Search Dental Tribune

La línea de la belleza del rostro

Figura 1. Fotografías iniciales del caso (A, B y C). Medición y registro de recesiones y lesiones LCNCs con sondeo (D, E y F). Evaluación de la lesión periapical en el diente 22 con superposición de aspecto tomográfico vestibular (E).
J. Hernández, L. Méndez, T. Valadez

J. Hernández, L. Méndez, T. Valadez

mar. 28 marzo 2023

guardar

Técnicas de estética dental para eliminar la periodontitis apical y mejorar el contorno gingival.

Los autores de este artículo respaldan el concepto  de bioestética transdisciplinar que permite tener una visión ampliada del diagnóstico y el plan de tratamiento de las afecciones que demarcan la línea gingival. Este es un tejido cuya higiene es imprescindible para evitar enfermedades como la gingivitis o la periodontitis y que, por eso mismo, influye de forma determinante en la belleza dentofacial del rostro humano.

El caso clínico que los autores presentan a continuación describe la interacción de diversas disciplinas odontológicas para solucionar una severa alteración de la estructura arquitectónica gingival, afectada por periodontitis apical, recesiones y lesiones cervicales no cariosas (LCNCs).

Introducción

En 2006, John Lynch publicó un editorial en el International Journal of Epidemiology, titulado “It’s not easy being interdisciplinary”. Esta frase permite empezar a explorar las diferencias de matices que aportan los diferentes morfemas que integramos, anteponemos o postponemos a las palabras, que alteran su significado gramatical o semántico. No es lo mismo ser multidisciplinar o interdisciplinar que transdisciplinar (palabra no recogida en nuestra lengua, por cierto, pero ampliamente estudiada por intelectuales como el francés de origen sefardí, Edgar Morin, impulsor de la visión del pensamiento complejo y multidimensional). Lo transdisciplinar presenta una visión más holística, por encima de todas las disciplinas, bien por su carácter transversal, bien por ir más allá. En lo multidisciplinar se combinan los conocimientos de diferentes disciplinas, pero cada una desde sus propias teorías y fundamentos, sin alterarlos1. Con ello, es difícil entender la evaluación de lesiones endoperiodontales sin una evaluación periférica; tampoco se pueden conseguir y mantener resultados estéticos sin estabilidad periodontal de la misma manera. Aunque hoy existen novedosos materiales y técnicas para el tratamiento de muchas LCNCs, desde la perspectiva periodontal o restaurativa, la reparación de la delicada franja gingival puede encontrarse sujeta a controversias y puntos ciegos de abordaje2, por lo que se debe buscar un análisis basado en una perfecta toma de decisiones en conjunto, ecuánime, unificada y obligatoriamente coordinada.

Caso clínico

El objetivo de este caso clínico era la eliminación de la periodontitis apical del paciente, la adecuación de un contorno gingival que facilitara la cobertura radicular de defectos expuestos y la nueva inserción por la regeneración de nuevo tejido, y la reparación de la estética bucal.

Paciente femenina de 37 años que se presentó a consulta refiriendo ligero malestar en el diente 22, posterior a un tratamiento de conductos después de 14 meses, el cual no presentaba signos inflamatorios en fondo de saco, ni fístula. Reportó además hiperestesia dentinaria en ambas arcadas tras la ingesta de alimentos atemperados y endulzados. En los datos generales de la historia clínica odontológica, manifestó no presentar antecedentes patológicos o hereditarios, no era fumadora, ni exfumadora, no bruxista; no reportó dietas con influencia de alimentos abrasivos-veganos o líquidos acidúricos, tampoco episodios de reflujo gastroesofágico3. Reportó utilizar para su higiene bucal personal cepillo de cerdas blandas (técnica de Bass), hilo dental y accesorios interproximales. A la inspección bucal armada se observaron y registraron restauraciones y prótesis con desajuste. En ambas arcadas se obserbvó una combinación masiva de recesiones y LCNCs. La inspección se complementó con sondeo periodontal y los datos de medición se agregaron en un periodontograma. El tamaño de las recesiones, el nulo sangrado al sondaje periodontal y la profundidad promedio de inserción 1 mm, nos informa de un periodonto reducido sin periodontitis (con recesiones gingivales)4.

La literatura menciona tres métodos para evaluar el grosor del fenotipo gingival de un diente defectuoso: la transparencia de la sonda dentro del surco gingival es el método más utilizado hoy en día, puesto que ha demostrado ser sencillo y eficaz para evaluar el espesor gingival5,6. Las recesiones fueron clasificadas según Miller y las LCNCs según la clasificación de Cairo7. En la interpretación radiográfica dentoalveolar del diente 22, se observó una zona radiolúcida difusa, circundante no definida, con material radiopaco extralimitando el ápice, determinando una periodontitis apical, derivada de tratamiento endodóntico deficiente, que requirió respaldo tomográfico. La paciente cooperó en todo momento y estuvo atenta para resolver este grupo de problemas que la aquejaba, señalando la preocupación por atenderlos de inmediato con expectativa positiva (Figura 1).

La planeación transdisciplinar posibilitó la toma de decisiones consensuada por parte del equipo tratante, mediante un análisis cruzado de variables clínicas. Se propuso la alternancia de las áreas implicadas, priorizado los tiempos: quirúrgicos-endodónticos y restaurativos-quirúrgicos. En la elección de la modalidad terapéutica, se debe de tener en cuenta que no existe evidencia científica que avale que un procedimiento sea superior a otro8, obteniendo con ello una guía transdiciplinar de ejecución: recurso humano, tiempos de intervención, instrumental, materiales (Cuadro 1).

Cuando se elige una técnica de incisión específica, es preciso considerar diversos factores, en especial en el sector anterior del maxilar superior. Para la cirugía apical o, tal como se denomina hoy en día, microcirugía apical o microcirugía endodóntica, el tipo de incisión y el diseño del colgajo (técnica de Partsch) fue un factor de mayor relevancia, pues de esta dependería el acceso al ápice radicular, ubicado, al mismo nivel de donde se aportaría la nutrición vascular de los tejidos; y en un segundo momento, la incisión para llevar a cabo la técnica de desplazamiento mucogingival.

Sesión 1

Figura 1. Fotografías iniciales del caso (A, B y C). Medición y registro de recesiones y lesiones LCNCs con sondeo (D, E y F). Evaluación de la lesión periapical en el diente 22 con superposición de aspecto tomográfico vestibular (E).

Cuadro 1. Guía transdisciplinar para la programación de intervenciones de cada área por sesión.

Sesión 2

Figura 2. Tras la desobturación previa en el diente 22 en la Sesión 1, en la Sesión 2 (A), se procedió a anestesiar con lidocaína y epinefrina al 2%. Abordaje quirúrgico con la técnica de Parchs (B).

Figura 3. Osteotomía (A). Extirpación del material sobreobturado y remanente del periápice y posterior limpieza del lecho con legrado noble (B).

Figura 4. Procedimiento endodóntico empleando crioirrigación y obturando con sellado plastificado (A). El excedente fue contenido con una microesponja estéril para estabilizar y evitar diseminación, utilizando una técnica propia (B).

Figura 5. Verificación del empaque retrógrado (A) y obturación provisional de la cara palatina (B).

Figura 6. Abordaje inmediato de la fase quirúrgica plástica periodontal y preparación del colgajo dezplazado (A). Desplazamiento gingival hacia el margen ideal (B). Sustrato de clorhidrato de tetraciclina en polvo de 500 mg (C). Limpieza de la zona con crioirrigación (D).

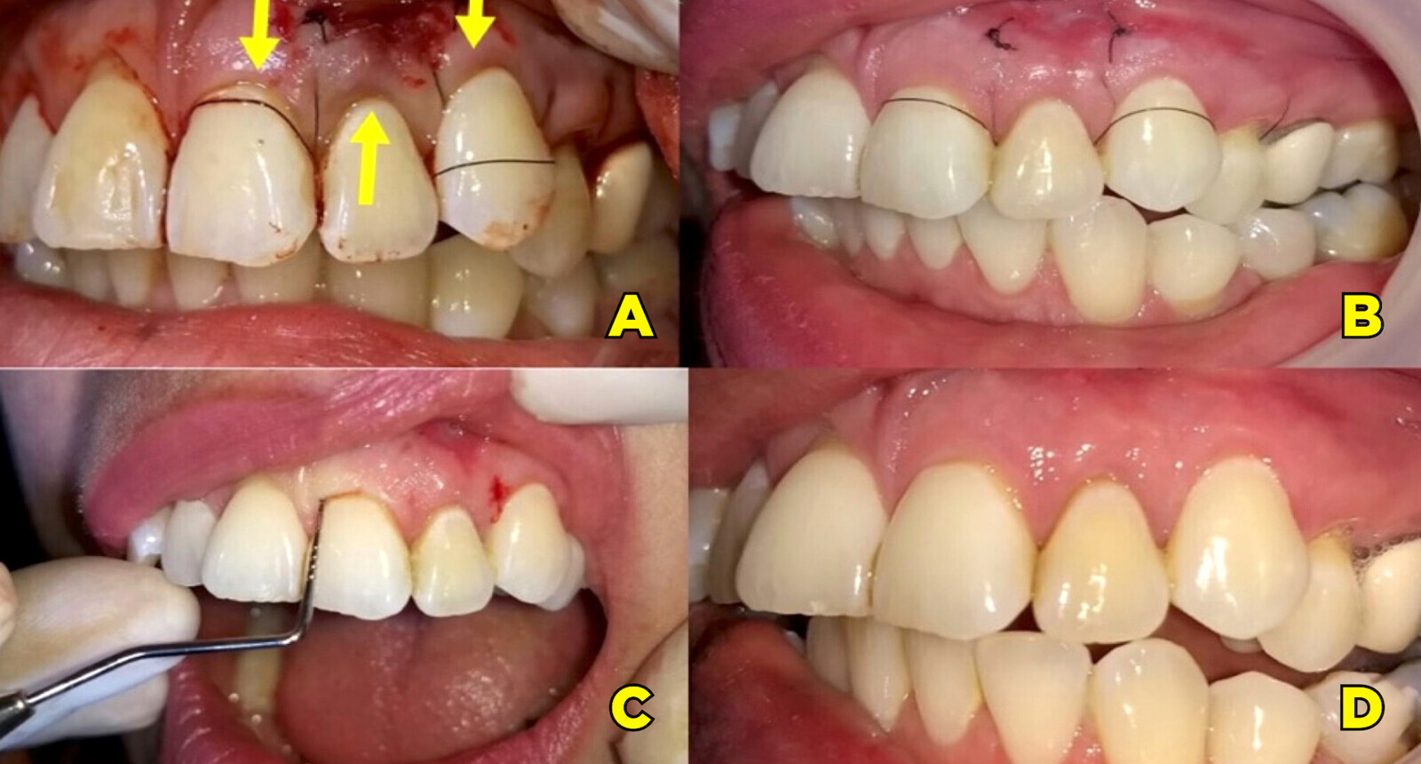
Figura 7. Sutura con nylon 5 ceros, se indicó cepillado noble y uso de gel de quitosán tres veces al día (A). Una semana despues (B). Dos semanas despues, valoración de inserción y retiro de puntos (C y D).

Sesión 3

Figura 8. Cobertura de ionómero de vidrio modificado en las LCNCs de los dientes 14, 15 y 16 (A). Valoración de la inserción previa a la Sesión 3 (B).

Figura 9. Raspado y alisado de la raíz expuesta en los dientes 11, 12 y 13 (A), preparación de túnel (B), posicionamiento del margen ideal biológico (C), colocación de sustrato de tetraciclina (D), crioirrigación y limpieza del área (E), y sutura (F).

Figura 10. Dientes 14 y 15 con ionómero modificado (A). Dientes 11, 12 y 13 a las dos semanas, que muestran una notable mejoría de la arquitectura de los tejidos de la línea roja (B).

Sesión 4

Figura 11. Sesión 3: Pulimiento del ionómero de vidrio, colocado previamente sobre las LCNCs en los dientes 14 y 15 (A). Abordaje quirúrgico (B). Desplazamiento y sutura (C).

Figura 12. Evaluación de los objetivos de Bioéstetica transdiciplinar seis meses después: El sector maxilar izquierdo presentó una notable condición y compatibilidad entre material y gingiva (A). y la sonrisa recuperó belleza y armonía, incluyendo en el sector izquierdo (B y C). Se indicó el uso de guarda como método preventivo de fuerzas compresivas.

Figura 13. Radiografía del diente 22 que muestra una franca de recuperación.

Discusión

El acondicionamiento radicular con clorhidrato de tetraciclina es la forma más común de biomodificación de la superficie radicular en diversos casos transdiciplinares, siendo un recurso con importante grado de confiabilidad que respaldan los beneficios de su utilización10,11.

Por otra parte, la odontología adhesiva en el paciente periodontal puede ayudarnos a mejorar la estética en los casos en los que las secuelas de las LCNCs se han magnificado. Sin embargo, aunque la adhesión a dentina es una realidad que cada día se muestra más sólida y que tiene un futuro prometedor, sigue siendo uno de los puntos a evaluar al utilizar cualquier material obturativo en dientes con severa destrucción a nivel cervical, pues la adhesión química ante un sustrato poco favorable como es la dentina a nivel radicular, presenta dificultad de adhesión y difícil manejo. En el caso de la Sesion 3, la literatura reporta la posibilidad de usar ionómero modificado como sustrato en la cavitación de LCNCs12,13,14; los dientes 14 y 15 intervenidos con este procedimiento fueron propuestos para vigilancia a mediano y largo plazo, y de ser necesario, ante la imposibilidad de volver a ser tratados quirúrgicamente con plastia gingival, se optaría como alternativa el uso de composite color rosa para cobertura de las lesiones15. 

Conclusiones

El pensamiento bioestético transdisciplinar es una necesidad en los consultorios odontológicos, donde se presentan cada vez más pacientes con injurias poco valoradas en estado avanzado, que son muy difíciles de tratar. Una valoración de 360 grados permitiría al gremio odontológico establecer que esta afectación presente en un sinfín de personas, puede ser catalogada como un Síndrome Periodental No Carioso, facilitando más su estudio y tratamiento.

La bioéstetica transdisciplinar no es un plan integral de tratamiento, sino una forma unificada de trabajo en equipo en una zona delicada de la boca como es el contorno gingival, que tiene un alto valor en la estética de la sonrisa.

Autores

  1. El Dr. Jorge Hernández Sánchez es Especialista en Ortodoncia que ejerce en México. Correspondencia: seordeaur@yahoo.es
  2. La Dra. Lilia Méndez Puentes es Especialista en Ortodoncia mexicana.
  3. El Dr. Tonatiuh Valadez García es Cirujano Oral mexicano.

Bibliografía

  1. Herrera D, Guerrero A. ¿Transdisciplinar, multidisciplinar o interdisciplinar? Periodoncia clínica. Revista científica de la Sociedad Española de Periodoncia 2016;(5):3
  2. Hernández SJ. Entre Black y Miller, la delgada línea roja. Dentista y Paciente 2020;(13):32-47.
  3. Hernández SJ. Atención de lesiones orales por reflujo gastroesofágico con gel de quitosan. Dentista y Paciente 2018;(120):46-52.
  4. Vargas AP, Yáñez BR. Clasificación de enfermedades y condiciones periodontales y periimplantarias. Primera parte. Rev Odont Mex. 2021;(1):10-26.
  5. Navarrete M. et al. Correlación entre biotipo gingival, ancho y grosor de encía adherida en zona estética del Maxilar superior. Rev Clin Periodoncia Implantol Rehabil Oral 2015; (3):192-97.
  6. Kan JYK, et al. Evaluación del biotipo gingival en la zona estética: inspección visual frente a medición directa. Revista Internacional de Odontología Restauradora y Periodoncia 2010;(3):236-343.
  7. Cairo F, Nieri M, Cincinelli S, Mervelt J, Pagliaro U. The interproximal clinical attachment level to classify gingival recessions and predict root coverage outcomes: an explorative and reliability study. J Clin Periodontol 2011;(7): 661-666.
  8. Von Harx Salvi. Técnicas de incisión y diseños de colgajo en cirugía apical en el sector anterior del maxilar superior. The European Journal of Esthetic Dentistry 2008;(2):70-86.
  9. Carrillo V. A. G. Rodríguez V. E. Crioterapia, para el manejo del dolor post operatorio en endodoncia. Dentista y paciente 2021;(60):10-16.
  10. Faldío Costa C, Moura e Sá A, Faria Almeida R, Bascones A. Antibioterapia en Periodoncia. Situación actual. 1 - Antibióticos Sistémicos. Av Periodon Implantol 2001;(13):39-47.
  11. Jiménez G FJ, et al. Regeneración ósea guiada. Tratamiento complementario de las lesiones periapicales de origen endodóntico. Odontología Actual 2008;(59):24-27.
  12. Newton Fahl Jr. Direct-Indirect Class V Restorations: A Novel Approach for Treating Noncarious Cervical Lesions. Journal of Esthetic and Restorative Dentistry 2015 (5):1-19.
  13. Allegri AM, Landi L, Zucchelli G. Non-carious Cervical Lesions Associated with Multiple Gingival Recessions in the Maxillary Arch. A Restorative-periodontal Effort for Esthetic Success. A 12-month Case Report. European Journal of Esthetic Dentistry 2010;(1): 12-29.
  14. Arzu Alkan, Ilker Keskiner, Emir Yuzbasioglu. Connective Tissue Grafting on Resin Ionomer in Localized Gingival Recession. J. Periodontol 2006;(8):1446-1451.
  15. Hernández SJ. Entre Black y Miller, la delgada línea roja. Dentista y paciente 2020; (13):32-47.

 

 

 

 

 

 

To post a reply please login or register
advertisement
advertisement