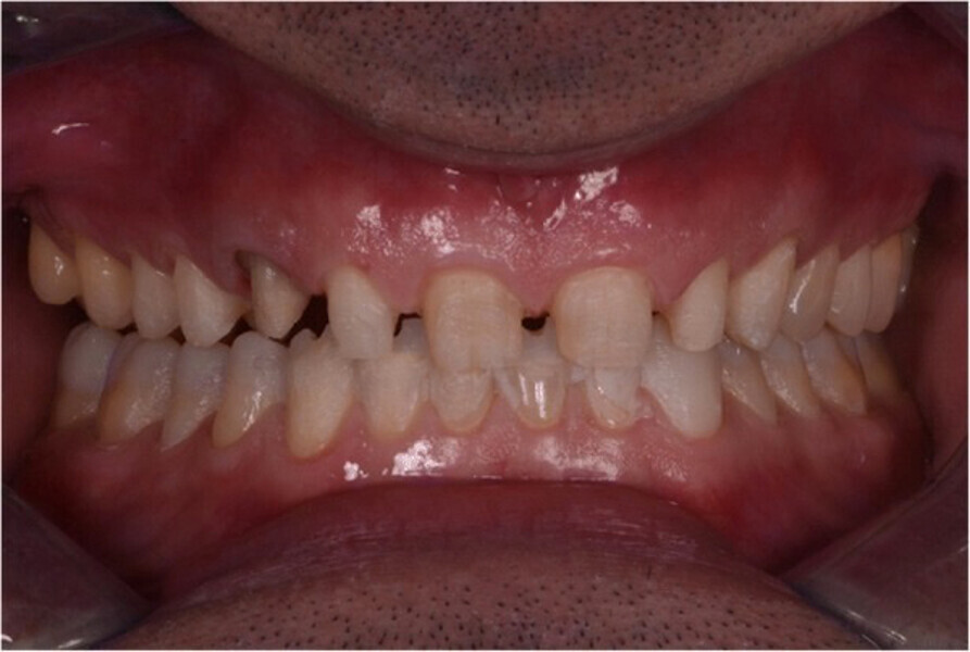
Fig. 1. Fotografías intraorales iniciales, vista frontal (A), vista oclusal del maxilar (B) y vista oclusal de la mandíbula (C).
Fig. 2. Situación inicial, radiografía panorámica (2015).
Fig. 3. Escaneado intraoral inicial con Carestream 3500.
Fig. 4. Protocolo DSD: imagen del paciente sonriendo con un retractor de labios y mejillas.
Fig. 5. a Matriz para el mock-up motivacional y modelos digitales. b Mock-up motivacional hecho de bisacryl (Structur, VOCO).
Fig. 6. a Mock-up motivacional. b Mock-up motivacional y escaneo intraoral.
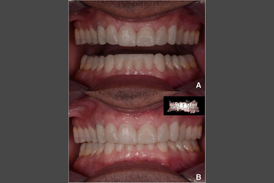
Fig.7. Dos años después, antes del tratamiento (2017).
Fig. 8. Escaneo intraoral pre-tratamiento con el Carestream 3600.
Fig. 9. Dientes posteriores sin preparación y mínima preparación de los dientes anteriores mandibulares, excepto los dientes 11-13 y 21-23 que ya estaban preparados.
Fig. 10. Escaneo digital de la preparación del pilar de dientes con el Carestream 3600.
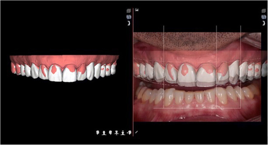
Fig. 11. Planificación del Diseño Digital de Sonrisa.
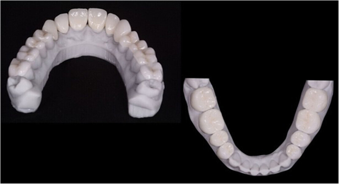
Fig. 12. Carillas y coronas finales preparadas digitalmente con el software de diseño Ceramill Mind y producidas en una fresadora (Ceramill Motion 2) a partir de bloques de cerámica de disilicato de litio mecanizables (VITABLOCS TriLuxe forte).
Fig. 13. Las coronas (#11-13 y 21-23) y las carillas (#14-17, 24-27, 31-37 y 41-47) se cementaron a los pilares utilizando un cemento de resina fotopolimerizable (Futurabond U y Bifix QM).
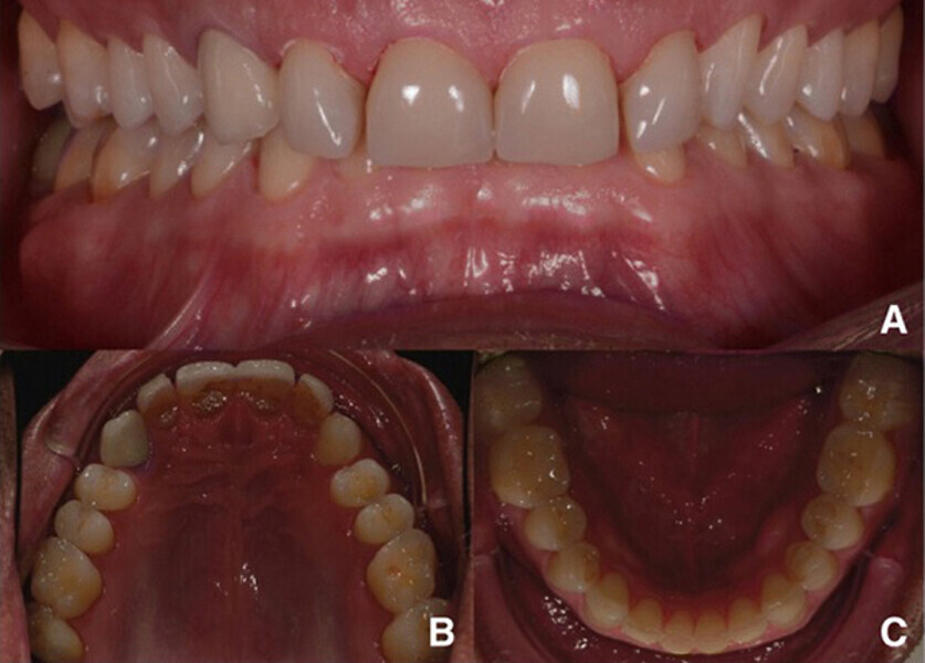
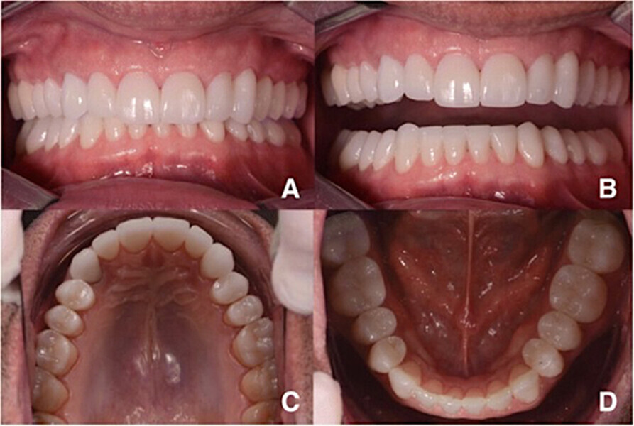
Fig. 14. Fotografías intraorales del tratamiento finalizado. a y b Vista frontal. c Vista oclusal de la mandíbula superior. d Vista oclusal de la mandíbula inferior.
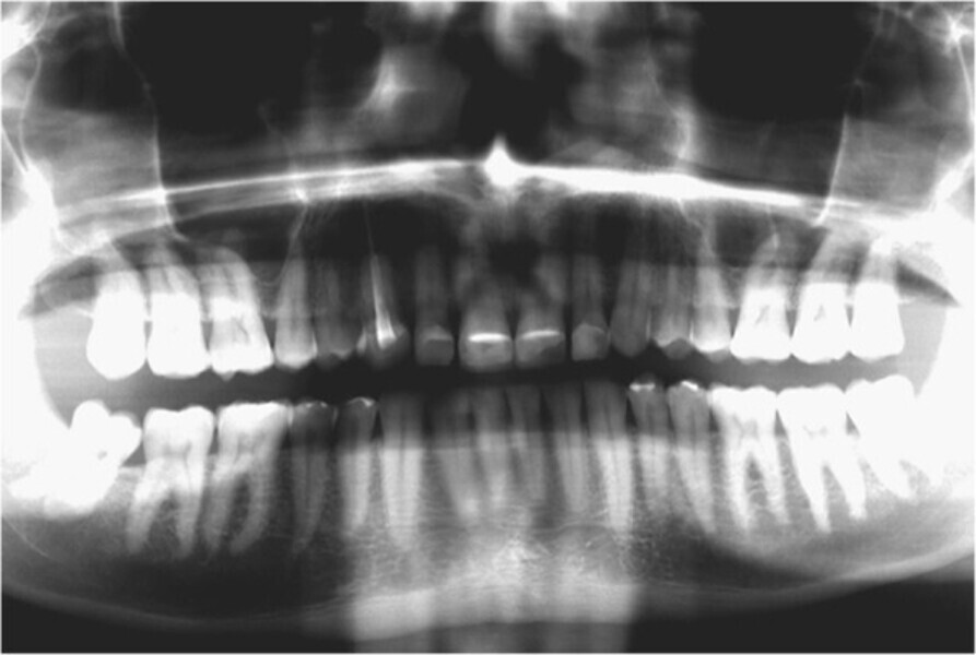
Fig. 15. Imagen panorámica final.
Fig. 16. Confirmación de la oclusión mediante tecnología T-scan.