Search Dental Tribune

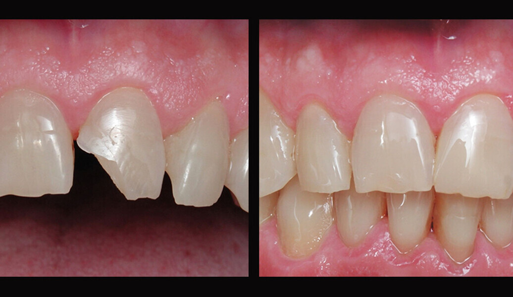
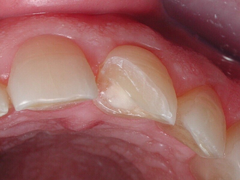
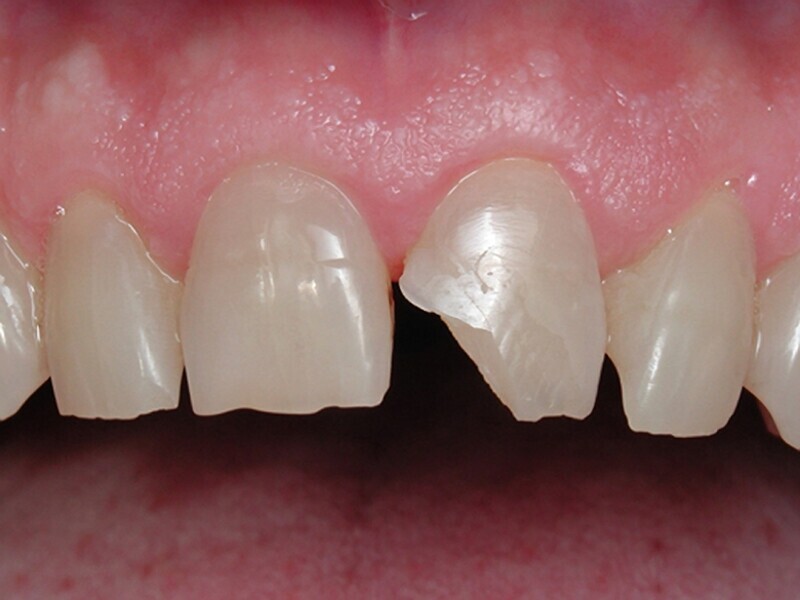
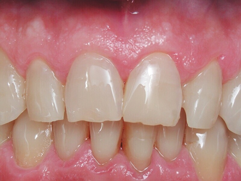
Imitando la naturaleza

advertisement
advertisement