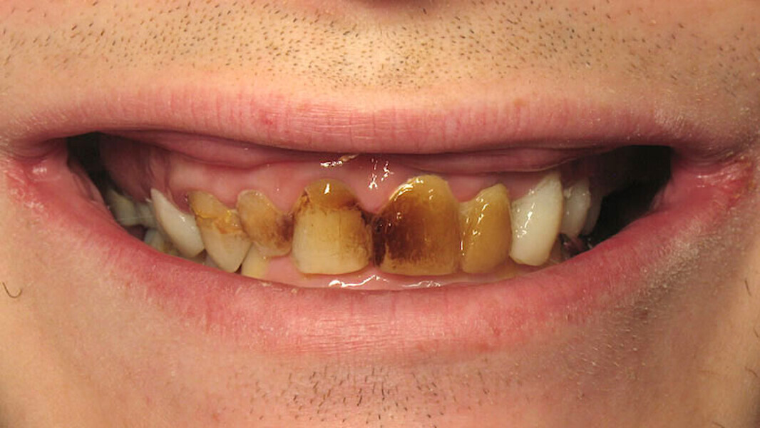
Figura 1. Situación inicial.
Figura 2. Simulación numérica de la sonrisa basada en la situación inicial
Figura 3. Simulación numérica de la sonrisa ideal.
Figura 4. Wax-up digital.
Figura 5. Modelo de trabajo estereolitográfico.
Figura 6. Impresión del modelo de trabajo estereolitográfico.
Figura 7. Pistola y cartucho para provisional ExperTemp (Ultradent).
Figura 8. Corona provisional ExperTemp (Ultradent).
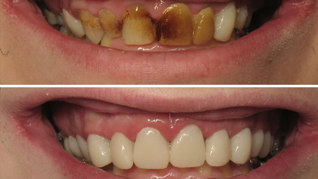
Figura 9. Comparación del caso inicial y final.
Figura 10. Comparación del wax-up digital, modelo estereolitográfico y caso final.