Search Dental Tribune

Colocación de sobredentadura sobre raíz natural del diente en paciente edéntulo

Imagen inicial y final de la paciente y varios de los pasos del tratamiento realizado para su rehabilitación.
Ferrari E, Cattin L, Giunchi E

Ferrari E, Cattin L, Giunchi E

mar. 10 octubre 2023

guardar

Los autores describen el procedimiento más sencillo, económico y funcional para la rehabilitación del paciente edéntulo total, por medio de la colocación de prótesis removibles con soporte mucoso sobre una o más raíces naturales del diente.

Introducción

Aunque en los países más desarrolladas la incidencia de pacientes edéntulos tiende a disminuir en términos porcentuales debido al aumento de la prevención y al mayor acceso a tratamiento, el número de pacientes desdentados o prácticamente desdentados (dientes terminales) está aumentando como consecuencia del envejecimiento progresivo de la población.

La solución más sencilla y económica para el tratamiento del paciente edéntulo total es la colocación de prótesis removibles con soporte mucoso.

La estabilidad de estas prótesis está relacionada con su correcta fabricación y con algunos factores individuales que el operador debe conocer, y que no siempre juegan a su favor.

A veces surge la necesidad de añadir elementos de retención a las propias prótesis, modificando, de hecho, el diseño y realizando una sobredentadura que, utilizando cualquier raíz residual o colocación de implantes, asegure la posible inserción de estos elementos retentivos.

Cuando es posible utilizar las raíces, éstas, especialmente tratadas, pueden soportar postes directos preformados o personalizados. Además, estas raíces garantizan el mantenimiento de cierta cantidad de sensibilidad directa típica del ligamento alveolar, así como la ralentización de la reabsorción ósea.

Este caso clínico ilustra paso a paso la colocación de una sobredentadura mandibular en las raíces remanentes describiendo tanto los aspectos clínicos como técnicos de este procedimiento.

Figuras 1 - 2. Caso clínico de una paciente femenina de 79 años edéntula en los sectores posteriores de la mandíbula y portadora de un esquelético removible en el arco superior. Pidió una mejora de la estética y la función, rehabilitando ambos maxilares, sin recurrir a la inserción de implantes por razones económicas.

Su historial médico muestra que la paciente no está afectada por ninguna patología sistémica y que no es fumadora. En el examen extraoral es evidente la pérdida de la dimensión vertical que enfatiza la presencia de las arrugas periorales y la imperfección ligada a la sonrisa inversa.

Figuras 3 - 4. El examen objetivo intraoral y las evaluaciones radiográficas muestran que los dientes residuales del maxilar superior son candidatos a la extracción, mientras que algunos en la mandíbula mantienen suficiente apoyo radicular residual para asegurar que permanezcan en boca. En particular, se considera que los elementos 4.3, 4.2, 3.2, 3.3 se pueden mantener. El plan terapéutico, por lo tanto, prevé la confección de dos prótesis totales con soporte mucoso y en 4 raíces mandibulares para garantizar una adecuada retención.

Figura 5. En la primera sesión se tomaron las impresiones de alginato con cubetas comerciales adaptando los bordes con cera. De ellas se obtuvieron dos modelos de trabajo en yeso extra duro para hacer las bases de cera especial para registrar la relación vertical entre las mandíbulas.

Figuras 6 - 7. Simultáneamente con el registro de esta relación, con el uso del arco facial, se definió la posición de la mandíbula superior y con el Plano de C se definieron el bipupilar y el Plano del Camper.

Figuras 8 - 9. La relación céntrica se determinó utilizando el arco gótico para cancelar la interferencia con la memoria muscular.

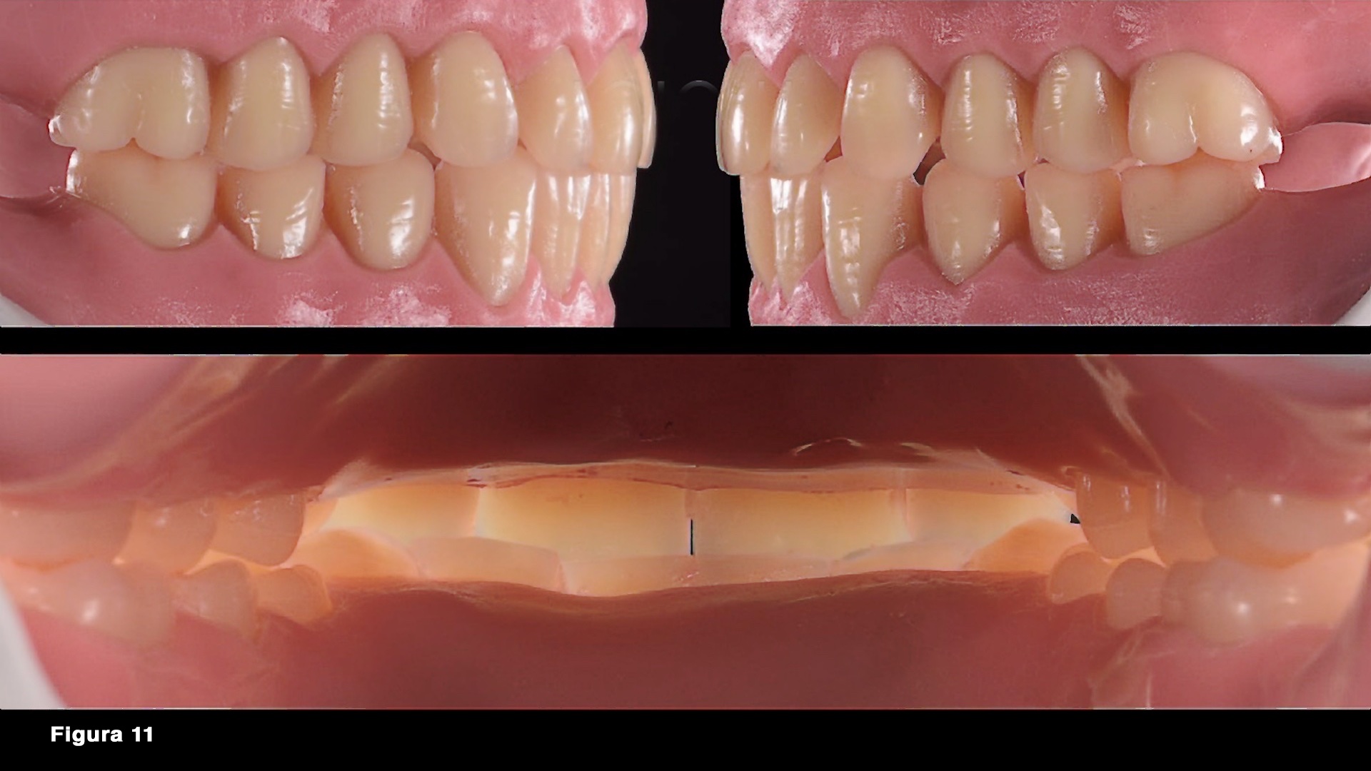
Figuras 10 - 11. Una vez posicionados correctamente los modelos en el articulador, con la información del paciente recogida en el sillón, se inició la fase de montaje y encerado de las prótesis provisionales previas a la extracción, que sea realizaron siguiendo el método del profesor Gerber.

Figuras 12 - 13. Una vez perfeccionado el encerado de las prótesis, se transforman en resina con el Transformer, se terminan, se pulen y se envían a la clínica para su entrega.

Figuras 14 - 15. La colocación en el paciente tuvo lugar en dos fechas diferentes. Durante la primera, se extrajeron todos los restos radiculares no funcionales y se prepararon los que habían sido tratados endodónticamente previamente. El paciente recibió las prótesis para una primera fase de adaptación a los tejidos mucosos sin la activación  de los elementos de retención.

Figuras 16 - 17. La segunda cita se programó dos semanas después de la primera para retirar las suturas y escariar los conductos radiculares con una fresa Moser montada en un micromotor. Durante la misma sesión, el pivote del Equator fue cementado con un cemento de resina de autoendurecimiento (OT Cem), teniendo cuidado de dejar un velo de cemento en la superficie expuesta de la raíz y de eliminar los excesos.

La prótesis inferior se adaptan en las fijaciones del Equator para permitir una adaptación adecuada.

La elección de cementar los pivotes durante una segunda cita se debe a la necesidad de esperar a que el tejido se reposicione, unida al tiempo de fraguado del cemento que une el poste intraradicular y lo sella periféricamente. Esta contracción expone una porción adicional de la raíz que se retira antes de que se posicionen los pivotes. El paciente recibe instrucciones para la higiene de los elementos residuales, que deben mantenerse adecuadamente en casa para reducir la inflamación de las encías.

Figuras 18 - 19. De esta manera se inicia la fase de adaptación del paciente a la nueva dimensión vertical y a las prótesis (por el momento sólo soporte de la mucosa), que se comprobará periódicamente con el uso de un comprobador de ajuste para resolver cualquier decúbito.

Durante las comprobaciones, se corrigen los contactos oclusales que el paciente hace funcionales con el uso. Después de un período adecuado de adaptación (en este caso, seis semanas), cuando los contactos oclusales y la armonía con los tejidos mucosos se consideran óptimos, se confecciona la prótesis final.

Figuras 20 - 21. El primer paso es obtener un duplicado de resina transparente de las dentaduras temporales usando un molde de silicona. Estos duplicados actuarán como cubetas individuales que nos permitirán tomar impresiones de máxima precisión debido a la reducida cantidad de material y, al mismo tiempo, confirmar las relaciones intermaxilares (dimensión vertical, relación céntrica, relaciones oclusales) validadas por la funcionalización en la boca sin perder ninguna información.

Figura 22. La precisión de los duplicados se comprueba mediante un comprobador de ajuste para descargar cualquier área de compresión excesiva.

Figura 23. También se redondean las aristas  antes de la impresión utilizando un material termoplástico para corregir cualquier extensión de borde que falte.

Figuras 24 - 25. Para la impresión definitiva se utiliza un poliéter, mientras que la confirmación de la correcta articulación se confía al uso de una silicona de articulación.

Figuras 26 - 27. Mediante el uso de un nuevo arco facial, se completa la recolección de información para su remontaje en el articulador.

Figura 28. Primero es el ensamblaje del arco inferior (ensamblaje de Gerber), teniendo cuidado de posicionar como primer elemento el primer molar inferior en la parte más profunda de la cresta alveolar.

Figura 29. Durante la fabricación del maxilar superior, se utiliza una plantilla de silicona de la restauración provisional para modificar algunos detalles estéticos relativos a la disposición de la unidad frontal, y el montaje de los dientes posteriores se completa con el método de contacto diente a diente.

Figura 30. El ensamblaje final está terminado, caracterizado y listo para el recubrimiento de resina.

Figura 31. Antes de la transformación en resina,  se hace una barra de refuerzo que se incorporará a la sobredentadura inferior. Esta estructura se realiza con la técnica de cera perdida utilizando preformados calcinables.

Figura 32. Es aconsejable proporcionar siempre una estructura de refuerzo en el interior de las prótesis de resina que utilizan elementos de retención, ya que éstos tienden a crear puntos de menor resistencia en los que la prótesis puede fracturarse con mayor frecuencia. Obviamente, el diseño de tal estructura debe respetar el espacio protésico disponible y prever también el alojamiento de los aditamentos hembra. Para ello, es útil hacer una plantilla de silicona para comprobar estos parámetros.

Figura 33. El Transformer se utiliza como de costumbre para el recubrimiento de prótesis.

Figura 34. La prótesis terminada está lista para ser entregada y ser acoplada a los elementos de retención.

Figura 35. Cuando se decide utilizar clavijas de raíz preformadas, hay que tener en cuenta cualquier inconveniente relacionado con el disparalelismo de las raíces. La orientación de la parte retentiva está necesariamente ligada a la dirección de la propia raíz (a diferencia de lo que ocurre con las clavijas calcinables, en las que se puede orientar cómo se desee).

Cuando la orientación de una o más raíces contrasta con el eje de inserción de la prótesis dentro de ciertos límites, la naturaleza elástica de estos ataches tiende a compensar el problema.

En casos de divergencia significativa, puede utilizarse la Smart Box (un contenedor de teflón con una estructura basculante en su interior que puede compensar las divergencias de hasta 50 grados).

Figura 36. En este caso clínico, se utilizaron dos contenedores estándar para las raíces caninas y dos cajas inteligentes para los incisivos laterales, que eran muy vestibulares con respecto al eje de inserción elegido.

Figura 37. El uso de la Smart Box es exactamente igual al de los contenedores estándar. Se debe tener cuidado, después de fijar las hembras, de sustituir el teflón de trabajo (negro) especialmente diseñado con un tamaño ligeramente mayor para proteger el mecanismo de inclinación del exceso de resina.

También es posible hacer la prótesis en el laboratorio con los aditamentos ya en posición (evitando de hecho la fase de adaptación en boca), teniendo cuidado durante la fase de impresión de utilizar el transfer adecuado para devolver, en el modelo maestro, con precisión, la posición de los propios aditamentos.

Figuras 38 - 40. La prótesis definitiva se entrega directamente en una cita utilizando y respetando toda la información contenida en la prótesis provisional que el paciente ha podido detectar con el uso.

Figura 41. El resultado en términos de estética y función es satisfactorio y el soporte de la raíz también es adecuado.

Conclusión

Este tipo de rehabilitación puede considerarse "evolutiva", ya que es capaz de sobrevivir, con las adaptaciones adecuadas, a la pérdida de una o más raíces. Esto convierte este método en la primera opción con la mejor relación costo/beneficio para el tratamiento del paciente edéntulo total cuando es posible mantener una o más raíces.

__________________________________________________________________________________________________________________

Autores

El doctor Emiliano Ferrari, especialista en Implantología Rehabilitación Oral por New York University, ejerce en Bolonia, Italia.

El técnico dental Luca Cattin ejerce en Bolonia, Italia.

El técnico dental Emanuele Giunchi ejerce en Bolonia, Italia.

__________________________________________________________________________________________________________________

 

 

 

 

To post a reply please login or register
advertisement
advertisement