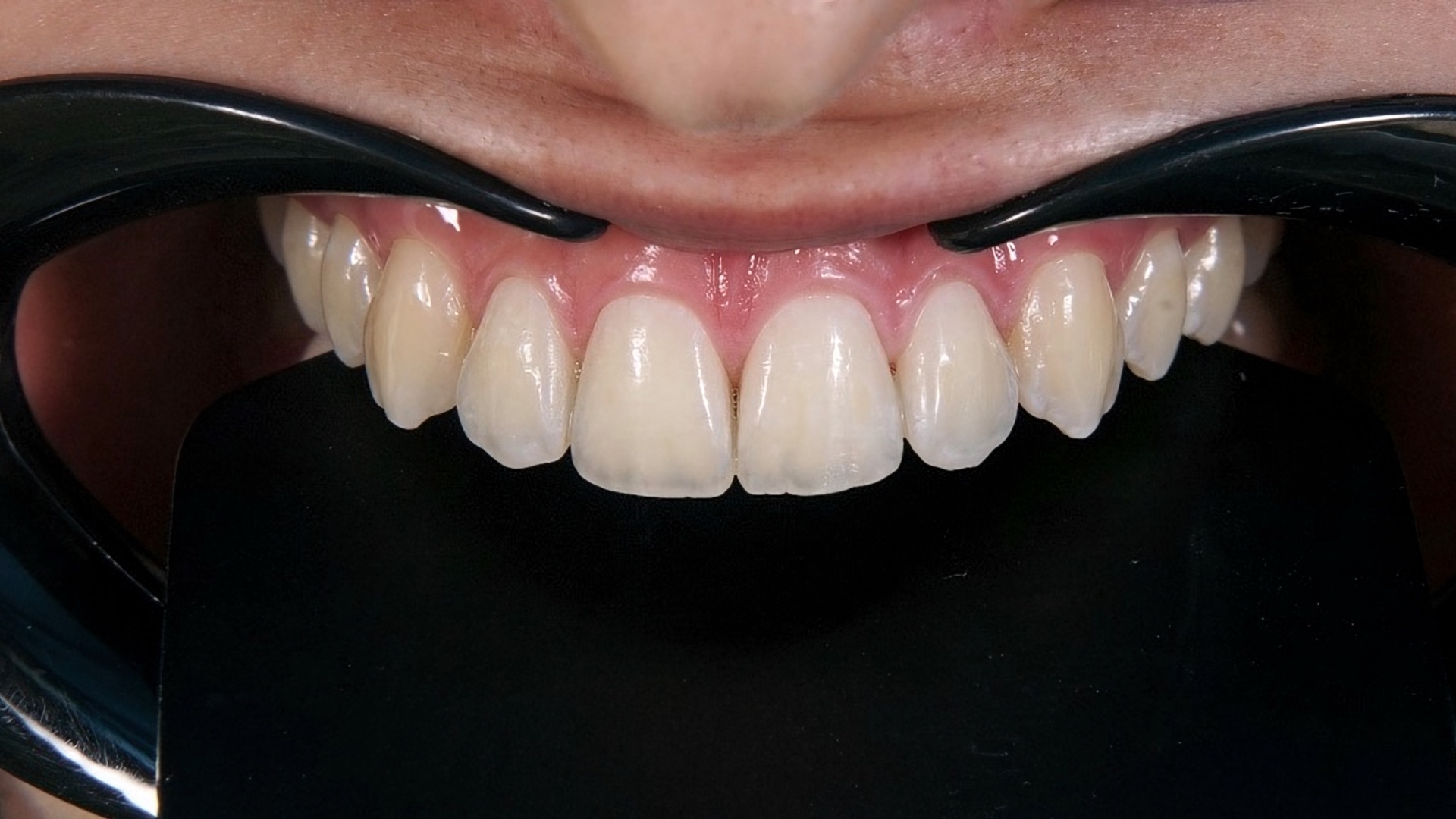
El sistema de color de Munsell se basa en la premisa de que cada color tiene tres propiedades: matiz, valor y croma. En los dientes, a mayor fluorescencia de la dentina, menor es la saturación del color del diente.
Tres reconocidos investigadores se han dedicado durante años a realizar pruebas, comparar y determinar cuáles son los elementos diferenciadores de un tratamiento tan popular como el aclaramiento dental, el cual ofrece una estética inmediata pero conlleva riesgos para la salud dental cuando no se siguen rigurosos parámetros clínicos.
El resultado de esta investigación es el libro escrito por los doctores Sergio Kohen, Agustín Varas y Enrique Jadad titulado "Estética y blanqueamiento dental en la era digital", recién publicado en Buenos Aires, Argentina.
El volumen contiene capítulos sobre todas las fases de este procedimiento clínico, como los titulados Alteraciones del color, Agentes blanqueadores y mecanismos de acción, Microabrasión, Blanqueamiento de piezas despulpadas, Digital smile design o Inteligencia artificial y su aplicación a la odontología estética rehabilitadora digital.
Las variaciones en textura y volumen generan comportamientos ópticos diferentes en los dientes.
Los autores tienen una amplia trayectoria en la clínica, la docencia y la investigación: Sergio Kohen es Profesor Adjunto en la Cátedra de Odontología Integral de Adultos en la Facultad de Odontología de la Universidad de Buenos Aires; Pablo Varas, especialista en Prostodoncia, Especialista en Operatoria y Estética Dental, es Docente en la Facultad de Odontología de la Universidad de Buenos Aires, y Enrique Jadad, es Rehabilitador oral e investigador con práctica en Barranquilla, Colombia.
A continuación, ofrecemos el prólogo del libro, escrito por el Dr. Ricardo L. Macchi y el prefacio de los autores.
Prólogo
No mucho tiempo atrás, Sergio Kohen y varios colaboradores concretaron la publicación del libro "Color, estética y blanqueamiento integrados: atlas de procedimientos y técnicas". Su contenido ha demostrado la utilidad en la formación de grado y postgrado, materializando la posibilidad de actualización en odontología.
Sustentado en el conocimiento científico y profusamente ilustrado, el libro ofrece una actualización de los aspectos fundamentales del manejo clínico de las alteraciones del color de las piezas dentarias.
En esta oportunidad nos propone, junto con Agustín Varas y Enrique Jadad, una nueva obra, con similar orientación, pero vigorizada de acuerdo con el estado actual de la ciencia y la tecnología dominante: la era digital.
Carátula del libro "Estética y blanqueamiento dental en la era digital", que ofrece una actualización del manejo clínico de las alteraciones del color de los dientes.
Manteniendo el enfoque de desarrollar contenidos sustentados en el conocimiento científico y profusamente ilustrados, el nuevo texto incorpora la profundización y actualización de los aspectos fundamentales del manejo clínico de las alteraciones de las piezas dentarias afectadas, especialmente en cuanto a su color.
Se incluyen capítulos que permiten insertar los conceptos y sus fundamentos en el manejo integral de la situación que afecta al paciente en su percepción de la estética. Así, junto con el análisis del empleo de diversos procedimientos en situaciones clínicas específicas, se tratan aspectos psicológicos y legales relacionados, y la manera de atraer a los pacientes hacia la atención odontológica.
Todos los que han participado en este proyecto merecen felicitación por la tarea realizada, como así también la estimulación en aras del avance de la comunicación científica dentro de la profesión odontológica.
—Ricardo L. Macchi
Prefacio
La presentación de este libro ha sido una tarea que hemos encarado con empeño, dedicación y entusiasmo. Nos plantea, como autores, llegar a la comunidad odontológica hispanoparlante, permitiéndonos abrir un enriquecedor canal de comunicación con esta prestigiosa y extensa comunidad profesional.
También ha sido nuestra intención dar a este texto un riguroso lineamiento científico, sin descuidar por ello el aspecto didáctico, en el cual hemos puesto especial atención con la incorporación de casos clínicos mostrando el "paso a paso" de cada procedimiento.
La incorporación de la tecnología digital, siguiendo rigurosos protocolos, permite brindar una mirada amplia e integradora a la odontología estética.
Esto permitirá que el presente sea material de estudio y consulta para profesionales y estudiantes. La carencia en idioma español de textos actualizados sobre el tema y de información objetiva, constituyó el impulso principal para encarar el esfuerzo que representa la realización de esta obra.
La incorporación de la tecnología digital ha permitido un giro en la odontología tradicional. Es por eso que la posibilidad de integrar esta técnica a la odontología estética, con rigurosos protocolos, permite brindar una mirada amplia e integradora.
Sergio Kohen, Agustín Varas y Enrique Jadad, autores del libro "Estética y blanqueamiento dental en la era digital".
En el mismo sentido, "Estética y Blanqueamiento Dental en la era digital", intenta transmitir el conocimiento que hemos acumulado a través de la recopilación de bibliografía general basada en la evidencia, la investigación y la práctica profesional, de una forma simple y metódica. Esperamos que el resultado permita una inmediata transferencia a la clínica. La bibliografía que hemos consultado es indicada al final de cada capítulo y ha sido cuidadosamente revisada.
Por último, es también nuestro objetivo romper con los mitos del blanqueamiento basados en viejas prácticas, abriendo de esta manera nuevas puertas al ejercicio profesional que, con seguridad, los llenarán de satisfacciones.
La odontología moderna ya no depende únicamente de la excelencia clínica.
Hoy, dirigir un consultorio rentable exige saber interpretar datos financieros,...
Decenas de miles de odontólogos, técnicos dentales y estudiantes recorrieron los stands comerciales de los principales distribuidores de la industria ...
To post a reply please login or register