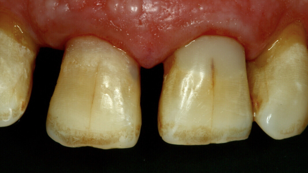
Figura 1. Lesiones de caries cavitadas en dentina activa (ICDAS 5) en dientes 11 y 21 en paciente másculino (Caso 1).
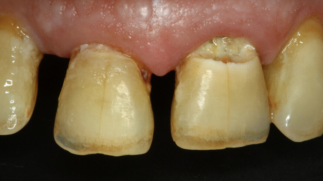
Figuras 2 y 3. Se colocan dos hilos retractores 000 y 00 Ultrapack y aislamiento absoluto con hilo dental tipo teflón y un clamp para dientes anteriores debido a que la lesión se extiende infra-gingivalmente.
Figuras 2 y 3. Se colocan dos hilos retractores 000 y 00 Ultrapack y aislamiento absoluto con hilo dental tipo teflón y un clamp para dientes anteriores debido a que la lesión se extiende infra-gingivalmente.
Figura 4. Remoción químico-mecánica del tejido cariado utilizando el agente enzimático Brix3000 durante 2 minutos.
Figura 5. Eliminación de la dentina infectada utilizando curetas Maillefer.
Figura 6. Remoción del esmalte sin soporte dentinario.
Figura 7. Se utiliza una fresa multilaminada para mejorar el mimetismo y la adhesión al esmalte.
Figuras 8 y 9. Se complementa la instrumentación mecánica en el límite amelo-dentinario.
Figuras 8 y 9. Se complementa la instrumentación mecánica en el límite amelo-dentinario.
Figura 10. Se lava la cavidad con un micro-cepillo con piedra pómez y clorhexidina 0,12%.
Figuras 11 y 12. Se coloca silicato de calcio modificado por resina por la proximidad a la pulpa.
Se coloca silicato de calcio modificado por resina por la proximidad a la pulpa.
Figura 13. Condicionamiento del esmalte mediante la técnica de grabado selectivo.
Figuras 14 y 15. Aplicación del adhesivo de autograbado de dos pasos Forma.
Figuras 14 y 15. Aplicación del adhesivo de autograbado de dos pasos Forma.
Figura 16. Se realiza el protocolo de pulido.
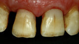
Figura 17. La restauración finalizada.
Figura 18. Restauración al remover el aislamiento.
Figura 19. Radiografía bite-wing, donde se observan lesiones de caries en piezas 24 y 25 en paciente femenina (Caso 2).
Figura 20. Después de aplicar anestesia tópica se procede con mínima apertura del esmalte
Figuras 21, 22 y 23. Se coloca a través de esa cavidad el agente enzimático Brix3000 para la remoción químico-mecánica.
Figuras 21, 22 y 23. Se coloca a través de esa cavidad el agente enzimático Brix3000 para la remoción químico-mecánica.
Figuras 21, 22 y 23. Se coloca a través de esa cavidad el agente enzimático Brix3000 para la remoción químico-mecánica.
Figura 24. Se limpia la cavidad distal de la 24 a través de la cavidad de la 25.
Figuras 25 y 26. Se coloca una cuña y matriz.
Figuras 25 y 26. Se coloca una cuña y matriz.
Figura 27. El material restaurador usado es el ionómero de vidrio encapsulado EQUIA.
Figura 28. Se prepara una matriz preformada y un anillo interproximal.
Figuras 29 y 30. Se inyecta el ionómero en la pieza 25.
Figuras 29 y 30. Se inyecta el ionómero en la pieza 25.
Figura 31. La restauración final.