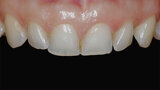
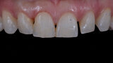
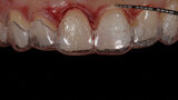
Fig. 1. Fotografía inicial de los dientes anteriores antes del tratamiento de ortodoncia.
Fig. 2a. Dientes anteriores después del tratamiento de ortodoncia.
Fig. 2b: Fotografías extraorales después del tratamiento de ortodoncia.
Fig. 3. Diseño de sonrisa digital que indica el alargamiento de las coronas de los dientes #13, 12, 11 y 21 y el tratamiento restaurador de los diez dientes anteriores.
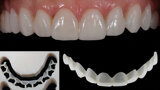
Fig. 4. Encerado en el modelo de piedra para la restauración de los diez dientes anteriores.
Fig. 5. Modelo impreso tridimensionalmente de la planificación del diseño de sonrisa digital, con una estructura de mock-up. Se introdujo una abertura cervical para acceso quirúrgico y como guía para alargar las coronas.
Figs. 6a y 6b. Ajuste intraoral de la guía quirúrgica para alargamiento de coronas.
Figs. 6a y 6b. Ajuste intraoral de la guía quirúrgica para alargamiento de coronas.
Fig. 7. Tejido periodontal de los dientes anteriores seis meses después del alargamiento coronario.
Fig. 8a. Mock-up de silicona.
Fig. 8b. Fotografía intraoral del mock-up.
Fig. 9a. Preparación através del mock-up.
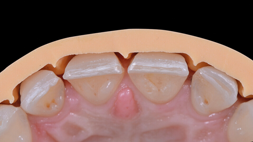
Fig. 9b. Verificación de la profundidad de la preparación, con la guía de silicona, lado palatino.
Fig. 9c. Preparación final de los dientes.
Fig. 10. Impresión analógica con polivinilsiloxano.
Fig. 11. Impresión digital con TRIOS.
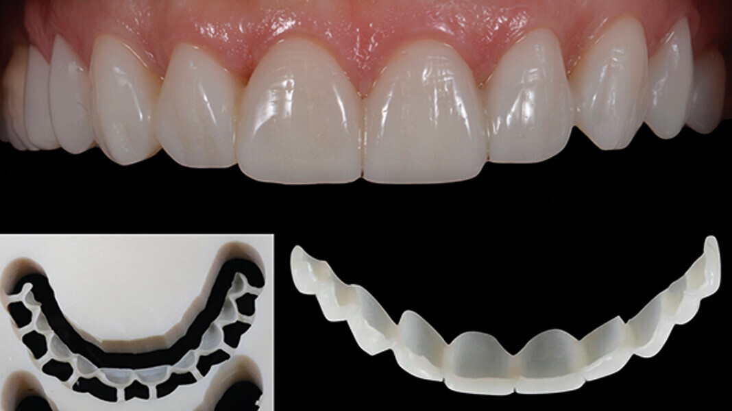
Fig. 12a. Planificación digital de las restauraciones provisionales.
Fig. 12b. Restauraciones provisionales intraorales (Telio CAD).
Fig. 13. Flujo de trabajo analógico (matrices refractarias, colocación de carillas, ajustes, tinción/glaseado).
Fig. 14. Flujo de trabajo digital (modelo impreso en 3-D, carillas CAD/CAM, ajustes, tinción/ glaseado).
Fig. 15a. Carillas feldespáticas con pasta de prueba.
Fig. 15c. Carillas feldespáticas del primer cuadrante y carillas CAD/CAM del segundo cuadrante simultáneamente con pasta de prueba.
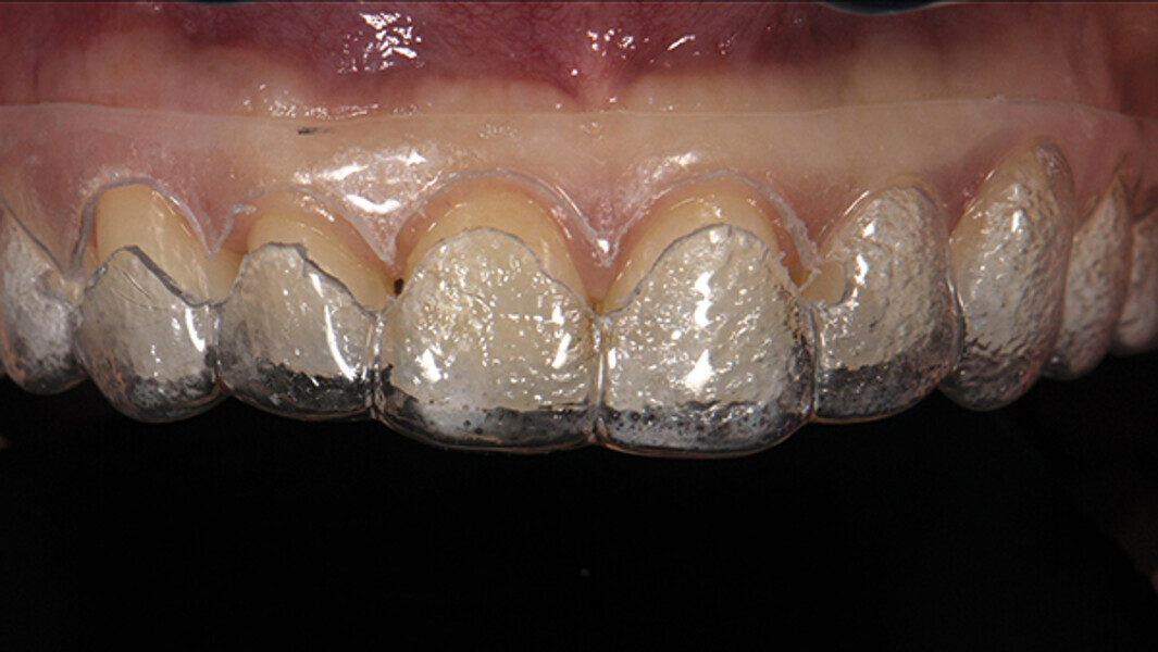
Fig. 16a. Aislamiento y prueba del ajuste de las carillas en los dientes # 11 y 21.
Fig. 16b. Grabado del esmalte durante 30 segundos con un ácido ortofosfórico al 32%.
Fig. 16c. Aplicación del agente adhesivo.
Fig. 16d. Polimerización final de las carillas.
Fig. 16e. Carillas in situ antes del acabado y pulido.
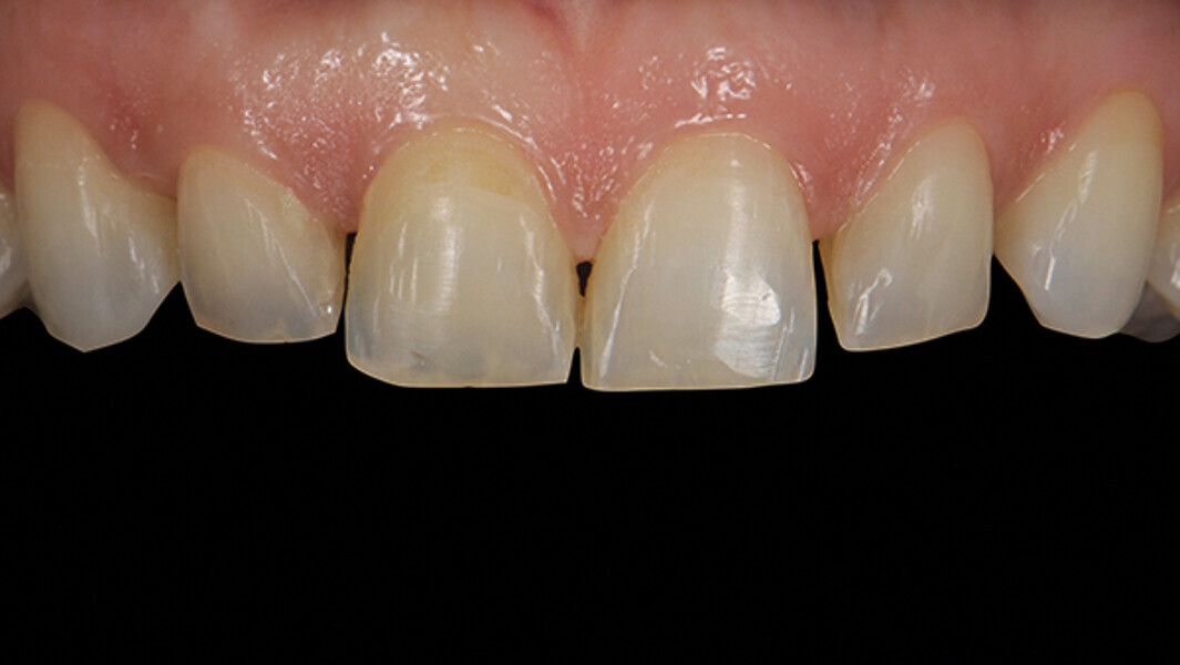
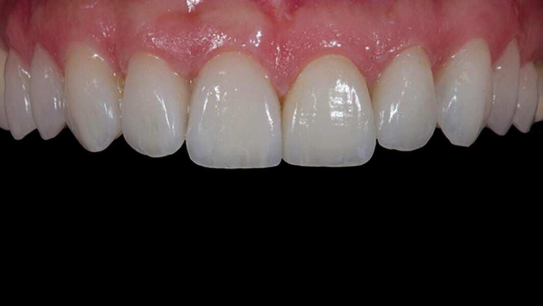
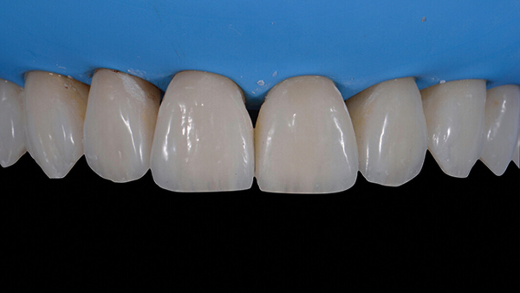
Fig. 16f. Resultado final inmediatamente después de retirar dique de goma.
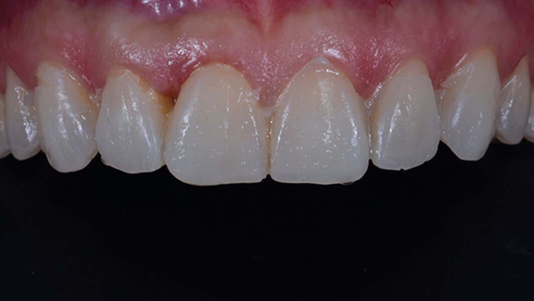
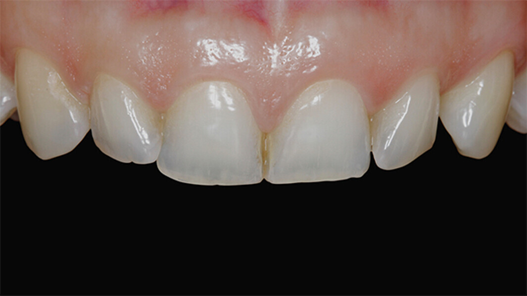
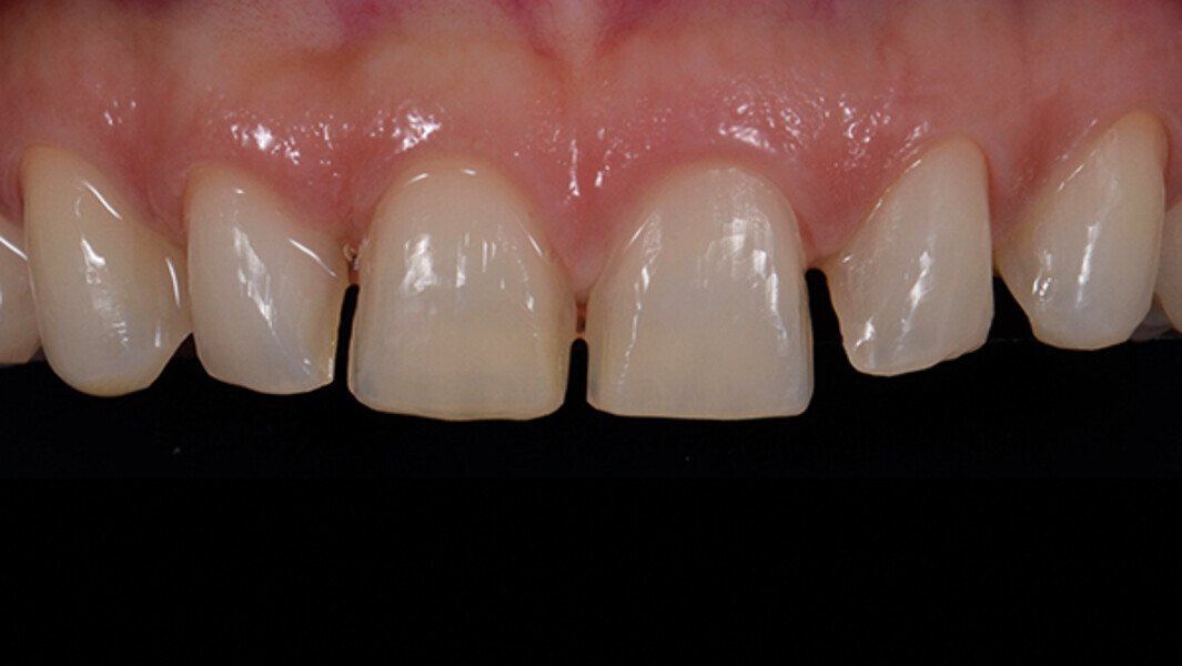
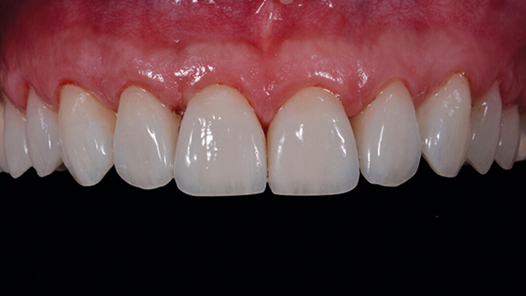
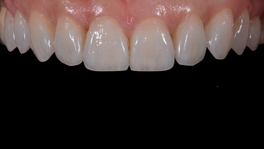
Fig. 17a. Resultado final una semana después.
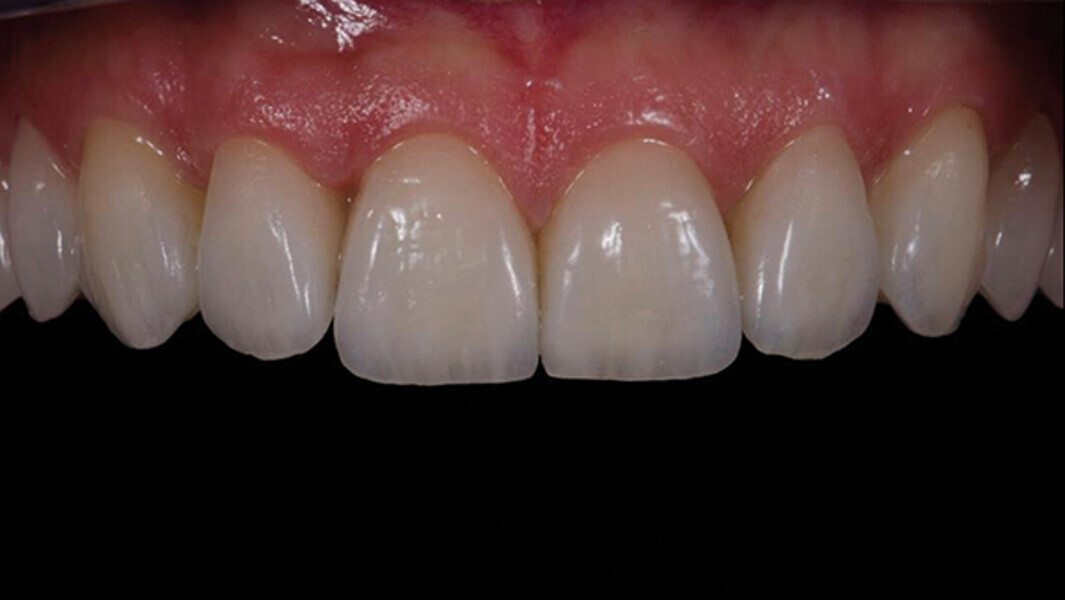
Fig. 17b. Resultado final una semana después, vista frontal.
Fig. 17c. Labios en reposo, exposición de los bordes incisales.
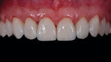
Fig. 17d. Amplia sonrisa.
Fig. 17e. Fotografías finales extraorales.
Fig. 18a. Criterios de comparación subjetiva en cada paso entre flujos de trabajo análogo digital. PVS = polivinilsiloxano.
Fig. 18b. Duración en cada paso en laboratorio entre flujos de trabajo análogo digital. PVS = polivinilsiloxano.