Search Dental Tribune

El control vertical del sector posterior mandibular

Proceso utilizado para de alinear el labio superior, el labio inferior y el mentón en este caso clínico.
Christian Jáuregui

Christian Jáuregui

vie. 28 junio 2024

guardar

El control del plano oclusal nos permite tanto proyectar como desproyectar el mentón, provocando cambios en la armonización del perfil facial. Actualmente tenemos muchos recursos terapéuticos para conseguir la armonización del perfil mediante una rotación antihoraria mandibular, entre los cuales está el uso de desoclusores y elásticos intermaxilares.

Uno de los objetivos estéticos que procuramos cumplir con nuestros tratamientos de ortodoncia es armonizar el perfil del paciente, buscando establecer esas suaves curvaturas en los labios a través de los movimientos vestíbulo linguales de los dientes anteriores para hacer variar tanto el ángulo nasolabial como mentolabial, quedando por último la participación del mentón para completar nuestro tercio inferior facial, donde también podemos modificar su posición mediante el avance o retroceso mandibular (Figura 1).

Figura 1. El análisis de Spradley es un forma de alinear el labio superior, el labio inferior y el mentón trazando una línea vertical subnasal.

En pacientes con perfil convexo, vamos a necesitar una mejor proyección sagital del mentón, por lo que quiero describir un recurso terapéutico que considero bastante simple y efectivo.

Figura 2. A) Imagen con perfil muy convexo y B) perfil recto obtenido por rotación antihoraria mandibular (Imagen generada por IA – Runaway).

Los desoclusores, en general, nos sirven para desprogramar la mandíbula, desarticular las arcadas, mejorar la expresión y libertar los arcos, establecer un control vertical teniendo en consideración el tipo de crecimiento del paciente y aumentar la eficacia de los vectores de fuerza empleados con los elásticos intermaxilares.

Al desocluir en el sector posterior el sistema nervioso buscará reestablecer la altura facial mediante la acción de los músculos masticatorios. Es en este proceso donde debemos actuar mediante el uso de una goma de clase III larga para ejercer un vector extrusivo sobre el segundo molar superior y hacer rotar el plano oclusal en sentido antihorario.

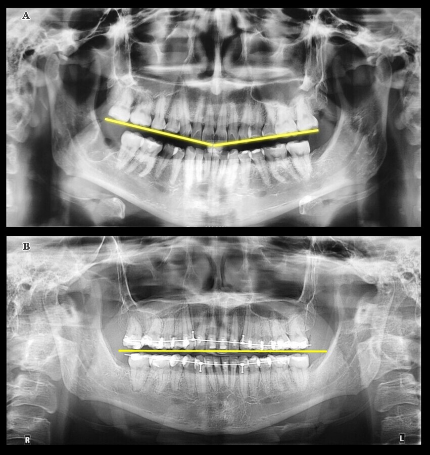
Figura 3. A) Imagen panorámica inicial de la inclinación del plano oclusal. B) Panorámica final que muestra la rectificación del plano oclusal.

Figura 4. A) Telerradiografía de perfil inicial que muestra el plano oclusal inclinado. B) Telerradiografía de perfil final de la mejoría del plano oclusal, habiendo rotado en sentido antihorario.

Figura 5. Comparación de un pre y postratamiento de ortodoncia. A) Plano oclusal inclinado. B) Se consiguió la rotación antihoraria del plano oclusal, mejorando a su vez la proyección del mentón.

Este es otro ejemplo en el cual se realizó exodoncia de los primeros bicúspides superiores e inferiores, empleando el protocolo anteriormente descrito para conseguir la rotación antihoraria.

Cabe remarcar que los resultados a obtener estarán directamente relacionados con el tipo de maloclusión, el biotipo facial del paciente, la cementación estratégica de los brackets y el diseño de nuestra mecánica.

Sin embargo, debido a la practicidad del uso de desoclusores, podemos concluir que este recurso resulta altamente efectivo para favorecer la rotación del plano oclusal, mejorando la proyección en sentido sagital del mentón. 

AUTOR

_______________________________________________________________________________________________________________________________________

El Dr. Christian Jáuregui es Director del Departamento de Ortodoncia del Instituto de Capacitación de la Federación Odontológica Ecuatoriana, en Guayas, Guayaquil.

Bibliografía

  1. Begin with the end in mind. Pitts.
  2. Bracket positioning for smile arch protection. Pitts.
  3. Atlas de cefalometría y análisis facial. Ripano Editorial Médica; 211-236.
  4. Ortodoncia contemporánea Diagnóstico y tratamiento. Editorial Amolca 3era edición; 377-399.
Temas:
To post a reply please login or register
advertisement
advertisement