Search Dental Tribune

Estética Directa: luz y color en restauraciones de resina compuesta

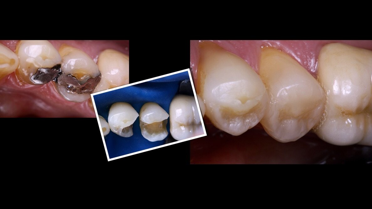
Muestra de una restauración directa con resina compuesta realizada por el Prof. Rafael S. Beolchi, dictante de este curso de dos días de duración (17 y 18 de octubre).

dom. 20 septiembre 2020

guardar

Curso online que desmitifica el concepto de que la estética en odontología es puramente artística y empírica, dirigido a los clínicos que buscan simplicidad, previsibilidad y excelencia en sus tratamientos estéticos directos.

En los últimos años, el interés en la Odontología Estética ha aumentado sobremanera. Desafortunadamente, muchos cursos de Operatoria Dental tratan el tema de la “Estética” como algo más artístico que científico. Consiguientemente, en algunos de estos cursos el odontólogo tiene la sensación de no haber aprendido porque no tienen las bases para poder planear y ejecutar casos clínicos con seguridad, previsibilidad y, también, con tranquilidad.

Este curso desmitifica el concepto de que la estética en odontología es puramente artística y empírica.

Actualmente es posible actuar en Operatoria Dental con énfasis en procedimientos estéticos de modo ético, teniendo en cuenta la promoción de la salud oral integral y la previsibilidad de resultados sustentados por evidencia científica y clínica, respetando siempre los preceptos de la odontología mínimamente invasiva. Para eso, es fundamental comprender lo que incomoda al paciente y saber cuáles son las técnicas y materiales a nuestra disposición.

Profesor

  • Rafael S. Beolchi

Curso

  • Teórico-práctico Online.
  • Módulo de 2 días (4 horas por día)

Total: 8 horas

Objetivos

  • Capacitar el profesional para la actuación diferenciada y cualificada con lo más nuevo en la área de la Estética con materiales directos, desarrollando el perfeccionamiento del profesional en un curso donde los temas se presentan de manera personal y vacantes limitadas.
  • Se presentará una visión diagnóstica para la selección y aplicación de los diversos colores de resina. Además, temas como longevidad, adhesión y fotopolimerización tienen todos un foco especial en el curso.

Programa del Curso

            Día 1 - Protocolos de Estratificación / Adhesión

Mañana

  • Sistemas resinosos actuales: nuevos conceptos y posibilidades
  • Técnicas monocromática y de estratificación simplificada en el sector anterior
  • Actualidad en Adhesión

Tarde

  • Taller en dientes anteriores: Clase IV larga

No te pierdas este curso, dictado por el maestro brasileño de la estética dental.

Día 2 - Resinas Compuestas / Diagnóstico de color, Estratificación

Mañana

  • Teoría de colores y propiedades ópticas de dientes y resinas
  • Anatomía y morfología del sector anterior
  • Textura y pulido

Tarde

  • Taller: confección de incisivo central con estratificación de resina compuesta.

Información e inscripción

Fecha del curso: 17 y 18 de octubre de 2020

Horario:

  • Colombia, México, Perú, Ecuador: 12:00m – 16:00
  • Argentina, Brasil: 14:00 – 18:00
  • España: 19:00 – 23:00

Precio del curso: 65€

Cupos limitados

Los participantes recibirán un certificado digital.

WhatsApp: +34 652 95 09 29

Francisco José Ramos, Director Ejecutivo, Helident Training Center

Pagos a través del sistema seguro de pago en la web de www.helidenttrainingcenter.com o por transferencia bancaria a la cuenta en el BBVA de España ES7001826121270201607138.

Se enviará un link para acceder al curso una vez que se confirme el pago.

 

One thought on “Estética Directa: luz y color en restauraciones de resina compuesta

  1. Hwrnan says:

    Interesado por el curso.

To post a reply please login or register
advertisement
advertisement