Search Dental Tribune

El Reto de la Retención en Ortodoncia

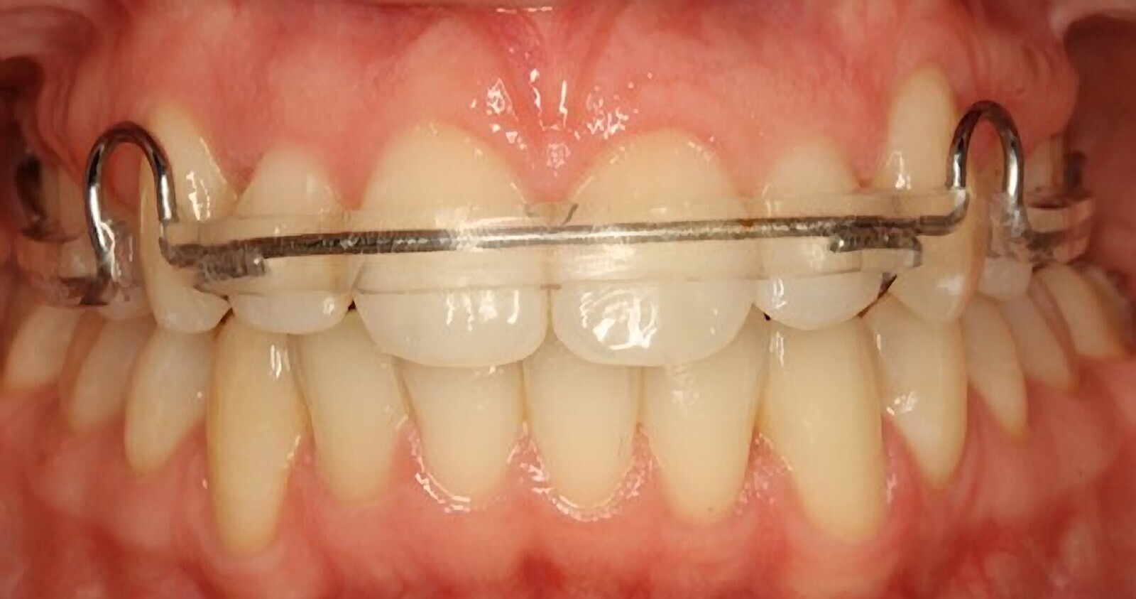
La estabilidad de todos los elementos dentarios es necesaria para alcanzar un equilibrio funcional y estético. (Foto: Shutterstock)

vie. 5 mayo 2023

guardar

Los autores abordan en este artículo uno de los grandes retos de la Ortodoncia: cómo mantener la estabilidad y la retención de los resultados tras el tratamiento. Según la tesis que adelantan, el problema de cómo mantener una óptima estética y función/oclusión de los dientes a largo plazo después de la ortodoncia, está mal planteado, ya que dientes y maxilares están en una posición dada por un motivo, genético o epigenético, el cual se modifica muchas veces sin tener en cuenta este factor.

Curiosamente, la memoria de forma, o capacidad de recuperación elástica de las aleaciones y polímeros, que tanto deseamos durante el tratamiento de ortodoncia, es nuestro principal enemigo cuando se trata de los dientes y su capacidad de volver a sus posiciones iniciales tras el movimiento dentario originado con nuestros aparatos. Por ello, y desde el punto de vista historiográfico, uno de los grandes retos de la ortodoncia ha sido la estabilidad y la retención de los resultados tras el tratamiento o, lo que es lo mismo, la lucha contra la recidiva.

La búsqueda de cómo mantener al cien por cien, y a largo plazo, los dientes con una óptima estética y función/oclusión, ha sido la búsqueda de nuestro Santo Grial, encendiendo apasionados debates sobre las causas, prevención y consecuencias de la recidiva. El problema, a mi modo de entender, está mal planteado desde el principio, ya que tendría que extrañarnos más, tanto a pacientes como profesionales, la perfecta e inmaculada estabilidad correctiva de la tendencia a la recidiva, ya que los dientes y los maxilares estaban donde estaban, al principio del tratamiento, por algún motivo, fuese genético o epigenético.

La presión de los pacientes nos ha llevado a optar por la retención permanente, tanto por su practicidad como por su rentabilidad.

En la mayoría de las ocasiones con nuestro tratamiento sacamos a los dientes y maxilares de un equilibrio primigenio, aunque este equilibrio implique una maloclusión, para colocarlos en posiciones que necesitan de un nuevo equilibrio; en definitiva, si la nueva posición, dental, esquelética o de la ATM, favorece el equilibrio y una situación más fisiológica del aparato estomatognático, la estabilidad está asegurada.

Un caso paradigmático es la mordida cruzada anterior incisiva con suficiente sobremordida: la sencilla corrección de este problema garantiza una nueva posición incisiva, oclusal y de ambas ATM más fisiológica, equilibrada y, por ende, estable.

Un punto más controvertido es el papel del turnover celular, la elasticidad y memoria fibrilar periodontal en la recidiva ya que no debemos de olvidar que las fibras más coronales, supragingivales y transeptales tienen un potencial de remodelación y recambio mayor que las estructuras periodontales más apicales.

"La estabilidad es mayor cuando actuamos sobre la emergencia dentaria que cuando lo hacemos sobre el diente ya malposicionado".

Tampoco es seguro si los cambios producidos durante el crecimiento activo de los maxilares son más estables, lo que sí es cierto es que la recidiva representa un tanto por cien del movimiento realizado y ésta se hace más evidente, y es peor aceptada por el paciente, cuando el movimiento dentario fue mínimo y la recidiva máxima (pensemos en la recidiva de los incisivos inferiores). No tengo ninguna duda, y de aquí nuestra idea de las GEP (Guías Eruptivas Propioceptivas), que la estabilidad es mayor cuando actuamos sobre la emergencia dentaria que cuando lo hacemos sobre el diente ya malposicionado.

Analizando la evolución de nuestra especialidad nos podemos encontrar dos períodos de filosofía retentiva muy bien diferenciados: uno que arranca con Charles Tweed, tras el retratamiento de los casos recidivados de EH Angle, su maestro, y otro, más cercano a nosotros, presidido por el sacrificio de la estabilidad correctiva natural frente a la estética del actual canon de la sonrisa (de dientes grandes y blancos, perfectamente alineados, enmarcados por unos labios gruesos, bien definidos y ligeramente biprotrusivos). Atrás quedan en mi práctica conceptos como overcorrection: la sobrecorrección del tratamiento que realizábamos para compensar la recidiva (por ejemplo, acabar con una sobremordida ligeramente aumentada de un tratamiento por una mordida abierta anterior). La actual presión de los pacientes nos ha hecho abandonar la lucha natural contra la recidiva, rindiéndonos frente a esta y escogiendo la vereda de la retención permanente, tanto por su practicidad como rentabilidad.

"Una de las preguntas claves es saber si este medio ambiente muscular y ligamentoso va a reestructurar su equilibrio después de las modificaciones producidas por nuestros aparatos".

Es interesante y curioso hacer una pequeña reflexión, casi filosófica, sobre el asunto, sin aburrir al lector con la precisión de la ciencia y las citas bibliográficas: nuestra profesión, parafraseando a Kierkegaard, solo puede ser entendida mirando hacia atrás, evaluada con la mirada del presente y ejercida mirando hacia delante.

La mejor retención superior, por comodidad, higiene y colaboración, es la retención plástica removible, que puede ser estándar, como los alineadores de retención pasivos.

Es evidente que en muchos pacientes adultos que acuden a nuestra clínica, incluso con maloclusiones importantes, existe un determinado equilibrio en la posición de los dientes y los maxilares. Sus arcadas son las que son y sus dientes están donde están por la anatomía, acción y presión de los músculos que los circundan y que genéricamente llamamos el Pasillo o Corredor de Tomes. Una de las preguntas claves es saber si este medio ambiente muscular y ligamentoso va a reestructurar su equilibrio después de las modificaciones producidas por nuestros aparatos. La segunda cuestión clave es conocer la cantidad de hueso alveolar, más allá de la base apical de Lündstrom, capaz de generarse por el movimiento dentario ortodóncico y su estabilidad, o reabsorción, una vez retirada la aparatología; lo mismo ocurre con la remodelación periodontal y la memoria fibroblástica.

El siglo XXI comienza con el ascenso de la terapéutica basada en la evidencia, cuyas consecuenciasson un jarro de agua fría para algunas posturas sobre la estabilidad.

Tanto Charles Tweed, como su escuela, pecaron un poco de ingenuos, y mecanicistas, al creer que el mantenimiento de la forma de arcada y/o la anchura intercanina inferior eran un pasaporte para la estabilidad correctiva. En este punto no hemos de olvidar que EH Angle buscaba, con el nuevo diseño del Arco de Canto o Edgewise, que las raíces acompañaran a las coronas a fin de mejorar la estabilidad postratamiento. Así, y durante muchos años, y con paciencia franciscana, los ortodoncistas se afanaron en individualizar la forma de arcada, sobre todo en base a las variaciones étnicas, la anchura bicigomática y el biotipo facial, respetando estrictamente sus dimensiones en los distintos arcos de trabajo y finalización.

Cuando yo empecé en el mundo de la ortodoncia, finales de los 80, había básicamente tres posturas:

  • Los ortodoncistas que admitían, como natural y fisiológica, un cierto grado de recidiva, en especial en los incisivos inferiores.
  • Los que fiaban la estabilidad a la calidad oclusal final del tratamiento y al concepto de sobrecorrección.
  • Los que recomendaban ya, en esos tiempos, una retención permanente de duración desconocida (barra de retención lingual e intercanina inferior y placa acrílica removible superior).

El siglo XXI comienza con el ascenso del paradigma de la terapéutica basada en la evidencia cuyas consecuencias, en este campo, son un jarro de agua fría para algunas escuelas defensoras de la estabilidad natural (cuando los resultados oclusales son los correctos) derivada de los estudios, entre otros, de los hermanos Little en la Universidad de Washington en Seattle. De acuerdo con estos trabajos retrospectivos, todo, o casi todo, recidiva; el resultado a largo plazo de los pacientes sin retención sería un auténtico desastre, inaceptable, en más de un 70% de ellos. Es más, los cuidados y precisos resultados de los Little o Riedel, mostraban que la recidiva no guardaba la relación esperada con la oclusión final, ni con el respeto de la forma de arcada, ni con las extracciones (para evitar la sobreexpansión) ni siquiera con la calidad del tratamiento.

"La retención permanente, bien enfocada desde el punto de vista de la gestión y el marketing de la clínica, puede ser una nueva fuente de ingresos que hay que saber manejar".

Mi experiencia clínica de más de 30 años me hace difícil creer que la recidiva no guarda relación con la calidad del tratamiento, su resultado y el reequilibrio del Pasillo de Tomes. Hay tres factores en la actualidad que pesan mucho sobre este problema: la exigencia de los pacientes de mantener una estabilidad total, al cien por cien, de los resultados en el frente anterior incisivo-canino, la tendencia actual a la sobreexpansión y el rechazo, por parte de los pacientes/padres, a realizar extracciones, incluso en casos de severa discrepancia óseo-dentaria. Para mí resulta arduo o imposible convencer a los pacientes de que es normal una pequeña recidiva en los incisivos inferiores no ya por la recidiva del tratamiento, sino por el propio envejecimiento de la boca (reabsorción del hueso en la zona del punto “B” y progresiva disminución de la anchura intercanina inferior). La recidiva, por tanto, no es una opción en nuestra clínica. Es verdad que el desgaste interproximal o stripping (cambio de puntos por superficies de contactos) y la retención permanente tapan muchos errores terapéuticos al evitar la recidiva de muchos tratamientos con exagerada sobreexpansión y/o proinclinación de los incisivos inferiores; y en este sentido quiero abogar por el logro de una buena oclusión estática y dinámica como una cierta garantía, al menos de canino hacia distal, de estabilidad.

Debemos adaptar el tipo de retención según la maloclusión, etiología y tendencia a la recidiva.

Por otro lado, la retención permanente, bien enfocada desde el punto de vista de la gestión y el marketing de la clínica, puede ser una nueva fuente de ingresos que hay que saber manejar, fidelizando pacientes que antes deseábamos que, tras el tratamiento, se fueran lo antes posible de nuestra clínica. Ya no se trata de luchar contra la recidiva sino de sacarle partido a la retención.

Algunos puntos importantes

  • Explicar al paciente, antes de iniciar el tratamiento, que éste se divide en dos partes diferenciadas, incluso económicamente: la parte activa del tratamiento y la contención. Que, si desea una estabilidad y un mantenimiento de resultados al cien por cien, es necesaria una retención prolongada que se gestiona y administra independiente del tratamiento activo.
  • La gestión de la retención fija lingual inferior exige que ésta sea removida cada cierto tiempo para el control periodontal incisivo y, en caso de aparecer problemas, como pérdida de inserción o hueso alveolar de soporte, ha de reevaluarse su cambio por un aparato removible de uso nocturno. Si bien hay un debate sobre las consecuencias periodontales de la retención (más de la fija lingual inferior), en relación con el acúmulo de placa y gingivitis, aún no hay estudios concluyentes.
  • La mejor retención superior, por comodidad, higiene y colaboración, es la retención plástica removible, que puede ser estándar, como los alineadores de retención pasivos, o con la filosofía de una férula de descarga (con caras oclusales lisas y de un grosos suficiente). Es importante que el paciente sea consciente de las ventajas de este tipo de protección nocturna frente a la recidiva, el desgaste dentario o los problemas derivados de la sobrecarga y disminución del espacio articular de la ATM.
  • La retención tiene un costo independiente del tratamiento y, por tanto, una tarifa cada vez que el paciente acuda a la consulta para reevaluar o cambiar sus sistemas y aparatos de retención.
  • Hay que adaptar el tipo de retención a la maloclusión, su etiología y tendencia a la recidiva. Nuestra política está basada en la retención fija, con alambres trenzados gruesos, en áreas invisibles, en los retenedores tipo Essix de Sheridan o las últimas férulas de los alineadores. En casos puntuales colocamos retenedores tipo Hawley de acrílico con algunas variaciones tanto en el paladar (perlas plásticas linguales propioceptivas) como en los arcos vestibulares (cubiertos de acrílico). Hemos eliminado, por obsoletos, otros sistemas de retención como los posicionadores gnatológicos.
  • En la mayoría de los tratamientos la política de retención es estándar, pero hay casos donde el riesgo de recidiva es muy alto y requiere de procedimientos especiales. Los diastemas interincisivos con discrepancia óseo-dentaria positiva, las rotaciones marcadas o los espacios de extracción necesitan de una retención permanente con alambre trenzado de diferente forma y calibre introducida en un canal previamente tallado en el esmalte.

Buscando un culpable

Al igual que en el nacionalismo, en ortodoncia la búsqueda de un culpable ajeno a nosotros, con objeto de tapar nuestros propios errores, da muchos réditos (sea “el gobierno nos roba” o el “empuje lingual”). En teoría la supresión del causante de la maloclusión daría paso a una mayor estabilidad postcorrectiva, pero esto es más un desiderátum que una realidad probada. Cuando el paciente comprende el riego de la recidiva y la necesidad de una política de retención a largo plazo, ya tenemos mucho ganado, haciendo que nos olvidemos, como hace años, de buscar a dos culpables muy socorridos: los terceros molares y la lengua/los hábitos.

"En ningún caso se debe programar la extracción de cordales para evitar una posible recidiva del tratamiento".

A pesar de que la literatura científica no apoya la idea de la recidiva incisiva inferior derivada de la emergencia de los cordales, yo he visto, y documentado casos en sentido contrario. Es cierto que en la época de la erupción activa de estos dientes ocurre un fenómeno simultáneo de remodelación y reabsorción del hueso alveolar en la zona del punto “B” (con el acortamiento del arco incisivo y el apiñamiento de estos dientes) y del hueso de la rama ascendente más próximo a los cordales (que se interpreta como que estos dientes están intentado salir), lo que crea una falsa relación de causa y efecto. En ningún caso, y en esto sí hay un acuerdo general, se debe programar la extracción de cordales para evitar una posible recidiva del tratamiento o buscando la mejora espontánea o natural de los dientes ya desplazados.

Si con alguien hemos sido injustos y desagradecidos los ortodoncistas es con nuestra querida lengua, culpándola de todos los males cuando el paciente presenta una mordida abierta o una disoclusión. Nos olvidamos que la lengua es uno de los músculos más potentes, versátiles e inteligentes de nuestro cuerpo, protagonista y motor del desarrollo del paladar y las arcadas (baste recordar la Hipótesis de la Matriz Funcional de M Moss). La lengua se mete donde la dejamos y tiene que cubrir el sellado oral anterior en las fases finales de la deglución. Es excepcional ver una mordida abierta por empuje lingual, o deglución infantil o atípica, en pacientes braquifaciales con sobremordida, pero es moneda común cuando el paciente tiene una mordida abierta previa agravada por un patrón dolicofacial; el empuje o interposición lingual muchas veces más que un diagnóstico etiológico, es una simple constatación clínica.

Cuando estemos seguro de que la lengua es un problema hemos de implementar sistemas para su reeducación, pero siempre que previamente, y con nuestros aparatos, hallamos solucionado los problemas dentarios y esqueléticos que participan en la mordida abierta. Es un absurdo, y así me gusta transmitírselo a los logopedas y otorrinos, tratar de reeducar la lengua cuando aún existe un compromiso dentario o esquelético de mordida abierta; no pongamos el carro antes de los bueyes. La etapa de retención inmediatamente posterior a la retirada de nuestros aparatos en muy útil para utilizar aparatos de retención-reeducación lingual (como las perlas plásticas móviles para la reeducación propioceptiva de la lengua).

"Una parte importante de nuestros ingresos debe venir no solo del mantenimiento de los resultados, sino de tratamientos puntuales y muy cortos para adaptar los resultados obtenidos".

En definitiva, la estabilidad correctiva sigue siendo un problema por el misterio de su carácter multifactorial y el tipo actual de pacientes, tan exigentes en el mantenimiento íntegro de los resultados a largo plazo. Mi propuesta es llegar a un pacto amigable sobre el mantenimiento de esta estabilidad, pero por el que ha de pagar el paciente; incluso debe estar dispuesto a hacerse pequeños retoques, con alineadores, en las diferentes épocas de su vida. Es más, una parte importante de nuestros ingresos debe venir no solo del mantenimiento de los resultados, sino de tratamientos puntuales y muy cortos para adaptar los resultados obtenidos hace años con los cambios dentales que acompañan al envejecimiento y que empeoran con el bruxismo.

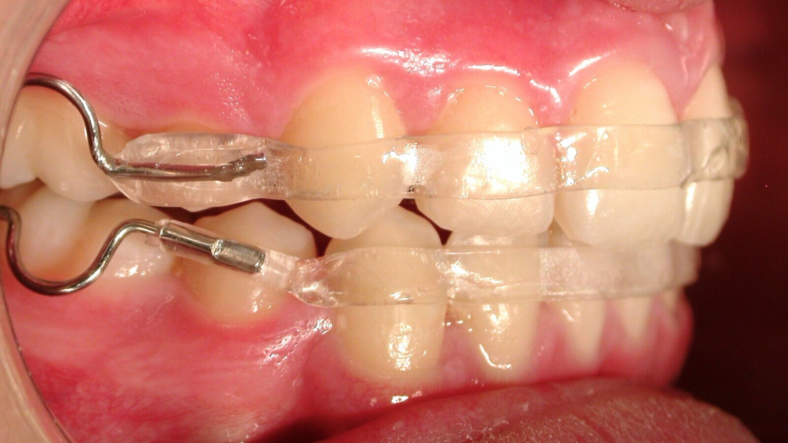
El objetivo de alcanzar el equilibrio adecuado es el resultado de alinear las fuerzas de todos los elementos dentarios.  (Foto: DSQ / Shutterstock)

Discrepo de Little y Riedel sobre la influencia de la calidad del tratamiento en la estabilidad postcorrectiva y creo que esta moda de la retención permanente e infinita con los alineadores pasivos ayudan a disimular errores de nuestra terapéutica, especialmente la sobreexpansión de las arcadas.

Cuando estoy retirando brackets, aparatos de disyunción o expansión maxilar o colocando los últimos alineadores, percibo, con una especie de sexto sentido clínico, cómo va a ser la estabilidad del caso y su mayor o menos tendencia a la recidiva.

En definitiva, todo paciente que quiera mantener los resultados obtenidos con el tratamiento al cien por cien, debe comprometerse con nosotros con una actitud activa y contractual, entendiendo como ajenos a la recidiva terapéutica aquellos cambios producidos por la propia evolución y envejecimiento de la dentición; en cualquier caso, esta retención permanente no puede convertirse en un mecanismo para tapar nuestros errores y vergüenzas clínicas durante el diagnóstico y el tratamiento de los pacientes.

_______________________________________________________________________________________________________________________________________________

  1. David Suárez Quintanilla, autor principal de este artículo, es catedrático de Ortodoncia de la Universidad de Santiago de Compostela (USC), expresidente de la European Orthodontic Society y exvicepresidente de Ortodoncia de la International Association for Dental Research.
  2. Noelia Caamaño Rama es Residente Máster Ortodoncia, USC.
  3. Pedro Suárez Suquía es alumno de Odontología en USC.

ARTICULOS RELACIONADOS

• La planificación digital de la Ortodoncia en el Máster de USC

El incierto futuro de la Ortodoncia

To post a reply please login or register
advertisement
advertisement