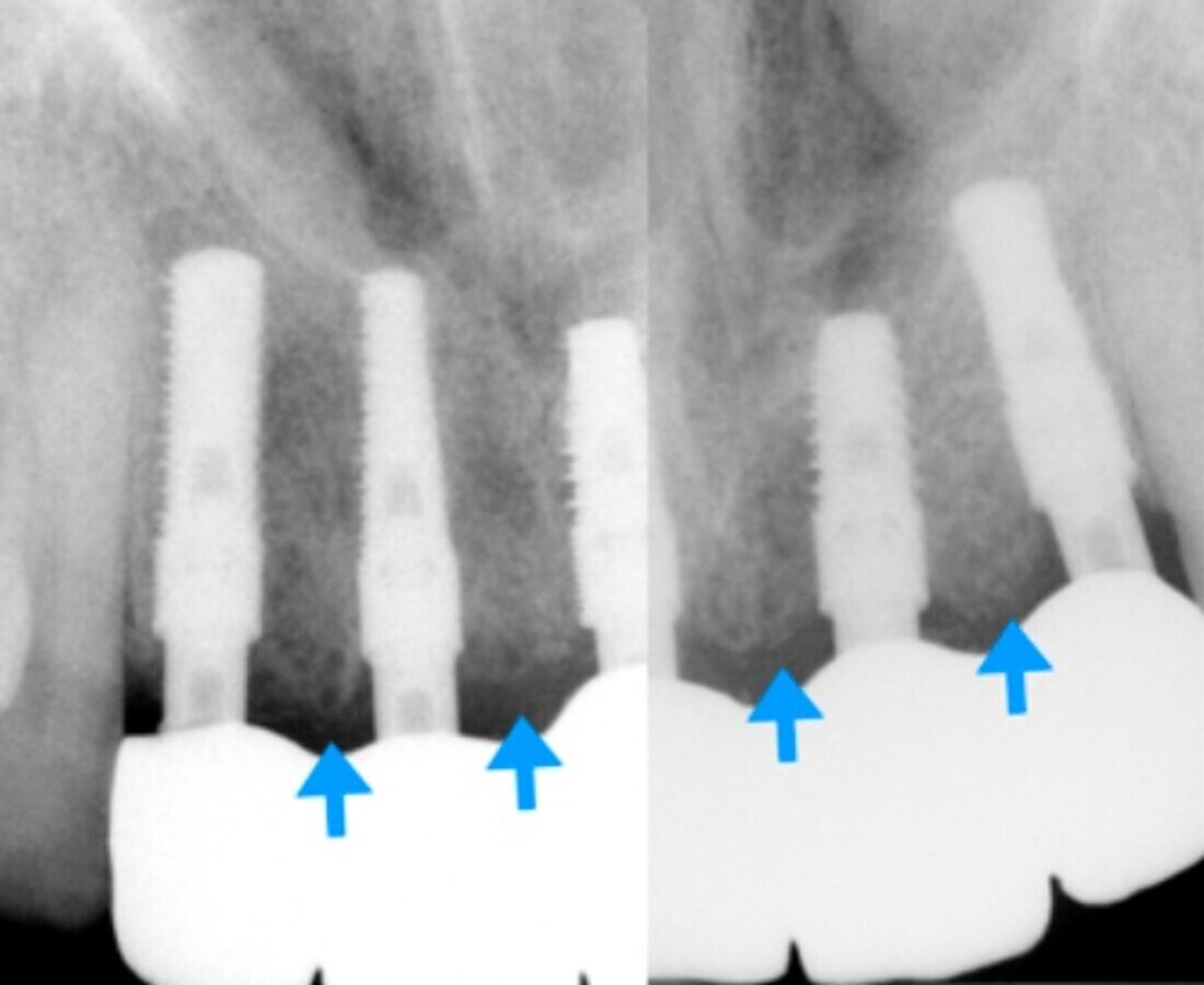
Caso donde se observa el volumen, la regeneración y mantenimiento de las tablas vestibulares sin reabsorción ósea, resultando un tratamiento biológico.
El análisis científico, el perfeccionamiento en la práctica profesional y la innovación constante de las técnicas y nuevos dispositivos en implantología, son fundamentales para que los odontólogos logren mejores tratamientos inmediatos y en el largo plazo.
En la actualidad, el equipo de trabajo y los usuarios del sistema NTI pensamos que la reabsorción fisiológica en implantes es patológica. Es para nosotros una reacción fisiológica que responde a un estímulo de agresión causado por las conexiones protéticas, las técnicas quirúrgicas y los sistemas de implantes, que no respetan el espacio biológico. No se nos reabsorben las crestas óseas ni las tablas vestibulares, responsables de la estética, volumen y aspecto natural de los tejidos blandos, incluso en situación de implantes contiguos
La conjunción de conceptos quirúrgicos no invasivos, donde las incisiones son la última alternativa, la no reapertura y el sistema de implantes que no filtra ni sufre micromovimientos, el respeto del espacio biológico que se conforma en el momento de la cirugía, muy similar al que tienen los dientes naturales, nos entrega restauraciones sin reabsorción ósea periimplantar en más de un 90% de los casos.
Estas situaciones, documentadas desde hace más de 12 años, proporcionan cuadros clínicos más biológicos, estéticos y estables en salud a largo plazo, que se corroboran en las tomografías Cone Bean.
Manejamos el espacio biológico desde el sistema de implantes, aprendimos a ver el hueso sin cortar, sin exponerlo, a colocar el implante en posición protética ideal.
Hoy no concebimos la colocación de implantes inclinados, no utilizamos componentes protéticos sobrecolados que conecten directamente con la conexión del implante.
Entendemos conceptualmente como “más biológico” el análisis de las radiografías, tomografías y la estética clínica estable, mostrándonos que el organismo no reacciona a ninguna maniobra a lo largo de todo el procedimiento, hasta la elaboración de la restauración final y se mantiene estable en el tiempo.
En la jornada se expondrán y comunicarán los resultados obtenidos a largo plazo, tanto desde el punto de vista estético, funcional y biológico, fundamentados sobre las bases de una implantología simple, no invasiva, rápida, eficiente y coherente, al alcance del práctico general.
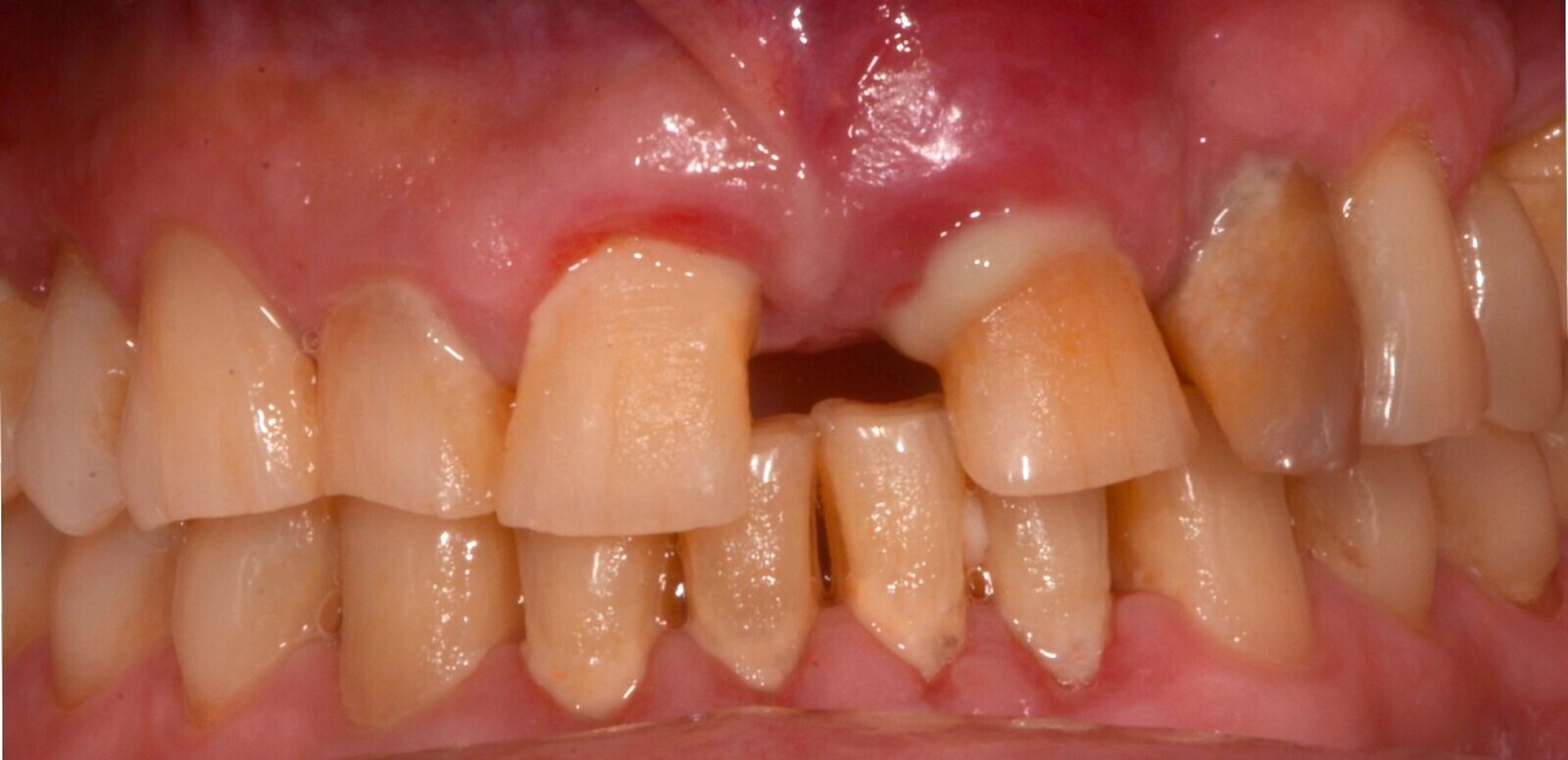
Imagen 1. Situación clínica previa al tratamiento.
Imagen 2. Tomografías previas al tratamiento.
Imagen 3. Estudio 3D de la tomografía.
Imagen 4. Emergencias obtenidas con los dispositivos Esculgar.
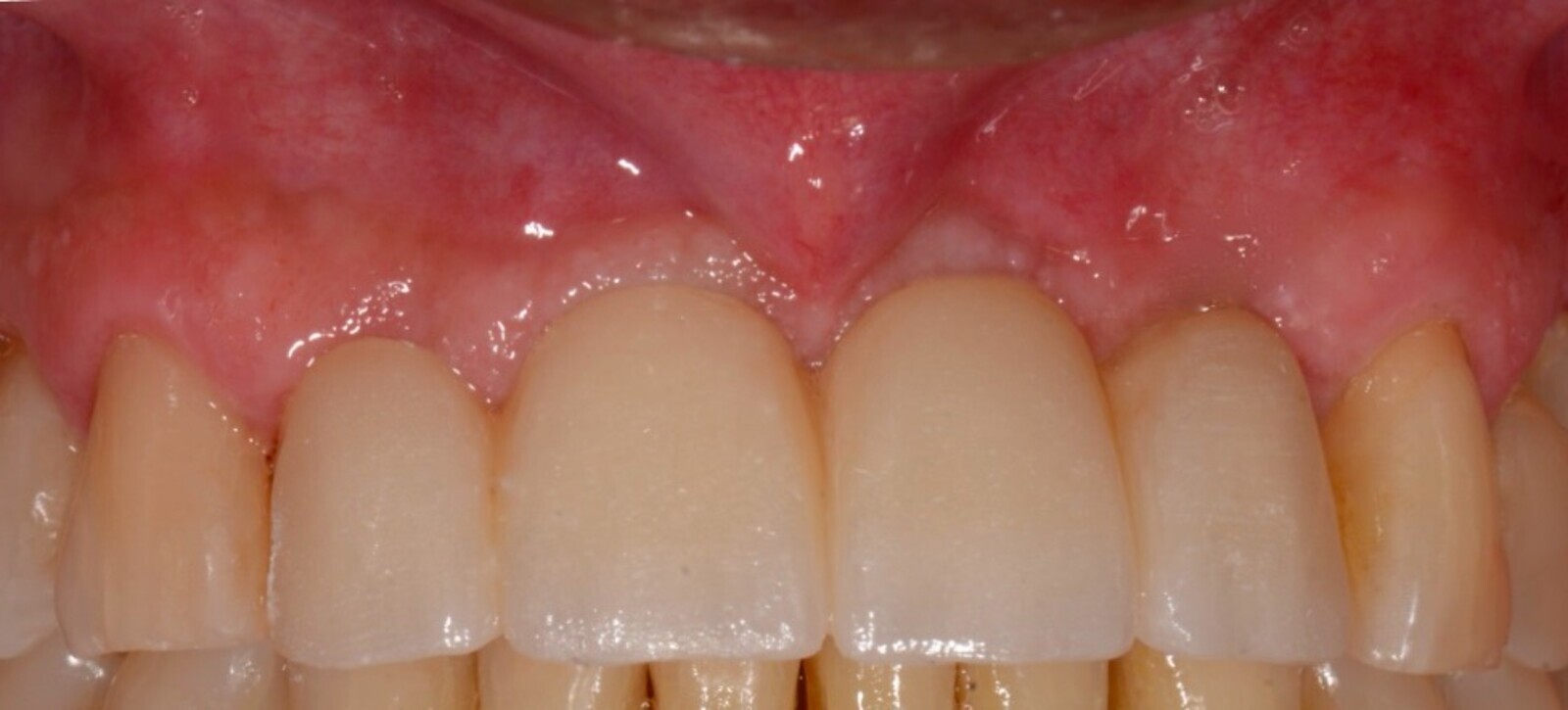
Imagen 5. Resultado final del tratamiento.
Imagen 6. Radiografías finales del tratamiento con procedimiento de regeneración ósea. Se pueden observar las crestas óseas entre implantes.
Imagen 7. Cortes tomográfico a nivel de pieza 12 y a nivel de pieza 11.
Imagen 8. Cortes tomográficos a nivel de las piezas 12 - 11 y 21 - 22.
En las imágenes se observa el volumen, la regeneración y mantenimiento de las tablas vestibulares de todas las piezas intervenidas, responsables del aspecto de la guirnalda gingival. Sin reabsorción ósea, resultando un tratamiento biológico. “En todo el tratamiento no existe ninguna maniobra clínica, ni del sistema que genere una reacción de defensa que se manifieste como reabsorción, consiguiendo así una integración implanto quirúrgico protético ideal.
El Dr. Julio C. García, xxxx, impartirá una conferencia sobre “Resultados a largo plazo de una implantología simple” el 25 de septiembre como parte de la Jornada Virtual de Implantología de AIOI. Información por email en: info@aioi2020.com
La odontología moderna ya no depende únicamente de la excelencia clínica.
Hoy, dirigir un consultorio rentable exige saber interpretar datos financieros,...
Decenas de miles de odontólogos, técnicos dentales y estudiantes recorrieron los stands comerciales de los principales distribuidores de la industria ...
To post a reply please login or register