ANTES Y DEPUES. Izquierda: Situación inicial en la que observa una clara diferencia cromática entre la obturación de composite y la sustancia dental dura tras el blanqueamiento. Derecha: el paciente se mostró satisfecho con la reconstrucción con coronas completas de cerámica vítrea de los dientes anteriores.
Las clínicas y los laboratorios disponen de una cerámica vítrea altamente resistente reforzada con dióxido de circonio con excelentes propiedades fotoópticas. La opalescencia, la fluorescencia y la translucidez están integradas en este material. Gracias a la composición inteligente del material, mediante el flujo de trabajo digital se pueden realizar de forma eficiente restauraciones monolíticas muy resistentes con una dinámica lumínica óptima.
En el siguiente caso clínico, el Dr. Stas Belous presenta la reconstrucción de la zona de los dientes anteriores con coronas completas de cerámica vítrea VITA SUPRINITY PC y una carilla de cerámica de feldespato VITABLOCS Mark II (ambas de VITA Zahnfabrik).
Caso clínico y planificación del tratamiento
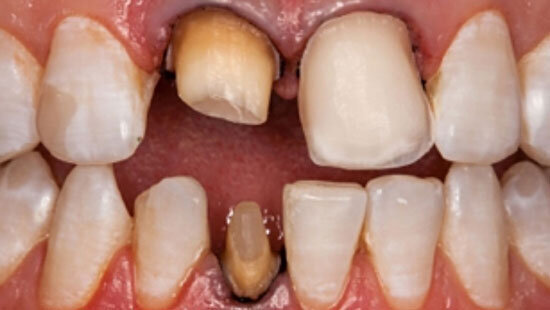
Un paciente de 32 años había sufrido un traumatismo que provocó la fractura de las zonas coronarias de los dientes 11, 21 y 41 varios años que viniera a consulta. A raíz de ello, se endodonciaron y reconstruyeron con composite los dientes 11 y 41. Al cabo de unos años, los dientes desvitalizados sufrieron decoloración. El paciente acudió a la clínica porque estaba insatisfecho con la estética de sus dientes. Tras el diagnóstico y un asesoramiento exhaustivo, se acordó un procedimiento progresivo: en primer lugar, un blanqueamiento; a continuación, una revisión de las obturaciones insuficientes de los conductos radiculares y una reconstrucción directa de perno-muñón en los dientes 11 y 41, y, por último, la restauración de todos los dientes fracturados mediante cerámica sin metal.
Determinación del color y elección del material
Una vez completado el tratamiento preprotésico, se pudo iniciar la reconstrucción CAD/CAM de los tres dientes anteriores. Para poder seleccionar las piezas en bruto del color correcto, tras el blanqueamiento se determinó el color dental 0M1 mediante la VITA Linearguide 3D-MASTER. Tras la determinación del color se seleccionaron las piezas en bruto del color adecuado. En el diente 21 se procedió a la preparación mínimamente invasiva para una reconstrucción con carilla, para poder restaurar posteriormente con cerámica de feldespato VITABLOCS altamente translúcida. Para las preparaciones de corona completa en los dientes 11 y 41 se optó por una restauración con VITA SUPRINITY PC en la variante Translucent, para así, por un lado, enmascarar en la medida suficiente los muñones dentales y, por otro lado, poder reproducir expresivamente el juego de colores y luces natural.
Proceso de confección digital
La preparación se llevó a cabo bajo anestesia local. Tras la colocación de hilos de retracción, se pudieron digitalizar las arcadas dentarias y los muñones de las piezas 11, 21 y 41 mediante la CEREC Omnicam (Dentsply Sirona, Bensheim, Alemania) y se articularon en intercuspidación habitual mediante un escaneo vestibular. Ambas coronas y la carilla se diseñaron en el software CEREC Premium SW 4.4 y se fresaron a partir de las piezas en bruto mediante el equipo de fresado CEREC MC XL (ambos de Dentsply Sirona). Tras el acabado manual se probaron en boca las tres restauraciones y a continuación se personalizaron con los maquillajes VITA AKZENT Plus.
Conclusión
El caso pone de manifiesto la importancia que reviste para diferentes situaciones clínicas la elección del material específico para la indicación, a fin de alcanzar un resultado altamente estético. Tras la fijación completamente adhesiva, gracias precisamente a los distintos materiales seleccionados, las coronas y la carilla se acercaron mucho al modelo natural en todas sus facetas, de modo que ya no eran identificables como restauraciones. El paciente se mostró satisfecho con el tratamiento eficiente mediante el flujo de trabajo digital, como se puede apreciar en la fotografía final tomada al cabo de algunas semanas.
Fig. 1. Situación inicial: Tras el blanqueamiento preprotésico era apreciable una clara diferencia cromática entre la obturación de composite y la sustancia dental dura.
Fig. 2. Mediante la guía VITA Linearguide 3D-MASTER se determinó con precisión el color dental y se pudo seleccionar el correspondiente color de bloque 0M1.
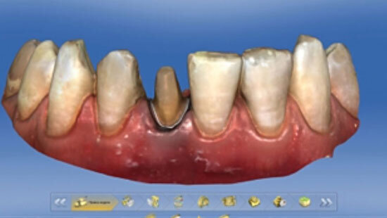
Fig. 3. Tras la preparación se colocaron hilos de retracción para optimizar el registro óptico.
Fig. 4. Los límites de la preparación en los dientes 11 y 21 se establecieron en el software CEREC.
Fig. 5. En el diente 11 se diseñó una corona completa de VITA SUPRINITY PC, y en el 21 una carilla de VITABLOCS Mark II.
Fig. 6. Desde dorsal se aprecia virtualmente el borde palatino de la restauración con carilla.
Fig. 7. También para la preparación de la corona completa en el diente 41 se estableció digitalmente el límite de la preparación.
Fig. 8. La corona monolítica diseñada se confeccionó a partir de la cerámica vítrea reforzada con dióxido de circonio VITA SUPRINITY PC T 0M1.
Fig. 9. Tras el preacondicionamiento se procedió a la colocación totalmente adhesiva de la carilla personalizada de VITABLOCS Mark II como primera restauración.
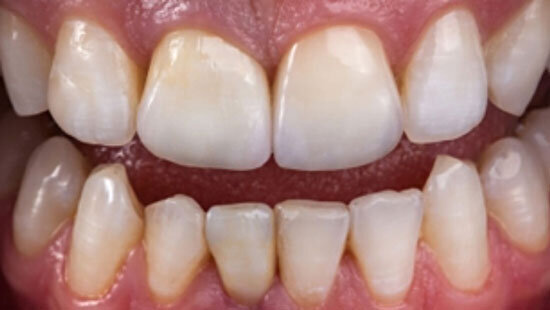
Fig. 10. Tras la cocción de cristalización de ambas coronas completas de cerámica vítrea, se procedió a su prueba en boca.
Fig. 11. Las coronas de VITABLOCS personalizadas con VITA AKZENT Plus se fijaron de forma totalmente adhesiva.
Fig. 12. La corona de cerámica sin metal de VITA SUPRINITY PC se integró de manera excelente en la sustancia dental remanente en cuanto a la morfología y el color.
Fig. 13. La morfología y la textura superficial de ambas restauraciones de cerámica sin metal ya no se distinguían de los dientes adyacentes naturales.
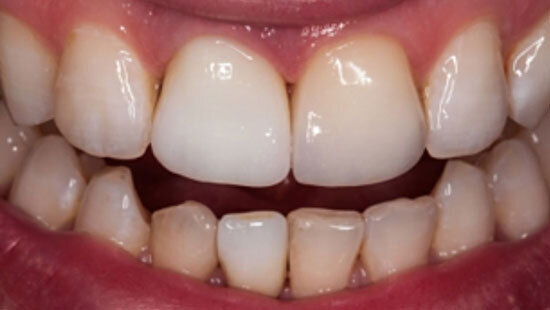
Fig. 14. La elección de distintos materiales para los incisivos centrales superiores se traduce en un resultado altamente estético con un juego de colores y luces natural.
Fig. 15. Resultado: el paciente se mostró muy satisfecho en el control de seguimiento al cabo de unas semanas.
NOTA: Este artículo fue publicado originalmente en la revista “Dental Visionist" de VITA y se reproduce con permiso de dicha compañía.
La odontología moderna ya no depende únicamente de la excelencia clínica.
Hoy, dirigir un consultorio rentable exige saber interpretar datos financieros,...
Decenas de miles de odontólogos, técnicos dentales y estudiantes recorrieron los stands comerciales de los principales distribuidores de la industria ...
To post a reply please login or register