Compared with a Resin Composite in the Posterior Region: Results of a 2-year Multicenter Study. J Adhes Dent. 2020;22(3):235-247. doi: 10.3290/j.jad.a44547.

 

 

 

To post a reply please login or register
advertisement
advertisement