Search Dental Tribune

Los alineadores dentales: ¡En boca de muchos, en manos de pocos!

Los alineadores dentales son uno de los productos dentales de mayor demanda y crecimiento a nivel mundial. (Foto: R+K CAD/CAM Technologie)
Dental Tribune International

Dental Tribune International

mié. 15 septiembre 2021

guardar

La implementación de técnicas modernas de fabricación y diseño 3D ha abierto nuevas posibilidades en la producción de alineadores dentales, uno de los productos odontológicos de mayor demanda y crecimiento a nivel mundial.

La técnica de ortodoncia con alineadores dentales no es nueva. De hecho, fue descrita por primera vez por el ortodoncista Harold Kesling en los años 50. En esta primera versión, se realizaban “setups” en modelos de escayola para producirlos, los dientes eran segmentados manualmente y se llevaban a cabo pequeñas correcciones dentales y la nueva posición se fijaba en cera. A partir de estos modelos en un principio se realizaba un negativo de placas en caucho. Muchos años después, se implementó la técnica de termoformado para la elaboración de lo que hoy se conoce como alineadores dentales.

Los alineadores dentales son placas termoplásticas removibles, casi transparentes, que corrigen malposiciones dentales sin tener que usar brackets, alambres y/o aparatología fija.

Implementación de sistemas CAD/CAM

A finales de la década de 1990, la empresa Align Technology de Estados Unidos implementa las técnicas de CAD/CAM en la fabricación de alineadores, en donde los “setups” se realizan virtualmente con la asistencia de un software 3D. Esto constituye un gran adelanto, ya que con los setups manuales no era posible tener un control tridimensional de los movimientos.

Además, con los “setups” asistidos con programas de diseño 3D se logra que la planificación del tratamiento sea más precisa. Esto permite determinar exactamente cuándo un diente se tiene que mover, en qué dirección y cuán grande debe ser el movimiento, considerando la biomécanica de los alineadores, el mecanismo de reposición ósea y la predictibilidad de los movimientos. Este sentido, el paso más importante es no dejar el diseño en manos de personas sin experiencia ni conocimientos este tipo de planificación. Las fuerzas aplicadas deben ser controladas, ya que así logramos llevar a cabo los siguientes efectos:

  • Recuperación del periodonto en fases debido al efecto de fuerza intermitente.
  • Reducir casi a cero el riesgo de reabsorción radicular.

Produzca sus propios alineadores

Debido al deseo de muchos pacientes de tener dientes “derechos y perfectos” y al vencimiento de algunas patentes internacionales en 2018, el mercado de los alineadores ha crecido significativamente. El volumen del mercado a nivel mundial de los sistemas de alineadores se estima que alcance los 7.670 millones de dólares para 2027.

Las palabras del presidente de uno de los principales fabricantes internacionales de implantes dentales ilustran la importancia de este mercado y de su astronómico crecimiento. El director ejecutivo de Straumann Holding AG, Marco Gadola, afirmó a principios de 2021 que “en unos años el mercado de la terapia con alineadores superará económicamente a la terapia con implantes. Hay un enorme potencial que aún está por explotar”.

Además, cada vez más inversores y empresas de la industria dental invierten en “startups” de alineadores, algunas de las cuales envían de forma irresponsable los alineadores directamente a los pacientes, sin llevar a cabo un diagnóstico, un plan de tratamiento y un control dental/ortodóntico adecuados.

La empresa R+K CAD/CAM Technologie ofrece el servicio de diseño y planificación para que los laboratorios dentales puedan fabricar alineadores con su marca propia si así lo desean. (Foto: R+K CAD/CAM Technologie)

Centro de planificación R+K CAD CAM Berlín

La compañía alemana R+K CAD CAM Berlín desea que la técnica de alineadores sea llevada a cabo con responsabilidad y que esté siempre en “buenas manos”. En este sentido, los profesionales que están capacitados para producir sus propios alineadores por medio de la técnica de termoformado son los técnicos dentales.

R+K CAD CAM Berlín ofrece el servicio de planificación de la terapia con alineadores, que tiene un gran potencial para hacer crecer el volumen de servicio de los laboratorios dentales. El servicio de planificación lo llevan a cabo expertos en este tema de R+K CAD CAM Berlín, como la autora de este artículo, la doctora Alma García, especialista en los sistemas Clear Aligner e Invisalign. Esta experta evalúa personalmente todas las planificaciones y acompaña a los técnicos dentales a lo largo del tratamiento de sus pacientes, brindándoles el soporte clínico necesario para la correcta implementación de esta técnica. 

Flujo de trabajo

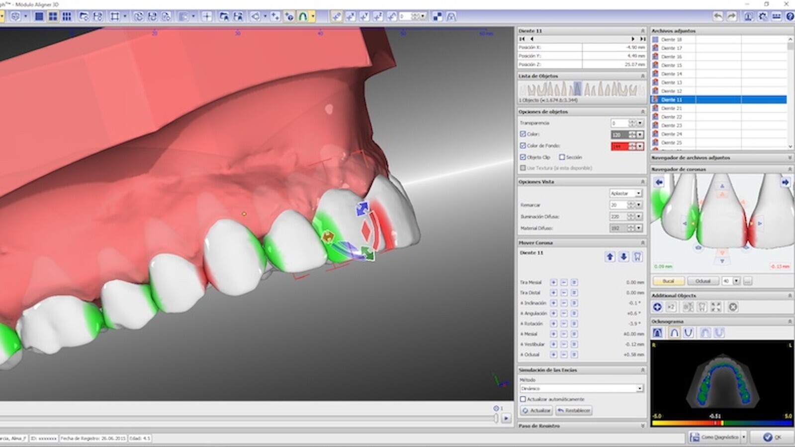
La base para una planificación 3D es crear un modelo 3D virtual. Para ello, los laboratorios deben enviar los datos escaneados en formato STL, y al transcurrir una semana laboral, reciben el plan de tratamiento detallado y una visualización 3D de los movimientos dentales. La posición ideal se simulada por medio del Software OnyCeph (Image Instruments GmbH, Alemania). Una vez que el caso sea aceptado por el odontólogo, se le enviarán los datos STL de los pasos (modelos etiquetados) para que sean impresos en una impresora 3D, para que así los laboratorios puedan fabricar sus propios alineadores por medio del proceso de termoformado. 

Equipos CAM en sus manos

La ventaja de este servicio es que los laboratorios dentales no tienen que invertir en la compra de un software de planificación 3D ni en contratar personal capacitado para manejarlo. R+K CAD CAM les ofrece la solución CAD. En cambio, la producción CAM sí queda en sus manos, con lo que los laboratorios aumentarán su gama de servicios y su rentabilidad por medio del tratamiento con alineadores. Para la fabricación de alineadores en su propio laboratorio se necesita lo siguiente:

  • Escáner (de mesa) de modelos 3D o escáner intraoral (o proveedor de servicios externo)
  • Impresora 3D (o proveedor de impresión externo)
  • Equipo para la técnica de termoformado. 

Gane nuevos clientes

Utilice los recursos que ya tiene y amplíe sus opciones de tratamiento con la producción de alineadores en su propio laboratorio. La Dra. Alma García ofrece cursos virtuales en los que les enseñará a implementar la técnica en su propio laboratorio con muchos consejos prácticos. Para más información, descargue el catálogo de alineadores de la empresa y no dude en contactar por e-mail a la Dra. García en: alma.garcia@rk-cadcam.com.

En la feria internacional de IDS, que se celebra del 22 al 25 de septiembre en de Colonia, Alemania, visite a R+K CAD/CAM Technologie en el Salón 10.2, Stand T- 048.

______________________________________________________________

La doctora Alma García es Directora Clínica de la terapia con alineadores de la empresa alemana R+K CAD CAM.

To post a reply please login or register
advertisement
advertisement