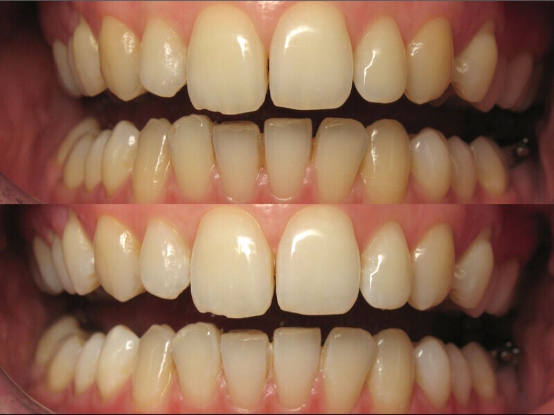
Antes y después del blanqueamiento en el consultorio de un paciente con tratamiento ortodóntico lingual.
Figura 1. Paciente con tratamiento de ortodoncia lingual.
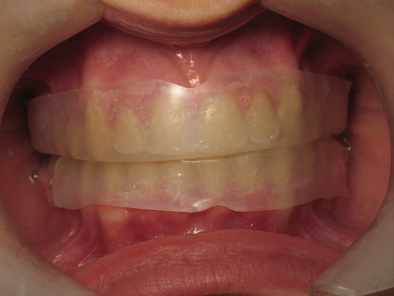
Figura 2. Protección de tejidos blandos durante un procedimiento de blanqueamiento dental en consultorio.
Figura 3. Aplicación de gel blanqueador de dientes en la cara vestibular de los dientes.
Figura 4. Antes y después del blanqueamiento dental en el consultorio de un paciente con tratamiento ortodóntico lingual.
Figura 5. Opalescence Office Kit para blanqueamiento en el consultorio.
Figura 6. Cubetas a medida.
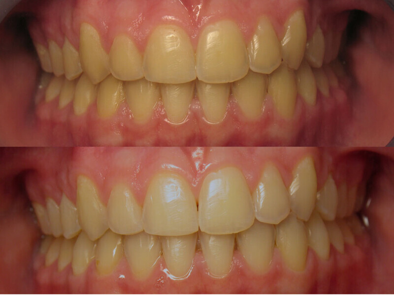
Figura 7. Caso clínico antes y después del blanqueamiento dental en casa con cubetas personalizadas.
Figura 8. Opalescence PF Kit para blanqueamiento para el hogar.
Figura 9. Opalescence Go Kit para blanqueamiento para el hogar.
Figura 10. Caso clínico antes y después de un blanqueamiento dental con cubetas listas para usar.
Figura 11. Cubetas precargadas en los dientes.
Figura 12. Barniz Profluorid para el tratamiento de hipersensibilidad dental.
Figura 13. Remin Pro para uso doméstico.
Figura 14. Remin Pro Forte para uso doméstico.
Figura 15. Modelo de yeso piedra con resina en las caras vestibulares.
Figura 16. Bifluorid 10 para fluorización en consultorio.