Search Dental Tribune

El rejuvenecimiento del labio superior (4)

Este tratamiento con láser para mejorar la estética facial elimina las arrugas en los labios y en la boca y resulta en una piel rejuvenecida, como muestran las secuencias de fotos en la parte inferior de la imagen. (Fotos: Shutterstock / IMV)

El Láser en Odontología 4 – Este es el cuarto artículo de una Edición Especial de Dental Tribune sobre el Láser en Odontología.

— EL LASER EN ODONTOLOGIA —

Serie de 12 artículos de Dental Tribune

Kathrin Trelles y Mario A. Trelles, directores del centro de cirugía láser "Vilafortuny Dental & Plastic Surgery Laser Centre", de Dubai, explican en este artículo la técnica de resurfacing de los labios, un tratamiento avanzado de rejuvenecimento facial. Los autores, que han publicado una amplia serie de artículos científicos sobre el tema, describen desde la selección del paciente a las diferentes formas de tratamiento ablativo y no ablativo con láser, al igual que los cuidados postoperatorios.

Introducción

El envejecimiento cronológico es un evento biológico natural que afecta a todo el cuerpo y que por lo general es más notorio en la cara. Los cambios en las características anatómicas asociados a su deterioro y al paso del tiempo —especialmente en lo que concierne a la calidad y disposición de las fibras de colágeno de la piel—, se traducen en una pérdida gradual de la integridad del tejido. Inexorablemente, la piel sufre el empuje permanente de la fuerza de la gravedad y de la exposición a la luz solar, directa o difusa. En particular, la exposición a la luz azul de longitud de onda corta (alrededor de 420 a 400 nm), la ultravioleta (UVA, entre 400 a 320 nm) y la UVB (entre 320 a 290 nm), acelera los procesos del envejecimiento cutáneo.

Las arrugas faciales, que es la parte externa que “todo el mundo ve” y la que es motivo de juicio, se pueden evitar hoy mediante la intervención de la energía láser, que consigue mejoras significativas (Figs. 1A-1C).

Figuras 1A-1C. Evolución estándar de un Resurfacing convencional con láser de CO2. (A) Condición antes del tratamiento. (B) Aspecto 5 días después. Nótese las notorias costras y edema que impiden a la paciente poder realizar sus ocupaciones normales de trabajo. En (C) se aprecia la significativa mejoría de la condición de la piel, en las arrugas y en la flacidez cutánea. Puede aún observarse el eritema residual que acompaña la piel hasta su total recuperación.

La actuación del láser como modalidad complementaria en determinados procedimientos quirúrgicos estéticos ofrece la posibilidad de potenciar los resultados de la cirugía facial, al mejorar el efecto final del tratamiento (Figs. 2A-2D).

Figuras 2A-2D. Histología de piel con tinción de HE/EO x250. (A) Antes del tratamiento. (B) Aspecto 2 pases después del resurfacing con láser de CO2: vaporización de la epidermis y banda extensa de coagulación en dermis que se muestra claramente eosinofílica. (C) El tejido muestra desecación y amplia banda de coagulación que inflamará la piel y activará la formación de colágeno y elastina. (D) La paciente protegida para evitar la exposición de la piel.

En los labios, por ejemplo, los intentos de corregir las arrugas —que producen cambios antiestéticos significativos— se solían tratar con procedimientos quirúrgicos (enfocados mayormente a estiramientos de la piel facial), exfoliación química o mecánica, inserción de prótesis y remodelación o eliminación de parte de piel y/o mucosa, junto con correcciones para recuperar volumen empleando inyecciones de relleno. Pero la epidermis, y la presencia no solo de arrugas sino de trastornos pigmentarios, junto con cambios en la textura y la apariencia externa de la piel, no siempre obtenían correcciones satisfactorias con las intervenciones quirúrgicas convencionales (Fig. 3).

Figura 3. Muestra de piel x400 HE/EO, cinco días después del tratamiento de resurfacing con alta energía programada en el láser de CO2, para emisión en modo fraccional y con notable densidad de pulsos en el diseño seleccionado para el tratamiento. Se aprecian restos de dermis superficial con signos de coagulación y la imagen de un folículo piloso en la dermis profunda que “inyecta” activamente células con misión reparativa de la piel, una vez transcurrida la fase primera (inflamatoria) de reparación de una herida.      

Desde la invención del láser en 1960, en las últimas dos décadas sus aplicaciones médico-quirúrgicas han experimentado un enorme avance, en gran parte por los progresos tecnológicos y por la experiencia que hemos adquirido a través de sus aplicaciones, y principalmente porque entendemos mejor los fenómenos de la interacción láser/tejido y el mecanismo de actuación del efecto térmico que por absorción se produce en el tejido.

Hoy se toma como una autorización que los dentistas “pueden tratar fuera de la boca”. En España, por ejemplo, la Ley 10/86 cubre la práctica de la estética que no se limita a dientes y boca, sino que incluye maxilares y “tejidos anejos”. El compendio de consejos que ofrecemos se basa en nuestra experiencia y en el examen retrospectivo de las publicaciones que hemos realizado y que han sido validadas por diferentes autores.

"Las arrugas faciales se pueden evitar hoy mediante la intervención de la energía láser, que consigue mejoras significativas".

PUBLICIDAD

Selección del paciente

  1. Es fundamental precisar y tener en cuenta durante la entrevista el examen cuidadoso de la totalidad del área de los labios, las características y el estado de conservación de la piel (en la totalidad de la cara), comparándola con la de otras regiones del cuerpo que no hayan estado expuestas al sol (Fig. 4).

Figura 4. Las costras tras el resurfacing son consecuencia de la intensidad del tratamiento, que va de la mano del grado de las arrugas que exigen una programación de tratamiento adecuado para eliminarlas en su totalidad. Cuando caen las costras, un buen maquillaje camufla el eritema a la vez que sirve como protector solar.

  1. Clasificar el grado de importancia de las arrugas ayudará a seleccionar los parámetros y detalles del tratamiento (Fig. 5).

Figura 5. Tratamiento de las arrugas del labio superior. En el examen se identifica el pliegue labio-mentoniano bilateral, por lo cual conviene tratarlo también. El labio superior debe considerarse en conjunción con el labio inferior, de ahí la extensión del resurfacing para eliminar los pliegues y conseguir un resultado más homogéneo y estético.

  1. Examinar con minuciosidad los detalles de la piel y otros posibles defectos (principalmente las pigmentaciones), nos aproximará a un pronóstico de cómo dirigir el tratamiento a fin de embellecer la piel y eliminar las arrugas, evitando las posibles hiperpigmentaciones y cicatrices que pueden ser complicaciones del tratamiento láser (Figs. 6A-6B).

Figuras 6A-6B. Resurfacing con láser de CO2 en modo fraccional, con máxima densidad de pulsos por área en forma no secuencial. Este modo, llamado Cool, dispone los disparos de forma ordenada pero alejándose un pulso del otro a fin de evitar acumulamiento térmico. Se realizaron 2 tratamientos separados tres meses uno de otro. La foto A corresponde al primer tratamiento y la B a 2 meses después del segundo tratamiento.

  1. El labio superior no debe considerarse como un área aislada sino más bien en su conjunto; es decir, en compañía del labio inferior. Consecuentemente, se debe advertir al paciente sobre las arrugas y la presencia de pliegues en particular, por ejemplo, los labio-mentonianos, que producen laxitud cutánea como parte de la genética del individuo y que son, asimismo, producto de la gesticulación y la mímica personal. Si fuera necesario, se debe mostrar al paciente (ayudándose de un espejo) que sería recomendable tratarlas, pues de no hacerlo quedaría una señal residual notable, como una frontera entre la parte sometida a resurfacing y la no tratada (Figs. 7A-7C).

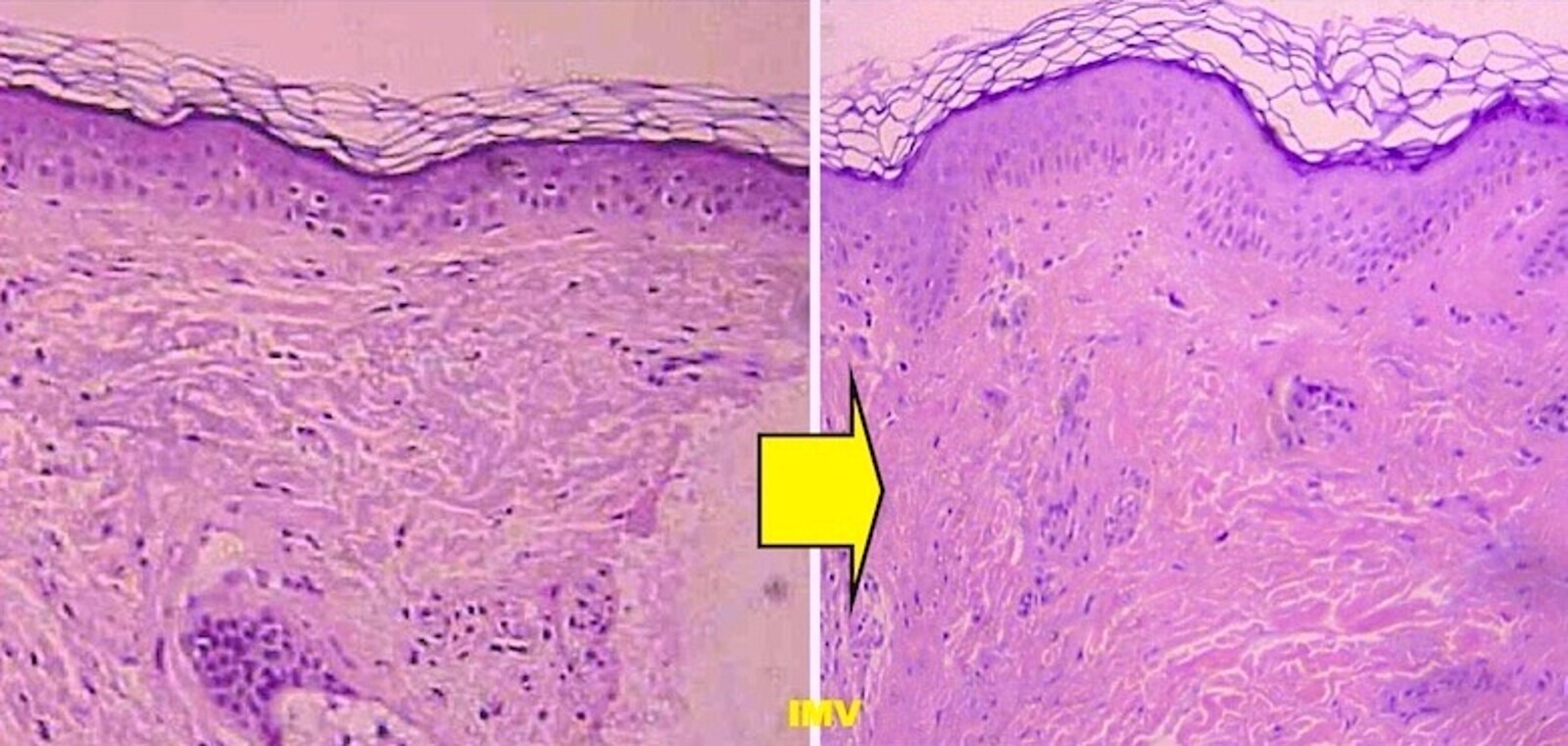
Figuras 7A-7C. Cortes histológicos finos que muestran el antes y después del resurfacing controlado a los 3 meses, donde: (A) la unión de células epidérmicas está bien cementada; (B) el colágeno es denso y notable bajo la unión dermo-epidermica y, (C) la elastina de ser grumosa y desordenada cambia a bandas anchas, todo ello indicativo de rejuvenecimiento de la piel tratada con láser.

  1. Ofrecer explicaciones detalladas nunca constituye tiempo perdido: a ser posible, se deben mostrar imágenes de resultados que permitan apreciar las diferencias que obtiene el tratamiento. Hay que recordar que la curación final del tejido y la formación madura del colágeno solo es notable a los tres meses de haberse realizado el resurfacing. Es válido mostrar fotos de fases intermedias para evitar comentarios descorazonadores, como: “Eso debería habérmelo explicado” o, “si lo hubiera sabido”, o, aún peor: “¿qué hago yo ahora con mis compromisos?” (Fig. 8).

Figura 8. Dos meses después resurfacing combinado con láser de Er:YAG+ Co2 en modo ablativo y subablativo, respectivamente. El eritema está prácticamente resuelto y, aunque se aprecia mejoría en la condición general de la piel y arrugas, es posible que sea necesario practicar un retoque de las imperfecciones en la parte cercana a la junción cutáneo-mucosa si la paciente lo solicita.

  1. En concordancia con el anterior apartado, en las explicaciones hay que advertir sobre las posibles complicaciones. A este fin y para evitarlas, se hace totalmente necesaria la cooperación del paciente, que debe seguir las instrucciones correspondientes en la fase post-tratamiento (Figs. 9A-9B).

Figuras 9A-9B. Estado inicial (A) y combinación de cirugía en un solo tiempo de “lifting” del tercio inferior de la cara y cuello y resurfacing panfacial con láser de CO2 en modo convencional (B). Obsérvese la notable mejoría de la piel de la cara y laxitud del cuello (donde no se utilizó el láser), una semana después de las cirugías, cuando las costras han prácticamente caído en su totalidad. El eritema es intenso y se notan signos de edema, consecuencia del resurfacing.

  1. Interrogar al paciente sobre sus expectativas y ser prudente al hacer promesas. Si hay que predecir los resultados, mejor ofrecer expectativas mesuradas (dando estimaciones menos optimistas de la mejoría que se espera obtener). Dar un pronóstico precavido tiene ventajas: cuando más discretos seamos, si el resultado es mejor de lo esperado (y es probable que lo vislumbremos basándonos en la experiencia), el paciente quedará gratamente sorprendido, contento y agradecido e incluso es muy posible que recomiende nuestro tratamiento (Figs. 10A-10B).

Figuras 10A-10B. Resurfacing con pulsos láser de CO2 de alta intensidad en modo secuencial de la totalidad de la cara, con un solo pase. Imagen inicial (A) y un mes después del tratamiento (B), que muestra los resultados obtenidos en la región peribucal. La mejoría es evidente tanto en la eliminación de las arrugas de varios grados como en los cambios en la calidad y textura de la piel, especialmente en la pigmentación cutánea.

  1. Tan pronto se vayan las costras, se debe enseñar al paciente a disimular el eritema. Primero, se debe explicar su razón y el significado del mismo (Fig. 11). Recomendar entonces, aplicar una crema reparadora e hidratante que incluya en sus ingredientes un protector solar y, además, la aplicación de un maquillaje de color similar al tono de la piel no tratada. Al fin y al cabo, un maquillaje de color es un buen protector solar por su efecto barrera y resultará primordial emplearlo con frecuencia en la fase postoperatoria, iniciando su empleo en cuanto la piel se vea libre de costras.

Figura 11. Seis meses después Obsérvese el eritema presente una semana después del resurfacing, que decrece progresivamente con la reparación total del área tratada.

  1. El sol no es precisamente un “amigo” tras un procedimiento de resurfacing. La piel se encuentra inflamada al igual que los melanocitos, que reaccionan desarrollando hiperactividad y aumentando la producción de melanina debido al efecto quemadura del resurfacing. Esto resulta en que la piel tratada es hipersensible a la radiación ultravioleta, por lo que puede hiperpigmentarse con facilidad.
  1. Avisar al paciente que es recomendable que revise frecuentemente el estado de evolución del labio tratado, pero que no será hasta los tres meses cuando las fibras de colágeno desarrollen bandas anchas y paralelas, y puedan vislumbrarse los resultados del tratamiento (Fig. 12). No obstante, un resurfacing con láser bien ejecutado solamente mostrará los resultados finales beneficiosos obtenidos (y su persistencia), alrededor de seis meses después de la intervención.

Figura 12. Nótese que el tratamiento de las arrugas del labio superior e inferior se acompañó de resurfacing con láser de CO2 de toda la cara.

  1. Hay que tener en cuenta, y más si se repasa la anatomía estructural del labio, que fundamentalmente los labios prácticamente no tienen tejido subcutáneo (Fig. 13); es decir, que de la dermis reticular se pasa al músculo orbicular, lo cual nos enfrenta a una probable complicación: se insiste en pasar y pasar en láser, creyendo que así se eliminarán mejor las arrugas más profundas, se dejará al tejido sin recursos para su correcta recuperación y, al contrario, se terminará con cicatrices indeseadas. Por lo tanto, se debe tener presente que se trata de una cirugía electiva que persigue un fin estético y de rejuvenecimiento, por lo que las complicaciones deben prevenirse.

Figura 13. Antes - Arrugas grado IV, pliegues y pigmentaciones en la primera imagen. Claros signos de elastosis y mejoría obtenida tras resurfacing con láser de CO2. Conviene esperar por los resultados, que pueden valorarse hacia los seis meses.

  1. Conviene marcar el área para resurfacing estando el paciente sentado. Al final del tratamiento es aconsejable pasar más rápido la pieza de mano en el límite donde termina la marcación descargando pulsos más espaciados, a fin de degradar la densidad de los disparos láser para que el procedimiento no deje líneas de demarcación que muestren diferente tono y textura en comparación con el área donde se ha realizado el resurfacing (Fig. 14).

Figura 14. Evolución de resultados en el labio superior y en los pliegues de las comisuras tras resurfacing con láser de CO2 Un año después, la persistencia de efectos beneficiosos es buena.

Estado actual del resurfacing láser

Desde que el resurfacing convencional con láser se realizara por ablación de la totalidad de la epidermis y parte de la dermis papilar, han pasado muchos años. Los láseres ablativos (el de CO2 y el de Er:YAG, que continúan empleándose), hoy lo hacen con una tecnología sofisticada preparada para mejorar el control del efecto térmico del láser, que deposita su energía en el tejido en un modo que conocemos como “fraccional”. Es más, el modo de distribución de los impactos del láser puede hacerse de forma secuencial (un impacto al lado del otro, dejando entre ellos un puente de piel sin tratar), de tal forma que el daño térmico, terapéuticamente controlado que se ejerce sobre la piel, permita su más temprana recuperación y se eviten significativamente las complicaciones.

"Las aplicaciones médico-quirúrgicas del láser han experimentado un enorme avance, porque entendemos mejor los fenómenos de la interacción láser/tejido y el mecanismo de actuación del efecto térmico".

En cuanto a los tratamientos de resurfacing no ablativos, los mismos atraviesan la epidermis y la energía láser se deposita en la dermis (Fig. 15).

Figura 15. Evolución de la rugosidad y la textura en relación con la histología en el resurfacing fraccional del labio superior. Notable mejoría de la textura de la piel con dos tratamientos, uno cada 30 días. El último control corresponde a 2 meses después de la segunda sesión.

El calor que se desarrolla en el tejido ejerce su efecto, con la consecuente inflamación al producir lesiones por quemaduras, que durante el proceso reparativo natural del organismo estimulan la formación de colágeno (Figs. 16).

Figuras 16.1 - 16.6. Pases progresivos del láser de Er:YAG (imágenes 1-5) con programación usual en resurfacing. Al llegar a la dermis el sangrado impide seguir la eficaz eliminación de tejido (imagen 6). La histología no muestra coagulación residual.

Sin embargo, si la diana de absorción es la dermis, la epidermis deja de experimentar los beneficios de rejuvenecimiento que se observan con el resurfacing ablativo, cuya actuación comienza por la capa más superficial de la piel. En consecuencia, es preciso aumentar la energía de los pulsos no ablativos para prolongar el tiempo de disparo. Pero, si tenemos en cuenta que el tiempo constituye un factor determinante para contener la propagación del calor, al emplearse pulsos de mayor duración para trasportar mayor energía, el efecto térmico se propagará en todas direcciones desde el interior de la piel (y, en consecuencia, también hacia la epidermis), con lo cual —como producto de un tratamiento más energético— aparecerán externamente en la piel costras finas, que al caer darán paso a un aspecto más fresco y rejuvenecido de la epidermis (Fig. 17). No obstante, insistimos que ambos tratamientos, ablativos y no ablativos, consiguen efectos de mejoría del tejido, lo cual los hace tener sus defensores y detractores en lo referente a los resultados que se consiguen con estas dos modalidades de resurfacing.

Figuras 17A-17C. Eritema y finas costras en resurfacing con láser fraccional de Er:YAG para la piel facial con moderados signos de deterioro de las características de textura y juventud. Evolución estándar del tratamiento de resurfacing con láser fraccional de Er:YAG. Se practicaron dos tratamientos ablativos separados por un mes, y la recuperacón fue rápida y sin prácticamente eritema. Es entonces un resurfacing de buena indicación en caso de arrugas grado I, donde se desea “refrescar” la piel con resultados buenos y evidentes.

Por lo tanto, una clara y detallada explicación dada al paciente sobre los puntos a favor y en contra de ambos modos permitirá convenir cuál tratamiento es el que mejor le conviene.

El tratamiento en modo fraccional puede ejecutarse de forma secuencial (Fig. 18), empleando disparos uno al costado del otro, que asimismo serán definidos automáticamente por el sistema láser siguiendo una programación preparada por el fabricante. Su funcionamiento se ejecuta por al software incorporado, que dispone la densidad o número de pulsos por área tratada (según se desee), siguiendo un patrón que incorpora cada láser. Los láseres actualmente están preparados para adecuar el tratamiento y que resulte lo más conveniente para cada tipo y necesidad circunstancial de la piel, pero siempre sobre la base de la experiencia del usuario que es, al final, quien decide los parámetros para el resurfacing.

Figura 18. Resurfacing con láser de Er:YAG en modo ablativo y subablativo.

Otros modos de disparo fraccional pueden programarse para actuar “aleatoriamente” o de forma “caótica”; pero los diseños de tratamiento respetarán siempre el principio: “Ahí donde se ha disparado previamente, no se descargaráel próximo pulso”. Por lo tanto, cuando más alejados los disparos láser se sitúen uno del otro mejor, se dará más oportunidad para que ocurra disipación del calor y se evitarán los riesgos que implica un depósito de energía térmica cuya acumulación pueda poner en peligro la correcta recuperación de la piel. Huelga decir que todos estos tratamientos se realizan bajo algún tipo de anestesia, sea tópica, inyectada localmente y, a ser posible con el paciente bajo leve sedación.

Se debe recordar al paciente que "la curación final del tejido y la formación madura del colágeno solo es notable a los tres meses de haberse realizado el resurfacing".

El modo RecoSMA de rejuvenecimiento cutáneo (con el que se tratan arrugas y cicatrices) no se considera un resurfacing en toda regla, pues el tren ajustable de pulsos del láser de Er:YAG de alta energía que emplea consigue efectos de empuje en la estructura de la piel. Las ondas que entran en la piel resuenan y chocan entre sí, creando una reacción de alerta biológica para que en la fase de reparación se forme colágeno que tense el tejido. Pero, con este sistema no solo se obtienen efectos en dermis, sino también una efectiva ablación fina y controlada de unas pocas capas de células epidérmicas que, en su conjunto de efectos, logra una rápida recuperación de la piel tratada, dándole aspecto fresco y de rejuvenecimiento sin prácticamente complicaciones; aparte de que el tratamiento se soporta bien sin necesidad de anestesia. (Fig. 19).

Figura 19. Resurfacing combinado con láseres de Er:YAG y CO2 en modo ablativo y subablativo, respectivamente, en una sola sesión.

Cuidados post-operatorios

La experiencia nos dice que alrededor de un 50% de los beneficios del resurfacing se logran con el tratamiento láser en sí. Por eso, los cuidados han de seguirse estricta y cuidadosamente por parte del paciente. Un control cercano para vigilar la evolución de la piel en las diferentes fases de reparación de las heridas causadas terapéuticamente, completan el 50% restante para conseguir una notable calidad en los resultados finales. En consecuencia, el paciente debe ser instruido para ser un colaborador activo y no limitarse a actuar pasivamente; además, debe estar atento a los cuidados del tejido y listo para comunicar al médico cualquier incidencia y/o alteración (Figs. 20-21).

Figuras 20A-20C. Imagen inicial (A) y dos semanas después del resurfacing con láser de Er:YAG (B), en que se trató toda la región peribucal con mejoría significativa. El eritema aún presente puede camuflarse eficazmente con un maquillaje de color que se ajuste a la paciente (C).

Figura 21. Gráfico comparativo de presencia de colágeno por valoración histológica 2 años después del resurfacing con láser de CO2 y con Er:YAG. 

Resurfacing con láser Er,Cr:YSGG en la consulta

El láser de Er,Cr:YSGG, ampliamente empleado en odontoestomatología, ha iniciado hace algunos años su incursión en el terreno de la estética. De su tradicional tratamiento de tejido blando y duro de la cavidad bucal, ha pasado a ser usado para reparar los defectos que presentan los labios, en especial a las características del envejecimiento, como arrugas, textura y luminosidad de la piel. La pieza de mano fraccional (FHP) ofrece ventajas innegables, pues al acoplársele al conector de la fibra que transporta la energía láser, queda lista para empleársele en la práctica de resurfacing (Fig. 22).

Figura 22. Tratamiento láser no ablativo. Histología de piel con tinción de HE/EO x250, inmediatamente después de un tratamiento láser no ablativo. La epidermis aparece conservada en tanto que la dermis no muestra su patrón normal: no se observan fibras y el tejido aparece coagulado por efecto de la acción térmica desarrollada a este nivel por absorción de la energía láser.

La potencia de 6 W con que emite en una frecuencia de 15 Hz, consigue una energía respetable de hasta 400 mJ. Los disparos láser pueden cubrir el 8% del área de tratamiento con un solo pase, y la maniobra de disparo puede repetirse de acuerdo con la intensidad de efectos que se persigue para el tratamiento de los inesteticismos de los labios. El tratamiento de resurfacing sirve según su intensidad para “dar brillo al tejido”, eliminar líneas y pequeñas arrugas (y, en el caso de atreverse con arrugas de grado más importante) puede pasarse más veces la FHP para conseguir mayor número de disparos por área; es decir, una densidad mayor de pulsos que consiga un depósito térmico capaz de activar más musculosamente la formación de colágeno que estire la piel y logre eliminar las arrugas. Y, si se busca ser más prudente, existe la opción de repetir el tratamiento una vez trascurridos 1-2 meses (Figs. 23-24).

Figura 23. Rejuvenecimiento de la piel no ablativo. Histología de piel con tinción de HE/EO x250, antes y 3 meses después del tratamiento de resurfacing no ablativo. Obsérvese el cambio significativo del tejido, que muestra características propias de una piel más joven.

Figuras 24A-24E. Rejuvenecimiento fraccional no ablativo. El método del láser Fraxel (A, B, C, D) muestra los efectos en el interior de la piel al incrementar el ancho del pulso. Obsérvese la columna de coagulación en dermis que aumenta con el incremento de tiempo de actuación del pulso. Lo mismo ocurre con el láser no ablativo (E), en este caso de la firma Lutronic, donde un pulso más ancho de 30mJ permite la propagación de la energía hacia la superficie, consiguiendo desprender la epidermis. De ahí que se consigan afectos también en el exterior de la piel con este modo de tratamiento, que en principio no debiera, lesionar la epidermis.

"Dar un pronóstico precavido tiene ventajas: si el resultado es mejor de lo esperado, el paciente quedará gratamente sorprendido".

Ni que decir que el espray de agua y aire que actúan durante el tratamiento, proporcionados a través de los conductos incluidos en el mismo “cordón-umbilical” que conduce la energía láser, tiene múltiples ventajas. El espray de aire y agua actúa de igual modo que cuando se utiliza en la cavidad bucal, jugando un papel relevante en disminuir drásticamente el dolor del tratamiento. Se debe tener en cuenta que el espray de agua evita la desecación del tejido y puede, de esta manera, usarse para la eliminación eficaz de capas de epidermis y de la dermis papilar, hasta que se estime que el tratamiento ha logrado su cometido.

Comentarios

No obstante, la durabilidad mecánica de la fibra que conduce la energía láser depende en gran medida de la limpieza en su parte final en la que se acopla la FHP. La punta para acoplar la pieza de mano debe ser reemplazada en el tratamiento de cada nuevo paciente. La pulcritud del extremo de la fibra favorece su funcionamiento como guía de las ondas de energía láser, en tanto que la radiación se enfoca en la cara final de la fibra para ser transmitida a la FHP. La densidad de radiación aumenta significativamente si se practican las mencionadas maniobras, pues incluso los aditivos más pequeños pueden ser críticos, y casi siempre resultan en que la fibra óptica se quema por la energía láser que es detenida a este nivel (absorción = daño térmico).

"El láser de Er,Cr:YSGG ha pasado a ser usado para reparar los defectos que presentan los labios, en especial a las características del envejecimiento, como arrugas, textura y luminosidad de la piel".

La radiación del láser de Er,Cr:YSGG) está en el pico del espectro de absorción del agua, lo que hace que el coeficiente de absorción de su radiación sea mayor que la del láser de dióxido de carbono (CO2). No obstante, esta diferencia (siendo importante), no resulta tan capitalmente significativa como para cambiar por completo su mecanismo térmico de actuación. A partir de este hecho puede sugerirse que su reacción se convertirá en aproximadamente similar a la del láser de CO2, en caso de que la absorción de la radiación se lleve a cabo en similares proporciones en el tejido biológico. Lo dicho puede lograrse si se maniobra con densidades de energía subablativas que consiguen acumular calor en la piel que, a través del proceso inflamatorio que se origina, logra efectos estimulantes de reparación tisular que incrementan la formación de colágeno. El nuevo colágeno “planchará” las arrugas de mayor grado y proporcionará mejor textura a la piel de los labios (Fig. 25).

Figuras 25A-25C. Resurfacing fraccional con láser de CO2. Antes del tratamiento (A). Inmediatamente después del tratamiento la piel muestra puentes de tejido no afectado por la energía térmica del láser (B) que posibilitan la recuperación más rápida de la piel. 3 semanas después del tratamiento (C), la piel se ve fresca y rejuvenecida y de mejor calidad y textura, aunque aún se aprecia eritema residual de grado medio.

Tratándose de este láser, en nuestra práctica hemos extendido su empleo a una elegante forma de perforación limpia de la epidermis, a fin de conseguir introducir medicación en el interior de la piel. Sabiendo que en cuanto entramos en la dermis la piel comienza a sangrar y la absorción del láser de Er,Cr:YSGG ocurre por el cromóforo de agua que contiene la sangre, nos limitamos a elaborar canales con un doble paso de disparos con la FHP. Al no observarse prácticamente residuo térmico en el tejido adyacente, la trans-epidermización de medicamentos es eficaz y potencia los efectos que aporta la energía ablativa del láser, extendiendo sus indicaciones a, por ejemplo, el tratamiento de lesiones pigmentarias cutáneas de localización en dermis que usualmente tienen carácter recurrente (Figs. 26-29).

Figura 26. Aumento progresivo de los pulsos de láser. Efectos clínicos del resurfacing en modo Pixel. Se observa el punteado de progresiva cantidad. Según muestran las histologías, los varios pases de láser eliminan más tejido sin causar prácticamente daño térmico residual.

Figura 27. Los pulsos “Stacking" con láser Pixel CO2, de Alma, en modo Pixel penetran progresivamente en la piel y favorecen la propagación térmica con formación activa de colágeno, lo cual se aprecia macroscópicamente en la piel y en las histologías.

Figuras 28A-28B. Láser Pixel Er:YAG de Alma en modo “Stacking”. Antes (A) y 2 semanas después del tratamiento de resurfacing (B). Se realizaron seis disparos en el mismo sitio a fin de llegar a la dermis y crear un sólido efecto térmico sin provocar sangrado. En la imagen pequeña aparece el labio durante el tratamiento.

Figuras 29.1 - 29.6. Resurfacing fraccional con láser de C02 en modo SECUENCIAL Coherent. Arriba, condición de la piel antes de iniciar el tratamiento. Debajo (1-6), resultados del incremento de la densidad de pulsos de los disparos del láser dirigidos del tratamiento de resurfacing fraccional. Nótese que el modo de operación empleado no deja prácticamente residuo térmico en dermis.

Dicho de otra forma, la interacción luz-tejido y la capacidad de penetración de la energía láser en la piel dependen de las características ópticas de la piel (cromóforo), y de la longitud de onda del láser utilizado. Lo expresado nos conduce a la amplia información que recibimos sobre que el rejuvenecimiento ablativo láser produce muy buenos resultados en el tratamiento de arrugas profundas asociadas con la piel foto-envejecida y foto-dañada, pero el tiempo asociado de inactividad para el paciente por el eritema persistente, los riesgos de complicaciones y los potenciales efectos secundarios, son factores negativos. Por ello, se utilizan también tratamientos no ablativos que tienen un comportamiento “menos agresivo” y ofrecen una variedad de modalidades de disparo para realizar el resurfacing láser (Fig. 30).

Figuras 30A-30B. Resurfacing ablativo con láser Pixel COen modo Pixel para tratamiento de cicatrices del acné. Se practicaron 2 sesiones separadas, una que muestra los resultados a nivel del tercio inferior de la cara a los tres meses (A), y otra a los seis meses después del segundo tratamiento (B), donde se aprecia eliminación de las cicatrices y mejoría de las características de la piel, que ha devenido más joven y de mejor aspecto general.

Las longitudes de onda de diferentes láseres no ablativos mejoran la condición de la piel y ayudan a incrementar los resultados post-quirúrgicos. Sin embargo, no deberíamos considerar sólo la mejoría producida por el tratamiento a corto plazo, sino los efectos duraderos y el mantenimiento de la calidad y persistencia de los efectos a largo plazo. Y, en esto, el colágeno y las fibras de elastina juegan un rol importante en la bondad y duración de sus efectos en el tiempo.

El rejuvenecimiento no ablativo en todas las etapas de la reparación y en el rejuvenecimiento de la herida cutánea se produce bajo la protección biológica de una epidermis intacta; no obstante, y aunque se trate de láseres no ablativos, la banda de daño térmico residual (RTD) debe estar siempre asociada con un tratamiento de calidad. En los procedimientos ablativos láser este fenómeno es evidente a continuación del resurfacing, porque este hecho estimula la remodelación de las fibras de colágeno y las bandas de elastina, principalmente en la porción de la dermis superior, que son las que tensan la epidermis.

El ejercicio cabal del resurfacing comienza por conocer la piel como lugar de tratamiento, junto con las indicaciones y limitaciones de las técnicas instrumentales a emplearse para conseguir rejuvenecerla.

Declaración

Los autores agradecen al Prof. Antoni España por su invitación para escribir este trabajo de recopilación sobre nuestras observaciones y consejos, que ofrecemos a los que se inician en la terapia de resurfacing láser de los labios, deseándoles éxito en su práctica.

Expresamos también nuestra gratitud a L.T. Cohen por su ardua labor y cooperación en la búsqueda y compilación de las referencias abajo listadas, que han servido para la elaboración del presente manuscrito.

El texto refleja y comparte, en forma de resumen, la experiencia en la práctica de resurfacing realizados por los autores con una extensa variedad de sistemas láser.

Las Figuras son solamente material ilustrativo de pacientes tratados por los autores, que expresan la evolución y los resultados conseguidos en el transcurso del tiempo, con la sintomatología, valoración clínica, gráficos e histologías observadas.

___________________________________________________________________________________________________________________

  1. Licenciada en Odontología (Noruega), M Sc. en Implantología, M Sc. en Láser en Odontología (MLO), DSD Master & Kois Graduate. Práctica privada, Fundadora y directora de Vilafortuny Dental & Plastic Surgery Laser Centre and Training Institution, Jumeirah, Dubai (Emiratos Árabes Unidos).
  2. Doctor en Medicina y Cirugía, Cirujano Plástico-Estético. American Board Diploma in Lasers in Aesthetic Surgery. Director y Profesor del Máster Láseres en Medicina y Cirugía, Universidad Nebrija, Madrid. Director Honorario del Máster en Láseres en Patología Dermato-estética, Colegio Oficial de Médicos de Barcelona & Universidad de Barcelona. Cirujano Plástico-Estético en Vilafortuny Dental & Plastic Surgery Laser Centre and Training Institution, Jumeirah, Dubai (Emiratos Árabes Unidos).

Ver bibliografía debajo

Serie de artículos de Edición Especial sobre Láser en Odontología

01. Beneficios del uso del láser — Javier de Pisón
02. Introducción al uso del láser — Antoni España
03. Aplicaciones del láser en Cirugía Bucal — Antoni España
04. Rejuvenecimiento del labio superior — Kathrin Trelles y Mario Trelles
05. Utilización del láser en Implantología  Daniel Abad
06. El uso del láser en Periodoncia  Alfredo Aragüés
07. Terapia Fotodinámica — Marta Pascual
08. Láser en Odontología Conservadora — Josep Arnabat
09. Láser en Endodoncia — Jaime Donado
10. Láser en Prótesis Dental — Hernán Giraldo
11. Fotobiomodulación en odontología — María Pérez
12. Láser en Ortodoncia - Diana Montoya
 

13. EDICIÓN ESPECIAL de DENTAL TRIBUNE sobre Láser en Odontología

Incluye todos estos artículos, promociones, descuentos y extras

• Ediciones Digitales. Consulta más de 15 años de ediciones de Dental Tribune Latinoamérica.

Publicaciones relacionadas de los autores

  • Trelles MA, Vélez M, Allones I. “Easy dressing”: an economical, transparent nonporous film for wound care after laser resurfacing. Arch Dermatol 2001;137: 674-675.
  • Trelles MA, Allones I, Luna R. One-pass resurfacing with a combined-mode Erbium: YAG/CO2 laser system: a study in 102 patients. Br J Dermatol 2002;146: 473-480.
  • Trelles MA, Mordon S, Benitez V, Levy JL. Er:YAG laser resurfacing using combined ablation and coagulation modes. Dermatol Surg 2001;27: 727-734.
  • Trelles MA, Allones I, Luna R. Facial rejuvenation with a nonablative 1320 nm Nd:YAG laser: a preliminary clinical and histological, evaluation. Dermatol Surg 2001;27: 111-116.
  • Trelles MA, Stanek J, et al., Aesthetic surgery and lasers as adjunctive therapy 2004, Plastic-Aesthetic Surgery Journal 2004;3: 218-224.
  • Trelles M.A, Pardo L, Ayliffe P, Trelles K, Vélez M, Garcia Solana L. Patients’ Answers to a Postoperative Questionnaire Related to Laser Resurfacing. Facial Plastic Surgery 2001;17 (3):187-192.
  • Trelles MA, Allones I, Luna R. Dermatologic Surgery. 1998;24(1):25-29.
  • Trelles MA, Mordon S, Svaasand LO, Mellor TK, Rigau J, Garcia L. The Origin and Role of Erythema After CO2 Laser Resurfacing. A Clinical and Histological Study. Dermatol Surg 1998 Jan;24(1):25-9. doi: 10.1111/j.1524-4725.1998.tb04047.x.
  • Trelles MA. Short and long-term follow up of nonablative 1320 nm Nd:YAG laser facial rejuvenation. Dermatol Surg 2001;2007: 781-782.
  • Trelles MA, Coates J, Trelles O, Trelles K, Curto M, Clarke A. Histological correlation in laser skin resurfacing. Lasers in Medical Science December 1995; 10(4): 279-282.
  • Trelles MA, Verkruysse W, Sanchez J, Velez M, Trelles K. Improving the results of facial dermal lesions elimination by laser. Journal of Clinical Laser Medicine & Surgery March 1994; 12(1): 27-9.
  • Trelles MA. Laser ablative resurfacing for photo rejuvenation based on more than a decade’s experience and 1200 patients: personal observations. Journal of Cosmetic Dermatology. 2004;2:2-13.
  • Trelles MA, Allones, I. The Cool Touch Laser: Too Much of a Good Thing? Laser in Mdical Science. 2001;16:304-305.
  • Trelles MA. Comparative trials to check degree of ablation with the Cool™ and Ultrapulse™ sequential modes using densities from 1 to 7, 175mJ, 10W, in dark skins (Lumenis™: Project Multicentric Study, 2007).
  • Trelles MA. The ALMA™ Er:YAG 2940 nm Laser, 2007: Electronically edit. on-line by Alma Lasers, Cesarea, Israel.
  • Trelles MA. Scarred and Deformed Tissue Revision by Laser Surgery Chapter in Advances in Dermatological Surgery, 2010, Edited by Springer, Chicago, USA.
  • Trelles MA, Pardo L, Rigau J, Garcia L. Rapid healing after skin laser resurfacing: a minimal mechanical trauma technique. Ann Last Surg. 1998; 41 (3): 332-4.
  • Trelles MA, Brychta P, Stanek J, Allones I, Alvarez J, Koegler G, et al. Laser techniques associated with facial aesthetic and reparative surgery. Facial Last Surg. 2005; 21 (2): 83-98.
  • Trelles MA, Rigau J, Pardo L, García-Solana L, Vélez M. Electron microscopy comparison of CO” laser flash scanning and pulse technology one year after skin resurfacing. Int. J Dermat. 1999; 38 (1): 58-64.
  • Trelles MA, Pardo L, Trelles O, Vélez M, García-Solana L, Rigau J, Chamorro J. Seguimiento comparativo clínico e histológico del rejuvenecimiento de la piel con láser Coherent y Sharplan. Cir Plást IberLatinoam 1999;25: 33-44.
  • Trelles MA, García-Solana L, Calderhead RG. Skin resurfacing improved with a new dual wavelength Er.YAG/ CO2 laser system: a comparative study. J Clin Laser Med Surg. 1999;17: 99-104.
  • Trelles MA, Allones I, Velez M. Non-ablative facial skin photorejuvenation with an intense pulsed light system and adjunctive epidermal care. Lasers Med Sci. 2003;18: 104-111.
  • Trelles MA, Allones I, Levy JL, Calderhead RG, Moreno-Arias GA. Combined nonablative skin rejuvenation with the 595- and 1450nm lasers. Dermatol Surg. 2004;30: 1292-1298.
  • Trelles MA, Allones I, Vélez M, Mordon S. Nd:YAG laser combined with IPL treatment improves clinical results in nonablative photorejuvenation. J Cosmet Laser Ther. 2004;6: 69-78.
  • Trelles MA, Allones I, Mayo E. Combined visible light and infrared light-emitting diode (LED) therapy enhances wound healing alter laser ablative resurfacing of photodamaged facial skin. Medical Laser Application 2006: 21, 165-175.
  • Trelles MA, Vélez M, García-Solana ML, Allones I. Clinical laboratory trials of a calendula cream following laser resurfacing. Cirugía Plástica Ibero-Latinoamericana 2003; 29: 11-23.
  • Trelles MA, Pardo L, Benedetto VA, García-Solana L, Torrens J. The significance of orbital anatomy and periocular wrinkling when performing laser skin resurfacing. Dermatol Surg 2000; 26: 279-286.
  • Trelles MA, Kaplan I, Rigau J, Buezo O. Periocular skin reshaping by CO2 laser coagulation. Aesthetic Plan Surg 1996; 20: 327-331.
  • Trelles MA, Pardo L, Vélez M, García-Solana L, Rigau J. The search for the youthful upper lip using laser resurfacing. Plastic Reconst Surg 2001; 107: 887-88.
  • Trelles MA, Soria C, Pardo Mateu L, Chamorro JJ, Makaron T, Buezo O. Renovación anatómica y estética de los labios, con ayuda del láser. Cirugía Plástica Ibero-Latinoamericana 1998; 24: 63-71.
  • Planas M, Vélez M, Trelles MA. Rejuvenecimiento cutáneo con láser Erbio: YAG y combinado de Erbio:YAG + CO2. In: Cisneros JL, Camacho F, Eds. Láser y Fuentes de Luz Pulsada Intensa en Dermatología y Dermocosmética. Madrid: Grupo Aula Médica 2000: 112-113.
  • Martin-Vazques MJ, Trelles MA, Solana A, Calderhead RG, Trelles O. A new user-friendly software platform for systematic classification of skin lesions to aid in their diagnosis and prognosis. Lasers Med Sci. 2006; 21: 54-60. DOI1007/s10103-006-0370-5.

To post a reply please login or register
advertisement
advertisement