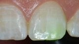
Foto 2. Diente 21, donde se observa el comportamiento de las manchas blancas cuando colocamos el lente de la transiluminación (Valo).
Foto 3. Diente 21. Se observa el color tenue de las manchas blancas con una profundidad de menos de 200µ, y colores más intensos en la región distal, que indican manchas de mayor profundidad.
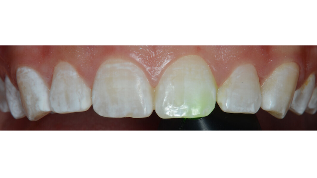
Foto 4. Diente 11, se observan manchas blancas en toda la superficie vestibular.
Foto 5. Diente 11. Mediante transiluminación se observa la poca profundidad de las lesiones con un buen pronóstico.
Foto 6. Microabrasión con Opalustre (Ultradent).
Foto 7. Resultado después de la séptima sesión de microabrasión.
Foto 8. Pulido con ruedas Jiffy Natural (color amarillo y blanco) y pasta diamantada de 1 y 0,5µ.
Foto 9. Sector antero superior, antes del tratamiento.
Foto 10. Sector antero superior después del tratamiento.
Foto 11. Imagen después de las reconstrucciones de los bordes incisales de los centrales y caninos con Resina Forma.
Foto 12. Resultado final del tratamiento.