Search Dental Tribune

Retratamiento no quirúrgico de una periodontitis apical sintomática

Fig. 1. OPG del paciente en dónde se puede observar una imagen radiolúcida compatible con una lesión apical en el diente 3.6.
González, Ramírez, Durán-Sindreu

González, Ramírez, Durán-Sindreu

mié. 22 julio 2020

guardar

Un equipo del Máster de Endodoncia Online de la Universidad Internacional de Cataluña (UIC) en Barcelona describe el caso de un paciente que se presentó con periodontitis apical sintomática, fue sometido con éxito a retratamiento y en el que una perforación en furca descubierta fue sellada con un material biocerámico.

  CASO CLINICO 

Sumario

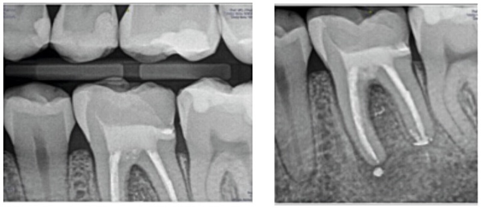
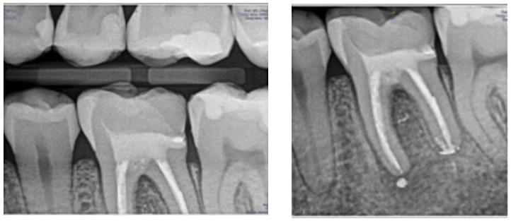
Fig. 2. Radiografía de aleta de mordida y periapical inicial.

Paciente de 27 años de edad que acude a la consulta para salvar un diente. En el examen clínico presenta dolor a la percusión.

Diagnosticamos una periodontitis apical sintomática con un tratamiento de conductos previo. Se decidió realizar la reendodoncia del diente 3.6. y proceder a su restauración definitiva.

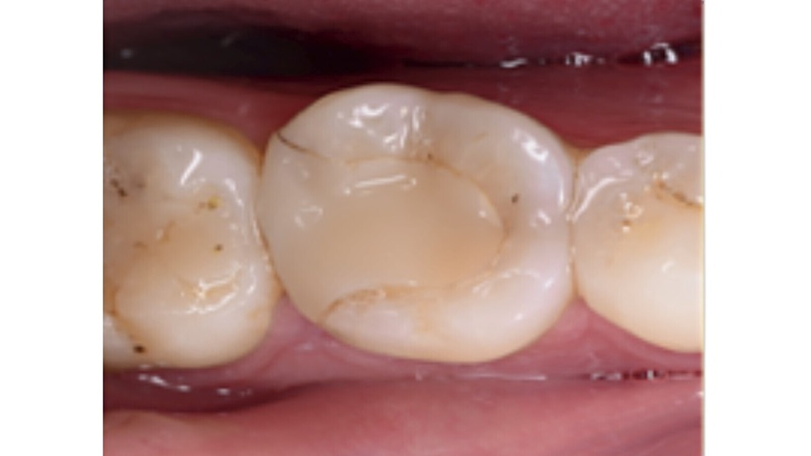
Fig. 3. Imagen clínica inicial del diente 3.6.

Fig. 4. Imagen clínica donde se puede apreciar la perforación en furca.

Fig. 5. Sellado de la perforación con Biodentine.

Durante la apertura cameral se localizó una perforación en furca que se selló con un material biocerámico.

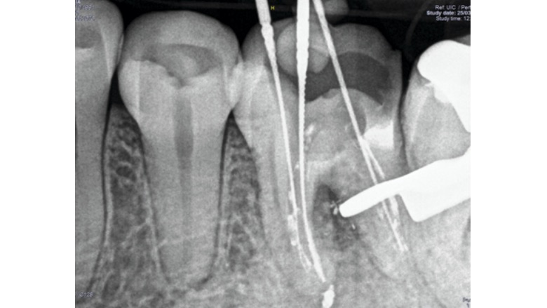
Fig. 6. Remoción de la gutapercha y localización de la longitud de trabajo.

La remoción de la gutapercha se llevó a cabo con instrumentación rotatoria complementando la conformación de conducto con un sistema reciprocante.

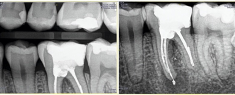
Fig. 7. Radiografía final del retratamiento no quirúrgico del 3.6. con su restauración indirecta cementada.

 

Inscríbete en el Máster de Endodoncia Online de UIC Barcelona haciendo click aquí.

* AUTORES

  1. Rome González Tuch, estudiante de tercer año del Máster en Endodoncia.
  2. Anais Ramírez Sebastiá, Profesora del Máster en Endodoncia y Directora del Máster en Endodoncia Online.
  3. Fernando Durán-Sindreu Terol, Jefe del Área de Endodoncia de la Universidad Internacional de Catalunya.

Contacto: annaisramses@uic.es

NOTA: El Master de Endodoncia Online de UIC Barcelona se centra en los nuevos avances tecnológicos aplicados a las terapéuticas para mejorar la salud del paciente. Para mayor información, visite la página web del Máster en Endodoncia Online de la UIC o comuníquese con Paola Lago en infodonto@uic.es o llamando al +34 93 504-2000.

Referencias

  1. Recommended Terms: AAE Consensus Conference Recommended Diagnostic Terminology. J Endod 2009;35:1,634.
  2. Sarfati A, Tirlet G. Deep margin elevation versus crown lengthening: biologic width revisited. Int J Esthet Dent. 2018;13(3):334-356. PubMed PMID: 30073217
  3. Rhodes, John S. Advanced endodontics: clinical retreatment and surgery [Internet]. London: CRC Press, Taylor and Francis Group; 2006
  4. Silva LAB, Pieroni KAMG, Nelson-Filho P, Silva RAB, Hernandéz-Gatón P Lucisano MP, Paula-Silva FWG, de Queiroz AM. Furcation Perforation: Periradicular Tissue Response to Biodentine as a Repair Material by Histopathologic and Indirect Immunofluorescence Analyses. J Endod. 2017 Jul;43(7):1137-1142.

5. Veneziani M. Posterior indirect adhesive restorations: updated indicationsand the Morphology Driven  Preparation Technique. Int J Esthet

To post a reply please login or register
advertisement
advertisement