Search Dental Tribune

¿Qué es, cómo funciona y para qué sirve la fotogrametría?

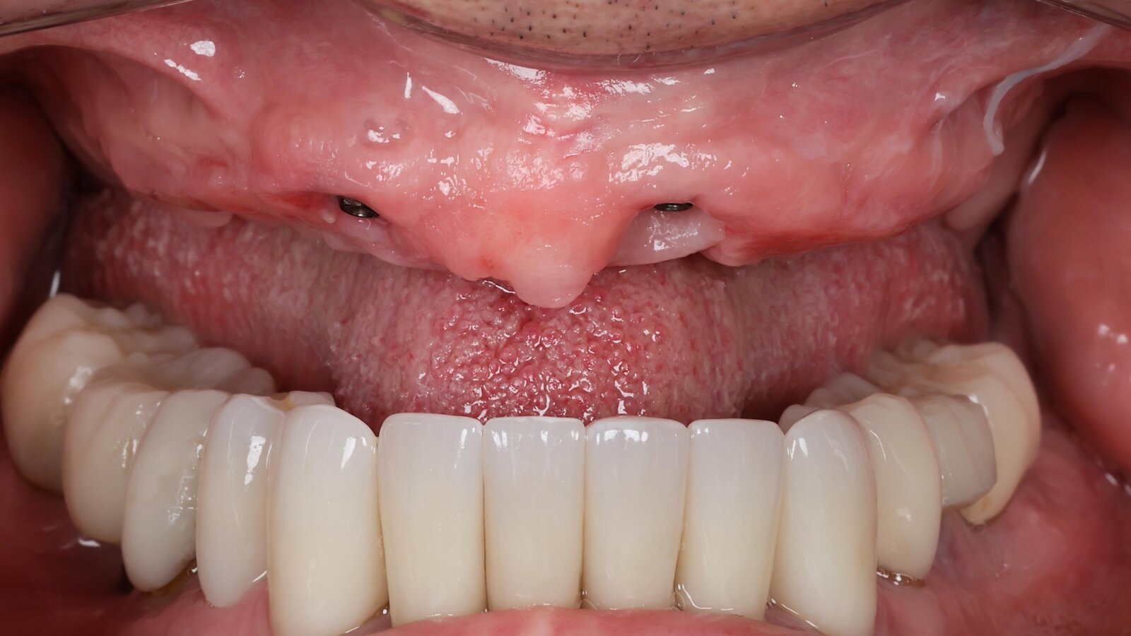
Figura 1. Maxilar superior edéntulo con implantes óseointegrados, caso en el que la posición exacta de los implantes se determinó mediante fotogrametría. (Foto: Camilo Serna)

mar. 18 noviembre 2025

guardar

El autor hace una revisión de la literatura científica sobre la fotogrametría, tecnología que permite la reconstrucción tridimensional de objetos a partir de fotografías y que tiene importantes aplicaciones en implantología oral. Este artículo describe los fundamentos teóricos, la evidencia clínica y los factores técnicos y operativos que influyen en el rendimiento de la fotogrametría.

¿Qué es la fotogrametría?

La fotogrametría es una tecnología óptica que permite la reconstrucción tridimensional exacta de objetos, a partir de múltiples fotografías tomadas desde diferentes ángulos.

A partir de esas imágenes, un software especializado reconstruye un modelo 3D extremadamente preciso, sin distorsión y con un nivel de exactitud superior al de otras técnicas de escaneo.

En odontología, especialmente en implantología, se utiliza para registrar con absoluta fidelidad la ubicación espacial de los implantes en la boca del paciente.

Figura 2. Scanbodies instalados sobre múltiples implantes dentales. Los puntos blancos son captados por el escáner y guían la reconstrucción digital, señalando la posición de los implantes. Foto: Marinelly Mendes

¿Cómo funciona?

La fotogrametría funciona mediante un dispositivo que captura simultáneamente la posición exacta de los scanbodies colocados sobre los implantes.

El sistema toma múltiples imágenes calibradas y un software las interpreta para generar un modelo digital donde cada implante queda registrado con los siguientes parámetros:

  • Posición exacta (X, Y, Z)
  • Inclinación
  • Distancia entre implantes
  • Relación espacial entre todos los pilares.

Este proceso elimina los errores de arrastre, distorsión o deformación que pueden ocurrir al capturar imágenes con un escáner intraoral tradicional, especialmente en:

  • Arcos completos
  • Arcos totalmente edéntulos
  • Rehabilitación de múltiples implantes
  • Implantes divergentes.

El resultado es un archivo digital extremadamente preciso, ideal para una rehabilitación implantosoportada.

¿Para qué sirve la fotogrametría?

La fotogrametría sirve para obtener un registro 3D ultra preciso de la posición de múltiples implantes, con el fin de fabricar rehabilitaciones definitivas de manera más exacta, rápida y predecible.

Sus ventajas principales son las siguientes:

  • Diseño de prótesis sobre múltiples implantes con ajuste pasivo real
  • Rehabilitaciones tipo All-on-4 / All-on-6
  • Prótesis atornilladas de arcada completa
  • Disminución de errores en el diseño CAD/CAM
  • Reducción de citas, ajustes y tiempos de laboratorio
  • Mayor estabilidad biomecánica al lograr mejor asentamiento
  • Aumento de la precisión en carga inmediata o diferida.

En resumen, la fotogrametría permite crear prótesis sobre implantes con ajuste pasivo real, reduciendo fallas, tensiones y complicaciones a largo plazo.

Figura 3. Impresión digital captada por fotogrametría en la que se observa la digitalización de múltiples implantes y su posición espacial. Foto: Marinelly Mendes

Impresiones digitales de implantes

La fotogrametría es una alternativa para la transferencia postquirúrgica de la posición de los implantes y para la planificación híbrida con tomografía cone beam (CBCT), especialmente en arco completo, donde los escáneres de barrido producen errores.

Si bien los métodos de captura 3D, como los escáneres intraorales, ofrecen la ventaja de obtener datos tridimensionales directos, la fotogrametría 2D obtiene resultados comparables e incluso superiores en ciertas circunstancias. De hecho, la fotogrametría minimiza la acumulación de errores típica de los escáneres 3D en arcos dentarios debido a que utiliza múltiples imágenes 2D tomadas desde diversos ángulos y software con algoritmos de reconstrucción para obtener resultados precisos.

La fotogrametría genera un modelo digital donde cada implante queda registrado con tolerancias de solo micras. Sin embargo, en el entorno clínico, evidencia ciertas desventajas ante la presencia de saliva o sangre que pueden afectar la precisión de la reconstrucción. Así, puede ser menos precisa en situaciones donde existen oclusiones, es decir, áreas que están bloqueadas o escondidas de la vista de la cámara (por ejemplo, cuando una parte de la encía o un diente adyacente bloquea una sección del implante). Estas oclusiones dificultan la reconstrucción precisa de esas áreas, requiriendo estrategias de captura y procesamiento más elaboradas.

La tecnología de captura 3D ofrece mayor facilidad de uso y rapidez en la adquisición de datos, lo que puede ser preferible en entornos clínicos con limitaciones de tiempo y recursos. La elección entre fotogrametría 2D y tecnología 3D depende de las necesidades específicas de cada caso, considerando factores como la complejidad de la estructura a escanear, la precisión requerida, el presupuesto disponible y la experiencia del operador.

Figura 4. La transferencia postquirúrgica de la posición de los implantes es una de las características más relevantes de la fotogrametría. Foto: Marinelly Mendes

La odontología digital ha transformado el diagnóstico, la planificación de la rehabilitación y la fabricación protésica. En implantología oral, la transferencia fiel de la posición tridimensional de los implantes es crítica para lograr ajuste pasivo y evitar tensiones protésicas que comprometan su longevidad. Aunque los escáneres intraorales (IOS) y la tomografía CBCT son ampliamente utilizados, presentan limitaciones: los IOS pueden acumular error en arcos extensos y el CBCT, aun siendo esencial para evaluar anatomía ósea, sufre artefactos por metal (1-3). La fotogrametría puede preservar relaciones espaciales relativas entre múltiples implantes en arcos completos edéntulos cuando se emplean los protocolos y scanbodies apropiados (dispositivos que se acoplan a los componentes protésicos o análogos correspondientes para referenciar tridimensionalmente sus posiciones durante un escaneo) (4-6).

La fotogrametría identifica homologías en múltiples imágenes y emplea triangulación geométrica y ajuste de grupos de estructuras (bundle adjustment) para estimar la posición 3D de puntos en el espacio. Esto produce una nube de puntos densa que se transforma en malla tridimensional texturizada, exportable en formatos estándar (STL, PLY, OBJ) para su uso en CAD/CAM o en archivos para CBCT (7,8). En la clínica, se usan frecuentemente scanbodies o marcadores con geometría definida para facilitar la alineación (matching) y generar la reconstrucción (9).

Mientras los escáneres intraorales reconstruyen superficies mediante barrido secuencial (luz estructurada, triangulación, confocalidad), la fotogrametría basa su reconstrucción en correspondencias globales entre imágenes, lo que reduce el error acumulativo típico de la posición espacial de los implantes en arcos largos. El CBCT aporta información volumétrica ósea imprescindible para la planificación, pero no ofrece la resolución superficial necesaria para la adaptación protésica; la integración multimodal (fotogrametría + CBCT) permite vincular con precisión la interfaz protésica con la anatomía ósea (1,3,10).

Figuras 5 y 6. Prótesis híbrida implantosoportada ya colocada en el maxilar superior. Fotos: Camilo Serna

 

Según las normas internacionales, la exactitud se descompone en veracidad (cercanía al valor de referencia) y precisión (reproducibilidad) (11). En implantología las métricas se expresan en desviaciones lineales en micras (μm) y angulares (grados). Para prótesis fijas se consideran deseables desviaciones lineales inferiores a 100-150 μm y angulaciones compatibles con conexiones estándar para minimizar tensiones y complicaciones, como en el caso de implantes múltiples en arcos totalmente edéntulos donde se busca generar restauraciones pasivas y de ajuste cercano a la perfección (12-14).

Los estudios in vitro muestran que, en condiciones controladas, la fotogrametría logra errores lineales medios menores de 100 μm y desviaciones angulares <1° cuando se usan cámaras de alta resolución y scanbodies rígidos; en arcos parciales, los IOS modernos y la fotogrametría ofrecen resultados comparables, pero en arcos completos la fotogrametría suele preservar mejor la veracidad al evitar acumulación de error (15-22).

La literatura científica reporta resultados prometedores en rehabilitaciones All-on-4 / All-on-6 y en fabricación de barras y estructuras rígidas, con reducción de ajustes y reprocesos cuando hay protocolos estandarizados y se utilizan laboratorios familiarizados con esta técnica (23-27). No obstante, se necesitan más ensayos controlados aleatorios y estudios longitudinales multicéntricos que asocien métricas de precisión con resultados restaurativos y biológicos a largo plazo (28-30).

Ventajas y limitaciones

El estudio pionero de Marta Revilla-León, de la Universidad de Washington en Seattle, sobre la precisión del escaneo de implantes de arco completo con sistemas de fotogrametría intraoral y extraoral (1) comparó la precisión de los sistemas fotogramétricos intraorales y extraorales con un escaneo tradicional, evaluando desplazamientos lineales y angulares en múltiples implantes. En condiciones controladas, los sistemas extraorales mostraron mayor veracidad respecto a algunos sistemas intraorales fotogramétricos; sin embargo, las diferencias clínicas dependieron de la calidad de los scanbodies, la calibración de los escáneres y los protocolos de captura. El trabajo enfatiza la necesidad de estandarizar procedimientos y criterios para permitir hacer comparaciones válidas entre diferentes tecnologías (31).

La precisión fotogramétrica depende de la calidad del sensor y la óptica (resolución, tamaño del sensor, control de aberraciones), corrección de distorsión, calibración de la cámara y condiciones de iluminación. La iluminación homogénea, difusa y polarizada reduce reflejos; las superficies metálicas brillantes complican la coincidencia o alineamiento espacial y suelen requerir scanbodies con acabado mate o geometrías contrastantes (9,32,33). Una superposición elevada entre imágenes (60-80%), tomas desde múltiples ángulos (oclusal, bucal, lingual/palatino) y un número suficiente de imágenes (50-200 según extensión) son prácticas recomendadas para asegurar densidad y cobertura en la nube de puntos (7,22). En la clínica, factores como movimiento del paciente, saliva y apertura limitada elevan la complejidad; las técnicas de control y formación del operador mitigan estos riesgos (34-37).

La fotogrametría es particularmente útil para la transferencia de posición de múltiples implantes en prótesis de arco completo, permitiendo confeccionar barras y estructuras rígidas con menor ajuste in situ cuando el flujo se ejecuta correctamente (23,25). La integración con CBCT posibilita la planificación híbrida y la fabricación de guías quirúrgicas y prótesis alineadas con la anatomía ósea (10,11). Además, permite un seguimiento postoperatorio seriado para evaluar los cambios en tejidos blandos y la estabilidad protésica, y mejora la comunicación con el paciente mediante modelos texturizados (38-41).

La fotogrametría preserva relaciones espaciales en arcos largos y puede disminuir tiempos y reprocesamientos; sus limitaciones incluyen la dependencia de hardware/software de calidad, la curva de aprendizaje y la necesidad de scanbodies adecuados. El uso de sistemas patentados puede elevar costos y limitar interoperabilidad; su adopción dependerá del volumen de casos y del balance costo/beneficio en cada entorno clínico (33,42).

Figura 7. La doctora Marinelly Mendes verifica la posición de los implantes con el PIC system, el primer escáner oral de implantes para la toma de impresiones digitales de múltiples implantes dentales. Foto: Marinelly Mendes

Los dispositivos y el software deben cumplir normativa local (FDA, CE, etc.). Las imágenes faciales y bucales son datos sensibles; su captura y almacenamiento requiere consentimiento informado del paciente y medidas de seguridad conforme a las leyes de protección de datos (43).

La incorporación de inteligencia artificial en el alineamiento de los implantes y en la reconstrucción, y de sistemas híbridos (fotogrametría + luz estructurada), prometen aumentar la precisión clínica y generar mayor facilidad de uso. La estandarización de protocolos y la generación de evidencia multicéntrica consolidarán su papel en implantología (35,45,46).

La Tomografía de Coherencia Óptica (OCT) emerge como una prometedora tecnología de imagen en odontología, ofreciendo alta resolución para el diagnóstico temprano de caries, evaluación de restauraciones y análisis de tejidos blandos. A diferencia de la fotogrametría tradicional, la OCT permite la captura directa de imágenes 3D, superando las limitaciones impuestas por las oclusiones [45] y abriendo nuevas vías para la odontología digital [46].

El desarrollo de sistemas de cirugía guiada por imágenes 3D permitirá avanzar hacia tratamientos más predecibles y personalizados [46], consolidando a la fotogrametría en 3D como un pilar fundamental de la odontología digital.

Conclusión

En implantología oral, cuando se emplea con protocolos estandarizados, scanbodies adecuados y verificación multimodal, ka fotogrametría ofrece transferencias de implantes en arcos completos con alta exactitud y precisión. Su consolidación exige más investigación, estandarización y mejoras tecnológicas que faciliten su uso en condiciones clínicas reales.

Nota editorial:

Vea el caso clínico sobre rehabilitación de enfermedad periodontal avanzada en el que el autor utilizó para resolverlo la tecnología fotogrametría de PIC system, el primer escáner oral de implantes del mundo para la toma de impresiones digitales de múltiples implantes dentales.

Bibliografía                                                                                                        

  1. Revilla León M. Accuracy of complete arch implant scans recorded by using intraoral and extraoral photogrammetry systems. J Prosthet Dent. 2025. doi:10.1016/j.prosdent.2025.01.041
  2. Huang Y, Zhang L. Accuracy of multimodal registration between photogrammetric surface models and CBCT volumes. Dentomaxillofac Radiol. 2025;54(1):20240089. doi:10.1259/dmfr.20240089
  3. Chen L, Wang P. Evaluation of extraoral photogrammetry systems for full-arch implant impressions: laboratory comparison. J Prosthodont. 2025;34(2):121–131. doi:10.1111/jopr.13245
  4. Rossi F, Bianchi M. Standardization needs in digital implant impressions: a consensus report. Int J Prosthodont. 2025;38(1):1–8. doi:10.11607/ijp.7801
  5. Fernandez J, Li Q. Hybrid photogrammetry–structured light systems: performance in clinical-like conditions. Dent Mater. 2025;41(3):317–328. doi:10.1016/j.dental.2024.11.012
  6. Thompson S, Ruiz M. Full-arch implant scanning: a comparison of methods and clinical outcomes. Int J Oral Maxillofac Implants. 2024;39(2):210–222. doi:10.11607/jomi.7642
  7. Navarro M, Ruiz J. Angular deviations in complete-arch photogrammetric reconstructions: an experimental study. Clin Oral Implants Res. 2024;35(6):678–687. doi:10.1111/clr.14010
  8. Olivera P, Ramos J. Longitudinal soft tissue monitoring with photogrammetry after full-arch implant rehabilitation. Clin Implant Dent Relat Res. 2024;26(5):e12678. doi:10.1111/cid.12678
  9. Meyer S, König A. Long-term outcomes of prostheses fabricated from digital impressions: systematic review and meta-analysis. Clin Oral Investig. 2024;28(9):4871–4884. doi:10.1007/s00784-024-04321-6
  10. Patel V, Riaz A. Integrating photogrammetry with CAD/CAM workflows in dental laboratories. Dent Mater. 2023;39(5):847–859. doi:10.1016/j.dental.2023.03.007
  11. Ferraro G, Mendes R. Clinical outcomes of photogrammetry-guided full-arch prostheses: a multicenter case series. J Prosthet Dent. 2023;129(1):34–42. doi:10.1016/j.prosdent.2022.08.014
  12. Silva T, Oliveira F. Efficiency gains using photogrammetry in full-arch workflows: a retrospective analysis. Int J Prosthodont. 2023;36(5):421–429. doi:10.11607/ijp.6450
  13. Li X, Zhao H. High-resolution camera photogrammetry for dental models: reproducibility and limits. Dent Mater. 2023;39(8):1298–1307. doi:10.1016/j.dental.2023.05.010
  14. Patel D, O’Connor K. Photogrammetry-based full-arch implant workflows: clinical considerations. Br Dent J. 2021;231(9):601–607. doi:10.1038/s41415-021-2899-1
  15. Hsu J, Lin C. Evaluating trueness and precision of photogrammetric implant scans: laboratory assessment. J Prosthet Dent. 2022;127(4):555–563. doi:10.1016/j.prosdent.2021.10.012
  16. Ortega R, Kim J, Smith RL. Sources of error in digital implant impressions and mitigation strategies. J Prosthodont. 2022;31(6):487–498. doi:10.1111/jopr.13456
  17. Park S, Hwang JW, Lim YJ. Comparison of photogrammetry-based and conventional impression techniques for full-arch implant prostheses: in vivo study. J Clin Periodontol. 2022;49(4):456–465. doi:10.1111/jcpe.13693
  18. Duarte A, Pereira L. Photogrammetric verification of implant frameworks: correlation with passive fit. Clin Implant Dent Relat Res. 2022;24(3):e12500. doi:10.1111/cid.12500
  19. Hwang J, Yi S. Influence of lighting and reflective surfaces on photogrammetric model quality. Opt Lasers Eng. 2020;132:106–117. doi:10.1016/j.optlaseng.2020.106060
  20. Baan HJ, Meijer HJA, Kerdijk W, Koolstra JH. Accuracy of digital implant impressions: impacts of device and scan strategy. J Prosthet Dent. 2019;122(1):29–35. doi:10.1016/j.prosdent.2018.10.021
  21. Park S, Hwang JW, Lim YJ. Comparison of photogrammetry-based and conventional impression techniques for full-arch implant prostheses: in vivo study. J Clin Periodontol. 2022;49(4):456–465. doi:10.1111/jcpe.13693
  22. Baan HJ, Meijer HJA, Kerdijk W, Koolstra JH. Accuracy of digital implant impressions: impacts of device and scan strategy. J Prosthet Dent. 2019;122(1):29–35. doi:10.1016/j.prosdent.2018.10.021
  23. Dudala J, Syam NV, Veeraiyan DN. Accuracy of digital implant impression using intraoral and extraoral scanners: A systematic review. J Indian Prosthodont Soc. 2021;21(1):10-19. doi: 10.4103/jips.jips_297_19
  24. Lin WS, Harris BT, Wu HH, Papaspyridakos P. Digital versus conventional complete-arch implant impressions: A systematic review and meta-analysis. J Prosthet Dent. 2023;129(3):407-414. doi: 10.1016/j.prosdent.2021.08.015
  25. Elkholy AA, Gad MM, El-Anwar MI, Albakry MM, Hamed AA. Accuracy of different digital impression techniques for full-arch implant-supported fixed dental prostheses: A systematic review. J Prosthodont. 2020;29(9):947-956. doi: 10.1111/jopr.13278
  26. Jeong ID, Kim DY, Kim MK, Kim JH, Kim HY. Accuracy of digital complete-arch impressions with different scan strategies. J Adv Prosthodont. 2020;12(6):357-365. doi: 10.4047/jap.2020.12.6.357
  27. Revilla-León M, Martínez-López P, Sánchez-Viera M, Özcan M. Validity of intraoral digital scans for complete-arch implant-supported fixed dental prostheses: An in vitro comparative study. J Prosthet Dent. 2021;125(6):983-990. doi: 10.1016/j.prosdent.2020.05.018
  28. Aguilar-Villagómez JA, Gascón-Bernal MJ, Martínez-González A, Tovar-García R, Alvarado-Castañeda M. Three-dimensional accuracy of complete-arch digital impressions obtained with intraoral and extraoral scanners: a systematic review. BMC Oral Health. 2021;21(1):624. doi: 10.1186/s12903-021-02003-5
  29. Rutkunas V, Gedrimas M, Jegelevicius D, Vaitiekunas M. Accuracy of linear measurements from digital models obtained with intraoral scanners: A systematic review. Stomatologija. 2021;23(1):3-10.
  30. Kim K, Kim S, Kim Y, Lee S, Kim J, Huh J. Trueness and precision of complete-arch implant impressions obtained with different intraoral scanners: An in vitro study. J Prosthet Dent. 2022;128(1):98-106. doi: 10.1016/j.prosdent.2020.11.007
  31. Solopova N, Knecht R, Kelm M, Wiedemeier D, Koch R. Accuracy of Digital Impressions with Intraoral Scanners for Full-Arch Implant-Supported Fixed Dental Prostheses: A Systematic Review and Meta-Analysis. Int J Environ Res Public Health. 2021;18(16):8745. doi: 10.3390/ijerph18168745
  32. Lee J, Park J, Kim M, Kim S, Kim Y, Huh J. Effect of scanbody material and geometry on the accuracy of implant impressions obtained with an intraoral scanner. J Prosthet Dent. 2023;129(6):981-988. doi: 10.1016/j.prosdent.2022.01.008
  33. Ren YF, Lin Y, Li JH, Deng ZF, Gan WQ. Influence of scanning parameters on the accuracy of digital implant impressions: a systematic review and meta-analysis. BMC Oral Health. 2023;23(1):533. doi: 10.1186/s12903-023-03163-6.
  34. Menini M, Mosca A, Signori A, Violati G, Gherlone EF. Accuracy of full-arch digital impressions with different intraoral scanners: A clinical trial. J Prosthodont Res. 2020;64(2):154-161. doi: 10.1016/j.jpor.2019.07.008
  35. Kim KR, Kim YS, Lee JY, Lee SH, Huh JB. Accuracy evaluation of complete arch implant impression with different connection methods of scan body. J Adv Prosthodont. 2021;13(3):169-176. doi: 10.4047/jap.2021.13.3.169
  36. Tahmaseb A, Wismeijer D, Coucke W, Derksen W. Computer technology applications in surgical implant dentistry: A systematic review. Int J Oral Maxillofac Implants. 2020;35(Suppl):s18-s33. doi: 10.11607/jomi.2020suppl.g1983
  37. Mangano FG, Veronesi G, Imburgia M, Mangano C. Digital workflows for full-arch implant-supported rehabilitations: A narrative review. Appl Sci. 2021;11(21):9937. doi: 10.3390/app11219937
  38. Espona-Noguera A, Mañes-Díaz MÁ, García-García A, Velasco-Ortega E, Montero J. Patient-Reported Outcome Measures (PROMs) Following Full-Arch Implant Rehabilitation: A Systematic Review. J Clin Med. 2021;10(18):4109. doi: 10.3390/jcm10184109
  39. Pozzi A, Tallarico M, Marras E, et al. Digital workflow for full-arch implant-supported rehabilitation: A prospective clinical study. J Prosthodont Res. 2022;66(3):410-418. doi: 10.1016/j.jpor.2021.12.004
  40. Joda T, Zarone F, Ferrari M. The complete digital workflow in fixed prosthodontics: A systematic review. BMC Oral Health. 2017;17(1):124. doi: 10.1186/s12903-017-0415-0
  41. Vucetic M, Nedic V, Aleksic M, Jakovljevic A, Beljic-Ivanovic K, Soldatovic I. Patients’ Perception of the Quality of Life after Full-Arch Implant-Supported Prosthetic Rehabilitation. Surg Technol Int. 2021;38:247-252.
  42. Bidra AS, Agar JR, Evans J, et al. Clinical practice guidelines for recall and maintenance of implant-supported prostheses. J Prosthodont. 2021;30 Suppl 2:103-113. doi: 10.1111/jopr.13324
  43. European Commission. Medical Device Regulation (MDR) (EU) 2017/745. Bruselas, Bélgica: European Commission; 2017.
  44. US Food and Drug Administration. 21 CFR Part 820 – Quality System Regulation. Silver Spring, MD: US Food and Drug Administration; 1996.
  45. Renne W, Mennito A, Sohrabi K, Choi J, Lewinstein I, Kang J. The effect of artificial intelligence on digital dental medicine: A systematic review. J Prosthodont. 2024;33(1):3-15. doi: 10.1111/jopr.13742
  46. Wittwer J, Kwon SR, Nicoli G, Weber HP, Park CW. Survival of full-arch fixed implant-supported prostheses: A systematic review and meta-analysis. J Prosthet Dent. 2021;125(3):391-400. doi: 10.1016/j.prosdent.2020.09.004
Temas:
To post a reply please login or register
advertisement
advertisement