Search Dental Tribune

Implantología con anclaje extramaxilar

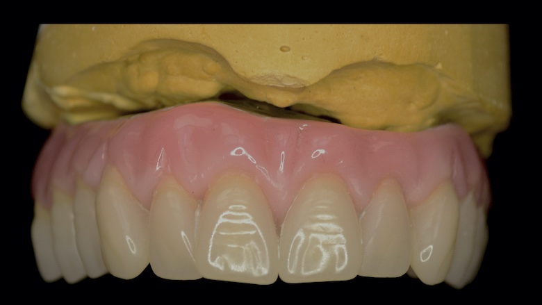
Restauración con implantes finalizada.
Mario Venturini

Mario Venturini

dom. 5 septiembre 2021

guardar

Mario Venturini, director del Instituto de Cirugía Maxilofacial en Rosario, Argentina, nos cuenta el tema que impartirá en la Jornada Virtual de Implantología de AIOI, que versará sobre “Implantología con anclaje extramaxilar”, técnica que permite reconstituir el arco dentario completo del paciente.

La implantología impulsó una mejora en la calidad de vida de los pacientes, mejorando notablemente no solo su confort y estética sino también su autoestima. Aunque pareciera poco y no lo es, evitó dañar más piezas dentarias para lograr un mismo resultado. Si todo ello es cierto, válido y genuino, el anclaje extramaxilar vino más aún, hace ya tiempo, a dar otro gran salto en la resolución quirúrgico protésica en un sesgo de pacientes que seguían excluidos de los beneficios de la implantología por razones obvias: carecían de stock óseo donde implantar.

La implantología volvió a los pacientes más ambiciosos y demandantes de importantes rehabilitaciones, y con justa razón. Hoy en día, prácticamente no hay límites ni etarios ni resortivos-resectivos en los cuales no pueda lograrse la mayor de las rehabilitaciones, el mayor gold estándar, al que los pacientes pueden aspirar: me refiero, ni más ni menos, que a reconstituir su arco dentario completo fijo. Incluso con la posibilidad de remoción y mantenimiento que un simple mortal no implantado no tiene.

Claro, esta elevación de la vara rehabilitativa orofacial ubicó al cirujano dentista en un nuevo plano, de entrenamiento, planificación y ejecución. Supuso un aumento en la complejidad del tratamiento, acompañado de un aumento en la curva de aprendizaje.

Pero el esfuerzo tiene una invaluable recompensa: consolar el llanto de los pacientes-padecientes que, excluidos socialmente, se refugiaban en escuetos resultados rehabilitativos.

Este es sin duda el camino correcto y estamos convencidos que, a través del entrenamiento, podremos mejorar la calidad de vida de los pacientes, quienes son los verdaderos protagonistas de esta historia.

______________________________________________________________________

El Dr. Mario Venturini, Odontólogo y Médico, Especialista en Cirugía Maxilofacial y director del Instituto de Cirugía Maxilofacial en Rosario, Argentina, impartirá una conferencia sobre Implantología con anclaje extramaxilar”, el 25 de septiembre como parte de la Jornada Virtual de Implantología de AIOI. Información por email en: info@aioi2020.com

____________________________________________________

Únete a la mayor comunidad de odontólogos hispanoamericanos y recibe gratis nuestra Newsletter. Y conecta también con nosotros en Instagram y FaceBook.

____________________________________________________

Síguenos en Instagram

Síguenos en FaceBook

To post a reply please login or register
advertisement
advertisement