Search Dental Tribune

Efecto de la vitamina D en la osteointegración de los implantes dentales

Figura 1.Colocación de implantes en el maxilar superior de un paciente 79 años con deficiencia vitamina D. Se comienza tratamiento prequirúrgico con vitamina D de 0266 mg cada 7 días por 3 meses en este caso clínico realizado por Dr. Iván Herrera Ustariz.
Iván Herrera

Iván Herrera

María Arboleda

María Arboleda

mié. 23 octubre 2024

guardar

Los autores afirman que mantener un nivel adecuado de vitamina D es esencial para maximizar el éxito en terapias de implantes dentales, ya que este compuesto juega un papel importante en la formación y remodelación ósea.

La osteointegración es un aspecto fundamental para el éxito de los implantes dentales, ya que implica la integración del implante con el hueso en una unidad funcional cohesiva. La vitamina D juega un papel crucial en la formación y remodelación ósea, y su influencia en este proceso es significativa. Un nivel adecuado de vitamina D puede potenciar la formación de hueso nuevo alrededor del implante, mejorando así la osteointegración[1]. La deficiencia de vitamina D se ha relacionado con diversas patologías, incluyendo la periodontitis[2], pérdida dental prematura, alteraciones en el metabolismo óseo y un aumento en el riesgo de fracturas osteoporóticas. Por lo tanto, el mantenimiento de niveles óptimos de vitamina D es esencial no solo para la salud ósea general, sino también para maximizar el éxito en terapias de implantes dentales[3].

Figura 2. Imagen del control realizado a los 7 días.

La cicatrización tras la colocación de un implante dental implica complejos eventos biológicos en la interfase hueso-implante. Inicialmente, la sangre rodea el implante, permitiendo que células como glóbulos rojos, plaquetas y monocitos liberen citoquinas y factores de crecimiento. Estos interactúan con la superficie del implante, donde las plaquetas se adaptan y contribuyen al desarrollo de una matriz de fibrina que facilita la osteoconducción. Este entorno propicia la migración de células hacia el implante y la subsecuente osteoinducción, que resulta en la formación de hueso trabecular, posteriormente remodelado a hueso lamelar en contacto directo con el implante mediante osteína.

La evaluación y el manejo adecuado de los niveles de vitamina D en el preoperatorio podría ser crucial para optimizar los resultados en implantología oral.

Varios estudios destacan la relación entre los niveles de vitamina D y el éxito de la osteointegración de los implantes dentales. Buzatu, y cols.[4] destacan la mejora en la densidad ósea tras la suplementación con vitamina D post-cirugía. Este hallazgo sugiere que la evaluación y el manejo adecuado de los niveles de vitamina D en el preoperatorio podría ser crucial para optimizar los resultados en implantología oral.

Figura 3. El control a los 15 días muestra buena evolución.

Una revisión sistemática de Joscha y cols.[5] evaluó la eficacia de la suplementación y la deficiencia de vitamina D en la osteointegración de implantes en animales y humanos. De los 18 estudios incluídos, se observó que en sujetos con deficiencia de vitamina D había una reducción en el contacto hueso-implante y en la formación de hueso nuevo. El 75% de los estudios mostró que la suplementación sistémica con vitamina D mejoraba la formación de hueso alrededor de los implantes, aunque su efecto en sujetos sanos fue limitado. Los pacientes con deficiencia de vitamina D se beneficiaron más de la suplementación que aquellos con niveles suficientes.

Figura 4. La mejora continúa en este control realizado a los 3 meses.

La revisión de Livia Nastri y cols. subraya que los suplementos nutracéuticos son cruciales para mejorar la osteointegración tras la inserción de implantes. Destacan que la deficiencia de vitamina D y la osteoporosis aumentan el riesgo de fracaso de los implantes. Nutrientes esenciales como el calcio, fósforo, magnesio y potasio desempeñan un papel vital en el metabolismo óseo. La falta de vitamina D se asocia con una menor osteointegración y un mayor riesgo de fallos tempranos en implantes en estudios en animales y humanos. Además, la falta de ciertos micronutrientes puede aumentar el estrés oxidativo y la inflamación, afectando la estructura del colágeno y la mineralización ósea.

Tabla 1. El examen de vitamina D de la paciente muestra que tiene deficiencia en su nivel sérico.

La revisión de Alsulaimani L. y cols.[6] concluye que, aunque algunos estudios muestran una relación entre la insuficiencia de vitamina D y el fracaso de implantes dentales, es difícil establecer una causalidad directa. El nivel sérico de vitamina D puede influir en la osteointegración y el éxito de los implantes dentales a través de la modulación del sistema inmunitario y el proceso de cicatrización.

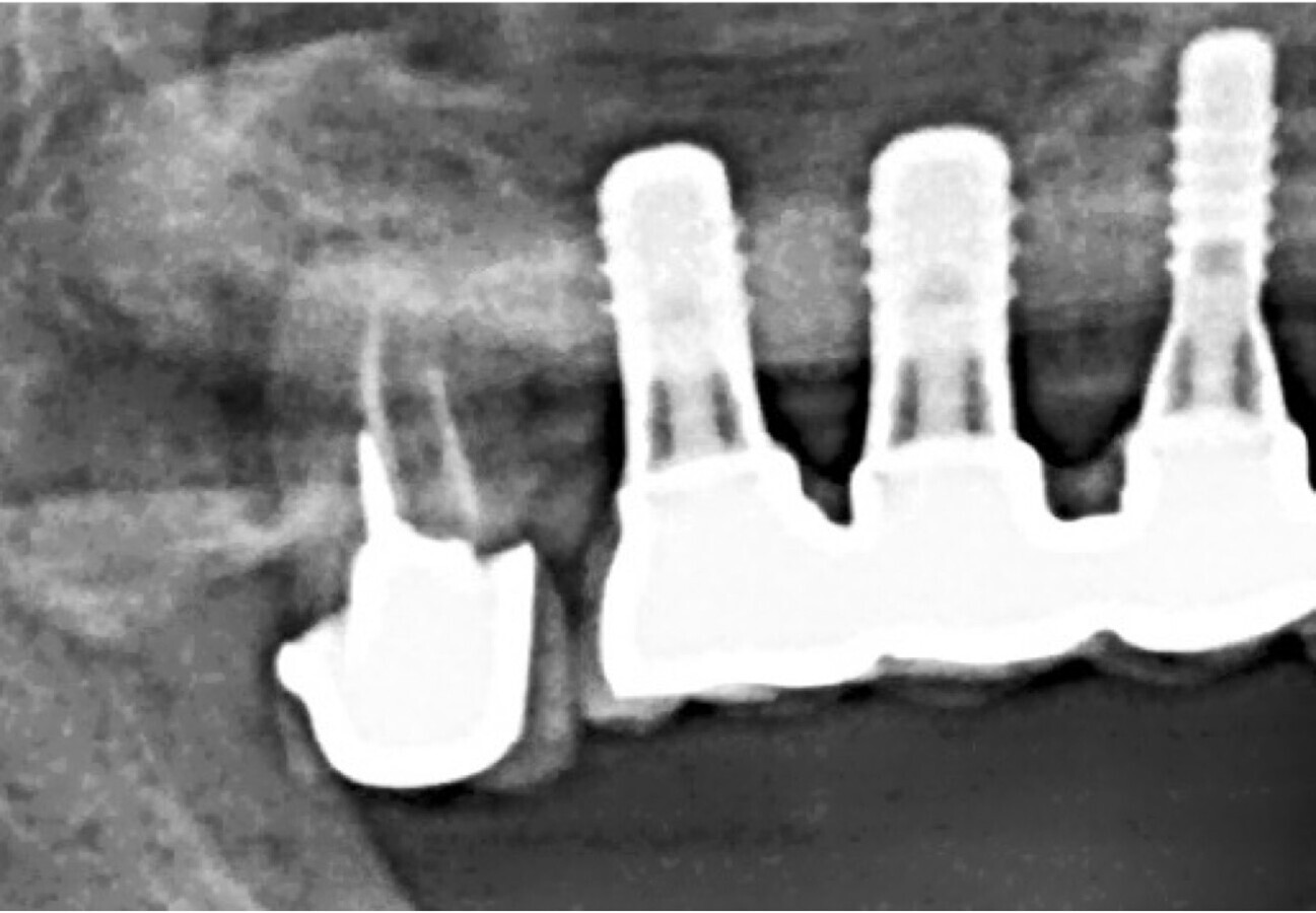
Figura 5. En este control radiográfico a los 3 meses se observa la adaptación de los implantes.

Guido Mangano y cols.[7] afirman que tener niveles adecuados de vitamina D puede mejorar la cicatrización y sugirieron la administración prequirúrgica de esta vitamina para mitigar el riesgo de fracaso.

Por su parte, Bazal Bonelli y cols.[8] mostraron que la suplementación con vitamina D durante la osteointegración reduce la pérdida ósea en pacientes con deficiencia, evidenciando su efecto protector. Francesco Mangano y su grupo apuntaron a una baja incidencia de fracasos en pacientes con niveles de vitamina D adecuados, aunque sin diferencias significativas. Fretwurst y cols.[9] confirmaron la relevancia de la vitamina D al observar que, tras la suplementación, los implantes fueron exitosos en pacientes inicialmente deficiente. Finalmente, el estudio de Kwiatek y cols.[10] reafirmó que la correcta suplementación de vitamina D influye positivamente en la osteointegración, apoyando la necesidad de evaluar y tratar adecuadamente esta deficiencia en los pacientes candidatos a cirugía de implantes.

Figura 6. La paciente muestra una buena osteointegración de los implantes en este control radiográfico realizado a los 30 meses.

Conclusión

Varios estudios recientes han subrayado la importancia de la vitamina D en la integración de implantes dentales, evidenciando su papel en la osteointegración y la salud ósea peri-implantaria. La deficiencia de vitamina D se ha asociado con tasas más altas de fracaso en los implantes, mientras que la suplementación adecuada parece promover una cicatrización óptima y mejorar los resultados clínicos en pacientes sometidos a esta intervención. Estos hallazgos resaltan la necesidad de considerar la evaluación y el tratamiento de los niveles de vitamina D como parte integral de la planificación prequirúrgica en implantología oral.

Bibliografía

[1]. Makke A. Vitamin D Supplementation for Prevention of Dental Implant Failure: A Systematic Review. Int J Dent. 2845902, 2022. https://doi.org/10.1155/2022/2845902

[2] Laky M, Bertl K, Haririan H, Andrukhov O, Seemann R, Volf I, et al. Serum levels of 25-hydroxyvitamin D are associated with periodontal disease. Clin Oral Investig. junio de 2017;21(5):1553-8.

[3] Javed F, Malmstrom H, Kellesarian SV, Al-Kheraif AA, Vohra F, Romanos GE. Efficacy of Vitamin D3 Supplementation on Osseointegration of Implants. Implant Dent. 2016;25(2):281-7.

[4] Buzatu, B.L.R.; Buzatu, R.; Luca, M.M. Impact of Vitamin D on Osseointegration in Dental Implants: A Systematic Review of Human Studies. Nutrients 2024, 16, 209.

[5] Nastri L, Moretti A, Migliaccio S, Paoletta M, Annunziata M, Liguori S, et al. Do Dietary Supplements and Nutraceuticals Have Effects on Dental Implant Osseointegration? A Scoping Review. Nutrients. 20 de enero de 2020;12(1):268.

[6] Alqarni A, Almarghlani A, Hassoubah M. The Relationship Between Low Serum Vitamin D Level and Early Dental Implant Failure: A Systematic Review. Cureus. enero de 2022;14(1):e21264.

[7] Mangano F, Ghertasi Oskouei S, Paz A, Mangano N, Mangano C. Low serum vitamin D and early dental implant failure: Is there a connection? A retrospective clinical study on 1740 implants placed in 885 patients. J Dent Res Dent Clin Dent Prospects 2018;12(3):174-82.

[8] Bazal-Bonelli S, Sánchez-Labrador L, Cortés-Bretón Brinkmann J, Cobo-Vázquez C, Martínez-Rodríguez N, Beca-Campoy T, et al. Influence of Serum Vitamin D Levels on Survival Rate and Marginal Bone Loss in Dental Implants: A Systematic Review. Int J Environ Res Public Health. 16 de agosto de 2022;19(16):10120.

[9] Fretwurst T, Grunert S, Woelber JP, Nelson K, Semper-Hogg W. Vitamin D deficiency in early implant failure: two case reports. Int J Implant Dent. diciembre de 2016;2(1):24.

[10] Wiatek J, Jaroń A, Trybek G. Impact of the 25-Hydroxycholecalciferol Concentration and Vitamin D Deficiency Treatment on Changes in the Bone Level at the Implant Site during the Process of Osseointegration: A Prospective, Randomized, Controlled Clinical Trial. J Clin Med. 2 de febrero de 2021;10(3):526.

Temas:
To post a reply please login or register
advertisement
advertisement