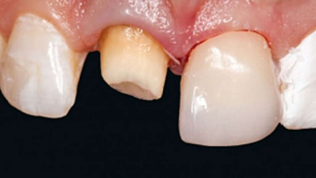
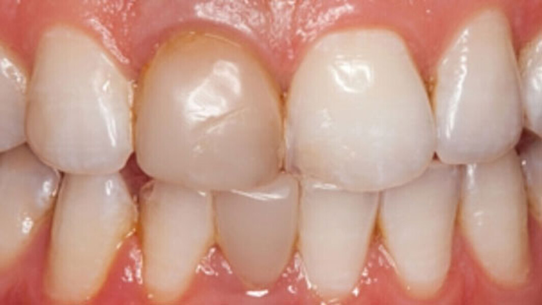
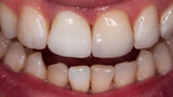
Fig. 1. Situación inicial: Tras el blanqueamiento preprotésico era apreciable una clara diferencia cromática entre la obturación de composite y la sustancia dental dura.
Fig. 2. Mediante la guía VITA Linearguide 3D-MASTER se determinó con precisión el color dental y se pudo seleccionar el correspondiente color de bloque 0M1.
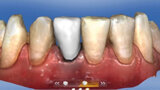
Fig. 3. Tras la preparación se colocaron hilos de retracción para optimizar el registro óptico.
Fig. 4. Los límites de la preparación en los dientes 11 y 21 se establecieron en el software CEREC.
Fig. 5. En el diente 11 se diseñó una corona completa de VITA SUPRINITY PC, y en el 21 una carilla de VITABLOCS Mark II.
Fig. 6. Desde dorsal se aprecia virtualmente el borde palatino de la restauración con carilla.
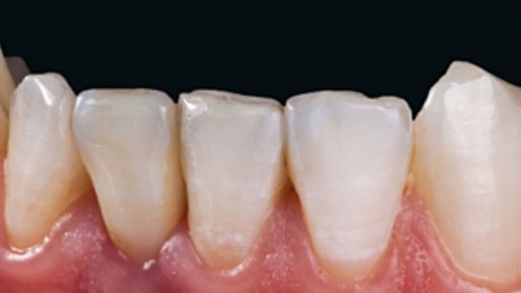
Fig. 7. También para la preparación de la corona completa en el diente 41 se estableció digitalmente el límite de la preparación.
Fig. 8. La corona monolítica diseñada se confeccionó a partir de la cerámica vítrea reforzada con dióxido de circonio VITA SUPRINITY PC T 0M1.
Fig. 9. Tras el preacondicionamiento se procedió a la colocación totalmente adhesiva de la carilla personalizada de VITABLOCS Mark II como primera restauración.
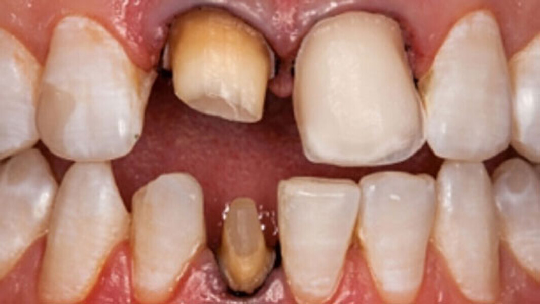
Fig. 10. Tras la cocción de cristalización de ambas coronas completas de cerámica vítrea, se procedió a su prueba en boca.
Fig. 11. Las coronas de VITABLOCS personalizadas con VITA AKZENT Plus se fijaron de forma totalmente adhesiva.
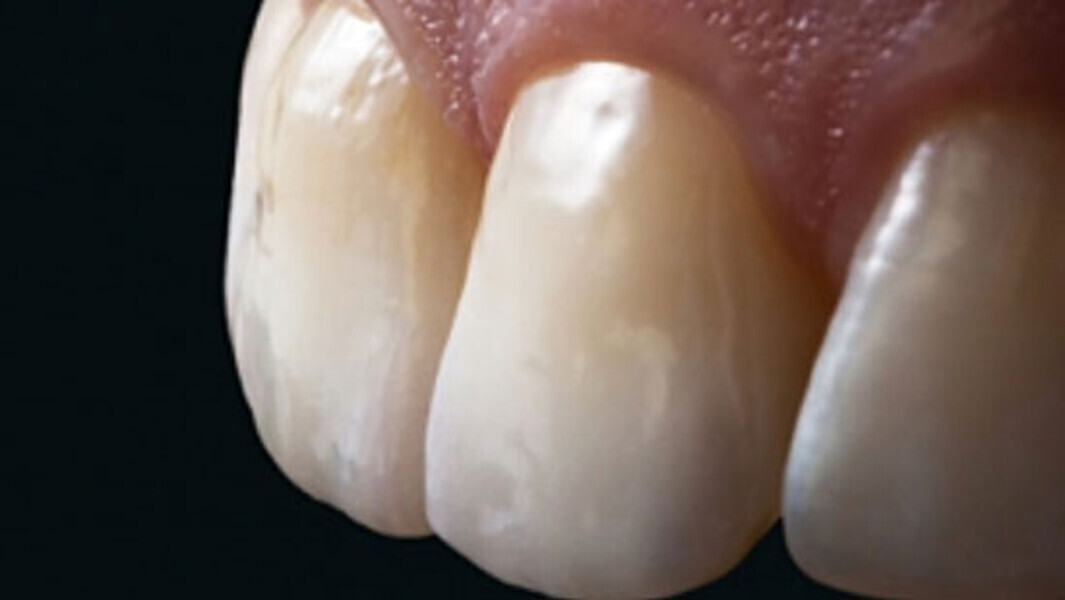
Fig. 12. La corona de cerámica sin metal de VITA SUPRINITY PC se integró de manera excelente en la sustancia dental remanente en cuanto a la morfología y el color.
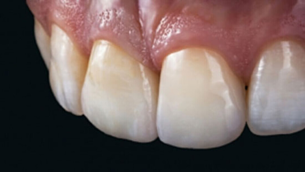
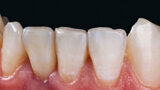
Fig. 13. La morfología y la textura superficial de ambas restauraciones de cerámica sin metal ya no se distinguían de los dientes adyacentes naturales.
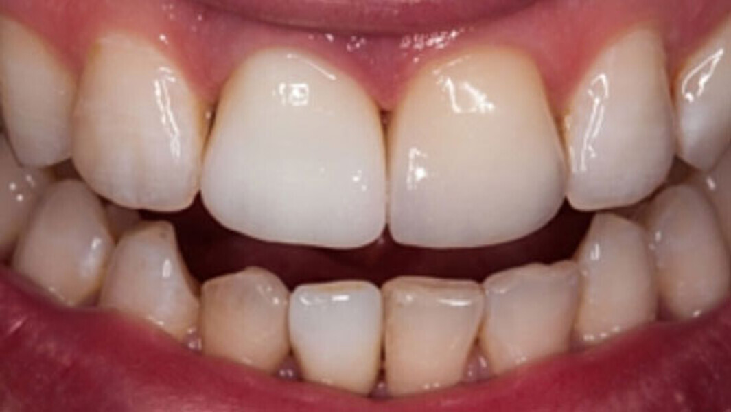
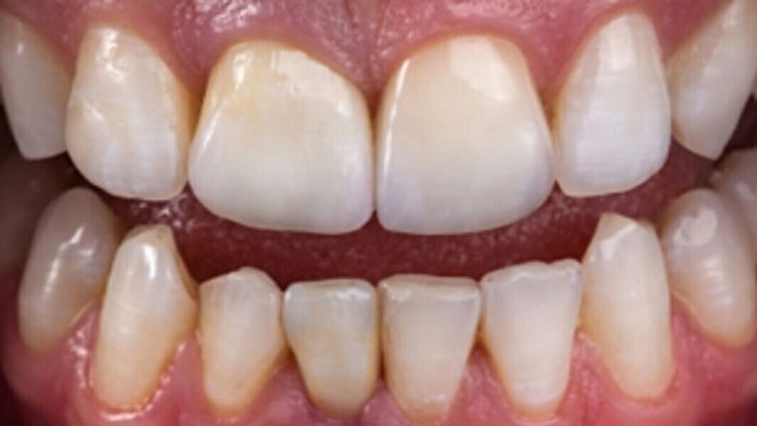
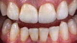
Fig. 14. La elección de distintos materiales para los incisivos centrales superiores se traduce en un resultado altamente estético con un juego de colores y luces natural.
Fig. 15. Resultado: el paciente se mostró muy satisfecho en el control de seguimiento al cabo de unas semanas.