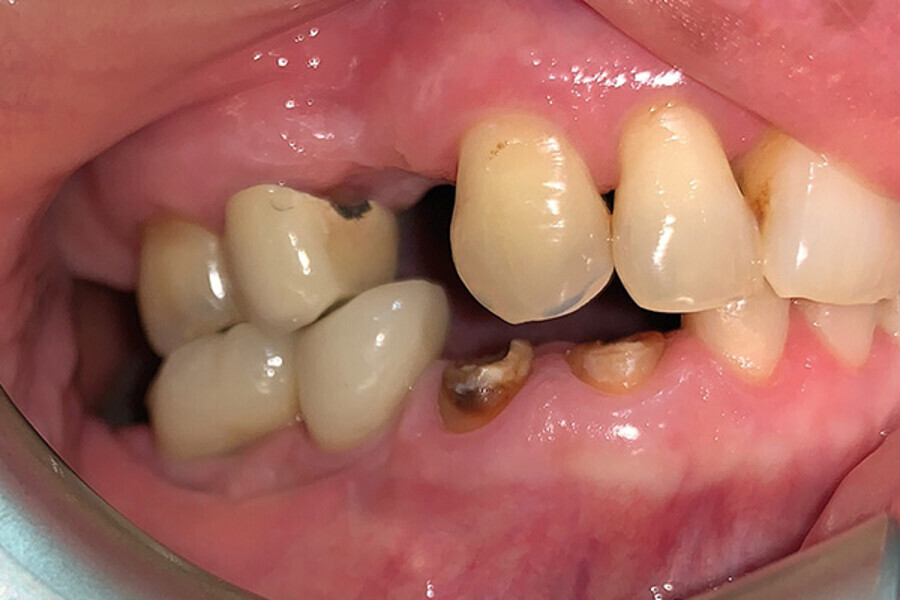
Fig. 1. Vista del caso preoperatorio
Fig. 2. Radiografía panorámica previa a la intervención quirúrgica.
Fig. 3. Kit de extracción utilizado en este procedimiento.
Figs. 4. Uso de los finos insertos para crear espacio entre hueso, ligamento y diente.
Figs. 5. Uso de Botador fino para complementar la luxación.
Figs. 6. Uso de Botador fino para complementar la luxación.
Figs. 7. Remoción delicada de los restos radiculares y comproba
Figs. 8. Remoción delicada de los restos radiculares y comproba
Figs. 9. Colocación de 2 implantes post-extracción en posiciones del 43 y 44 y control radiográfico post-extracción.
Figs. 10. Colocación de 2 implantes post-extracción en posiciones del 43 y 44 y control radiográfico post-extracción.