Fig. 1. Situación inicial.
Fig. 2. Situación después de la reconstrucción del muñón con resina (Tetric N-Ceram Bulk Fill) y la preparación del muñón.
Figs. 3a & 3b. Diseño de la corona con el software (inLab) y prueba de la corona antes de la cocción de cristalización (IPS e.max CAD).
Fig. 4. Maquillaje y glaseado de la corona.
Fig. 5. Grabado y silanizado con Monobond Etch & Prime.
Fig. 6. Grabado de esmalte antes de la aplicación del adhesivo.
Fig. 7. Aplicación del composite de cementación Variolink Esthetic DC en la corona.
Fig. 8. Colocación de la corona.
Fig. 9. La eliminación del exceso de material se logra fácilmente gracias a la tecnología basada en el fotoiniciador Ivocerin.
Fig. 10. Polimerización final. Previamente se eliminaron los excesos del material de cementación (técnica de cuadrantes).
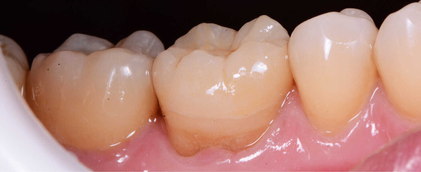
Fig. 11. La corona colocada después de eliminar los excesos.
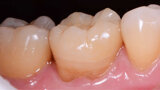
Figs. 12a y 12b. Vista final lateral y oclusal.
Figs. 12a y 12b. Vista final lateral y oclusal.
Figs. 12a y 12b. Vista final lateral y oclusal.
Figs. 12a y 12b. Vista final lateral y oclusal.