El autor explica una técnica de Micro Ortodoncia sin Brackets que afirma es una alternativa para tratar apiñamientos, casos de extracciones y cierres de diastemas, maloclusiones de alta complejidad y casos orto-quirúrgicos, que permite que cualquier ortodoncista entrenado en la técnica la aplique.
Durante la última década los pacientes adultos han incrementado su interés en la estética dental y esta tendencia ha resultado en un aumento en la demanda de tratamientos de ortodoncia. Sin embargo, muchos pacientes dudan en comenzar un tratamiento debido a varios factores, incluida la parte antiestética, molestias y dolores relacionados a la ortodoncia fija convencional con brackets.
Diversos métodos de ortodoncia fija se han propuesto como alternativas más estéticas y confortables a los brackets tradicionales. En el año de 1999, Marino Musilli desarrolla un sistema que corrige apiñamientos leves de los dientes anteriores sin brackets, por medio de un arco de níquel-titanio (Ni-Ti) adherido a la superficie lingual con resina[1], pero al carecer de un aditamento fijo que interactúe con el arco, presentaba grandes limitantes biomecánicas y una gran dificultad técnica para la manipulación por parte del ortodoncista.
Mucho antes, en la década de 1930, Joseph E. Johnson, ortodoncista estadounidense considerado el “padre de la ortodoncia fija sin brackets” desarrolla el sistema de ortodoncia tipo tubo tubular[2] (Fig. 1).
Fig. 1. Sistema de ortodoncia con tubos soldados en bandas creado por Joseph E. Johnson en 1932.
Este concepto se ha reintroducido recientemente en la ortodoncia contemporánea, principalmente para lograr alineaciones dentales, combinando un arco liviano de níquel-titanio con un tubo simple o mini tubo que es adherido a la superficie vestibular y recubierto con resina fluida (Fig. 2).
Fig. 2. Ortodoncia con brackets y ortodoncia fija sin brackets con mini tubos.
Este planteamiento terapéutico es más estético, higiénico y confortable, aunque existe una limitación en la mayoría de las técnicas de ortodoncia fija sin brackets, debido a que solo es posible utilizar arcos redondos de bajo calibre de Ni-Ti para ser insertados en los mini tubos[3].
Otra de las limitantes en la mayoría de estas técnicas radica en el proceso de cementación de los mini tubos a las alturas deseadas, debido a que este proceso se debe realizar con los mini tubos insertados en el arco, lo que dificulta el posicionamiento correcto. Lo anterior hace que sean frecuentes las reposiciones de los mini tubos durante el tratamiento para poder compensar las deficiencias derivadas por la falta de precisión durante la cementación[4].
La técnica SLIDE OD Micro Ortodoncia sin Brackets es una alternativa eficiente de ortodoncia fija sin brackets que permite tratar apiñamientos leves a severos, casos de extracciones y cierres de espacios, maloclusiones de alta complejidad y casos orto quirúrgicos, permitiendo que cualquier ortodoncista entrenado en la técnica pueda trasladar las mecánicas de la ortodoncia convencional y aplicarlas a un universo más pequeño.
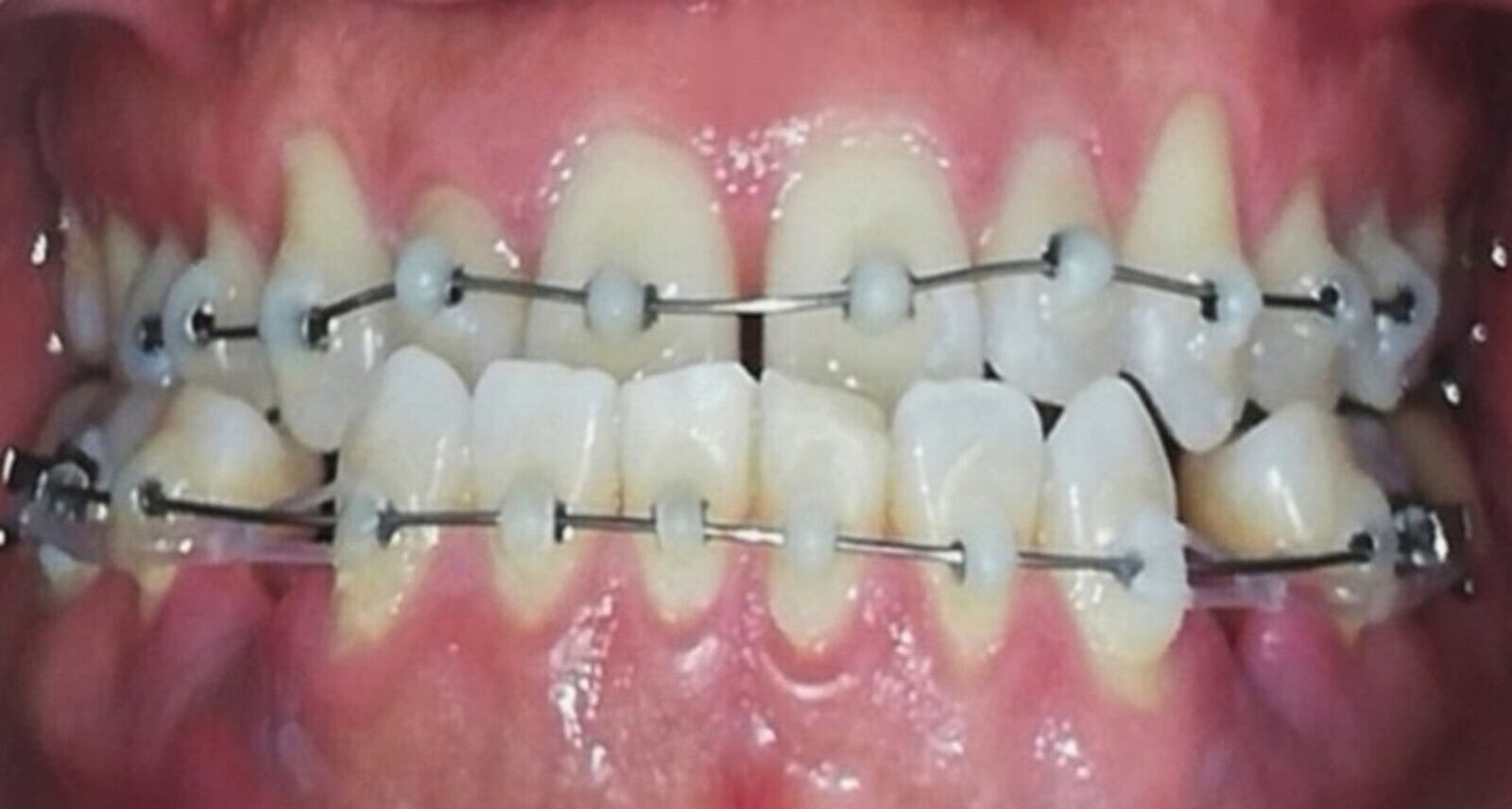
La técnica SLIDE OD Micro Ortodoncia sin Brackets ha logrado vencer la gran mayoría de los problemas existentes en las técnicas de ortodoncia con mini tubos, creando nuevos mini tubos e instrumentos que simplifican la ejecución de la técnica, junto con el desarrollo de nuevos protocolos clínicos, con la eficiencia de un sistema de baja fricción (Figs. 3a y 3b).
Figs. 3a y 3b. Corrección de mordida abierta anterior y apiñamiento severo con SLIDE OD Micro Ortodoncia sin Brackets.
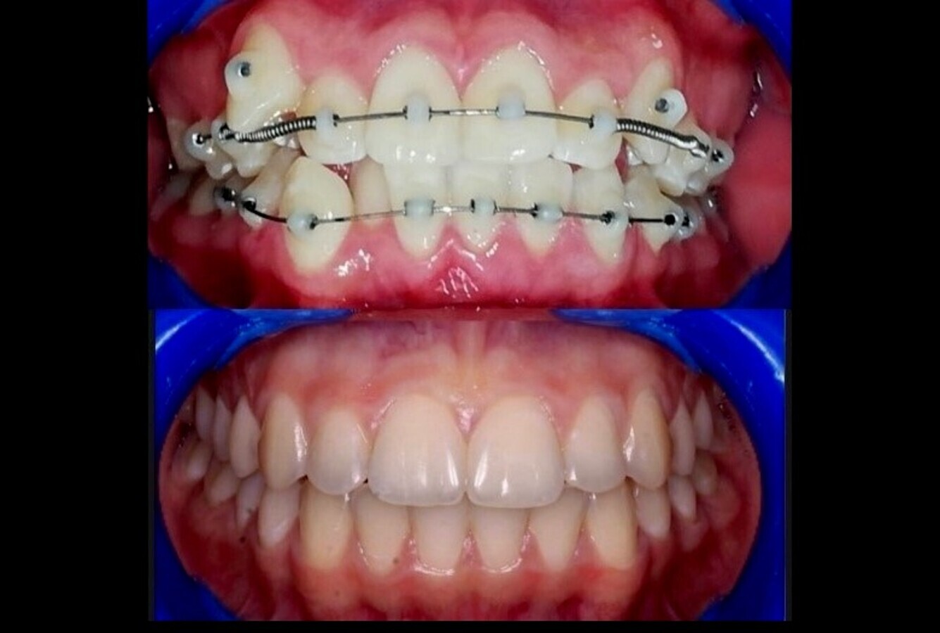
Otra de las alternativas terapéuticas de SLIDE OD es la posibilidad de trabajar con arcos rectangulares de níquel titanio hasta calibre 0.019 x 0.025 y utilizar arcos de acero inoxidable en mecánicas seccionadas. También la creación por primera vez en el mundo, de posicionadores para mini tubos SLIDE OD que permiten mayor precisión y simplicidad en la cementación, controlando desde el inicio la correcta posición y evitando reposiciones de los mini tubos durante el tratamiento, lo que se traduce en mayor control terapéutico, mejores resultados y menor tiempo de sillón (Figs. 4a y 4b).
Figs. 4a y 4b. Corrección de mordida cruzada anterior con exodoncias de primeros premolares inferiores con SLIDE OD Micro Ortodoncia sin Brackets.
El doctor Guillermo David, es Odontólogo Especialista en Ortodoncia y Ortopedia Maxilar con práctica en Cali, Colombia y profesor en Helident Training Center,en Sevilla, España, donde próximamente impartirá una conferencia sobre la técnica SLIDE OD.
Referencias
Musilli M. The Bracketless Fixed Orthodontics: nine years of clinical experimentation. Prog Orthod 2008;9(1):72-91.
Johnson J. A New Orthodontic Mechanism: the twin wire automatic appliance. JADA 1932;19(6):997-1011.
Hye-In Kim, Sung-Hoon Lim, Sung-Nam Gang. Orthodontic treatment using mini-tube appliances and customized resin domes using 3D CAD design. Oral Biology Research 2016; September 30, 40(3):134-142.
En las últimas décadas, la odontología ha experimentado importantes avances tecnológicos en planificación, diagnóstico y ejecución del tratamiento. ...
Más de 4.000 profesionales de más de 40 países participan en el Congreso SEPA Granada 2026, una de las reuniones científicas más importantes de Europa ...
El autor, catedrático de Ortodoncia de la Universidad de Santiago de Compostela, cree que existen indicios de que España va a cambiar el notablemente ...
El presidente del Los Angeles Dental Meeting, Dr. Irubiel Barbosa, manifestó que se espera que más de 5000 odontólogos asistan a este evento, que tendrá...
La convalidación del título de Odontología en España es un anhelo de muchos odontólogos latinoamericanos que quieren ejercer la profesión en Europa. ...
Formación
Webinars en vivo mar. 26 de mayo 2026 10:00 CST (Mexico City)
To post a reply please login or register