Search Dental Tribune

Restauración no invasiva con microcarilla de cerámica híbrida

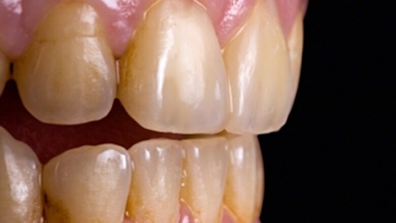
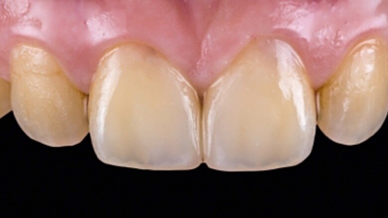
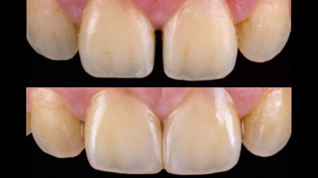
ANTES Y DESPUES. Arriba: situación inicial de paciente joven con diastema entre los dientes 11 y 21. Debajo: el resultado altamente estético logrado en una sola sesión, que agradó mucho al paciente.

sáb. 29 agosto 2020

guardar

La confección de microcarillas no invasivas mediante sistemas CAD/CAM planteaba hasta ahora un difícil reto debido a la fragilidad de los materiales dentales cerámicos, que los autores resolvieron realizando un análisis sistemático de materiales.

  CASO CLINICO 

Los grosores de pared muy reducidos y los extremos finos de las zonas marginales presentan con frecuencia desconchamientos significativos de la cerámica o fracturas tras la confección CAM. Esto llevó al equipo de odontólogos formado por Michael Tsao y Hsuan Chen a analizar sistemáticamente diversas muestras de materiales cerámicos en numerosos ciclos de ensayo. Finalmente, se decidieron por la cerámica híbrida VITA ENAMIC. En su experiencia clínica, este material posibilita una integridad marginal excelente incluso con grosores de pared de 0,2 mm. En este caso clínico, los odontólogos presentan el tratamiento completamente digital y no invasivo de un diastema sin utilizar modelo.

  1. Diagnóstico y planificación

Un paciente de 29 años acudió a la clínica porque estaba insatisfecho con su diastema entre los dientes 11 y 21. El paciente rechazó un tratamiento ortodóncico. Deseaba una solución rápida y que conservara la mayor cantidad posible de sustancia dental natural. El proceso habitual de confección de microcarillas sobre muñones pirorresistentes le resultaba demasiado largo. De ahí que los responsables del tratamiento y el paciente decidieran cerrar el espacio interdental en una única sesión empleando el flujo de trabajo digital con cerámica híbrida VITA ENAMIC (VITA Zahnfabrik).

  1. Determinación del color y diseño digital

Tras la limpieza minuciosa del área de restauración, se procedió a la determinación del color dental mediante la guía VITA Toothguide 3D-MASTER (VITA Zahnfabrik, Bad Säckingen, Alemania) en los dos incisivos centrales superiores. Se determinó el color dental 1M2 y se seleccionó la pieza en bruto correspondiente. Tras la colocación de hilos de retracción se llevó a cabo el escaneo intraoral con la cámara CEREC Omnicam (Dentsply Sirona, Bensheim, Alemania). Debido a la elevada translucidez del esmalte en la zona proximal, se aplicó polvo de escaneo para facilitar el escaneo intraoral. Los datos se transfirieron mediante Sirona Connect al software inLab, donde se diseñaron digitalmente las microcarillas sumamente delgadas.

  1. Confección CAM

Para la confección CAM con el sistema CEREC MC XL (Dentsply Sirona) se fijaron las piezas en bruto de VITA ENAMIC en la unidad de fresado y se ejecutó la correspondiente orden de fresado. El resultado fueron unas microcarillas sumamente delgadas con zonas marginales de precisión absoluta. Gracias a su matriz dual de cerámica y polímero, la cerámica híbrida posee una elasticidad significativamente mayor y, por ende, una menor fragilidad que los materiales CAD/CAM cerámicos convencionales. Esto posibilita reconstrucciones altamente precisas con grosores de pared reducidos. Finalmente, se separaron cuidadosamente del conector las delgadas restauraciones empleando un diamante fino, y se procedió a su acabado y prueba en boca.

  1. Acondicionamiento con protocolo

VITA ENAMIC incorpora una matriz cerámica estable altamente reticulada. La proporción cerámica del material se sitúa en el 86 por ciento (% del peso). Esto permite preacondicionar la cerámica híbrida con ácido fluorhídrico y silano siguiendo el protocolo habitual para cerámica sin metal. En cambio, los composites CAD/CAM se arenan, puesto que poseen una matriz polimérica en la que están integrados cuerpos de relleno cerámicos. Sin embargo, en reconstrucciones con grosores de pared reducidos, el arenado puede provocar daños en la microestructura del material y en los extremos finos de las zonas marginales. En el presente caso se pudieron tratar previamente las microcarillas con un protocolo seguro. Se acondicionó el esmalte dental con ácido fosfórico y adhesivo. A continuación se fijaron las carillas con un composite de fijación. Después de eliminar los restos de composite y de realizar el pulido con el VITA ENAMIC Polishing Set, tras una sola sesión se observó un resultado altamente estético obtenido de manera eficiente y no invasiva.

NOTA: Este artículo fue publicado originalmente en la revista “Dental Visionist" de VITA y se reproduce con permiso de la compañía.

______________________________________________________________

Los doctores Michael Tsao y Hsuan Chen, de CEREC Asia, ejercen en Taipeh, Taiwán.

 

To post a reply please login or register

La impresión 3D transforma la práctica odontológica

Arturo Arciniega destaca que la impresión 3D permite mejorar la precisión de las restauraciones en rehabilitación oral. Fotos: Cortesía del autor

jue. 23 abril 2026

guardar

La odontología vive una transformación profunda impulsada por la digitalización. Tecnologías como el escaneo intraoral, el diseño CAD y la impresión 3D están redefiniendo la forma en que los clínicos planifican, ejecutan y comunican sus tratamientos.

El Dr. Arturo Arciniega Valverde, especialista en rehabilitación oral, implantología y estética, analiza en este artículo cómo estos avances permiten ofrecer una odontología más precisa, eficiente y personalizada.

La incorporación de flujos de trabajo digitales completos ya no es una tendencia, sino una realidad en expansión. En la práctica clínica diaria, estas herramientas permiten optimizar procesos que antes dependían de múltiples pasos analógicos, reduciendo tiempos y mejorando la predictibilidad de los resultados.

“La odontología digital no es una tendencia, es una evolución natural de la profesión”, afirma el Dr. Arciniega.

 

Con más de quince años de experiencia, el Dr. Arciniega ha integrado la tecnología digital en todas las áreas de su consulta. Desde el escaneo intraoral hasta la fabricación mediante impresión 3D, su enfoque se basa en la creación de flujos de trabajo digitales que mejoran la eficiencia y la personalización de los tratamientos.

 

La impresión 3D en la consulta

Uno de los pilares de esta transformación es la impresión 3D, que permite fabricar dispositivos como guías quirúrgicas, restauraciones provisionales o guardas oclusales de forma rápida y precisa en la propia consulta o clínica. Esta tecnología no solo optimiza el trabajo clínico, sino que también mejora la comunicación con el paciente al facilitar la visualización de los resultados.

En el Dental Summit CoLife 2026, donde será uno de los conferenciantes, el tema de la plática del Dr. Arciniega abordará la integración de la impresión 3D en el flujo clínico diario, particularmente en rehabilitación estética y restauradora.

 

El experto presentará casos clínicos de aplicación diaria, sobre fabricación de guías quirúrgicas, guardas oclusales, restauraciones provisionales y planificación estética.

 

“La presentación se centra en cómo la tecnología digital —escaneo intraoral, diseño CAD y fabricación mediante impresión 3D— permite optimizar procesos clínicos, reducir tiempos de tratamiento y mejorar la precisión en múltiples procedimientos”, explica el experto mexicano.

“También discutiré casos clínicos donde esta tecnología se aplica en la práctica diaria, como guías quirúrgicas para implantes, guardas oclusales, restauraciones provisionales y planificación estética”, agrega.

La tecnología digital facilita tratamientos más eficientes, personalizados y predecibles para los pacientes.

 

La precisión es otro de los grandes beneficios de la odontología digital. La captura de datos tridimensionales con alta exactitud mejora la adaptación de restauraciones y dispositivos, reduciendo errores y aumentando la calidad final de los tratamientos.

Además, la digitalización permite una mayor eficiencia en los tiempos de tratamiento. Muchos procedimientos pueden realizarse en menos citas, lo que beneficia tanto al clínico como al paciente.

La inteligencia artificial comienza a desempeñar un papel relevante. Herramientas basadas en IA ayudan a analizar imágenes diagnósticas, automatizar el diseño de restauraciones y optimizar la planificación implantológica.

 

Mejorar resultados

Aunque estas tecnologías no sustituyen al profesional, sí potencian su criterio clínico, permitiendo tomar decisiones más informadas y mejorar los resultados terapéuticos.

El crecimiento de la odontología digital es especialmente notable en países como México, donde cada vez más clínicas adoptan estas tecnologías para responder a la demanda de tratamientos más estéticos y personalizados.

A pesar de los avances, el Dr. Arciniega insiste en que la clave está en la integración progresiva de estas herramientas, comenzando por aplicaciones prácticas que permitan a los profesionales adaptarse de forma gradual al flujo de trabajo de la odontología digital.

“Mi interés es compartir cómo estas herramientas pueden integrarse de manera práctica en la consulta diaria, no solo en grandes centros o laboratorios, sino también en clínicas privadas”, concluyó el Dr. Arciniega.

___________________________________________________________________________________________________________________________________

El Dental Summit CoLife 2026 se celebrará en Barranquilla, Colombia del 21 al 23 de mayo en el Centro de Convenciones Comfamiliar.

___________________________________________________________________________________________________________________________________

 

 

ARTICULOS RELACIONADOS

_______________________________________________________________________________________________________________________________

DENTAL SUMMIT COLIFE 2026 

La impresión 3D transforma la práctica odontológica

Arturo Arciniega

_______________________________________________________________________________________________________________________________

DENTAL SUMMIT COLIFE 2026 

El camino hacia la pasividad perfecta en implantología

Marinelly Mendes

_______________________________________________________________________________________________________________________________

DENTAL SUMMIT COLIFE 2026

“La odontología digital potencia nuestro criterio clínico”

Alvaro Reuter

_______________________________________________________________________________________________________________________________

DENTAL SUMMIT COLIFE 2026 

Promover la salud oral para reducir la necesidad de restauraciones

Eraldo Pesaressi

_______________________________________________________________________________________________________________________________

DENTAL SUMMIT COLIFE 2026

La odontología digital es el nuevo standard clínico

Ahmad Al-Hassiny 

_______________________________________________________________________________________________________________________________

 

 

ARTICULOS RECOMENDADOS

_______________________________________________________________________________________________________________________________

EXPODENTAL MADRID

La robótica, nueva frontera en cirugía implantológica

Javier de Pisón

VER MAS

_______________________________________________________________________________________________________________________________

EXPODENTAL MADRID

El imparable ímpetu de Expodental Madrid

Javier de Pisón 

VER MAS

_______________________________________________________________________________________________________________________________

EXPODENTAL MADRID

Factores esenciales para adquirir un escáner intraoral 

Enrique Jadad 

VER MAS

_______________________________________________________________________________________________________________________________

REPORTAJE, PARTE 1

"Todo sistema que no tenga medición no es fotogrametría"

Javier de Pisón

VER MAS

_______________________________________________________________________________________________________________________________

REHABILITACION & IMPLANTOLOGIA ORAL

Relevancia de la fotogrametría en casos All-on-X

Enrique Jadad 

VER MAS

_______________________________________________________________________________________________________________________________

REVISION

Los dientes, guardianes silenciosos de nuestra salud

D. Suárez Quintanilla

VER MAS

_______________________________________________________________________________________________________________________________

GESTION DE LA CLINICA

Cómo fijar precios en Odontología 

Juan Carlos Mejía

VER MAS

_______________________________________________________________________________________________________________________________

FORMACION - EDICION ESPECIAL

Nuevas tecnologías en las clínicas universitarias

Varios autores

VER MAS

_______________________________________________________________________________________________________________________________

CIRUGIA ORAL

Todo lo que necesita saber sobre Cirugía Piezoeléctrica

José Rosas Díaz

VER MAS

_______________________________________________________________________________________________________________________________

ESTETICA

La belleza dental a través de la historia 

Javier de Pisón

VER MAS

_______________________________________________________________________________________________________________________________

 

 

 

 

 

 

 

 

 

Temas:
To post a reply please login or register
advertisement
advertisement