Search Dental Tribune

Reimplante intencional

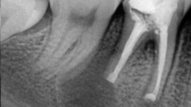
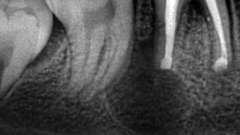
Apicectomía del diente 46.
Clara Adrada

Clara Adrada

sáb. 7 marzo 2020

guardar

La endodoncista colombiana Clara Adrada aboga en este artículo por utilizar una técnica avanzada que ha probado ser efectiva para salvar los dientes naturales.

  CASO CLINICO  

¿Los pacientes con un brazo fracturado, esperan que su médico les instale un brazo protésico o que les curen el brazo? Pregunto, ¿por qué estos mismos pacientes consideran que es normal implantar un diente protésico para reemplazar un diente afectado? 1

En la actualidad, existe una tendencia mundial a extraer los dientes comprometidos a favor de los implantes dentales, debido a que se perciben como una técnica más fácil y lucrativa que conservar un diente natural2. La Asociación Colombiana de Endodoncia como muchas otras asociaciones a nivel mundial, lideran la campaña para educar a los pacientes y concientizar a los odontólogos que se deben agotar todos los recursos terapéuticos para salvar los dientes.

La reflexión de todo lo anterior se puede resumir en el comunicado emitido por la Asociación de Endodoncia Americana en 2007: “Colocar implantes cuando el diente natural podría conservarse debe ser considerado ANTI ETICO” 3.

La masticación es un papel importante desempeñado por los dientes y la capacidad de masticar los alimentos está asociada con la calidad de vida de una persona. Estudios han confirmado que la eficiencia masticatoria la desempeñan mejor los dientes naturales que un implante4.

Los implantes no son la panacea y también fracasan. Estudios recientes nos muestran una tasa de complicaciones del 60%, que comprenden la mucositis y la periimplantitis2.

En ciertas ocasiones, la endodoncia convencional y microcirugía nos muestran limitantes para lograr salvar un diente de la pérdida. Es aquí cuando toma un papel muy importante el reimplante intencional.

El reimplante intencional consiste en extraer el diente de manera atraumática, fuera de boca examinar la causa que produce la infección, y volverlo a reimplantar en el menor tiempo posible.

Como endodoncistas, todos deberíamos estar entrenados en técnicas endodónticas convencionales, regenerativas, microcirugía, reimplante intencional, esto haría que aumentara la tasa de superviviencia de dientes naturales.

El reimplante intencional consiste en extraer el diente de manera atraumática, y entonces fuera de boca examinar la causa que produce la infección, y volverlo a reimplantar en el menor tiempo posible.

Estudios recientes han mostrado tasas de éxito constantes de 88 a 95%5.

Varios autores han recomendado para la exodoncia evitar el uso de elevadores dentales y limitar la aplicación de los fórceps dentales a la corona del diente como un medio para minimizar el traumatismo en las células PDL. Para algunos, este paso es considerado como la parte más sensible de la técnica del procedimiento5.

La manipulación de instrumentos microquirúrgicos y ultrasonidos es más fácil con el diente fuera de la boca.

Se debe proteger al máximo la integridad de las células del ligamento periodontal, para que se dé una buena cicatrización de las mismas durante la reimplantación. La manera de protegerlas es usar un tiempo extraoral extra corto, no mayor a 15 minutos y entre más bajo mejor. Después de la extracción del diente, las raíces se examinan en busca de fracturas, conductos adicionales o istmo y cualquier característica anatómica adicional que requiera sellarse para evitar la salida de bacterias al exterior. La inspección de la raíz se realiza mejor con la ayuda de un microscopio dental6. Dado que no se necesita una osteotomía, la reimplantación no produce la pérdida de hueso vestibular o palatino para llegar al ápice radicular. Esto facilita la curación postoperatoria al no sacrificar hueso sano para llegar al sitio donde se ubica el ápice radicular. Durante la apicectomía convencional, el campo de visión está limitado por la osteotomía y las estructuras adyacentes, como el arco cigomático y el tejido de la mejilla. Sostener un diente extraído permite un acceso total para inspeccionar toda la superficie de la raíz (4). La manipulación de instrumentos microquirúrgicos y ultrasonidos es más fácil con el diente fuera de la boca. Una reducción del tiempo extra oral es imprescindible en la prevención de la anquilosis, la reabsorción radicular y para promover el proceso de curación peri-radicular mediante la prevención del daño y deshidratación de las células periodontales7. Es grandioso darse cuenta cómo los pacientes quedan altamente agradecidos por conservar sus dientes. Es el endodoncista o el odontólogo el que decide desahuciar dientes que pueden salvarse, y si como especialistas nos entrenamos en técnicas avanzadas, más dientes podremos salvar de la pérdida. En muchos casos, factores económicos impiden que un paciente que pierde los dientes, pueda reemplazarlos, y la falta de dientes está relacionado con problemas gastrointestinales, con cáncer de estomago, cáncer colon rectal e inclusive con Alzheimer8.9. Debemos de verdad aumentar el valor que le damos a los dientes naturales; si fuéramos a perder un riñón, ¿no agotaríamos todos los recursos por salvarlo? Nuestra meta debe ser lograr que nuestros pacientes lleguen con sus dientes naturales hasta la vejez.

_____________________________________________________________________________

La doctora Clara Adrada es Especialista en Endodoncia y Microcirugía que ejerce en Popayán y ex Presidenta de la Asociación Colombiana de Endodoncia de Cauca. Contacto: klaraadrada@hotmail.com

_____________________________________________________________________________

Bibliografía

  1. Ricci G, Ricci A, Ricci C. Save the natural tooth or place an implant? Three periodontal decisional criteria to perform a correct therapy. Int J Periodontics Restorative Dent 2011.
  2. AAE position statement 2007.
  3. Danielle Clark, Liran Levin. In the dental implant era, why do we still bother saving teeth? Mayo 2019. WYLEI Dental Traumatology
  4. Bradley D. Becker. Intentional Replantation Techniques: A Critical Review. Journal of Endodontic.Vol 44, 2018
  5. David li and Samuel Kratchman. Intentional Reimplantation. Microsurgery in Endodontics, first edition 2018.
  6. Lin Wang, Hua Jiang, Yang Bai, Qiang Luo, Hao Wu, Hongchen Liu. Clinical outcomes after intentional replantation of permanent teeth: A systematic review. Bosnian Journal of Basic Medical Sciences. 2019
  7. Xian-tao Zeng, Wei Luo,Wei Huang, Quan Wang,Yi Guo, Wei-dong Leng. Tooth loss and head and neck cancer: a meta-analysis of observational studies, 2013.
  8. Xin-hai Yin, Ya-dong Wang, Hong Luo, Ke zhao, Guang-lei Huang,si-yang Luo. Association between tooth loss and gastric cancer: a meta-analysis of observational studies, 2016.

One thought on “Reimplante intencional

  1. Hugo Rojas says:

    Excelente información sobre los reinplantes dentales. Gracias Dental Tribune. El conocimiento y la experiencia de los profesionales endodoncistas calificados nos permiten conservar nuestros dientes naturales.

To post a reply please login or register

Dental Summit CoLife 2026: una experiencia digital única

La cultura y la tradición barranquillera dieron la bienvenida al IX Dental Summit CoLife 2026. De izquierda a derecha, Elizabeth Hernández, CEO de CoLife; el Dr. Enrique Jadad, Director Científico; y Samy Camargo, parte del apoyo logístico de la organización. Fotos: Sofía Carreño

mar. 26 mayo 2026

guardar

Barranquilla se convirtió durante tres días en el epicentro de la odontología digital latinoamericana con la celebración del Dental Summit CoLife 2026, un encuentro que reunió a clínicos, especialistas y líderes de la industria en torno a una propuesta diferente: pasar de la teoría a la experiencia práctica.

Lejos del formato tradicional de congreso basado exclusivamente en conferencias magistrales, el evento celebrado del 21 al 23 de mayo, apostó por una inmersión completa en las tecnologías que están transformando la práctica odontológica. La premisa era clara: no basta con conocer la innovación, hay que experimentarla.

 

La inscripción combinó organización y hospitalidad, con una recepción amenizada por música que marcó el inicio de la Experiencia CoLife.

El ritmo y la alegría marcaron la primera experiencia de los asistentes al Dental Summit CoLife en Barranquilla.

Elizabeth Hernández y Eileen Triana, CEO y directora de marketing de la CoLife, respectivamente, posan con un robot en el Dental Summit.

Cuatro referentes internacionales de la odontología contemporánea: Sergio Kohen, Ahmad Al-Hassiny, David Troncoso y Enrique Jadad.

 

Los asistentes tuvieron acceso a talleres prácticos dedicados a escáneres intraorales, impresión 3D, CBCT, CAD/CAM y fotogrametría, permitiéndoles experimentar de primera mano cómo estas tecnologías pueden incorporarse a la consulta diaria.

 

“La mejor forma de entender la innovación es ponerla a prueba”.

 

Tecnología en acción

El programa reunió a 27 mentores internacionales que compartieron conocimientos basados en la experiencia clínica y en la implementación práctica de tecnologías digitales. Entre ellos destacaron figuras reconocidas como Ahmad Al-Hassiny (Nueva Zelanda), Eraldo Pesaressi (Perú), Sergio Kohen (Argentina), Newton Loguercio (Brasil), Álvaro Reuter (España), David Troncoso (Colombia), Luis Basoalto (Chile) o Enrique Jadad, Director Científico del Dental Summit Colife 2026.

El foro Experiencia Tech se consolidó como uno de los espacios más concurridos. En esta zona, los participantes pudieron probar equipos, comparar soluciones digitales y analizar aplicaciones clínicas de la odontología digital. El objetivo era trabajar directamente con los sistemas y evaluar su utilidad en escenarios clínicos concretos.

 

“La odontología digital ya no es una promesa de futuro: es una herramienta clínica disponible hoy”.

 

Las últimas tendencias en blanqueamiento dental fueron analizadas en un panel moderado por el Dr. Enrique Jadad, con la participación de expertos como John Franco, Juan Carlos Covaleda, Sergio Kohen y Juan Carlos Ramírez.

El Dr. Ahmad Al-Hassiny, uno de los referentes internacionales en odontología digital, compartió su visión ante una audiencia que siguió con gran interés su conferencia en el Dental Summit CoLife 2026.

Los asistentes disfrutaron de una experiencia que combinó conocimiento, innovación tecnológica y un ambiente de auténtica camaradería profesional.

El rehabilitador oral José Martínez visitando el stand de Guillermo Rhenals Laboratorio Dental, referente de la odontología restauradora y protésica en Colombia.

La Dra. Patricia Vergara protagonizó una de las sesiones destacadas del Summit, donde combinó la presentación de su conferencia con el lanzamiento de su libro.

El Dr. Camilo Serna presentó la técnica KISS de regeneración ósea guiada, un enfoque que busca simplificar protocolos clínicos manteniendo altos estándares de predictibilidad y éxito terapéutico.

El Dr. David Troncoso, una de las figuras más influyentes de la odontología latinoamericana, durante su intervención en el Dental Summit CoLife.

 

Transformación digital

La digitalización fue el eje central del Summit, pero el encuentro también puso especial énfasis en la rentabilidad y la gestión empresarial, tema sobre el que Dental Tribune publica en estos días una edición especial.

Varias sesiones analizaron cómo la incorporación de tecnología debe responder a una estrategia que debe planificarse para que sea económicamente sostenible. El mensaje fue recurrente: adquirir equipos digitales no garantiza el éxito por sí solo; el verdadero retorno de la inversión depende de la integración adecuada de procesos clínicos, administrativos, comerciales y financieros.

La exposición comercial complementó la experiencia formativa permitiendo conocer algunas de las soluciones más avanzadas disponibles actualmente en el mercado. Escáneres intraorales, sistemas de impresión 3D, plataformas CAD/CAM, soluciones de fotogrametría y herramientas de inteligencia artificial mostraron hacia dónde se dirige la odontología contemporánea.

 

“La tecnología genera valor cuando se integra en un modelo de negocio eficiente y centrado en el paciente”.

 

Más allá de los equipos y la tecnología, el Dental Summit CoLife destacó por generar un ambiente de colaboración y networking entre profesionales procedentes de distintos países. Clínicos, laboratorios, distribuidores, fabricantes y líderes de opinión compartieron experiencias, casos clínicos de éxito y desafíos comunes.

El resultado fue un evento que confirmó una realidad cada vez más evidente: la odontología digital ya no representa una visión de futuro, sino una realidad en nuestro presente.

El Dr. Alfredo Vargas, directivo del posgrado de Rehabilitación Oral de la Universidad Metropolitana de Barranquilla, recibe un bono de manos de una representante de Straumann Group durante el Dental Summit CoLife.

Alejandra Molina, Directora de SprintRay para Latinoamérica, presentó en Barranquilla el sistema de impresión 3D MIDAS, una de las plataformas más destacadas para la fabricación digital de restauraciones dentales.

Directivos de Alliedstar compartieron un momento con el Dr. Ahmad Al-Hassiny, uno de los conferencistas internacionales más esperados del Dental Summit CoLife. En la imagen aparecen Patrick Stockkirsh, General Manager USA; Thais Capp, Directora de Marketing para Latinoamérica; Ariel Brenes, Director Global de Postventa; y Carolina Díaz, Directora de Ventas para Latinoamérica.

El Dr. Wulfran Morón Benítez, expresidente de la Sociedad Colombiana de Ortodoncia y recientemente nombrado Director del Departamento de Ortodoncia de Nova Southeastern University, recibió un homenaje del Grupo Empresarial CoLife en reconocimiento a su destacada trayectoria profesional.

Los conferencists Eraldo Pesaressi, Marinelly Mendes y Luis Basoalto comparten un momento de camaradería durante el Dental Summit CoLife.

Kike Ramírez, el coach encargado de inaugurar y clausurar el Dental Summit CoLife, junto al Dr. Régulo Chapman durante el evento.en el evento.

Referentes de la odontología digital de cuatro países compartieron experiencias y conocimiento durante el Dental Summit CoLife. De izquierda a derecha, Álvaro Reuter (España), Eraldo Pesaressi (Perú), Luis Basoalto (Chile), David Troncoso y Enrique Jadad (Colombia).

Talento colombiano con proyección internacional. En la imagen, Salvador Insignares, Juan Carlos Guerrero, Juan Pablo Platón y Adolfo Maciá junto al Dr. David Troncoso, uno de los mentores del Dental Summit CoLife.

El Dr. Carlos Vélez cautivó a la audiencia con una brillante conferencia sobre el valor de las imágenes diagnósticas 3D en la odontología digital. En la imagen, junto a los odontólogos José Morón y Harold Berdugo.'

 

Barranquilla fue así el escenario de la Experiencia CoLife, que permitió a más de 900 profesionales comprobar que el futuro de la odontología ya está aquí y que hoy puede tocarse con las manos.

 

ARTICULOS RELACIONADOS

_____________________________________________________________________________________________________________________________________

DENTAL SUMMIT COLIFE 2026

La odontología digital es el nuevo standard clínico

VER MAS

_____________________________________________________________________________________________________________________________________

DENTAL SUMMIT COLIFE 2026

Promover la salud oral para reducir la necesidad de restauraciones

VER MAS

_____________________________________________________________________________________________________________________________________

DENTAL SUMMIT COLIFE 2026

El camino hacia la pasividad perfecta en implantología

VER MAS

_____________________________________________________________________________________________________________________________________

DENTAL SUMMIT COLIFE 2026

“La odontología digital potencia nuestro criterio clínico”

VER MAS

_____________________________________________________________________________________________________________________________________

DENTAL SUMMIT COLIFE 2026

La impresión 3D transforma la práctica 

VER MAS

_____________________________________________________________________________________________________________________________________

DENTAL SUMMIT COLIFE 2026

Ortodoncia con láser: más precisa, más humana

VER MAS

_____________________________________________________________________________________________________________________________________

DENTAL SUMMIT COLIFE 2026

Adental: 40 años de precisión, innovación y excelencia

VER MAS

_____________________________________________________________________________________________________________________________________

DENTAL SUMMIT COLIFE 2026

Claves para el abordaje del bruxismo

VER MAS

_____________________________________________________________________________________________________________________________________

DENTAL SUMMIT COLIFE 2026

Cómo integrar la odontología digital en la consulta

VER MAS

_____________________________________________________________________________________________________________________________________

DENTAL SUMMIT COLIFE 2026

¡Vive la odontología digital en acción!

VER MAS

_____________________________________________________________________________________________________________________________________

DENTAL SUMMIT COLIFE 2026

Los protocolos más eficientes entre clínica y laboratorio

VER MAS

_____________________________________________________________________________________________________________________________________

DENTAL SUMMIT COLIFE 2026

Prueba la nueva experiencia de la odontología digital

VER MAS

_____________________________________________________________________________________________________________________________________

 

Temas:

5 thoughts on “Reimplante intencional

  1. Hikda Geovana Arevalo Gardini says:

    Me encantaria tener mas informacion,gracias

  2. José Rosas says:

    Podría envíarme el artículo por favor

  3. GLORIA BLASIO says:

    SOLICITO INFORMACIÓN COMPLETA

  4. NICOLAS RAMIREZ ECEVERRI says:

    buenos dias.

    Estoy interesado en conocer el caso y su pronostico, como toda su tecnica

    Gracias

  5. Javier Dominguez Bernal says:

    Me podrian enviar el articulo porfavor?

To post a reply please login or register
advertisement
advertisement