Un equipo del Máster de Endodoncia Online de la Universitat Internacional de Catalunya (UIC, Barcelona) presenta un caso clínico sobre el manejo clínico de un tratamiento de conductos en el diente 4.7.
Hoy en día describimos la endodoncia como el tratamiento de conductos de un diente diseñado para mantener o restaurar la salud de los tejidos perirradiculares, donde se realiza primero la remoción del tejido pulpar de una forma químico-mecánica para posteriormente colocar un material inerte1.
Está generalmente aceptado que el resultado del éxito de una endodoncia está relacionado con el sellado tridimensional de los conductos con el fin de evitar la entrada de bacterias. Sabemos que, teniendo unas condiciones clínicas controladas, el porcentaje de obtener un éxito favorable en una endodoncia cuando nos enfrentamos a un diente sin imagen apical está por encima del 90%; sin embargo, cuando tenemos una imagen apical el porcentaje de éxito varía entre 75% - 80%2.
Autores como NG establecen cuáles son los factores que afectan al pronóstico en este tipo de tratamientos, como por ejemplo la cualificación del clínico, asegurando que los tratamientos llevados a cabo por endodoncistas especializados tienen una mayor tasa de éxito que los que se han realizado por odontólogos generalistas. Otros factores que describieron son la localización y el tipo de diente, dado que está demostrado que este tratamiento realizado sobre dientes anteriores tiene un mayor porcentaje de éxito que en posteriores. Además de los descritos anteriormente también se destacan como factores importantes la cantidad de diente remanente y presencia de cracks previos al tratamiento, la extensión y calidad del material de obturación de conducto y el tipo de restauración coronal2. Respecto a este último, a la hora de restaurar un diente tratado endodonticamente, no podemos olvidar que nos enfrentamos a un diente que tiene una pérdida de estructura dental asociada a la caries a la que hay que sumar la pérdida que constituye el acceso cavitario. Resulta de vital importancia para obtener el mejor resultado la valoración de la estructura dental remanente, así como la demanda funcional que vendrán dadas por la posición del diente en la arcada y la oclusión del paciente3.
Los avances en el desarrollo de la tecnología CAD/CAM (Computer Aided Design/Computer Aided Manufacturing) así como la aparición en el mercado de nuevos materiales restauradores y nuevos cementos de resina nos han permitido evolucionar hacia la realización de preparaciones muy conservadoras donde la pérdida de estructura dentaria es mínima4.
Significado clínico
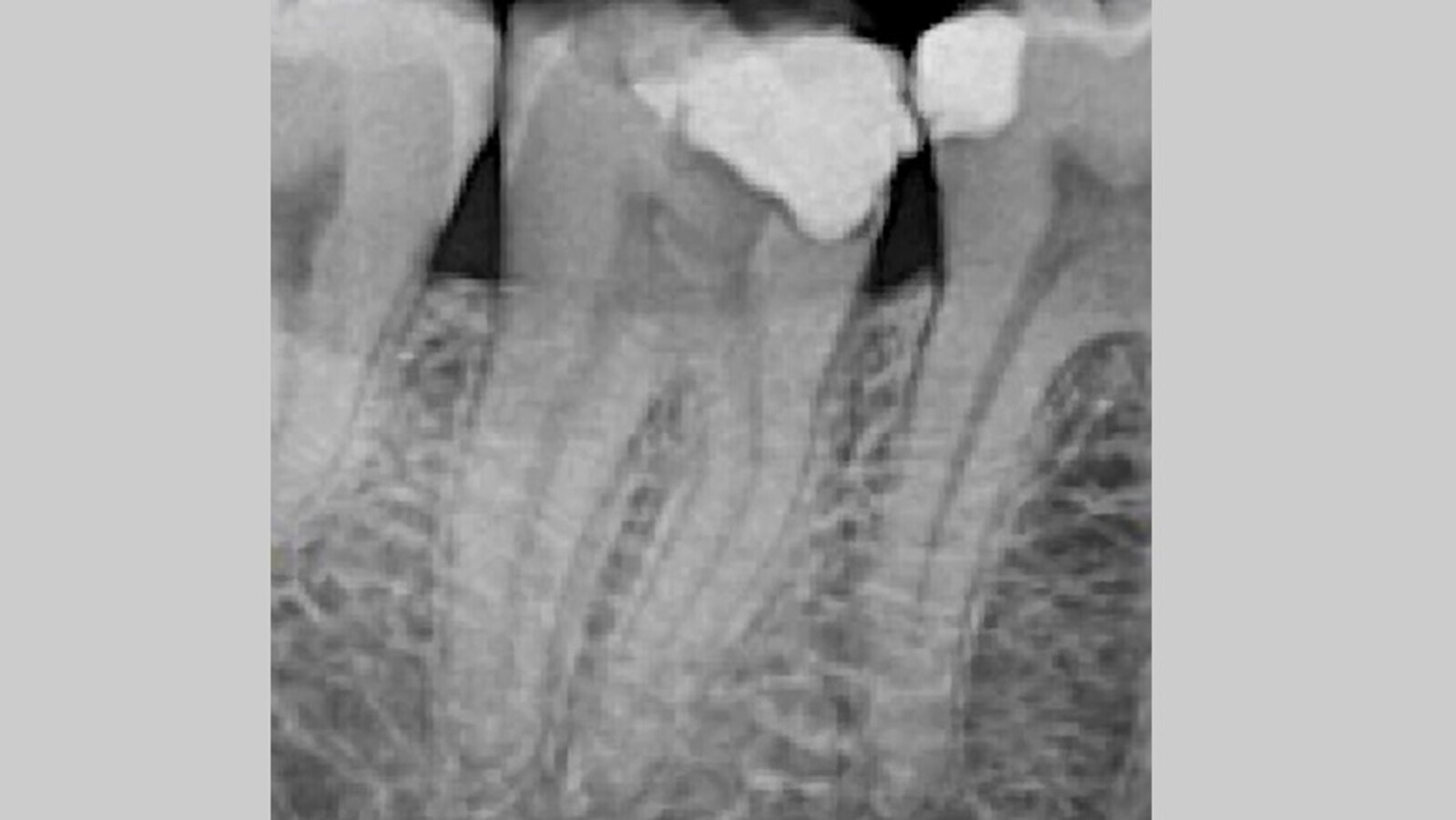
Mujer de 40 años sin ninguna historia médica relevante, acude referida a la clínica del Departamento de Endodoncia y Restauradora de la Universitat Internacional de Catalunya (UIC Barcelona) con dolor muy agudo en la zona inferior derecha de la mandíbula. La paciente fue visitada de urgencia por los estudiantes de pregrado en la Clínica Universitaria Odontológica (CUO) para aliviar el dolor, donde se le diagnosticó una pulpitis irreversible con una periodontitis apical sintomática en el segundo molar inferior derecho (4.7) (Fig. 1).
Fig. 1. Radiografía periapical inicial de la paciente.
Como tratamiento de urgencia procedieron a realizar la apertura cameral, remoción del tejido pulpar y colocación de medicación intraconducto y un material de obturación provisional. Posteriormente la paciente fue derivada al Departamento de Endodoncia para continuar con el tratamiento. Una semana después la paciente acude asintomática al departamento donde se le realiza una exploración clínica cuyo resultado es que no se encuentran ni signos ni síntomas de infección. A la exploración intraoral no encontramos presencia de tracto sinusal, no presenta dolor a la palpación ni a la percusión (horizontal ni vertical), ni tampoco movilidad. Los tejidos peri
Fig. 2. Fotografía oclusal del aislamiento del caso clínico.
odontales muestran un aspecto normal. La exploración radiográfica no revela presencia de patología en los tejidos perirradiculares. Tras la exploración y las pruebas efectuadas procedemos a catalogar la dificultad del caso según la Asociación Americana de Endodoncia (AAE), como un caso de complejidad alta por tratarse de un molar, así como por tratarse de un diagnóstico pulpar de pulpitis con periodontitis apical sintomática donde la etiología es secundaria a una lesión cariosa, debajo de una obturación antigua. El plan de tratamiento planteado es la realización del tratamiento de conductos del diente 4.7 para posteriormente colocar un una overlay como recubrimiento cuspídeo completo.
Se anestesia con Ultracaine y se realiza un aislamiento absoluto con dique de goma (Nic Tone 100% Hule de Latex Natural) desde el 4.8 al 4.4 (Fig. 2).
Retiramos con una fresa de bola de diamante de turbina la restauración provisional y conformamos la cavidad de acceso endodóntico. Una vez la cavidad está preparada se coloca una matriz Automatrix junto con cuña de madera (Sycamore Interdental Wedge 500/Ass N 826, Kerr) para elevar el margen de la pared mesial usando composite A2 y se polimeriza con lámpara de led durante 20 segundos, y se vuelve a polimerizar otros 20 segundos una vez retirada la matriz. Una vez se ha realizado la aleta de mordida y se ha comprobado la correcta adaptación entre la resina y el margen del diente se procede a continuar el tratamiento endodóntico usando limas 10 K file (Denstply) para localizar y permeabilizar los conductos. Se localizan 3 conductos, dos mesiales y uno distal.
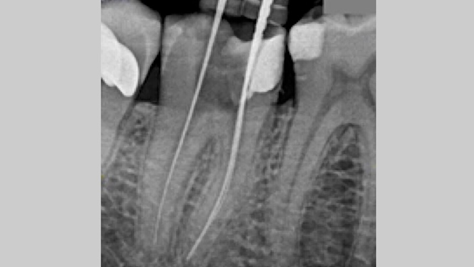
La configuración de los conductos mesiales resulta en la unión en el tercio apical, compartiendo el mismo foramen. Una vez se permeabilizan los conductos con la lima del 10 K- files, se realiza un glide path hasta alcanzar con una lima 15 k file (Denstply) la longitud de trabajo. Es en ese momento se toma una radiografía de comprobación de la longitud de trabajo actual (Fig. 3), y tras confirmar que la longitud es correcta, procedemos a realizar la instrumentación mecánica, en este caso reciprocante con el sistema Reciproc Blue (VDW Dental) que consta de varias limas reciprocantes para la limpieza y conformación de los conductos. Utilizamos este sistema en el motor Endoradar (Woodpecker) el cual viene equipado con localizador electrónico de ápices incorporado. Para la conformación final de los conductos a nivel apical se utiliza el sistema ProFile (Denstply), concretamente la lima ProFile 35.04 en conductos mesiales y la lima 40.04 en el conducto distal. Durante toda la instrumentación irrigamos con NaOCl al 4,25%. Realizamos el protocolo final de activación con activador sónico, tres ciclos: NaOCl 4,25% - EDTA 17% - NaOCl 4,25%. Secamos los conductos con puntas de papel calibradas a los calibres finales de cada conducto (Denstply).
Fig. 3. Radiografía de conductometría. Localización de dos conductos mesiales y un conducto distal.
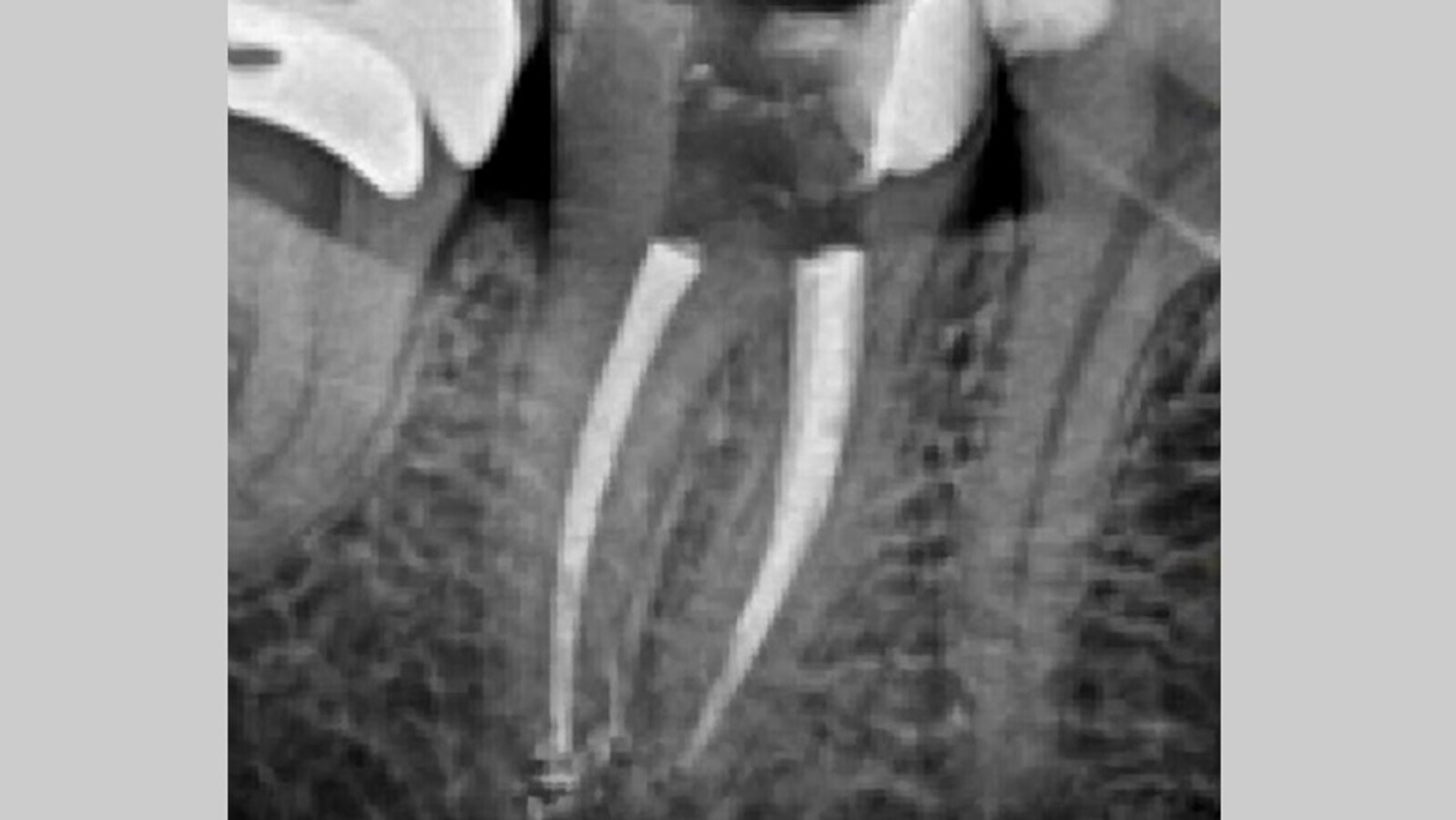
Una vez conformado e irrigado el sistema de conductos, se realiza la selección del material de obturación. En este caso se calibran 3 conos Autofit 04 (SybronEndo greater taper) y se comprueba la adaptación mediante una radiografía de conometría (Fig. 4).
Fig. 4. Radiografía periapical de conometría.
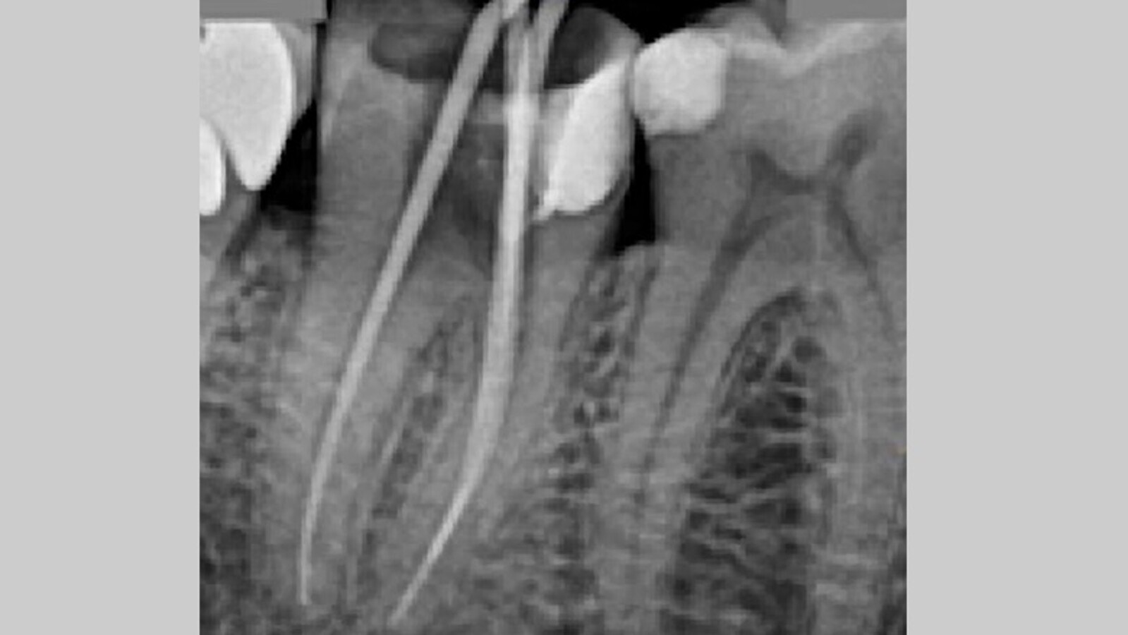
Una vez confirmada la perfecta adaptación del material de obturación, se introducen los conos calibrados recubiertos en una fina película de cemento resinoso AHPLUS (Dentsply, Sirona) y escogemos una técnica termoplástica como técnica de obturación, concretamente con el uso de termocompactadores (Fig. 5).
Fig. 5. Radiografía periapical final de la endodoncia del 4.7.
Retiramos los restos de gutapercha con una fresa Endo Z y sellamos los conductos con SDR (Denstply), previo acondicionamiento del esmalte y la dentina con una técnica de grabado selectivo. Para la completa restauración del acceso cameral así como el estructura remanente perdida por la caries de se utiliza composite A2 (Spectra ST) .
A continuación, y una vez acabado el tratamiento endodóntico y restaurador, procedemos con el tallado de la preparación de la restauración indirecta y el escaneado digital con el scanner Trios (3Shape). Se decide utilizar como material Celtra Duo (Dentsply) para la confección de un overlay para procurar un recubrimiento cuspídeo completo a este diente. Tras el fresado y confección de la incrustación, se efectúa un aislamiento absoluto con dique de goma, que va desde el 4.8 al 4.4 para su cementado (Figs. 6, 7, 8).
Fig. 6. Aislamiento absoluto del campo operatorio para la cementación del recubrimiento cuspídeo tipo overlay.
Fig. 7. Vista oclusal de la preparación del diente 4.7.
Fig. 8. Vista lateral previa a la cementación del overlay en el diente 4.7.
Se coloca teflón sobre los dientes 4.8 y 4.6 para evitar agresiones iatrogénicas durante el acondicionamiento de la preparación. Tras confirmar que el ajuste de la incrustación es correcto se procede a la preparación del sustrato del sustrato y de la incrustación por separado. La preparación se acondiciona siguiendo una técnica de grabado selectivo, arenando con óxido de aluminio de 30 micras, grabando el esmalte durante 30 segundos ácido ortofosfórico, y aplicando a toda la preparación una capa de adhesivo autograbante Clearfil SE (Kuraray). Mientras tanto la incrustación fue preparada siguiendo las instrucciones del fabricante; se realizó un grabado con ácido fluorhídrico durante 20”, y tras lavar y retirar los excesos de ácido, se aplicó una capa de silano (Monobond Plus, Ivoclar, vivadent) adhesivo y se cementó finalmente con composite caliente A2 (Spectra ST). Aplicaremos presión digital para un adecuado ajuste y retiramos los restos de material y liberamos los puntos de contacto con hilo dental. Se polimeriza 20 segundos cada cara (vestibular, oclusal y lingual) y una polimerización final con glicerina para eliminar la capa inhibida por oxígeno. Retiramos el dique de goma y ajustamos la oclusión con papel de articular de 40 m de color rojo y azul, tanto máxima intercuspidación como en lateralidades (Fig. 9).
Fig. 9. Fotografía oclusal y lateral del resultado de la cementación de la incrustación indirecta en 4.7.
Fig. 10. Radiografía final del caso que muestra el tratamiento exitoso de conductos en el diente 4.7.
Autores
1 Patricia Labraca, alumna del Máster en Endodoncia Online de la Universitat Internacional de Catalunya (UIC Barcelona).
2 Anais Ramírez-Sebastiá, Directora del Máster en Endodoncia Online de la Universitat Internacional de Catalunya (UIC Barcelona).
3 Fernando Durán-Sindreu, Director del Departamento de Endodoncia del Máster en Endodoncia Online de la Universitat Internacional de Catalunya (UIC Barcelona).
NOTA: El Master de Endodoncia Online de UIC Barcelona se centra en los nuevos avances tecnológicos aplicados a las terapéuticas para mejorar la salud del paciente. Para mayor información, visite la página web del Máster en Endodoncia Online o comuníquese con Paola Lago para inscribirse en infodonto@uic.es o llamando al +34 93 504-2000.
Referencias
Ng YL, Mann V, Gulabivala K. Outcome of secondary root canal treatment: A systematic review of the literature. Int Endod J. 2008;41(12):1026-46.
Gillen BM, Looney SW, Gu LS, Loushine BA, Weller RN, Loushine RJ, et al. Impact of the quality of coronal restoration versus the quality of root canal fillings on success of root canal treatment: A systematic review and meta-analysis. J Endod [Internet].
Faria ACL, Rodrigues RCS, de Almeida Antunes RP, de Mattos M da GC, Ribeiro RF. Endodontically treated teeth: Characteristics and considerations to restore them. J Prosthodont Res. 2011;55(2):69-74.
Tribst JPM, Dal Piva AM de O, Penteado MM, Borges ALS, Bottino MA. Influence of ceramic material, thickness of restoration and cement layer on stress distribution of occlusal veneers. Braz Oral Res. 2018;32:e118.
Ng YL, Mann V, Rahbaran S, Lewsey J, Gulabivala K. Outcome of primary root canal treatment: Systematic review of the literature - Part 2. Influence of clinical factors. Int Endod J. 2008;41(1):6-31. 2011;37(7):895–902. Available from: http://dx.doi.org/10.1016/j.joen.2011.04.002.
de Kok P, Pereira GKR, Fraga S, de Jager N, Venturini AB, Kleverlaan CJ. The effect of internal roughness and bonding on the fracture resistance and structural reliability of lithium disilicate ceramic. Dent Mater [Internet]. 2017;33(12):1416–25. Available from: http://dx.doi.org/10.1016/j.dental.2017.09.018.
One thought on “Manejo clínico de un tratamiento de conductos en 4.7”
La odontología moderna ya no depende únicamente de la excelencia clínica.
Hoy, dirigir un consultorio rentable exige saber interpretar datos financieros,...
Decenas de miles de odontólogos, técnicos dentales y estudiantes recorrieron los stands comerciales de los principales distribuidores de la industria ...
Las camisetas y otras referencias al Campeonato Mundial de Fútbol fueron uno de los temas de la 82 Expo AMIC Dental. En la imagen, Enrique Edwards, Coordinador de recursos audiovisuales de UNAM, con su equipo. Fotos: Maritza de los Ríos
Decenas de miles de odontólogos, técnicos dentales y estudiantes recorrieron los stands comerciales de los principales distribuidores de la industria dental durante la 82ª edición de Expo AMIC Dental.
El cuarto día de la exposición demostró que la combinación de innovación tecnológica y actualización científica es la fórmula que ha consolidado este evento como uno de los principales encuentros dentales de América Latina, respaldado por una buena dosis de networking internacional.
Desde primeras horas de la mañana, los salones de la exposición mostraron una alta afluencia de asistentes interesados en conocer las nuevas soluciones clínicas y digitales presentadas por compañías nacionales e internacionales. La digitalización, la odontología mínimamente invasiva y la optimización de los flujos de trabajo clínicos siguen marcando las principales tendencias de esta edición de Expo AMIC Dental.
Así de concurridas estuvieron las presentaciones de GC, reconocida por productos como MI Paste con Recaldent.
Nadie se quiere perder el Simposio Internacional en Tokio de los 70 años de GC.
Tres representantes mexicanos de la compañía.
Soluciones digitales
Uno de los espacios más visitados fue el de W&H, donde la compañía realizó demostraciones continuas de su micromotor eléctrico para cirugía oral y mostró el módulo Implantmed Plus, tecnología enfocada en cirugía piezoeléctrica que ha despertado gran interés por su precisión y menor invasividad quirúrgica.
El poder está con ellos y con la línea Power Edition de piezas de mano de W&H.
También destacó la participación de la compañía japonesa GC, que mantuvo una intensa agenda de actividades y demostraciones como parte de las celebraciones internacionales por los 70 años de la compañía. La empresa continúa promoviendo el gran simposio internacional que celebrará en octubre en Tokio, considerado el evento científico más importante de su aniversario.
El stand de Dentsply Sirona fue uno de los polos de atracción de la exposición gracias a su amplio ecosistema digital. Los asistentes pudieron interactuar con soluciones como Primescan, CEREC y diversos sistemas de radiología digital y restauración, que reflejan el avance de los flujos digitales integrados en odontología.
Maritza de los Ríos, representante de Dental Tribune en México, con la camiseta de la selección mexicana.
La presencia de FGM también generó una importante respuesta entre los profesionales interesados en estética dental y blanqueamiento, especialmente por las nuevas alternativas clínicas orientadas a tratamientos conservadores y protocolos de alta eficiencia estética.
Por su parte, Ivoclar mantuvo una constante actividad en torno a sus soluciones restauradoras y sistemas cerámicos, reforzando la importancia de la estética y la precisión en rehabilitación oral contemporánea.
Empresas como Laboratorios Gayz, Uniseal y Toletek también aprovecharon la exposición para presentar novedades orientadas a optimizar procesos clínicos y de laboratorio, así como soluciones enfocadas en productividad y precisión.
La actividad comercial fue igualmente intensa en espacios como Depósito Dental Villa de Cortés y Equipos Dentales Villa de Cortés, donde numerosos odontólogos analizaron nuevas opciones de equipamiento y tecnología para modernizar sus clínicas.
Mientras tanto, el Congreso Nacional e Internacional de Odontología de la Universidad Nacional Autónoma de México continuó ofreciendo actividades académicas centradas en nuevas terapias interdisciplinarias.
Los equipos de Dentsply Sirona ya están listo para jugar sus partidos para la clasificación.
“Today”, lectura obligada en la expo
Uno de los fenómenos editoriales más visibles de la jornada fue nuevamente la distribución masiva de Today Expo AMIC Dental, el periódico oficial de exposiciones de Dental Tribune International, cuya edición tuvo una extraordinaria aceptación entre odontólogos y expositores.
La publicación se convirtió en uno de los materiales más consultados del evento gracias a la variedad y actualidad de sus contenidos editoriales, especialmente aquellos enfocados en las nuevas tecnologías que están transformando la odontología contemporánea.
Entre los artículos que generaron mayor interés destacó el análisis sobre la innovación tecnológica que se presenta en la exposición, donde se exploran los principales avances en digitalización, inteligencia artificial, impresión 3D y automatización clínica.
Otro de los contenidos más comentados fue el perfil dedicado a tres destacados líderes de la industria dental, un artículo que despertó gran interés por mostrar las estrategias, visión empresarial y trayectoria de figuras clave del sector odontológico internacional.
También tuvo una excelente recepción el reportaje con recomendaciones para adquirir tecnología dental, un tema especialmente relevante para odontólogos interesados en invertir de manera eficiente en equipos digitales y sistemas clínicos de última generación.
Los automóviles se rifan entre los compradores en la feria, pero nuestras revistas se regalan.
La felicidad de tener las maletas llenas de productos dentales no tiene precio.
Nuevas tendencias
La Medicina Dental del Sueño fue igualmente protagonista en las páginas de Today, mediante un artículo que explora esta nueva vía terapéutica para odontólogos y el creciente papel de la odontología en el diagnóstico y manejo de trastornos respiratorios del sueño.
En el ámbito estético, llamó especialmente la atención el artículo sobre la nueva estrategia de blanqueamiento dental aplicada durante tratamientos de ortodoncia, un enfoque que combina estética y funcionalidad para responder a las demandas de pacientes cada vez más orientados hacia resultados inmediatos.
Otro de los temas con gran impacto fue la presentación del nuevo ecosistema digital desarrollado por Alliedstar y SprintRay para realizar restauraciones chairside mediante la integración de escáner intraoral e impresión 3D. El artículo despertó gran interés entre clínicos interesados en acelerar tratamientos y optimizar flujos digitales.
La entrada a la exposición cuenta ahora con murales y esculturas alusivas a la odontología.
La representante de Dental Tribune, Maritza de los Ríos, en el stand de la editorial desde donde sale toda la magia de nuestras publicaciones.
Asimismo, los asistentes mostraron gran interés por los artículos orientados a la gestión clínica y relación con pacientes, especialmente el dedicado a las estrategias para manejar pacientes conflictivos en la consulta dental, así como el reportaje sobre los programas de posgrado ofrecidos por la Universidad La Salle del Bajío.
Finalmente, uno de los textos más comentados de la edición fue el relacionado con la necesidad de valorar adecuadamente el trabajo del odontólogo y fortalecer el reconocimiento profesional dentro de un entorno cada vez más competitivo.
La intensa actividad científica, comercial y editorial en el cuarto día de Expo AMIC Dental 2026 confirmó nuevamente la capacidad del evento para reunir innovación, educación y debate profesional en un mismo escenario.
Ver más artículos sobre 82 edición de Expo AMIC Dental:
La odontología moderna ya no depende únicamente de la excelencia clínica.
Hoy, dirigir un consultorio rentable exige saber interpretar datos financieros,...
El tercer día de la 82ª edición de Expo AMIC Dental confirmó el enorme dinamismo de la industria odontológica en México, con pasillos llenos, intensa ...
Queda hermosa, pero mi pregunta es en cuanto resistencia y estabilidad si queda bien, porq lo indicado seria un nucleo y corona