Search Dental Tribune

Alineadores: Biomecánica básica de los Ataches (2ª Parte)

Figura 31. El mecanismo de torsión en dientes posteriores es similar cuando hablamos de ortodoncia fija o de alineadores.
David Suárez Quintanilla

David Suárez Quintanilla

sáb. 26 junio 2021

guardar

David Suárez Quintanilla y colaboradores continúan en esta segunda parte del artículo con la clasificación, diseño y biomecánica básica de los principales ataches, el cual concluyen con una serie de consideraciones clínicas de interés.

Atache Activo de Torsión: Al movimiento ortodóncico de torsión yo le llamo el movimiento “invisible” (el Deux ex machina griego) porque los ortodoncistas creen en él, pero ni lo entienden, ni lo ven, ni lo cuantifican y suelen confundirlo, especialmente en los incisivos con el movimiento de inclinación incontrolado (corona hacia un lado y raíz hacia el otro). Cuando el movimiento radicular se acompaña de coronal, yo no lo considero de torsión. Hace años, cuando los brackets eran todos de idéntico diseño, la prescripción era un valor diferencial (un valor-marca) y como las variaciones de primer orden (vestíbulo-palatino) y de segundo orden (inclinación mesio-distal) eran mínimas o quedaban parcialmente anuladas por la adhesión directa, los gurús de las diferentes técnicas centraban el marketing de venta de sus brackets en unos cuantos grados de torsión. La torsión en las distintas prescripciones, en este sentido, fue más una herramienta de venta que de eficiencia clínica real con una base científica diferencial.

La torsión pura obedece a la relación de momento/fuerza mayor de 1 y se caracteriza porque el centro de masa se desplaza al borde incisal/oclusal y el máximo movimiento dentario se produce en el ápice; si hay movimiento o desplazamiento coronal hacia vestibular (el arco no está cinchado o ligado en distal), el movimiento no es de torsión, sino de inclinación coronal. El mecanismo de torsión en dientes posteriores es similar cuando hablamos de ortodoncia fija o de alineadores (figuras 31 a 33) y se centra, en estos últimos, en la aplicación de un par de fuerzas sobre un prisma rectangular (en la técnica multibrackets se hace con el doblado del alambre alrededor de su eje mayor o incorporando una determinada angulación en el bracket).

Figuras 31-33. El mecanismo de torsión en dientes posteriores es similar cuando hablamos de ortodoncia fija o de alineadores.

En los alineadores, la torsión radicular negativa (de raíz hacia vestibular) ha de acompañar al movimiento de expansión coronal. Cuando aparece una mordida abierta tras una marcada expansión, el problema suele ser de descenso de las cúspides palatinas, lo que crea una marcada prematuridad, que ha de solucionarse con torsión radicular negativa, haciendo ascender estas cúspides, en relación con las vestibulares. Como se comprenderá, han desaparecido las pretéritas guerras de las prescripciones y los softwares de planificación pueden hoy generar una precisa torsión individual diente a diente.

El mecanismo de torsión en dientes posteriores es similar cuando hablamos de ortodoncia fija o de alineadores.

Elevación o Arco de Torque: Se sitúan próximos al borde gingival de los incisivos y buscan crear un par de fuerzas coordinadas con un punto de presión inciso-palatino (figuras 34 y 35).

Figuras 34-35. Se sitúan próximos al borde gingival de los incisivos y buscan crear un par de fuerzas coordinadas con un punto de presión inciso-palatino.

La distancia entre estos dos puntos crea un momento que combina la vestibulización de la corona (limitada por el alineador) con una fuerza palatina sobre esta elevación o arco de torque que desplaza el centro de giro o rotación hacia incisal. Haciendo un paralelismo con la biomecánica clásica con brackets, el par de fuerzas que aparece por la deflexión del alambre en la ranura (alrededor de su eje mayor) vendrían a ser ahora las dos fuerzas (una sobre el punto de presión inciso-palatino y la otra, de igual magnitud y sentido contrario, la ejercida sobre la mencionada elevación o arco de torque), mientras que la fuerza distal del arco (que anula en parte uno de los vectores del par de fuerzas) aquí viene representada por el propio alineador abrazando toda la corona dentaria.

Puntos de Presión: Tienen la ventaja de poderse aplicar directamente sobre el alineador con unos alicates especiales (una pequeña deformación permanente). Buscan redirigir y concentrar la fuerza del plástico en un punto y suelen utilizarse como fuerza complementaria a un determinado movimiento. En el caso de la intrusión incisiva, los puntos de presión palatina/lingual ayudan a concentrar la fuerza intrusiva del alineador y hacer que coincida su línea de acción sobre el eje central mayor de la raíz (figuras 36 y 37).

Figuras 36-37. Los puntos de presión palatina/lingual ayudan a concentrar la fuerza intrusiva del alineador y hacer que coincida su línea de acción sobre el eje central mayor de la raíz.

Existen diferentes tipos de alicates para aplicar puntos, pequeñas áreas o arcos de presión, que seleccionaremos en función de la forma (figura 38).

Figura 38. Alicantes para puntos, pequeñas áreas o arcos de presión, que seleccionaremos en función de la forma.

Ataches Activos Complejos: De forma menos regular y simétrica que los vistos hasta ahora, tratan de combinar diferentes acciones en un mismo alineador. Los utilizamos en los caninos con inclinaciones y rotaciones desfavorables, se han de combinar con un adecuado anclaje recíproco para evitar el desajuste general del plástico y su desadaptación al propio atache activo complejo. Tienen superficies activas en diferentes planos del espacio para movimientos simultáneos, por ejemplo, rotación coronal e inclinación radicular, como puede verse en las figuras 39 y 40.

Figuras 39-40. Superficies activas en diferentes planos del espacio para movimientos simultáneos, como rotación coronal e inclinación radicular.

Consideraciones clínicas

Si bien las diferentes compañías ofrecen excelentes programas para definir los ataches, de acuerdo con la biomecánica y las características de cada diente, es bueno tener un esquema sencillo para conocer el orden del movimiento dentario y los ataches a colocar. Nosotros hemos realizado uno, más con un fin docente que de uso clínico rutinario (figura 41).

Figura 41. Esquema sencillo para conocer el orden del movimiento dentario y los ataches a colocar.

Los ataches han de ser colocados en el esquema general del tratamiento, que nosotros hemos resumido para los alumnos de pregrado, en sencillos esquemas realizados con PowerPoint, sin complicarnos la vida (figura 42),

Figura 42. Los ataches deben ser colocados siguiendo el esquema general del tratamiento.

diferenciando:

  • Los dientes a mover en una determinada fase
  • Los dientes de anclaje, a no mover
  • Posición inicial de los dientes
  • Posición final
  • Dirección y sentido de la fuerza y el movimiento
  • Los ataches y/o procedimientos de retención y la unidad de retención.
  • Los ataches activos.

Este sencillo esquema no pretende diseñar alineadores sino ofrecer una sencilla herramienta para entender las bases de la planificación, antes de que cada uno opte por una u otra compañía y sus programas y clincheck específicos. Por ejemplo, en el caso del distalamiento secuencial de molares (DSM) en el maxilar (figura 43), el discente ha de entender el concepto de anclaje recíproco y diferencial, iniciando su plan de tratamiento con el anclaje de los dientes mesiales a los segundos molares (figura 43), para iniciar su distalamiento con ataches (figura 44). Después iniciamos el distalamiento del 16 y 26 para, acto seguido, crear un nuevo grupo de anclaje posterior molar que nos permita iniciar el distalamiento de los premolares (figura 45), aplicando la regla del 50% (figura 46): al estar distalado el diente más posterior el 50%, iniciamos el distalamiento del inmediatamente mesial y así sucesivamente (figura 46).

Figura 43. Distalamiento secuencial de molares en el maxilar.

Figura 44. Inicio de distalamiento con ataches.

Figura 45. Nuevo grupo de anclaje posterior molar para poder iniciar el distalamiento de los premolares.

Figura 46. Distalamiento del mesial aplicando la regla del 50%.

Los ataches y el plástico introducido en el espacio interdental ofrecen un inmejorable sinergismo biomecánico. A medida que vamos consiguiendo el distalamiento de los dientes posteriores (figuras 47 y 48) éstos se van incorporando a la unidad de anclaje posterior, que sirve de estabilización del alineador para los movimientos activos de caninos e incisivos.

Figuras 47-48. Distalamiento de los dientes posteriores, que se incorporan a la unidad de anclaje posterior, que sirve de estabilización del alineador para los movimientos activos de caninos e incisivos.

El mismo esquema práctico serviría para un hipotético caso de extracciones de primeros premolares superiores (figura 49), donde creamos dos unidades de anclaje para maximizar el desplazamiento en masa del canino (figuras 49 al 51), de manera que éste acabaría por incorporarse a la unidad de anclaje posterior para, acto seguido, mover activamente los incisivos y corregir el resalte (en el plano sagital) y la sobremordida (en el vertical).

“La colocación de ataches es un procedimiento sencillo y puede realizarse al mismo tiempo en toda la arcada o por segmentos”.

Figuras 49-51. Colocación de dos unidades de anclaje para maximizar el desplazamiento en masa del canino.

La colocación de ataches es un procedimiento sencillo y puede realizarse al mismo tiempo en toda la arcada o por segmentos (figura 52), cortando la férula de ataches con una tijera, en especial cuando el paciente presenta un alto índice de irregularidad y/o apiñamiento y/o superposiciones dentarias; hay que recordar que necesitamos: plena adaptación, presión y estabilidad.

Figura 52. La colocación de ataches es un procedimiento sencillo que puede realizarse al mismo tiempo en toda la arcada o por segmentos.

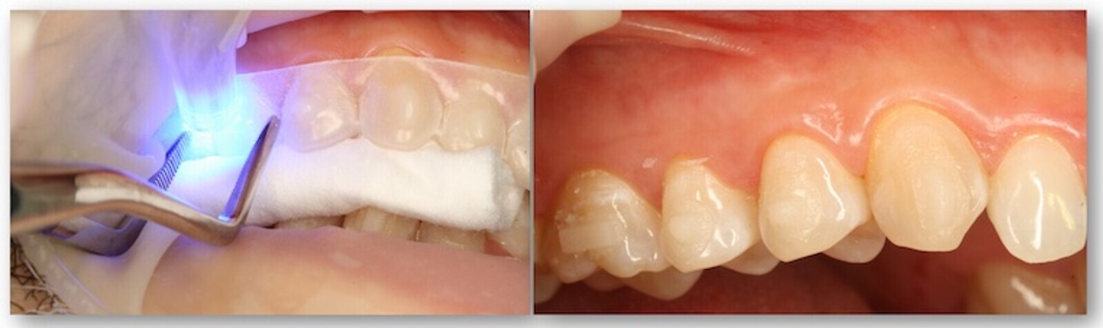
Cada maestrillo tiene su librillo, pero nosotros utilizamos la resina sin carga de la utilizada para adhesión de brackets, procurando presionar sobre el alineador con unas pinzas o un instrumento plástico. No colocar suficiente resina es un problema y yo, al menos, prefiero eliminar después los excesos con una fresa o una piedra tipo Arkansas muy fina (figuras 53 y 54).

Figuras 53-54. Es preferible usar una cantidad suficiente resina, ya que los excesos se pueden eliminar con una fresa o una piedra tipo Arkansas muy fina.

Los ataches han de ser colocados en el PAA (pasillo de acción del alineador), donde puede adaptarse fácilmente el plástico del alineador, sin bloquear su efecto (figura 55);

Figura 55. Los ataches deben colocarse en el PAA (pasillo de acción del alineador), donde puede adaptarse fácilmente el plástico del alineador, sin bloquear su efecto.

hay que tener cuidado con los recovecos interproximales, en especial en los dientes muy rotados. La elevación o arco de torque sirve para potenciar el movimiento radicular positivo de torsión, combinado con un punto de presión inciso-lingual; puede incorporarse al diseño digital o aplicarse directamente en el plástico por medio de alicates (ver la figura 56).

Figura 56. La elevación o arco de torque sirve para potenciar el movimiento radicular positivo de torsión, combinado con un punto de presión inciso-lingual.

El movimiento de extrusión de un incisivo, con ataches de extrusión activo de plano inclinado, se ha de complementar con ataches posteriores de retención en premolares y molares (figura 57).

Figura 57. El movimiento de extrusión de un incisivo, con ataches de extrusión activo de plano inclinado, se debe complementar con ataches posteriores de retención en premolares y molares.

Es importante analizar el eje mayor del diente y la colocación del atache respecto al mismo, así como los pares de fuerzas que se generan en las distintas facetas activas (figura 58).

Figura 58. Análisis del eje mayor del diente y de la colocación del atache respecto al mismo, así como de los pares de fuerzas que se generan en las distintas facetas activas.

Pintar los ataches con lápiz es un buen método para analizar su adaptación al polímero y ver las fuerzas que inciden sobre él (en la figura 59 se puede ver un atache activo de rotación en un 23).

Figura 59. Un atache activo de rotación en un diente 23.

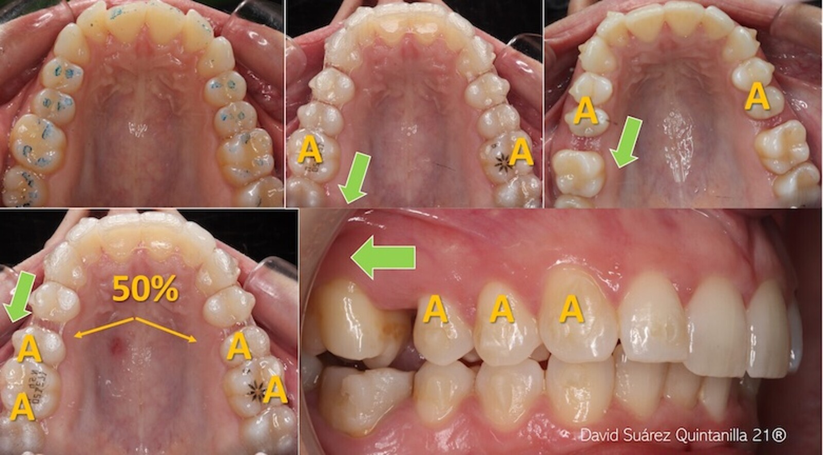
Diferentes ataches en un tratamiento de Clase II y distalamiento secuencial (figura 60) donde es muy importante ir modificando los dientes y unidades de anclaje (“A” en la figura 61) y recordar la regla del 50% (figuras 61 y 62).

Figura 60. Diferentes ataches en un tratamiento de Clase II y distalamiento secuencial.

Figura 61. Es muy importante modificar los dientes y unidades de anclaje (“A”).

Figura 62. Se debe recordar la regla del 50%.

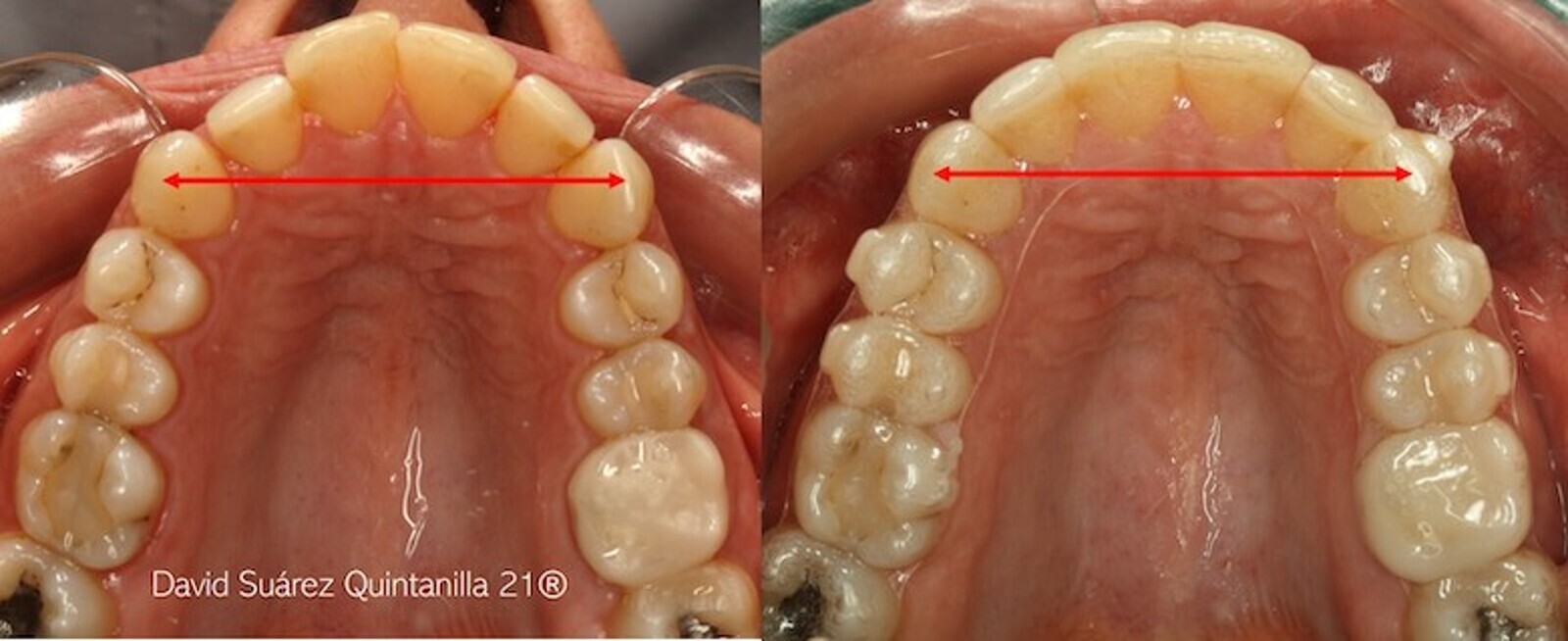
No resulta tan fácil clínicamente diferenciar el distalamiento de la mesialización y expansión (figura 63). Incluso en movimientos dentarios mínimos (figura 64) puede ser necesario hacer movimientos de ida y vuelta, primero de expansión intercanina y proinclinación incisiva, para crear espacio y hacer orthostripping y, finalmente, ajustar la oclusión.

Figura 63. No es fácil diferenciar clínicamente el distalamiento de la mesialización y expansión.

Figura 64. Incluso en movimientos dentarios mínimos puede ser necesario hacer movimientos de ida y vuelta, primero de expansión intercanina y proinclinación incisiva, para crear espacio y hacer orthostripping y, finalmente, ajustar la oclusión.

La secuencia terapéutica de los alineadores incluye la resolución secuenciada del problema transversal, vertical y sagital (figura 65) siendo muy importante, en mi experiencia, incrementar al principio, y de manera temporal, la anchura intercanina superior e inferior, al objeto de alinear incisivos y corregir el resalte. La secuencia terapéutica con alineadores obedece a las leyes generales de la ortodoncia, si bien hay que comprender algunas características diferenciadoras de las distintas técnicas (como conseguir torsión con un alineador frente a la técnica multibrackes de Arco Recto, Tip-Edge, brackets linguales o placas activas removibles).

Figura 65. La secuencia terapéutica de los alineadores incluye la resolución secuenciada del problema transversal, vertical y sagital.

Espero que esta simple clasificación, diseño y biomecánica de los ataches le haya sido útil a todos aquellos compañeros que se están introduciendo en el mundo de la ortodoncia plástica. Es importante que todos seamos conscientes de nuestras limitaciones y que tratemos de superarlas con formación y experiencia; debemos de ser nosotros, los profesionales, los que estemos al timón del barco terapéutico y que tengamos claro el puerto al que queremos arribar desde el inicio de nuestra travesía.

La tele-ortodoncia on-line no solo va a ser un fracaso, sino una inagotable fuente de demandas a las que no van a responder las compañías, ni tienen por qué, ya que el único responsable legal de estos desaguisados, el “ortodentista” que da su consentimiento, que firma lo hecho por terceros, aquel que, por complejo o el oro del gran Quevedo, sucumbe a los cantos de sirenas de unas compañías que harán encallar su prestigio profesional y el futuro de su clínica. Si dejamos en manos de extraños, de dudosa cualificación profesional, el diagnóstico, plan de tratamiento y diseño y fabricación de los alineadores, la sociedad pronto se dará cuenta de nuestra prescindibilidad en toda esta cadena trófica y asociará nuestra actividad con la más frívola cosmética comercial, compartiendo prestigio y espacio natural con peluquerías, centros de depilación, manicura y masaje. Paremos toda esta locura antes de que sea demasiado tarde.

_________________________________________________________________________

Autores

  1. David Suárez Quintanilla, Catedrático de Ortodoncia. Director del Servicio de Investigación en Ortodoncia – Unidad Dental del Sueño, Universidad de Santiago de Compostela. Director de la European Alineadent Academy y autor del libro digital “Prácticas clínicas de Ortodoncia”. Visite su página web en: dsqtraining.com
  2. Paz Otero Casal, Coordinadora clínica del Máster y del Servicio de Investigación en Ortodoncia. Unidad Dental del Sueño, Universidad de Santiago de Compostela.
  3. Pedro Suárez Suquía, Alumno de Odontología, Universidad de Santiago de Compostela.

Ver la Primera Parte de este artículo

One thought on “Alineadores: Biomecánica básica de los Ataches (2ª Parte)

  1. Jose Elias Dib Angarita says:

    Excelente artículo y conclusiones acertadas

To post a reply please login or register
advertisement
advertisement