Search Dental Tribune

Artículos

Filtrar

Odontología al instante (1)

Este artículo analiza cómo funciona un nuevo ecosistema de odontología digital, cuáles son sus beneficios y qué retos plantea para el presente y el ...

guardar

Formación 6:
 Excelencia técnica y responsabilidad ética

Los autores describen las ventajas de nuevas tecnologías en este sexto artículo de la serie de Dental Tribune sobre Formación, pero plantean  incluir ...

guardar

Nuevas Lupas Ergonómicas

Admetec, líder global en soluciones de magnificación ergonómica, presenta su última innovación para los profesionales de la salud dental: las lupas ...

guardar

La lección de la botella de agua

Los verdaderos generadores de valor en la práctica dental son el entorno, la experiencia y la marca. Una simple botella de agua puede enseñarnos más ...

guardar

Colocan implantes dentales a partir de células madre implantadas en un sustituto óseo sintético

Un ensayo clínico, llevado a cabo en humanos y publicado en la revista Clinical Oral Implants Research, abre nuevas esperanzas en la colocación de ...

guardar

Formación 5
 Competencias claves en la educación odontológica

El autor analiza en este quinto artículo de la serie de Dental Tribune sobre Formación las aptitudes decisivas en la formación profesional, incluyendo ...

guardar
advertisement

Presentan el libro “Sonrisas por el mundo”

Una exposición recoge las mejores imágenes del libro, incluidas las ganadoras del concurso de fotografía “Sonrisas por el mundo”, que se puede ...

guardar

W&H, referente en innovación dental, obtiene el Premio a la Innovación 2025

La compañía W&H, reconocida mundialmente por su excelencia en el desarrollo de equipamiento dental y médico, ha sido galardonada con el Premio a la ...

guardar

"Toda clínica dental debe contar con un 'director de orquesta'"

Es un odontólogo brillante, con una impresionante vocación por su profesión, en parte heredada de sus padres. A su deslumbrante currículo formativo, se ...

guardar

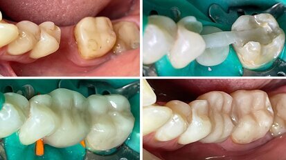
Restauración clase II con composite termoviscoso

Este artículo del Dr. Yassine Harichane, experto en odontología estética, destaca la forma de trabajar con composites termoviscosos en una situación ...

guardar

Adolfo Rodríguez Núñez recibirá el reconocimiento a los "Grandes Maestros” de AIOI

El ex presidente de la Federación Odontológica Latinoamericana será reconocido por la Academia Internacional de Odontología Integral durante el 8° ...

guardar

Formación 4
 La tecnología es nuestro mejor aliado

Las nuevas tecnologías digitales han transformado la educación en salud y la Odontología universitaria no ha sido la excepción. El cuarto artículo de ...

guardar
advertisement

“La IA no reemplazará la mente creativa detrás de cada sonrisa”

El maestro August Bruguera es una de las figuras más influyentes en la evolución de la prótesis y la estética dental contemporánea. Formado en ...

guardar

Formación 3
 Hacia una red latinoamericana de historia clínica

El autor propone, en el tercer artículo de la serie de Dental Tribune sobre Formación, desarrollar una red académica, donde la historia clínica digital ...

guardar

Más de 1500 profesionales asisten al COD 2025 en Barranquilla

Durante los días 2, 3 y 4 de octubre de 2025, la ciudad de Barranquilla se convirtió en el epicentro latinoamericano de la odontología con la ...

guardar

Full Metal Mouth: Alineadores vs. Brackets

David Suárez Quintanilla, catedrático de Ortodoncia de la Universidad de Santiago de Compostela, compara en este artículo las diferencias, ventajas y ...

guardar
advertisement

Etica & Estética

La estética ha permeado muchos aspectos de la vida humana, incluido el ámbito médico y el odontológico. Las redes sociales están imponiendo nuevos ...

guardar

La salud bucodental en el adulto mayor

Los adultos mayores de nivel socioeconómico bajo presentan más patologías y reciben menos tratamientos dentales.

guardar

Adapting dental education for Generation Z: Why active learning is key

MENDOZA, Argentina: Dental education is at a cross-roads as Generation Z enters the classroom. Born between 1997 and 2012, this cohort has grown up with ...

guardar

Formación 2
 Estrategias para triunfar en la Gestión Dental

Este segundo artículo de la serie de Dental Tribune sobre Formación explica cómo implementar estrategias de gestión basadas en datos, destacando ...

guardar
advertisement

Tres sociedades científicas y un destino

Uno de los pilares en el que debe cimentarse la salud de la población es la Medicina Oral, en su amplio significado. Desde la Odontología, tenemos una ...

guardar

Cómo fijar precios en Odontología

¿Por qué algunos pacientes viajan miles de kilómetros para atenderse con un odontólogo en Colombia, mientras otros cambian de clínica por una ...

guardar
advertisement

Alliage adquiere la empresa japonesa PreXion

El grupo brasileño Alliage, líder en América Latina en soluciones de tecnología médica y dental, anunció la adquisición de PreXion, una empresa con ...

guardar

Un dispositivo que ofrece previsibilidad del tratamiento en implantología y cirugía oral

Los responsables del desarrollo del nuevo motor quirúrgico Implantmed Plus II, Isabella Schmied, Gerente de Producto de Cirugía Oral, y Andreas ...

guardar

Formación 1
 Una historia clínica para enseñar, aprender y dirigir

Este primer artículo de la serie de Dental Tribune sobre Formación describe la integración de un programa digital de historia clínica en una Facultad ...

guardar

Un gran equipo quirúrgico, ahora con funciones inteligentes

El equipo quirúrgico que ha sido sinónimo de calidad y seguridad en implantología y cirugía oral desde hace más de 20 años va ahora un paso más ...

guardar
advertisement

Un congreso que ofrece algo único: conocimiento para aplicarlo inmediatamente en la práctica clínica

La segunda edición del Congress of Dentistry, que tendrá lugar del 2 al 4 de Octubre de 2025, reunirá en Barranquilla, Colombia a un total de 41 líderes...

guardar

Edición Especial sobre Formación en Odontología

Dental Tribune presenta una serie de ocho artículos sobre Formación en Odontología, los cuales se reunirán posteriormente en una Edición Especial. La ...

guardar

El búlgaro Nikolai Sharkov asume la presidencia de la FDI

El próximo Congreso Mundial de la Federación Dental Internacional tendrá lugar en Praga, del 4 al 7 de septiembre de 2026.

guardar

"Siempre hay algo nuevo que aprender" y ARIC Dental es el lugar perfecto para ello

El lema de la edición 2025 de Expo ARIC Dental, el congreso y exposición dental que se celebra del 25 al 27 de septiembre en Guadalajara, México, no ...

guardar
advertisement
advertisement