Search Dental Tribune

Protocolo para el pronóstico de los caninos superiores retenidos

Diagrama que muestra que los cortes oclusales pueden tener una relación armoniosa de vecindad entre el canino con los incisivos y premolares o presentar signos de reabsorción externa de las raíces vecinas.
Suárez D, Borja M, Suárez P

Suárez D, Borja M, Suárez P

mié. 8 febrero 2023

guardar

Los autores de este artículo clínico describen el protocolo que utilizan en el Servicio de Investigación en Ortodoncia – Unidad Dental del Sueño de la Universidad de Santiago para evaluar la posibilidad de bajar o no un canino incluido/retenido en el paladar.

La retención/inclusión palatina de los caninos superiores es un problema frecuente en ortodoncia, que afecta hasta un 2% de la población general y que muchos profesionales asocian a dos palabras: incertidumbre y excesivo tiempo de tratamiento.

Si un paciente con uno, o los dos caninos superiores incluidos en el paladar fuera a diferentes clínicas, obtendrían mil opiniones dispares sobre su tratamiento; desde el descenso ortodóncico-quirúrgico del diente en cuestión hasta su extracción con el subsiguiente cierre de espacios o la futura colocación de un implante.

La complejidad del canino comienza por su terminología; yo hablo de canino incluido (y añado al término la localización topográfica de la inclusión: vestibular o palatina) cuando pasado un tiempo de su normal emergencia (12-14 años) el canino no aparece en boca. Desde un punto de vista más clínico que etiológico o semántico, resulta más claro el término de inclusión, ya que el de simple retención puede hacer referencia a un canino retenido, con emergencia parcial, por falta de espacio (circunstancia harto frecuente que en nada tiene que ver con los caninos a los que se refiere este artículo) y la impactación supone la existencia de un sujeto pasivo sobre el que se impacta, sea el hueso o la raíz de un diente. En este sentido, no siempre resulta fácil distinguir si la impactación es por una obstrucción mecánica o, por ejemplo, la propia morfología de la raíz del canino (raíz en gancho). No es raro que los ortodoncistas más noveles y poco experimentados se metan en prolongadas guerras, perdidas de antemano, al tratar de bajar caninos imposibles; la ignorancia da alas al atrevimiento.

El propósito de este sencillo artículo clínico es describir el protocolo que utilizamos para valorar la viabilidad de bajar o no un canino incluido/retenido en el paladar.

Los casos donde el canino incluido es el único objetivo terapéutico del tratamiento son los más complicados de abordar.

Gran parte de los problemas de los caninos derivan de dos hechos mecánicos: el largo camino que ha de recorrer desde la parte apical de la fosa canina, a los lados de la apertura piriforme, hasta su posición final en la arcada y el ser uno de los últimos dientes en hacer erupción/emergencia en el maxilar (figura 1).

Figura 1. Gran parte de los problemas de los caninos derivan de dos hechos mecánicos: el largo camino que ha de recorrer hasta su posición final en la arcada y el ser uno de los últimos dientes en hacer erupción.

Al igual que los peregrinos que van a Santiago de Compostela necesitan que su camino esté despejado, el canino superior necesita un camino de emergencia, una guía, constituida por la cara distal de la raíz del incisivo lateral; cuando el tamaño o morfología de esta raíz no es la adecuada, el canino se pierde y escoge la vereda palatina (figura 2).

Figura 2. El canino superior necesita un camino de emergencia, que cuando no es adecuada se desvía hacia palatino.

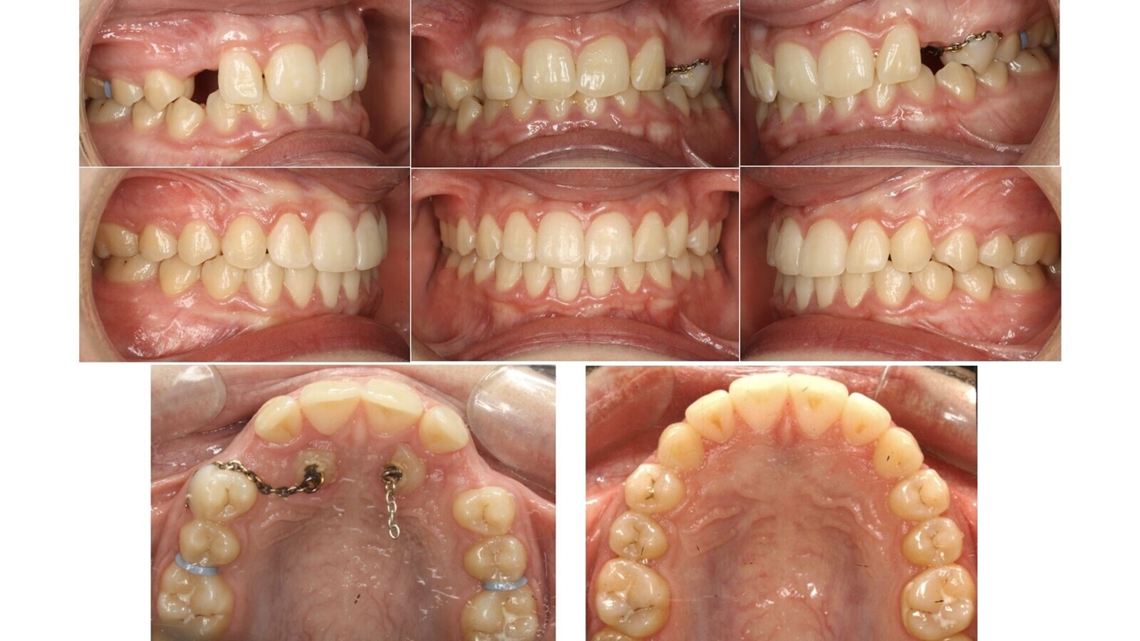
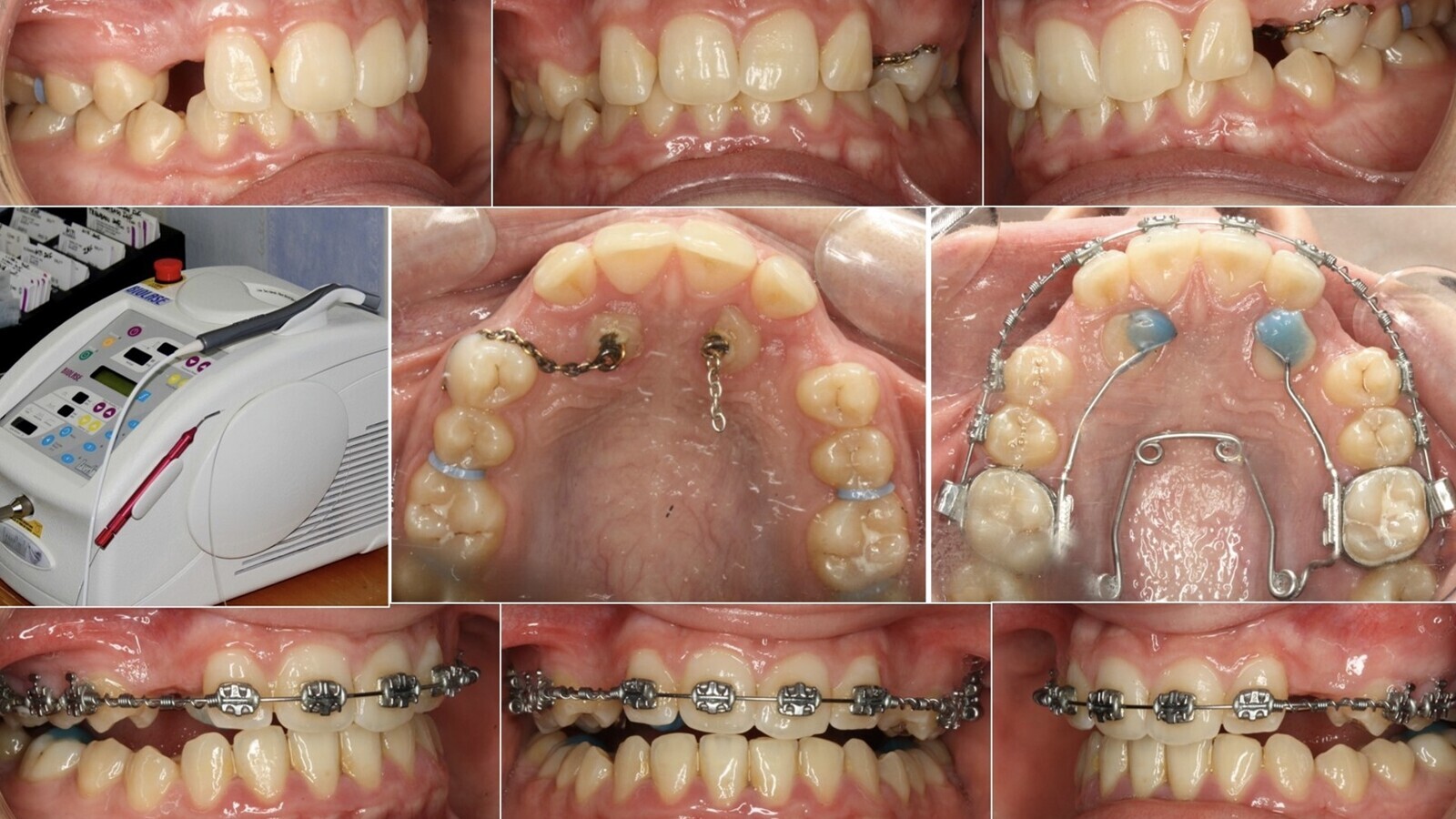
En otras ocasiones, pequeños obstáculos en el camino, como la retención prolongada de un canino temporal, pueden desviar al canino de su trayecto eruptivo normal; esta situación es mucho más frecuente de lo que podría pensarse (figura 3). En nuestra experiencia, los casos más complejos y de sombrío pronóstico se asocian a malformaciones radiculares (raíces en forma de gancho, raíces dilaceradas, raíces dobles). Para complicar más el tema, los caninos pueden producir la lesión o destrucción parcial de los dientes vecinos y, desgraciadamente, no es infrecuente ver en la tracción ortodóncico-quirúrgica de un canino una marcada reabsorción radicular externa de los dientes vecinos, con especial frecuencia y énfasis en el incisivo lateral superior.

Figura 3. Pequeños obstáculos, como la retención prolongada de un canino temporal, pueden desviar al canino de su trayecto eruptivo normal.

A todas estas complicaciones hay que sumar el tiempo y la difícil comprensión del paciente del alcance del tratamiento. Es extremadamente raro poder resolver un caso de canino/s incluido/s de moderada dificultad en menos de 30 meses. Cuando este problema se acompaña de otros que se pueden resolver al mismo tiempo (marcado apiñamiento e irregularidad dentaria, compresión maxilar, mordida cruzada), aún tenemos algo que ganar si las cosas se complican, pero cuando la inclusión canina es el único objetivo terapéutico, el profesional se lo ha de pensar y repensar varias veces; la ley del todo o nada funciona mal en nuestra especialidad.

Las tablas pronóstico que presentamos son una aproximación clínica y subjetiva al problema; no derivan de una investigación rigurosa, sino de ese feeling que los clínicos vamos atesorando en nuestra mente tras acertar algunas veces y fracasar muchas. Ayudarán a que el clínico experimentado, curtido por los años, mande extraer menos caninos incluidos, al menos los de mejor pronóstico, y a que el novato no se meta en misiones imposibles que acaban en un desagradable conflicto con el paciente tras robar muchas horas de sueño al profesional. O cruzamos el río o no lo cruzamos, pero lo peor es quedarse en mitad de la corriente y que ésta nos arrastre hacia la catarata. Ni que decir tiene que el CBCT/TAC es crucial en el pronóstico del problema, es el arma diagnóstica definitiva. Hay que pensar siempre en los tres planos del espacio y entender que la mayoría de los caninos se mueven en un espacio cónico cuyo vértice se localiza en la parte más apical de la fosa canina; cuando el canino se sale de este espacio cónico virtual hay que ir pensando en darlo por perdido (figura 4).

Figura 4. Medir la angulación del canino y la altura de su corona se puede realizar a partir de una perpendicular al plano transversal maxilar.

En el plano frontal (figura 4) hay que valorar la angulación del canino y la altura de su corona. Medir la angulación se puede realizar a partir de una perpendicular al plano transversal maxilar, siendo el ángulo de 0º cuando el canino en cuestión está vertical y de 90º cuando el canino está completamente horizontal y está paralelo al plano transversal maxilar referido. A mayor ángulo, mayor puntaje negativo a la hora de valorar la dificultad del caso. Para valorar la altura de la corona (figuras 5 y 6), hemos establecido aleatoriamente tres áreas rectangulares:

I (desde borde gingival de incisivos superiores a la mitad radicular),

II (desde el área I hasta el tercio radicular apical), y,

III (desde la unión del tercio apical de la raíz con los dos tercios restantes hasta más allá del ápice radicular).

Figuras 5 y 6. Para valorar la altura de la corona (figuras 5 y 6), se han establecido aleatoriamente tres áreas rectangulares.

El pronóstico empeora a medida que el canino se aleja de las coronas incisivas en dirección apical. Complemento de lo anterior es la posición de la corona del canino respecto a la línea media, de mejor (distal) en verde a peor (mesial y cerca de la línea media) en rojo (figura 7).

Figura 7. El pronóstico empeora a medida que el canino se aleja de las coronas incisivas en dirección apical. El gráfico indica la posición de la corona del canino respecto a la línea media, de mejor (distal) en verde, a peor (mesial y cerca de la línea media) en rojo.

Estas medidas las debemos asociar con la observación de otros cortes en los tres planos del espacio (figura 8).

Figura 8. Las medidas de la figura se deben asociar con la observación de otros cortes en los tres planos del espacio.

La visión sagital a partir de la línea media palatina, también nos informa sobre la posición anteroposterior del canino, sobre cómo de acostado se encuentra en relación con la superficie oclusal del paladar duro y de su proximidad a los incisivos y la parte anterior del maxilar.

Los cortes transversales de los caninos nos orientan sobre su verdadera inclinación. Los cortes oclusales (figura 9) muestran la relación de vecindad del canino con los incisivos y premolares y si ésta es armoniosa (espacio de seguridad suficiente alrededor de la corona del canino) o presenta signos preocupantes de reabsorción externa de las raíces vecinas.

Figura 9. Los cortes oclusales muestran la relación de vecindad del canino con los incisivos y premolares y si ésta es armoniosa o presenta signos preocupantes de reabsorción externa de las raíces vecinas.

Sobre estos cortes oclusales también establecemos áreas poligonales de mejor (área I) a peor pronóstico (área III), según delimiten las zonas normales de emergencia canina o zonas muy alejadas. La suma de la angulación y la valoración objetiva de cada área ya nos va orientando sobre la mayor o menos dificultad del caso.

Figura 10. Primera valoración espacial tridimensional de los cortes oclusales.

A esta primera valoración espacial tridimensional (figura 10) se han añadido otras, con un puntaje subjetivo, relacionadas con: anomalías radiculares (terminación apical en gancho, dilaceración, bifurcación), signos de reabsorción radicular externa de incisivos y/o premolares, trayectos eruptivos aberrantes y transposiciones verdaderas (figura 11).

Figura 11. Valoraciones con un puntaje subjetivo, relacionadas con anomalías radiculares, signos de reabsorción radicular externa, trayectos eruptivos aberrantes y transposiciones verdaderas.

El último factor, que puede ser el definitivo, e incluso condicionar el tratamiento en casos muy favorables, es el dependiente del paciente y tipo de tratamiento. Cuando una chica joven, de por ejemplo 16 años, presenta una sonrisa bonita, con dientes grandes, blancos y perfectamente alineados (incluyendo el canino temporal) y un canino incluido en el paladar, incluso en una posición moderadamente favorable, no es fácil tomar una decisión cuando observamos la balanza de beneficios y riesgos del tratamiento. Son precisamente los casos donde el canino incluido es el único objetivo terapéutico del tratamiento los más complicados de abordar.

Recomendaciones para evitar sorpresas con los caninos incluidos:

  1. Meter el dedo para no meter la pata. La palpación palatina de los caninos nos orienta hacia su posición. El CBCT/TAC es el arma diagnóstica definitiva.
  2. No tratar de bajar caninos imposibles; el incisivo lateral superior y el prestigio de su clínica se lo agradecerá.
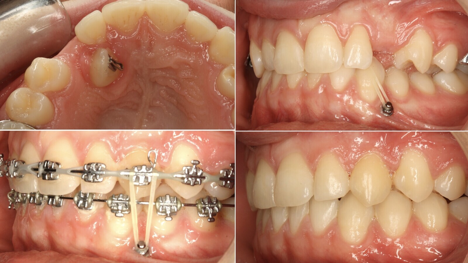
  3. Siempre realizar primero tracción vertical y después horizontal. La tracción horizontal sostenida crea los inespecíficos “caninos anquilosados” al acostar al canino sobre la cortical palatina (figura 12). Una tracción horizontal inadecuada a una distancia considerable es garantía de fracaso. En estos casos, el canino se horizontaliza y es inviable su colocación correcta en arcada.

    Figura 12. Se debe realizar primero tracción vertical y después horizontal. La tracción horizontal sostenida crea los inespecíficos “caninos anquilosados” al acostar al canino sobre la cortical palatina.

  4. Utilizar siempre tracción vertical inicial (figura 13).

    Figura 13. Los autores recomiendan utilizar siempre tracción vertical inicial.

  5. Saber en qué posición exacta está el canino durante todo el proceso de tracción ortodóncica.
  6. Los Microimplantes son un excelente anclaje, seguro, indoloro, confortable y económico, para la tracción ortodóncica inicial de los caninos (figuras 14, 15 y 16).

    Figuras 14, 15 y 16. Los Microimplantes son un excelente anclaje, seguro, indoloro, confortable y económico, para la tracción ortodóncica inicial de los caninos.

  7. Muchos caninos están en una situación inframucosa o recubiertos por una lámina fina de hueso; evitar amplios cortes y colgajos palatinos. Ante la duda, realizar tunelización o colgajo de reposición apical para evitar futuras recesiones gingivales o dehiscencias.
  8. Una vez que se ha conseguido colocar en arcada la corona del canino, hay que realizar el trabajo hercúleo de dar torsión negativa a su raíz. Para ello recomendamos el uso de resortes en aleaciones de TMA o Gummetal con arcos gruesos (mínimo de 0.019x25”) y hacer entender al paciente la necesidad de tiempo para que el movimiento de torsión radicular negativa se produzca (figuras 17 y 18).

    Figuras 17 y 18. Una vez colocada en arcada la corona del canino, hay que dar torsión negativa a su raíz. Se recomienda usar resortes en aleaciones de TMA o Gummetal con arcos gruesos.

  9. En nuestra experiencia, las Microosteoperforaciones en el hueso enfrentado al movimiento dentario es una excelente opción para acelerar el movimiento dentario ortodóncico y acortar la duración del tratamiento. Estas Microosteoperforaciones, realizadas con una fresa de tugsteno a 2-4-7 mm de profundidad estimulan el RAP (rapid acelerated phenomen) y el reclutamiento de células progenitoras y osteoclastos (figuras 19 y 20).

    Figuras 19 y 20. Las Microosteoperforaciones en el hueso enfrentado al movimiento dentario son una excelente opción para acelerar el movimiento dentario ortodóncico y acortar la duración del tratamiento.

  10. Antes de afrontar la ardua travesía de traer un canino incluido a su posición en la arcada hay que valorar el estado general de la boca del paciente, es decir, si resistirá el periodonto toda la biomecánica que el caso demanda, la maloclusión general del paciente y, muy importante, su discrepancia óseodentaria y/o la necesidad de realizar extracciones terapéuticas (en este caso siempre optamos por la extracción del canino en lugar del premolar vecino). Las placas removibles con resortes pueden ser de gran ayuda para dar torsión radicular negativa final a los caninos traccionados (figura 21).
Figura 21. Las placas removibles con resortes pueden ser de gran ayuda para dar torsión radicular negativa final a los caninos traccionados.

Conclusión

La herramienta diagnóstica definitiva para evaluar la posibilidad de bajar o no un canino incluido/retenido en el paladar es el CBCT/TAC. Las tablas diagnósticas que ofrecemos complementan una aproximación clínica al problema, que ayudarán al ortodoncista a evitar extracciones innecesarias y a mejorar el diagnóstico de estos casos.

_______________________________________________________________________________________________________________________________________________

  1. David Suárez Quintanilla es catedrático de Ortodoncia de la Universidad de Santiago de Compostela (USC), Titular de la Real Academia de Medicina de Galicia, expresidente de la European Orthodontic Society y exvicepresidente de Ortodoncia de la International Association for Dental Research.
  2. María Eugenia Borja Consigliere es residente del Máster de Ortodoncia de la USC.
  3. Pedro Suárez Suquía es alumno de Odontología en USC.

To post a reply please login or register
advertisement
advertisement