Search Dental Tribune

Colocación de restauraciones cerámicas adhesivas en la zona estética (2)

Comparación del aspecto inicial y el resultado final.
Catarina Rodrigues

Catarina Rodrigues

vie. 3 junio 2022

guardar

La autora expone en este caso clínico el dominio clínico adquirido en el Máster en Estética Dental Online de la Universidad Internacional de Cataluña para realizar restauraciones en la zona estética.

En este caso no se modificó nada en la boca del paciente, por lo que se dio por bueno el encerado obtenido digitalmente y se pudo proceder a la preparación de los dientes y toma de impresiones definitivas. Con el objetivo de lograr un tratamiento lo más conservador posible, las preparaciones fueron realizadas directamente sobre el mock-up para que la remoción de estructura dental fuera solo la estrictamente necesaria. También se confeccionaron llaves de silicona sobre el mock-up para controlar los espesores de las preparaciones realizadas.

La impresión superior, el modelo antagonista y el encerado, fueron enviados al técnico de laboratorio. Se enviaron fotografías de la toma de color con la Guía VITA 3D-MASTER.

Para la provisionalización, utilizamos la técnica “line-etch”, la llave de silicona confeccionada sobre el mock-up y resina bis-acrílica (Figs. 21-24).

Fig. 21. Preparaciones realizadas directamente sobre el mock-up.

Fig. 22. Preparaciones dentales: control del desgaste mediante las llaves de silicona.

Fig. 23. Preparaciones dentales finalizadas.

Fig. 24. “Line etch” antes de la colocación de las restauraciones provisionales.

La técnica elegida para la fabricación de las carillas fue la técnica convencional sobre modelo refractario.

En la visita de cementado se realizó una primera prueba de las carillas para verificar el ajuste y puntos de contacto. En ese momento comprobamos también la estética de las carillas en color, forma y la armonía en la sonrisa del paciente. Después del try-in o prueba, se limpiaron las carillas con alcohol y agua. Finalmente se procedió al cementado.

Primero, se realizó el acondicionamiento de las carillas de cerámica feldespática. Se grabaron con ácido fluorhídrico al 9% durante 90 segundos. A continuación, para eliminar los precipitados de la superficie de adhesion de la cerámica, se aplicó ácido ortofosfórico y se frotó durante 1 minuto. Seguidamente, las carillas fueron introducidas durante 4 minutos en el baño de ultrasonidos con alcohol y se limpiaron con ácido ortofosfórico durante 1 minuto. Finalmente, se aplicaron varias capas de silano y se reservaron las carillas para proceder al acondicionamiento de los dientes.

El cementado se realizó bajo aislamiento absoluto. La limpieza de la superficie dentaria antes del cementado fue realizada con partículas de óxido de silicio de 29 micras (Aquacare). Seguidamente, se grabó el esmalte con ácido ortofosfórico al 35% durante 30 segundos y se aplicó el adhesivo. Posteriormente, se aplicó el cemento de resina fotopolimerizable (Variolink Esthetic LC, Ivoclar Vivadent, Liechtenstein) en la superficie interna de las carillas y se posicionaran las carillas. Primero los incisivos centrales y después los laterales. Antes de la polimerización se retiraron los excesos. Se realizó la polimerización de todas las carillas durante 90 segundos por cada cara del diente, empezando por la cara palatina. Finalmente, se aplicó gel de glicerina y se realizó un último ciclo de fotopolimerización. Los restos de cemento que aún se observaron fueron eliminados con la ayuda de una hoja de bisturí del 12, fresas y gomas de composite. Después de la remoción del dique de goma se verificó la oclusión (Figs. 25-27).

Fig. 25. Carillas de porcelana feldespática en el modelo de trabajo. Se puede observar con detalle la anatomía secundaria y terciaria.

Figs. 26a-b-c. Acondicionamiento de las carillas de porcelana feldespática.

Figs. 27a-b-c-d. Acondicionamiento de los dientes y cementado adhesivo de las carillas bajo aislamiento absoluto.

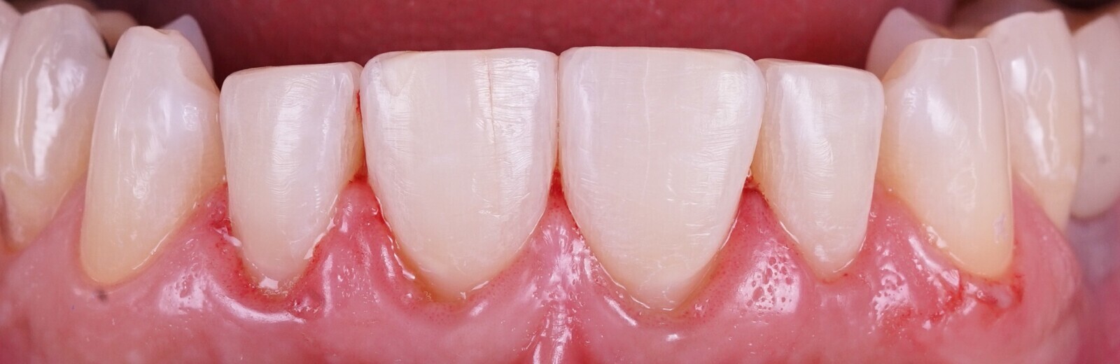
Un mes tras la adhesión de las carillas, en la cita de revisión, se puede apreciar el buen comportamiento estético, periodontal (salud gingival) y funcional de las carillas (Figs. 28-30).

Figs. 28a-b-c. Situación extraoral final (close-up): se puede observar el aumento de la exposición dental. 

Fig. 29. Situación extraoral final: sonrisa social y sonrisa máxima.

Fig. 30. Situación extraoral final (close-up): se observa que  las carillas se mimetizan con los dientes naturales.

___________________________________________________________________

La Dra. Catarina Rodrigues está realizando el segundo año del Máster de Estética Online de la UIC. Correspondencia: catarina.gr@uic.es 

Referencias

Fradeani M. In: Esthetic analysis: A systematic approach to prosthetic treatment. Chicago: Quintessence; 2004. p. 21–106.

Magne P, Belser UC. In: Natural Oral Aesthetics: Bonded Porcelain in the Ant Dent. Illinois: Quintessence; 2004. p.57-99.

Magne P, Belser UC. Novel porcelain laminate preparation approach driven by a diagnostic mock-up. J Esthet Restor Dent. 2004;16(1):7-16; discussion 17-8.

Beier US, Kapferer I, Burtscher D, Dumfahrt H. Clinical performance of porcelain laminate veneers for up to 20 years. Int J Prosthodont. Jan-Feb 2012;25(1):79-85.

Wetselaar P, Lobbezoo F. The tooth wear evaluation system: a modular clinical guideline for the diagnosis and management planning of worn dentitions. J Oral Rehabil. 2016 Jan;43(1):69-80.

Imburgia M, Cortellini D, Valenti M. Minimally invasive vertical preparation design for ceramic veneers: a multicenter retrospective follow-up clinical study of 265 lithium disilicate veneers. Int J Esthet Dent. 2019;14(3):286-298.

Piedra-Cascón W, Fountain J, Att W, Revilla-León M. 2D and 3D patient's representation of simulated restorative esthetic outcomes using different computer-aided design software programs. J Esthet Restor Dent. 2021 Jan;33(1):143-151.

Sailer I, Fehmer V, Pjetursson BE. In: Fixed restorations a clinical guide to the selection of materials and Fabrication Technology. Berlin: Quintessence Publishing; 2021. p. 90–287.

 

Ver próximamente la Edición Especial sobre Láser en Odontología
01. Beneficios del uso del láser — Javier de Pisón
02. Introducción al uso del láser — Antoni España
03. Aplicaciones del láser en Cirugía Bucal — Antoni España
04. Rejuvenecimiento del labio superior — Kathrin Trelles y Mario Trelles
05. Utilización del láser en Implantología  Daniel Abad
06. El uso del láser en Periodoncia  Alfredo Aragüés
07. Terapia Fotodinámica — Marta Pascual
08. Láser en Odontología Conservadora — Josep Arnabat
09. Láser en Endodoncia — Jaime Donado
10. Láser en Prótesis Dental — Hernán Giraldo
11. Fotobiomodulación en odontología — María Pérez
12. Láser en Ortodoncia - Diana Montoya
 

13. EDICIÓN ESPECIAL de DENTAL TRIBUNE sobre Láser en Odontología

Incluye estos y otros artículos, además de promociones.

To post a reply please login or register
advertisement
advertisement