Search Dental Tribune

Técnica de Reimplante Intencional Digital para salvar dientes

Figuras 1 y 2. Tomografía cone beam del diente 37 y Radiografía periapical del diente 37.

vie. 10 septiembre 2021

guardar

La Dra. Clara Adrada explica la técnica de Reimplante Intencional Digital que ha creado para salvar dientes desahuciados, una ingeniosa alternativa clínica que evita la extracción y colocación de implantes dentales.

La masticación es uno de los principales papeles de los dientes, y la capacidad de triturar los alimentos de una manera efectiva está relacionada con la calidad de vida de una persona. En la actualidad, se extraen demasiados dientes a favor de los implantes, ya que éstos se consideran más lucrativos que conservar un diente natural. Por otro lado, faltan especialistas en endodoncia entrenados en todas las técnicas avanzadas que permitan salvar mayor cantidad de dientes.

Hasta el siglo pasado se extraían dientes porque no habían maneras de salvarlos. Hoy, en el año 2021, se siguen extrayendo dientes cuando hay técnicas para salvarlos.

La realidad es que muchos pacientes, por causas económicas o por condiciones sistémicas, no pueden acceder a los implantes o a otra modalidad de tratamiento, y no reemplazan sus dientes perdidos, deteriorando de esta manera aún más su salud. Desafortunadamente, la falta de dientes se ha asociado con enfermedades como cáncer de estómago, cáncer de colon, enfermedad de Alzheimer y envejecimiento prematuro, entre otras.

Asombrosamente, hay pacientes de 20 años a los que se le extraen sus dientes para colocarles implantes, pensando que son tratamientos totalmente seguros y que el implante va a durar más de 50 años, cuando las evidencias científicas muestran que los implantes también sufren complicaciones. Por lo tanto, debemos practicar tratamientos que, si no llegan a durar toda la vida del paciente, por lo menos retrasen la colocación de los implantes.

“Salvar los casos difíciles es lo que nos convierte en verdaderos expertos en endodoncia”.

Por la importancia que tiene conservar los dientes naturales de nuestros pacientes, el reimplante intencional es una técnica que nos permite salvar dientes desahuciados.

El reimplante consiste en extraer un diente de manera atraumática, sellar cualquier defecto que este produciendo la infección dental y en el menor tiempo posible volver a reimplantarlo en boca.

Uno de los grandes hallazgos para que un reimplante intencional sea exitoso, es lograr un corto tiempo extraoral para mantener la integridad de las células del ligamento periodontal imprescindibles para la cicatrización.

El prototipado rápido (PR) fue insertado en el medio odontológico con el propósito de auxiliar procedimientos, minimizar riesgos y disminuir el tiempo quirúrgico.

Estos PR (Figuras 1, 2) fueron incorporados en nuestra práctica, creando una técnica de reimplante intencional avanzada, que hemos llamado: Reimplante Intencional Digital.

Gracias al PR podemos planificar el reimplante y diseñar un plan de acción que nos permitirá acortar de manera notable el tiempo extraoral.

El objetivo del reimplante intencional es el mismo que el de la microcirugía endodóntica: eliminar la causa de la infección de origen endodóntico. Solo que el procedimiento quirúrgico lo realizamos con el diente fuera de boca, para luego ser reimplantado (Figura 3).

Figura 3. Prototipo rápido creado en computador del diente 37.

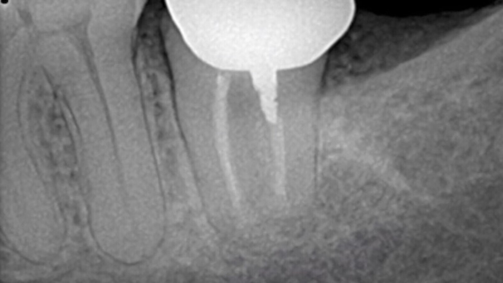
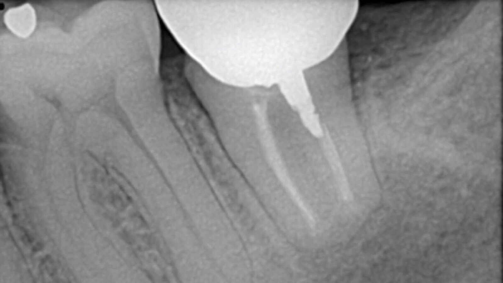
Figura 4. Control 1 mes después del reimplante intencional del diente 37.

Figura 5. Control 1 año después del reimplante intencional.

Salvar los casos difíciles es lo que nos convierte en verdaderos expertos en endodoncia, y en este punto debe primar la verdadera evolución de la odontología: “Extraer menos y conservar más”, o extraer para curar y reimplantar (Figura 6).

Figura 6. Fotografía del diente no 37, realizando el sellado apical con Biodentine de conducto en forma de “C”.

Nota editorial: La Dra. Adrada impartirá un curso presencial el 26 y 27 de noviembre sobre Reimplante Intencional y Microcirugía Endodóntica en el Helident Training Center, en Sevilla, España.

____________________________________________________________

La Dra. Clara Adrada, Especialista en Endodoncia que ejerce en Popayán, Colombia, es la creadora de la técnica Reimplante Intencional Digital (R.I.D).

Síguenos en Instagram

To post a reply please login or register
advertisement
advertisement