Search Dental Tribune

Elaboración de prótesis parciales removibles en pacientes ancianos (4)

Foto: Detalle de una escultura de Antoni Miró frente al Mar Mediterráneo en Altea, Alicante / Javier de Pisón
La Dra. Rosa Moreno López explica que un protocolo para la elaboración de una prótesis parcial removible facilita la predictibilidad del tratamiento y minimiza posibles problemas en el futuro.

vie. 4 agosto 2023

guardar

La Dra. Rosa Moreno López, Vicedecana de Educación del Instituto de Odontología de la Universidad de Aberdeen y Máster en Odontología en Pacientes Especiales, ofrece en este artículo un protocolo para la elaboración de prótesis parciales removibles, una alternativa de tratamiento para los pacientes que no pueden permitirse rehabilitaciones con prótesis fijas.

Cuarto artículo

EDICION ESPECIAL SOBRE ODONTOGERIATRIA 

Serie de 12 artículos sobre la especialidad de Dental Tribune

El creciente envejecimiento de la población, unido al limitado crecimiento económico que se prevé para los próximos años, permite inferir que las personas mayores mantendrán durante más tiempo que hasta ahora sus dientes naturales, ya que su reposición constituye un incremento en el costo de la atención dental debido a que el campo de la implantología oral es prácticamente privado en la mayoría de los países.

Según la Encuesta de Salud Oral de 2020, en el grupo de pacientes comprendidos entre los 65 y 74 años, un 62,9% son portadores de prótesis maxilares y un 50,4% de prótesis mandibulares1. De éstos, el 17,2% son prótesis parciales removibles maxilares y un 18,9% mandibulares. En cuanto a las necesidades de prótesis en esta misma franja de edad, un 21,2% necesita prótesis parciales maxilares y un 27,8% requiere de prótesis parciales mandibulares1.

Aunque un número significativo de personas mayores de 65 años presenta algún tipo de restauración con prótesis fija o removible sobre implantes (16.6 restauraciones maxilares y 14.4 restauraciones mandibulares)1, hay que recordar que muchos de estos pacientes no pueden permitirse este tipo de rehabilitaciones y es por este motivo que las prótesis parciales removibles deben plantearse como un tratamiento favorable, siempre y cuando se tenga en cuenta los principios generales en su construcción al igual que las particularidades que estos pacientes puedan tener.

La autora, Vicedecana de Educación del Instituto de Odontología de la Universidad de Aberdeen, en Escocia, describe los pasos y dispositivos necesarios para la confección de prótesis parciales removibles seguras y cómodas para los pacientes adultos mayores.

El objetivo de este artículo es presentar un resumen de los principios básicos en el diseño y elaboración de prótesis parciales removibles para personas mayores y explorar el correcto mantenimiento de los pacientes portadores de prótesis removibles.

A continuación, presentamos un protocolo para la elaboración de una prótesis parcial removible que facilita la predictibilidad del tratamiento, con lo que se minimizan posibles incidencias en un futuro.

Primera visita

Es muy importante efectuar una buena historia clínica en pacientes ancianos que incluya una historia social, dental y médica.

Historia Social

Debe determinar aspectos de la historia social, como por ejemplo si el paciente es fumador, si consume algún tipo de sustancias adictivas o si toma alcohol regularmente, ya que ello puede afectar el resultado del tratamiento.

También es fundamental saber si el paciente puede acudir sin problemas a todas las visitas necesarias o si está limitado en cuanto a horarios.

Historia Dental

Durante esta parte de la primera visita debemos indagar cuáles son los motivos por los que el paciente quiere una prótesis dental, cuáles son sus requerimientos: si son más bien funcionales o estéticos. Es importante que durante esta primera visita se puedan fijar los objetivos del tratamiento y ser realista con las expectativas del paciente.

Asimismo, es importante saber los tratamientos dentales que ha recibido el paciente en el pasado y el motivo por el cual se le han extraído dientes.

Además, queremos saber si el paciente tiene algún tipo de ansiedad hacia los procedimientos dentales, ya que esto dictará el número de visitas y la cantidad de procedimientos que haremos en cada visita.

Finalmente, se debe evaluar el tipo de dieta del paciente y determinar si es cariogénica, erosiva o equilibrada, ya que tendremos que intentar hacer cambios en la misma desde el principio si queremos obtener un tratamiento satisfactorio a largo plazo.

Historia Médica

Es fundamental hacer una exhaustiva historia médica y familiar. ya que muchos procedimientos pueden estar contraindicados dependiendo de las condiciones del paciente. También debemos tener una lista actualizada de los medicamentos que toma el paciente y si hay un posible efecto xerostómico de alguno de ellos; en tal caso, debemos tratar la xerostomía desde la primera visita para poder tener un buen sellado y una buena retención de nuestras prótesis removibles.

Examen intraoral y extraoral

A parte de examinar el estado de cada diente y el estado periodontal, debemos fijarnos y anotar los siguientes aspectos clínicos del paciente:

  • Signos de disonancia facial o cranial, deformidades, trauma o parálisis facial
  • Patrón esquelético del paciente y oclusión o maloclusión
  • Línea de sonrisa y competencia labial
  • Sensibilidad a la palpación de los músculos de la masticación
  • Evaluar la ATM
  • Actividad del músculo mentalis
  • Cantidad de saliva intraoral
  • Estado de las mucosas dentales.

Plan de Tratamiento

Una vez hayamos evaluado al paciente procederemos a proponerle un plan de tratamiento comprensivo que incluya las necesidades de mantenimiento e higiene tanto de la prótesis que vayamos a confeccionar como de los dientes presentes, así como explicarle claramente las ventajas e inconvenientes de las prótesis removibles y las expectativas del tratamiento, con el fin de que pueda tomar una decisión informada.

Durante este proceso usaremos los principios básicos del diseño de una prótesis parcial removible para guiarnos a formular un plan de tratamiento2:

  • Indicaciones: ¿es una prótesis parcial removible la mejor opción para este paciente?
  • Complejidad: ¿es un caso complejo?
  • Diseño: ¿cuál es el diseño más higiénico y efectivo?
  • Preparaciones dentales: ¿debemos hacer preparaciones en los dientes y por qué?
  • Mantenimiento: ¿qué deberá hacer el paciente para mantener su salud oral una vez lleve la prótesis?

Los principios básicos para diseñar una prótesis removible esquelética para un adulto mayor son: que sea higiénica, que no cubra los márgenes gingivales y que todos los componentes deben estar alejados un mínimo de 3mm del margen gingival.

La decisión de confeccionar una prótesis parcial removible debe basarse en la necesidad de restaurar tanto la función como la estética. No hay evidencia científica que indique qué casos necesitan prótesis removible, pero basados en la experiencia cínica, Wastmann et al3 confirmaron que los siguientes casos se benefician de la colocación de prótesis parciales removibles:

  • Preferencia del paciente
  • Necesidad de regularización del reborde alveolar
  • Dentición y hueso limitados
  • Necesidad de futuras adiciones o modificaciones
  • Dentición que presenta diferentes rangos de movilidad dental
  • Uso de dientes como sobredentadura
  • Solución provisional
  • 2 o más zonas edéntulas.

Obtener modelos de estudio

Durante la primera visita, nuestro objetivo debe ser tomar las impresiones primarias para ayudarnos a diseñar la prótesis del paciente. Es muy importante que estas impresiones registren no sólo los dientes remanentes, sino también las extensiones de nuestras prótesis. Es por este motivo que recomendamos el uso de cubetas metálicas o modificar las extensiones de las cubetas de plástico (Figura 1) usando silicona de condensación, ya que este material tiene la suficiente viscosidad como para desplazar la lengua y registrar correctamente la anatomía del musculo milohioideo, así como extenderse hasta el fondo del vestíbulo.

Figura 1. Cubeta de plástico modificada usando silicona de condensación para capturar las extensiones de la futura prótesis dental, así como en las zonas edéntulas para tener una cantidad regular de alginato en la cubeta.

Segunda visita (clases Kennedy I o IV)

Si el paciente no tiene una oclusión estable, es decir, no podemos articular manualmente los modelos, ya sea porque el paciente no tiene contactos posteriores o porque ninguno de los dientes remanentes ocluye con los dientes de la arcada opuesta, debemos registrar la oclusión con rodetes de cera con el fin de articular los modelos en un articulador para poder diseñar la prótesis correctamente.

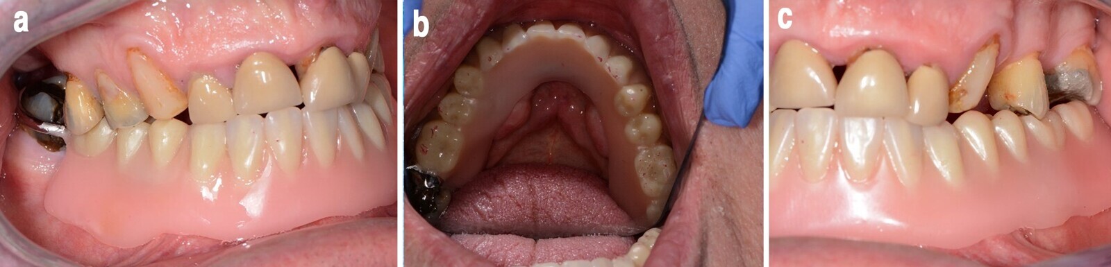
También necesitaremos que el paciente acuda a esta segunda visita en casos en los cuales los dientes maxilares anteriores no están presentes (Clase IV de Kennedy), ya que tal vez queramos incorporar triturantes metálicas en el diseño de esta prótesis. En estos casos necesitamos tener un buen registro del posicionamiento de los dientes anteriores, seguido de una prueba de dientes intermedia para que el protésico dental puede replicar la zona palatina de estos dientes en el diseño de la base de la prótesis dental4.

Figura 2. Prueba de dientes intermedia (a) para la incorporación de triturantes metálicas en la base de la prótesis parcial removible (b).

Segunda visita (para todos los pacientes)

Antes de la segunda vista del paciente debemos haber diseñado su prótesis. Para ello es indispensable usar un paralelizador para poder escoger un eje de inserción favorable para el paciente, el cual facilite la inserción de la prótesis, así como aprovechar al máximo las retenciones de los dientes (Figura 3).

Figura 3. Uso del paralelizador para identificar el eje de inserción (línea negra) y remoción (línea roja), tal y como están indicados en el lateral del modelo. Obsérvese el uso de las retenciones de los tejidos blandos de la zona edéntulo anterior para modificar el eje de inserción de la prótesis.

Los principios básicos en los que nos debemos guiar para diseñar una prótesis removible esquelética son5:

Debe ser higiénica: evitar cubrir los márgenes gingivales, ya que eso provocaría la acumulación de placa dental. Todos los componentes deben estar alejados un mínimo de 3mm del margen gingival.

  • Debe ser fácil de limpiar y mantener para el paciente
  • Proveer buen soporte
  • El conector debe ser rígido
  • Diseño sencillo.

El sistema de diseño que recomendamos es el propuesto por Davenport et al, el cual sigue 8 pasos6:

  1. Determinar las bases: determinar el número de dientes presentes, decidir la forma de las superficies pulidas y usar retenciones de los tejidos orales para maximizar la retención de la prótesis dental.
  2. Soporte: dictado por los apoyos oclusales en los dientes más cercanos a una zona edéntula.
  3. Retención: en este procedimiento debemos escoger los ganchos más apropiados para los dientes. Debemos recordar que para molares se deben usar ganchos circunferenciales y para premolares o dientes anteriores ganchos a barra.
  4. Reciprocidad: es importante asegurarse que todos los dientes que se utilizan como puntos de retención para la prótesis o el aparato de ortodoncia estén reciprocados para evitar la aplicación de fuerzas ortodónticas desequilibradas en dichos dientes.
  5. Retención indirecta: ésta viene dictaminada por cualquier estructura en la prótesis que evite los movimientos de rotación de las prótesis parciales que son muco-dento suportadas.
  6. Planos guías: nos ayudarán a identificar un único eje de inserción de la prótesis dental y a la prevención de la distorsión de los ganchos dentales.
  7. Conector: una vez incorporados todos los elementos de la prótesis dental, es importante escoger el conector que mejor que una esos componentes, manteniendo los principios de higiene y minimalismo.
  8. Revisar el diseño de la prótesis: el último paso del diseño de la prótesis es revisar que siga los principios que hemos descrito al inicio de esta sección (Figuras 4 y 5).

Figura 4. Revisión del diseño de la prótesis removible. En amarillo señalizamos las bases y los dientes a incluir, en rojo, soporte (y también las zonas en que queremos extender con acrílico), verde es para la retención de los ganchos y en azul marcamos la reciprocidad de estos ganchos. Finalmente, en negro dibujamos el conector mayor.

Figura 5. Recomendamos dibujar el diseño en los modelos de estudio (a) ya que se puede apreciar mejor el diseño final de la prótesis y cómo los componentes se relacionan unos con otros mientras se usan los surcos y fosas de la dentición para el uso apropiado de ganchos (b).

Una vez terminado el diseño es necesario explicárselo al paciente con el fin de obtener su consentimiento para hacer las modificaciones necesarias en los dientes. Cuando éstas estén terminadas debemos tomar nuestras impresiones finales usando las cubetas que habremos pedido que construya el técnico de laboratorio. Dichas cubetas deben tener el espacio necesario para el uso del material que vayamos emplear para registrar nuestras impresiones. Por ejemplo, si vamos a usar alginato, dichas cubetas deben tener un espacio de 3mm; y para silicona de adición, necesitamos unos 2mm. Para asegurar una correcta extensión de la prótesis, es importante que la cubeta utilizada para la impresión tenga una longitud de 2 a 3 mm por debajo del margen gingival (sulco), independientemente del material utilizado. Esto permitirá un adecuado moldedado y registro de las extensiones de la prótesis, tal y como hicimos para las primeras impresiones4 (Figura 6).

Debemos cerciorarnos de que los componentes metálicos se ajustan correctamente a los dientes, ya que si existe una discrepancia podría ser que hay cera en áreas que no deberían estar cubiertas por cera.

Figura 6. Impresión final usando una cubeta especial espaciada 3mm para alginato. Nótese que la cubeta está moldeada con cera para cubetas de impresión.

Tercera visita

En esta visita vamos a comprobar que la base esquelética se adapte correctamente a los dientes y estructuras adjuntas. Primero debemos comprobar que el modelo esquelético esté bien adaptado al modelo y que se ha seguido el diseño que prescribimos. Seguidamente, lo colocaremos en la boca del paciente y con la ayuda de una sonda periodontal comprobaremos que todos los componentes estén bien adaptados en los dientes.

En caso de tener triturantes metálicas, debemos comprobar que la oclusión no se vea afectada y que los dientes índice siguen contactando del mismo modo que lo hacían sin el modelo esquelético en boca (Figura 7).

Figura 7. Dos vistas (a y b) del modelo esquelético con triturantes metálicas en la zona de los incisivos laterales maxilares.

Una vez estemos satisfechos con el modelo esquelético, crearemos unos rodetes de cera que pondremos en las zonas edéntulas para registrar la mordida del paciente. Este paso no es necesario si los moldes se pueden articular manualmente.

En la Figura 8 se observa un caso especial en el que el paciente tenía unos torus linguales que no permitían las extensiones correctas de una prótesis mandibular en la zona lingual. En este caso tuvimos que extender la base metálica sobre las zonas edéntulas y usar los caninos como retención en una sobredentadura. Nótese que estos caninos no están cubiertos con la base metálica para permitir futuras reparaciones del composite que está situado encima de los caninos.

Figura 8. Torus linguales (a) que impedían colocar una prótesis mandibular en la zona lingual, por lo que tuvimos que usar un modelo esquelético (b) con rodete de cera para registrar la oclusión del paciente usando “jetbite” (c).

Es importante que el paciente entienda desde la primera visita la importancia de que debe realizar un buen mantenimiento tanto de las prótesis como de los dientes para que el tratamiento sea satisfactorio a largo plazo.

Es importante no olvidar la toma de color y la forma correcta de los dientes en esta visita. Tenemos escoger el tipo de oclusión para nuestro paciente, para lo cual debemos decidir qué tipo de dientes protésicos queremos para el sector posterior, ya sea diente con superficie oclusal normal o con cúspides bajas.

Cuarta visita

Durante esta visita debemos evaluar la oclusión de la prótesis con los dientes protésicos en cera. Debemos cerciorarnos de que los componentes metálicos siguen ajustándose correctamente a los dientes como lo hacían en la visita anterior, ya que si existe una discrepancia podría ser que hay cera en áreas que no deberían estar cubiertas por cera (Figura 9).

Figura 9. Evaluación de la oclusión con los dientes en cera. Nótese en la imagen central que los contactos oclusales son estables.

Si al evaluar los contactos con un papel de articular notamos que la oclusión es demasiado prominente en un diente, es importante intentar recolocarlo en el rodete para ajustar la zona oclusal o incisal del diente, ya que debemos intentar mantener la anatomía de estos dientes.

Quinta visita

En esta visita vamos a entregar la prótesis dental al paciente. Vamos a hacer las mismas evaluaciones que hicimos en la visita anterior, y una vez satisfechos con el ajuste y la oclusión de la prótesis, enseñaremos al paciente a ponerse y quitarse la prótesis dental.

Asimismo, vamos a educar al paciente en el correcto mantenimiento de la prótesis dental

Es importante que el paciente cepille la prótesis usando jabón de manos y agua templada encima de un recipiente lleno de agua o en el que se haya colocado una toalla en su interior para evitar fracturas en caso de que la prótesis cayera mientras se limpia. Se debe explicar que no se deben usar productos dentales como pasta de dientes para limpiar la prótesis, ya que los dentríficos contienen partículas de sílica que actúan como abrasivos que incrementan la formación de marcas en la parte acrílica de la prótesis y contribuyen al desarrollo microbiano7.

El uso de productos químicos, como el hipoclorito sódico, ha demostrado tener eficacia antimicrobiana. El uso de dicho componente al 0.5% durante al menos 3 minutos al día, se ha asociado con una actividad antimicrobiana efectiva contra el Streptococcus mutans y Candida albicans8.

Otra posible recomendación para la higiene de las prótesis dentales es el uso de baños ultrasónicos a una frecuencia de entre 20 y 60kHz. La vibración de estos dispositivos hace que se formen burbujas que colisionan e implosionan con los residuos superficiales, removiéndolos de la superficie de la prótesis9.

Finalmente, es de suma importancia hacer revisiones periódicas a estos pacientes, ya que queremos mantener los dientes pilares el máximo de tiempo. Estos dientes suelen ser más susceptibles a caries dental, debido al posible acúmulo de placa dental. Por este motivo, es importante aplicar en estos dientes productos que contengan flúor como Duraphat al menos dos veces al año, e informar al paciente de usar pasta dental que contenga un mínimo de 1450ppm de flúor y cepillarse los dientes sin la prótesis dental un mínimo de dos veces al día. Las revisiones se deben hacer cada 6 meses, a no ser que el riesgo de enfermedad periodontal, caries o cáncer sea elevado, en cuyo caso reduciremos los intervalos a cada 3 o 4 meses.

Conclusión

Con el fin de confeccionar unas prótesis removibles adecuadas que sirvan para mantener una buena salud oral, debemos diseñar prótesis que sigan los principios generales de higiene y sencillez, y que el paciente entienda desde la primera visita la importancia de que debe realizar un buen mantenimiento tanto de las prótesis como de los dientes para que el tratamiento sea satisfactorio a largo plazo.

___________________________________________________________________________________________________________

Autores

La Dra. Rosa Moreno López es Vicedecana de Educación del Instituto de Odontología de la Universidad de Aberdeen. Máster en Odontología en Pacientes Especiales, Postgrado en Gerodontología, Miembro de la Facultad de Cirujanos Dentistas del Royal College of Surgeons de Glasgow (Escocia).

___________________________________________________________________________________________________________________

“Mirando a Miró”. Las imágenes que ilustran este número monográfico pertenecen a “Mirando a Miró”, ensayo fotográfico de Javier de Pisón sobre la obra escultórica del artista Antoni Miró. Esta serie de esculturas de Miró, realizadas entre 2008 y 2011, tiene doble cara (anverso y reverso o positivo y negativo), están hechas en acero corten, y se exhibieron en Altea, Alicante, como parte de las exposiciones "De mar a mar"(2022) y “Arte a la intemperie” (2023).

___________________________________________________________________________________________________________________

Referencias

  1. Bravo Pérez M, Almerich Silla JM, Canorea Díaz EI, Casals Peidró E, Cortés Martinicorena FJ, et al. Encuesta de Salud Oral en España 2020. Consejo General de Dentistas 2020; 25(4):12-69.
  2. Stilwell C. Revisiting the Principles of Partial Denture Design. Dental Update 2010;37(10):682-690.
  3. Wostmann B, Budtz-Jorgenses E, Jepson N. Indications for removable partial dentures: a literature review. Int J Prosthodont 2005;18:139-145.
  4. Blakely, L., Beare, W., Harris, A. et al. Top tips for complete denture prosthetics in primary care. Br Dent J2022;232:498-500.
  5. Owal et al. Removable partial denture design: a need to focus on hygienic principles? Int J Prosthodont 2002;15(4):371-8.
  6. Davenport, Basker, Heath, Ralph, Glantz. A system of design. BDJ 2000;189:586-590.
  7. Chittaranjan B, Taruna M, Sudhir N, Bharath V M. Material and methods for cleaning the dentures. Indian J Dent Adv 2011;3:423-426.
  8. De Sousa Porta S R, de Lucena-Ferreira S C, da Silva W J, Del Bel Cury A A. Evaluation of sodium hypochlorite as a denture cleanser: a clinical study. Gerodontology 2015;32:260-266.
  9. Mylonas, P., Milward, P. & McAndrew, R. Denture cleanliness and hygiene: an overview. Br Dent J 2022;233:20-26.

___________________________________________________________________________________________________________________

Ver la Edición Especial sobre Odontogeriatría de Dental Tribune.

    RECIBE GRATIS TODOS LOS ARTICULOS SOBRE ODONTOGERIATRIA

 

ARTICULO AUTOR
1 Introducción del número: el arte y la ciencia de la Odontogeriatría Belisa Olmo González
2 Gerodontología para el paciente vulnerable institucionalizado o en domicilio Belisa Olmo, Manuel Ribera
3 Importancia de evaluar el rápido deterioro de la salud oral entre los adultos mayores Leonardo Marchini
4 Elaboración de prótesis parciales removibles en pacientes ancianos Rosa Moreno
5 La dependencia en la atención sanitaria y dental en gerodontología Fuensanta López, Susana Martínez
6 Fitoterapia en la tercera edad Claudia Elena
7 Tratamiento preventivo en el paciente adulto mayor José Carmelo Ortola
8 Relación de la enfermedad periodontal con enfermedades sistémicas en el paciente adulto mayor Patricia Truchuelo, Luis Sánchez-Labrador
9 Lesiones de la mucosa oral en odontogeriatría Sonia Egido, Berta Rivas
10 Xerostomía en paciente adulto mayor repercusiones en el manejo dental Ana Póveda
11 Uso de la sedación consciente con óxido nitroso en Gerodontología Victor Gil, Angela Galeotti
12 La cirugía bucal en el paciente adulto mayor Pedro Luis Ruiz Sáenz, Juan Santos Marino

 

 

 

 

To post a reply please login or register
advertisement
advertisement