Search Dental Tribune

Imitando la naturaleza

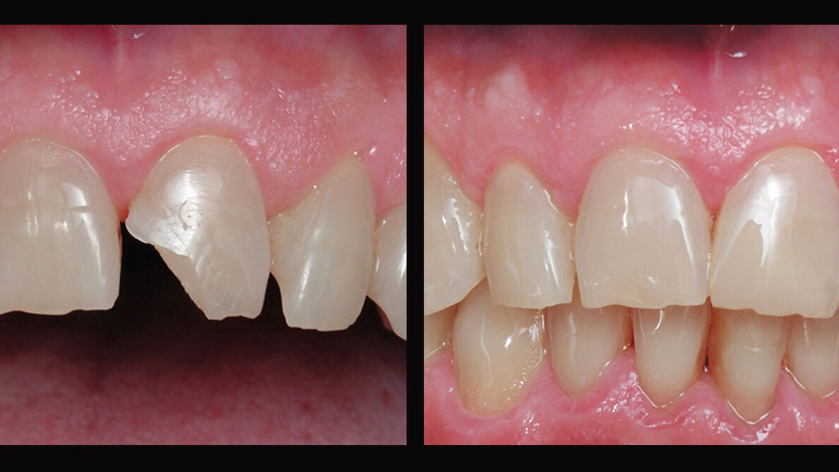
Imágenes de la restauración realizada por el Dr. Joubert antes y después del procedimiento.

sáb. 29 febrero 2020

guardar

El especialista en estética dominicano Rony Joubert afirma que los nuevos materiales dentales, los actuales protocolos clínicos y la habilidad clínica de los odontólogos permiten hoy día lograr restauraciones artificiales que parecen totalmente naturales.

  CASO CLINICO  

Fundamentalmente, hay dos tipos de materiales estéticos los que hoy podemos utilizar en nuestros procedimientos restauradores. Unos son los materiales dentales de uso directo (resinas compuestas, ionómeros de vidrio o algún híbrido de éstos), y los otros son las cerámicas dentales para utilización en procedimientos indirectos, que pueden o no contener vidrio en su composición.

VER CASO CLINICO COMPLETO

_____________________________________________________________________________

* El Prof. Dr. Rony Joubert es un experto en rehabilitación bucal e implantes y conferencista internacional que ejerce en Santo Domingo, República Dominicana.

 

 

 

 

 

To post a reply please login or register
advertisement
advertisement