Desplazamiento de disco sin reducción con limitación de apertura bucal
Los trastornos temporomandibulares (TTM) son condiciones musculoesqueléticas degenerativas asociadas con deformidades morfológicas y funcionales. Uno de los procedimientos quirúrgicos no invasivos indicados en el tratamiento de la Disfunción Temporomandibular es el uso de Plasma Rico en Plaquetas (PRP), sustancia compuesta por proteínas que se obtiene del plasma sanguíneo.
Primera parte
El empleo de técnicas quirúrgicas mínimamente invasivas en el tratamiento de trastornos temporomandibulares ofrece resultados muy predecibles y eficaces cuando el tratamiento conservador (farmacología, fisioterapia, uso de ortesis orales) no logra disminuir la sintomatología. La combinación de una técnica de lavado articular (artrocentesis) con la infiltración de sustancias regeneradoras (plasma rico en plaquetas) permite al paciente mejorar su calidad de vida. A su vez, el conocimiento por parte del clínico del procedimiento, anatomía de la zona a tratar y posibles complicaciones asociadas hace que sea un tratamiento seguro, de ejecución rápida y de pronta recuperación por parte del paciente. En el siguiente caso clínico, se detalla el procedimiento a seguir y qué medidas pre y postoperatorias se deben tomar.
Introducción
Los trastornos temporomandibulares son un tipo de condiciones musculoesqueléticas degenerativas asociadas con deformidades morfológicas y funcionales1-3. Los TTM incluyen anomalías de la posición y/o estructura discal intraarticular, así como disfunción de la musculatura asociada4.
Los síntomas y signos incluyen ruidos articulares dolorosos, rango de movimiento restringido o desviado y dolor craneal y/o muscular, conocido como dolor orofacial3. Además, los síntomas de TTM ocurren de manera desproporcionada entre los sexos, con una incidencia mucho mayor en las mujeres; las proporciones mujer-hombre oscilan entre 2:1 y 8:13-8. Los TTM tienen una prevalencia considerable y un impacto significativo en factores físicos y psicosociales9,10.
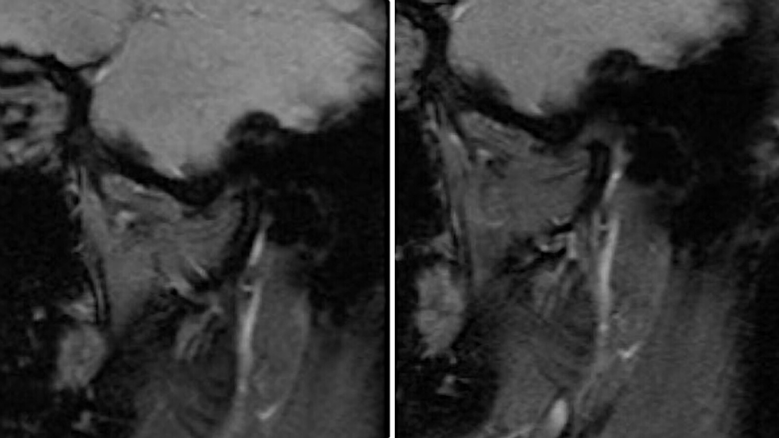
Figs. 1a-1b. Cortes sagitales de Resonancia Magnética de la ATM derecha, donde se puede observar la presencia de un Desplazamiento de Disco sin Reducción.
Entre los posibles métodos de tratamiento de esta patología se encuentra la terapia farmacológica, la terapia con dispositivos oclusales, la fisioterapia o la cirugía mínimamente invasiva. Uno de los procedimientos quirúrgicos no invasivos indicados en el tratamiento de los TTM es el uso de Plasma Rico en Plaquetas. El PRP es una fuente de factores de crecimiento que promueven la cicatrización de heridas y la regeneración de tejidos y se usa ampliamente en una variedad de campos relacionados con la terapia regenerativa11,12. El PRP comenzó a ser ampliamente utilizado en cirugías maxilofaciales y estéticas13-15. En los últimos años, varios estudios han reportado el uso de PRP en inyección intraarticular para el tratamiento de trastornos temporomandibulares con resultados satisfactorios13-16.
Debido a que el aumento de las respuestas inflamatorias retrasa o suprime la cicatrización de heridas y la regeneración de tejidos, es importante controlar la inflamación aguda para inducir el mejor desempeño de los factores de crecimiento17.
En las preparaciones de PRP se encuentran altas concentraciones de glóbulos blancos (WBC), que son responsables de la inflamación aguda. Anitua et al. desarrollaron el plasma rico en factores de crecimiento (PRGF-Endoret) mediante la eliminación de glóbulos blancos del PRP, con el fin de reducir esta inflamación18.
Figs. 2a-2b. Centrifugado del Plasma Rico en Plaquetas. Aspiración de la fracción 2 del contenido centrifugado.
1Director del Máster en Disfunción Craneomandibular y Dolor Orofacial de la Facultad de Odontología, Universitat Internacional de Catalunya Barcelona, España. Correspondencia a: jtomas@uic.es
2Estudiante del Máster en Odontología Rehabilitadora y Estética de la Universitat Internacional de Catalunya Barcelona, España;
3Profesor asociado del Máster en Disfunción Craneomandibular y Dolor Orofacial de la Universitat Internacional de Catalunya Barcelona, España.
4Coordinadora del Máster en Disfunción Craneomandibular y Dolor Orofacial por la Universitat Internacional de Catalunya Barcelona, España.
La Federación Internacional de Escuelas y Facultades de Odontología (FIEFO) entregó al Dr. Jaime A. Gil una escultura “en reconocimiento a su meritoria...
Este segundo artículo sobre cómo funciona un nuevo ecosistema de odontología digital de Chairside Dentistry describe la integración de tres componentes ...
Este artículo analiza cómo funciona un nuevo ecosistema de odontología digital, cuáles son sus beneficios y qué retos plantea para el presente y el ...
To post a reply please login or register