Search Dental Tribune

Dúo de expertos: el software y los dientes provisionales

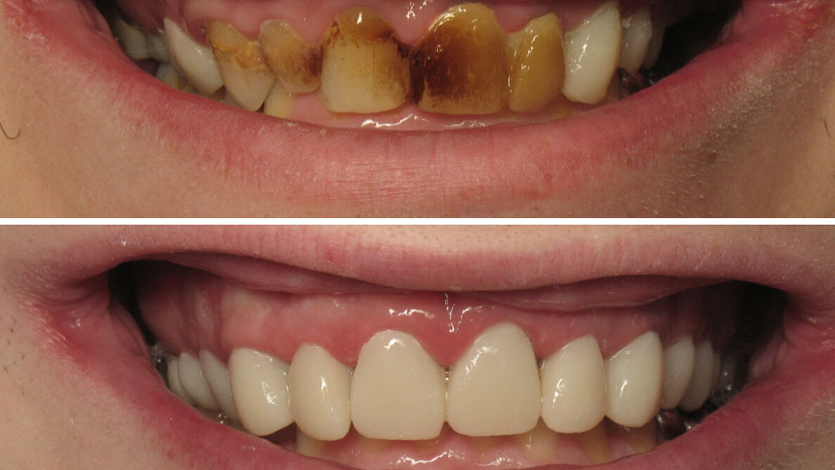
Caso inicial y final de la restauración.
Yassine Harichane

Yassine Harichane

sáb. 21 marzo 2020

guardar

La rehabilitación de la sonrisa es un verdadero desafío profesional para el dentista. Todo el conocimiento sobre el tema se pone en juego para lograr un resultado armonioso. Y para el paciente, es más bien una situación difícil de comprender, en el sentido de que no necesariamente visualiza el resultado final.

  CASO CLINICO  

Actualmente, este obstáculo psicológico se supera gracias a muchos softwares de simulación de sonrisa como "Digital Smile Design”, "Envision a Smile" o "GPS dental" por nombrar algunos. Incluso antes de comenzar a planificar el tratamiento es posible tener una vista previa del resultado final para que lo apruebe el paciente. Con estos softwares podemos ofrecer una nueva sonrisa empleando una base de datos o un plano maestro basado en la forma actual de la cara.

VER CASO CLINICO COMPLETO

One thought on “Dúo de expertos: el software y los dientes provisionales

  1. Jaime Gonzalez says:

    Es importante considerar todas las necesidades estéticas y fisiológicas del paciente para lograr un resultado a largo plazo

To post a reply please login or register
advertisement
advertisement