Search Dental Tribune

Alineadores: Biomecánica básica de los Ataches (1ª Parte)

Caso clínico tratado con alineadores, ataches activos de rotación de cuarto de esfera en caninos y orthostripping de 0,75 mm/diente en la parte anterior de la arcada superior.

sáb. 19 junio 2021

guardar

David Suárez Quintanilla y colaboradores abordan en este artículo la utilidad que ofrecen los alineadores dentales en Ortodoncia y explican sus diferencias con los brackets convencionales en la aplicación de las fuerzas biomecánicas.

Como docente de ortodoncia creo que los profesionales que utilicen alineadores han de formarse en su diseño, planificación y biomecánica. El uso de alineadores sin conocimiento ni experiencia, dejando en manos de los planificadores de las distintas empresas tanto el diagnóstico como el plan de tratamiento y el diseño de los mismos es un ejercicio de irresponsabilidad y de falta de ética que no pocos compañeros van a pagar muy caro en los próximos años. Es necesario que los profesionales de la docencia nos esforcemos en el desarrollo de artículos, libros y cursos que vayan más allá de un mero manual de bricolaje al que nos tienen acostumbrados muchos de los que hoy hablan de estos temas en cursos y congresos, como si hubieran descubierto una nueva ortodoncia que deja obsoletos los conceptos clásicos de la Ortodoncia, con mayúsculas. No confundamos la parte, esta nueva técnica de los alineadores, con el todo; el mar Mediterráneo fue descubierto hace muchos años y ya los fenicios lo navegaban hace más de 5000 años. Pero hoy hay mucho ortodoncista joven redescubriendo el Mare Nostrum en piragua.

Un punto clave del diseño y planificación digital de alineadores es la colocación de los ataches y puntos de presión. Hay que entender que si bien la biomecánica ortodóncica obedece a una bases conceptuales y clínicas comunes, esta ha de adaptarse a los diferentes aparatos y sistemas. Si, por ejemplo, queremos realizar un movimiento de inclinación controlada vestíbulo-palatino de un incisivo central superior (figura 1) podemos recurrir a la técnica multibrackets clásica con un arco redondo, a una placa removible activa con un arco vestibular o a un alineador.

Figura 1. Movimiento de inclinación controlada vestíbulo-palatino de un incisivo central superior con técnica multibrackets clásica, con placa removible activa o con alineador.

En los tres casos queremos que el centro de rotación (C Rot) se sitúe en el ápice dentario y que la distancia entre el punto de aplicación de la fuerza y el centro de resistencia del diente (C Rs) nos genere un momento o giro de la corona en la dirección deseada.

El uso de alineadores sin conocimiento ni experiencia es un ejercicio de irresponsabilidad y de falta de ética.

En los tres casos, la fuerza la aplicamos en la superficie labial del diente, pero en los alineadores tenemos la enorme ventaja de que el polímero rodea a toda la corona dentaria, teniendo un mayor control sobre la misma (hay un cierto espacio virtual entre diente y plástico). Sí hay que tener en cuenta que el alineador ha de poderse quitar con facilidad y por tanto el diseño de los ataches no puede generar una retención que dificulte esta maniobra. La actuación de las fuerzas, y su descomposición biomecánica, sobre la interfase atache-alineador es un sistema determinado y puede analizarse, al menos experimentalmente, con modelos de simulación matemática como los elementos finitos. Si bien algunas compañías han patentado los diferentes ataches y les han dado sugestivos nombres propios de una película de agentes secretos, con el único y espurio objetivo de marketing, las cosas son mucho más sencillas de lo que parecen y obedecen a leyes físicas simples y fáciles de modelizar matemáticamente por la isotropía de los mismos ataches. Un atache triangular escaleno sobre el que incide la fuerza del alineador en el lado más largo, acaba descomponiendo esta fuerza perpendicular en dos vectores (uno de retrusión palatina y otro de extrusión) y, en la práctica, el polímero potencia o anula el efecto de alguno de ellos (figura 1).

El movimiento de intrusión es otro ejemplo muy válido para comprender las diferencias biomecánicas entre utilizar brackets vestibulares, brackets linguales o alineadores (figura 2).

Figura 2. El movimiento de intrusión es un ejemplo de las diferencias biomecánicas entre utilizar brackets vestibulares, brackets linguales o alineadores.

La fuerza de intrusión que produce el arco en los brackets vestibulares pasa alejada del centro de resistencia del diente y esto genera un momento o inclinación vestibular del diente simultáneo al movimiento de intrusión. Si queremos evitar este momento o disminuirlo podemos actuar de dos maneras: dando torsión al diente con un arco rectangular que rellene la ranura o slot (par de fuerzas para generar torsión radicular negativa) o cinchando en distal el arco (control de la longitud de arcada). Cuando el bracket lo colocamos en lingual, su posición es cercana al eje mayor del diente y la fuerza de intrusión del arco pasa muy cerca del centro de resistencia radicular, disminuyendo el momento. Algo similar ocurre con los alineadores cuando añadimos en el plástico un punto de presión (PP) que redirija y concentre la fuerza de intrusión del plástico en la cara palatina del incisivo. Por tanto, la biomecánica a aplicar en uno u otro caso dependerá de nuestro plan de tratamiento y la necesidad, o no, de acompañar a nuestro movimiento de intrusión de un componente de inclinación vestibular. Debemos de realizar un movimiento combinado intrusión-inclinación en los típicos incisivos centrales lingualizados de la maloclusión de Clase II división 2ª y será más pura la intrusión, con mayor control de la torsión, en los centrales de la Clase II división 1º o en incisivos con una adecuada inclinación previa a la intrusión (figura 2).

Las fuerzas biomecánicas obedecen a leyes físicas fáciles de modelizar matemáticamente por la isotropía de los mismos ataches.

En el movimiento de torsión radicular positiva, hacia palatino, también apreciamos diferencias biomecánicas significativas entre el uso de brackets o alineadores (figura 3). Como es de todos conocido, en el primer caso recurrimos al par de fuerzas generado por el arco rectangular dentro de la ranura o slot, haciendo que la tracción distal del arco (ligado en distal) anule en parte el vector de vestibulización y genere un desplazamiento del centro de rotación hacia el borde incisal, siendo máximo el movimiento apical. En el caso de los alineadores contamos con la inestimable ayuda envolvente del plástico, lo que nos permite ejercer una fuerza desde vestibular (prominencia o arco de torque vestibular) y otra desde lingual (punto de presión cercano al borde incisal), desplazando hacia incisal el centro de rotación y maximizando el movimiento apical (figura 3).

Figura 3. El movimiento de torsión radicular positiva, hacia palatino, muestra diferencias biomecánicas significativas entre el uso de brackets o alineadores.

La elasticidad de los plásticos actuales ha mejorado mucho la eficiencia biomecánica de los alineadores pero para su mayor eficacia biomecánica necesitamos añadir ataches que incrementen la superficie de contacto con el alineador en la dirección deseada. Sin ataches no es sencillo rotar dientes de superficie esférica (figura 4).

Figura 4. Aunque la elasticidad de los plásticos actuales ha mejorado mucho la eficiencia biomecánica de los alineadores, es necesario añadir ataches para rotar dientes de superficie esférica.

La biomecánica de los alineadores se basa en las leyes de acción y reacción de Newton y en las de palanca y vectores del gran Arquímedes de Siracusa, y trata de modificar la fuerza original imprimida al diente por el alineador a través de un cambio en la distancia entre punto de aplicación y centro de resistencia o masa del diente (figura 5).

Figura 5. La biomecánica de los alineadores se basa en las leyes de Newton y de Arquímedes, y trata de modificar la fuerza original imprimida al diente por el alineador mediante un cambio en la distancia entre punto de aplicación y centro de resistencia.

El atache ayuda al control del movimiento dentario y a la modificación de esta distancia, de manera que la fuerza se incrementa y es más efectiva en el punto más alejado del centro de resistencia y del eje mayor del diente (figura 6).

Figura 6. El atache ayuda al control del movimiento dentario, de manera que la fuerza se incrementa en el punto más alejado del centro de resistencia y del eje mayor del diente.

Vemos la utilidad de los ataches cuando comparamos vectores de rotación para un canino inferior sin y con ataches (figura 7).

Figura 7. La utilidad de los ataches es evidente cuando se compara vectores de rotación para un canino inferior sin y con ataches.

La distancia desde el punto de aplicación al eje mayor del diente y el centro de resistencia es la clave (figura 8).

Figura 8. La clave es la distancia desde el punto de aplicación al eje mayor del diente y el centro de resistencia.

Por tanto, las fuerzas las va a ejercer el plástico sobre el diente desnudo (A) o a través de los ataches (figura 9).

Figura 9. Las fuerzas biomecánicas las ejerce el plástico sobre el diente desnudo (A) o a través de los ataches.

Los ataches de anclaje son claves y nos garantizan la estabilidad, generalmente posterior, del alineador.

En líneas generales, vamos a tener ataches de anclaje, aunque todo atache genera un cierto tipo de anclaje, y ataches activos, además de los puntos de presión. Los ataches de anclaje son claves y son los que nos garantizan la estabilidad, generalmente posterior, del alineador, mientras este ejerce la fuerza activa de movimiento dentario en otros puntos. Si el anclaje no es el adecuado el alineador no se adapta, no se retiene ni mantiene estable y no funciona, dejando de hacer fuerza efectiva en los dientes que queremos mover.

Figura 10. Es necesario un anclaje posterior con ataches para intrusión activa de los incisivos inferiores para corregir la curva de Spee (en amarillo).

Para intruir activamente los incisivos inferiores con objeto de corregir la curva de Spee (representados en amarillo en la figura 10), debemos de asegurar un excelente anclaje posterior con ataches que impidan la desadaptación vertical del alineador (dientes de color marrón oscuro), lo mismo ocurre cuando queremos intruir molares sin ayuda de otros auxiliares (figura 11).

Figura 11.Un excelente anclaje posterior con ataches impide la desadaptación vertical del alineador (dientes marrón oscuro).

La acción de los ataches de retención puede verse potenciada por el uso de microimplantes extraalveolares de 9 mm (DSQ-Ziacom) y elásticos oclusales de intrusión que el paciente pone y quita al mismo tiempo que el alineador (mínimo de 3,5 onzas de fuerza), como puede verse en la figura 12.

Figura 12. Anclaje esquelético de ataches con microimplantes.

Cuando se combina microimplantes con alineadores, es importante delimitar muy bien el corte del alineador por palatino (línea discontinua de la figura 13), el diseño del mismo donde va el elástico (círculo azul de la figura 13) y el diseño, polivalencia y calidad del microimplante (en este caso de titanio 5 de 9 mm: DSQ-Ziacom).

Figura 13. Otra vista del anclaje esquelético de ataches con microimplantes.

En la figura 14 se pueden ver los ataches más utilizados por nosotros con los alineadores de la compañía española Alineadent, dividiendo estos en pasivos y/o de retención y activos, así como las elevaciones o arcos de torsión y los puntos de presión, los dientes donde se aplican más y una orientación sobre los movimientos dentarios esperados.

Figura 14. Los ataches más utilizados por el autor y los alineadores de la compañía española Alineadent.

La modelización matemática con elementos finitos nos permiten analizar la correlación entre diseño de atache y distribución de fuerzas por la superficie del mismo. El departamento de I+D+I de Alineadent trabaja, en colaboración con la Universidad de Málaga, con los programas de ingeniería más avanzados para optimizar los ataches existentes y desarrollar nuevos diseños más pequeños y eficientes (figura 15).

Figura 15. Nuevos diseños de ataches más pequeños y eficientes desarrollados por Alineadent y la Universidad de Málaga.

De manera experimental estamos ya implementando para el diseño de los ataches en dentición mixta tardía (Guías Eruptivas Propioceptivas), y a partir de un CBCT de bajísima radiación, tanto las raíces dentarias como el espesor y densidad del hueso alveolar y cortical (figura 16), lo que será en un futuro inmediato un avance increíble en la eficiencia biomecánica de los ataches.

Figura 16. Modelos de diseños de ataches para dentición mixta tardía (Guías Eruptivas Propioceptivas), que será en un futuro inmediato un avance increíble en la eficiencia biomecánica de los ataches.

Ataches de retención: Debido a la tercera ley de Newton de acción y reacción, en ortodoncia, antes de decidir cómo mover biomecánicamente los dientes que se van a corregir debemos de asegurarnos de, o bien no mover los dientes que no queremos mover o bien de buscar un punto de anclaje, de apoyo, de estabilización para eliminar el factor reactivo de esta tercera ley. El anclaje esquelético con microimplantes (figuras 12 y 13) es un excelente ejemplo. En los alineadores, los dientes que no queremos mover, que dan estabilidad al alineador, o bien actúan como elementos pasivos de anclaje o su movimiento es opuesto al realizado al de los dientes de movimiento ortodóncico más activo. En distintas fases del tratamiento pueden, y deben, cambiar los dientes de anclaje frente a los que estamos moviendo y las denominadas unidades de anclaje (UA) en la biomecánica clásica tienen aquí más utilidad que en cualquier otra técnica (recordar la superficie radicular enfrentada al movimiento dentario ortodóncico activo, la influencia del movimiento de un diente en el vecino, ya que el plástico abraza a todos los dientes de la arcada y la determinación de las áreas de presión-acción del alineador y su distancia al centro de masa radicular, como se puede ver en la figura 15). El uso de alineadores no se puede limitar a su ajuste y colocación en boca, hay que conocer su biomecánica para intervenir activamente en su diagnóstico, diseño y planificación; no hacer esto es ser un charlatán y asegurarse mil problemas clínicos en el futuro (figura 17).

Figura 17. El uso de alineadores no se puede limitar a su ajuste y colocación en boca, hay que conocer su biomecánica para intervenir activamente en su diagnóstico, diseño y planificación.

Los ataches de anclaje pueden tener forma de semicasquete esférico (semiesfera cortada por un plano sobre el que se ejerce la mayor retención) o de triángulo esférico y ofrecen una superficie activa de retención al alineador (figuras 18 y 19), si bien también puede ser más cuadrangulares o rectangulares con ángulos biselados.

Figuras 18 y 19. Los ataches de anclaje pueden tener forma de semicasquete esférico (semiesfera cortada por un plano sobre el que se ejerce la mayor retención) o de triángulo esférico y ofrecen una superficie activa de retención al alineador.

Atache activo de extrusión: Se utiliza para extruir activamente uno o varios dientes haciendo que la fuerza del alineador, de dirección oclusal, actúe sobre un plano inclinado que, a su vez, permita la fácil desinserción del alineador. Usamos mucho los de forma prismática y la fuerza extrusiva del alineador se descompone en su superficie en otros dos vectores (que deducimos con el clásico paralelogramo vectorial de fuerzas) que afectan a la corona del diente al imprimirle extrusión y retrusión (figura 20).

Figura 20. El atache activo de extrusión se utiliza para extruir activamente un diente, haciendo que la fuerza del alineador actúe sobre un plano inclinado que permita la fácil desinserción del alineador.

Atache activo doble de inclinación: Para los movimientos de inclinación coronal mesiodistal o distomesial (de 2º orden) recurrimos a dos tipos de ataches: los dobles y el de barra rectangular vertical. El doble se basa en la aplicación de un par de fuerzas (igual intensidad pero sentidos opuestos) en dos semiesferas truncadas, en el que el plano de corte de la semiesfera es donde el alineador ejerce la fuerza con un ángulo de incidencia perpendicular. Funciona muy bien y la distancia entre los ataches determina el brazo de palanca; su mayor inconveniente se relaciona con el reducido tamaño de los mismos, su correcta reproductibilidad y adhesión al esmalte, desde la plantilla de ataches, y el necesitar una amplia superficie dentaria vestibular (perfecta en incisivos o caninos superiores, pero más compleja en incisivos inferiores cortos o desgastados). Las leyes básicas de las palancas, y sus puntos de acción y apoyo, son determinantes a la hora de su diseño. En la figura 21 vemos como cuando queremos cerrar un diastema interincisivo inclinando mesialmente la corona del 21,

Figura 21. Cierre de un diastema interincisivo inclinando mesialmente la corona del 21, con atache distal cerca de incisal para aumentar la distancia al centro de resistencia del diente con la fórmula: Momento= fuerza x distancia.

debemos de colocar el atache distal, del par de ataches, cerca de incisal con objeto de aumentar la distancia al centro de resistencia del diente, de manera que se genere un momento mayor que el del otro atache (situado en la porción más mesial y apical de la corona) por la fórmula: Momento= fuerza x distancia; por tanto hay que estar muy atento al movimiento a realizar, el centro de resistencia dentario y el centro de giro resultante del diseño y colocación de los ataches dobles (figura 22).

Figura 22. Se debe estar muy atento al movimiento a realizar, el centro de resistencia dentario y el centro de giro resultante del diseño y colocación de los ataches dobles.

Atache activo de barra o en forma de prisma rectangular: Es muy útil para el control de la inclinación e incluso nosotros lo empleamos para nuestras Guías Eruptivas Propioceptivas como anclaje en incisivos (figura 23),

Figura 23. El atache activo de barra es muy útil para el control de la inclinación.

si bien también puede usarse en caninos y premolares (figura 24),

Figura 24. El atache activo de barra puede usarse también en caninos y premolares.

recordando en este tipo de movimientos de inclinación las siguientes premisas (leyes DSQ del diseño de ataches):

  • El centro de rotación (CRot) se desplaza hacia la raíz y la disposición del plástico y los ataches determina si este CRot se sitúa próximo o coincidente con el centro de resistencia (inclinación incontrolada) o próximo al ápice (inclinación controlada).
  • La presión en la parte más alejada del atache al centro de resistencia (CRes) mueve la corona en la misma dirección y la raíz en dirección opuesta.

Atache activo de rotación: Es el indicado para movimientos simples de rotación, tiene forma de cuarto de esfera (similar a la bóveda de horno de nuestra arquitectura románica en Santiago de Compostela) y uno de los planos de corte está pegado al esmalte y el otro es la parte activa donde incide el alineador. Consigue la rotación (momento del par) al incrementar la distancia desde el punto de aplicación de la fuerza al eje central del diente (figura 25).

Figura 25. El atache activo de rotación está indicado para movimientos simples de rotación, incrementando la distancia desde el punto de aplicación de la fuerza al eje central del diente.

La colocación de estos ataches no sigue los mismos principios que los brackets para la corrección de las rotaciones (o su sobrecorrección), ya que en técnica fija multibrackets, el bracket se coloca (figura 26) ligeramente desviado hacia el lado opuesto hacia donde queremos rotar el diente (si queremos rotar un canino inferior hacia distal el bracket se coloca ligeramente hacia mesial, respecto al centro de la corona, para incrementar la deflexión del arco en las aleaciones con memoria deforma.

Figura 26. La colocación de los ataches de rotación difiere de los brackets para la corrección de las rotaciones, ya que en técnica fija multibrackets, el bracket se coloca ligeramente desviado hacia el lado opuesto hacia donde queremos rotar el diente.

De hacer esto en el alineador, el plástico no actuaría de manera efectiva, no se adaptaría correctamente en el espacio interdental. Por tanto, hay que disponer los ataches en lo que he denominado (leyes DSQ del diseño de ataches) pasillo de acción del alineador (PAA) como puede verse en las figuras 26 y 27.

Figura 27. Estos ataches deben situarse en el pasillo de acción del alineador, siguiendo las leyes DSQ del diseño de ataches.

La colocación profusa de estos ataches ha de estar equilibrada con los ataches de retención o estabilización del alineador (figura 28).

Figura 28. La colocación de estos ataches debe estar equilibrada con los ataches de retención o estabilización del alineador.

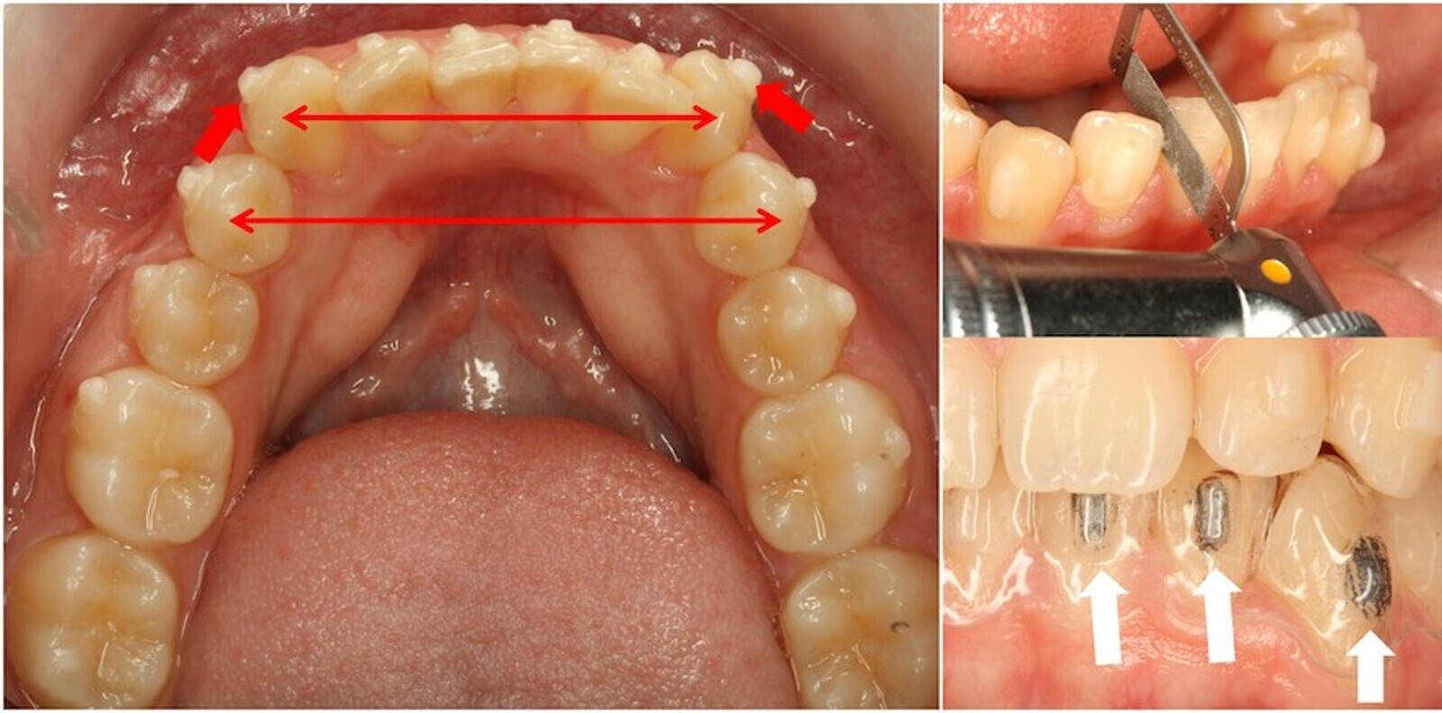
Es necesario siempre recordar la verdad de Perogrullo de los alineadores: para poder mover dientes necesitamos previamente espacio, que podemos conseguir (figura 29) por expansión (flechas rojas finas) o mediante orthostripping mecánico secuencial; para comprobar la adaptación de los alineadores a los ataches podemos pintar estos con lápiz (flechas blancas).

Figura 29. Para mover dientes necesitamos previamente espacio, que podemos conseguir por expansión (flechas rojas finas) o mediante orthostripping mecánico secuencial. Para comprobar la adaptación de los alineadores a los ataches podemos pintar estos con lápiz (flechas blancas).

Caso tratado con alineadores, ataches activos de rotación de cuarto de esfera en caninos y orthostripping de 0,75 mm/diente en la parte anterior de la arcada superior (figura 30).

Figura 30. Caso clínico tratado con alineadores, ataches activos de rotación de cuarto de esfera en caninos y orthostripping de 0,75 mm/diente en la parte anterior de la arcada superior.

____________________________________________________________________

Autores

  1. David Suárez Quintanilla, Catedrático de Ortodoncia. Director del Servicio de Investigación en Ortodoncia – Unidad Dental del Sueño, Universidad de Santiago de Compostela. Director de la European Alineadent Academy y autor del libro digital “Prácticas clínicas de Ortodoncia”. Visite su página web en:dsqtraining.com
  2. Paz Otero Casal, Coordinadora clínica del Máster y del Servicio de Investigación en Ortodoncia. Unidad Dental del Sueño, Universidad de Santiago de Compostela.
  3. Pedro Suárez Suquía, Alumno de Odontología, Universidad de Santiago de Compostela.

 

To post a reply please login or register
advertisement
advertisement