Fig. 1. Situación inicial en la que las coronas metal-cerámicas de los dientes 11 y 21 presentaban déficits estéticos. En los dientes 21 y 22 se habían colocado carillas cerámicas para obtener una transición más natural hacia los dientes adyacentes.
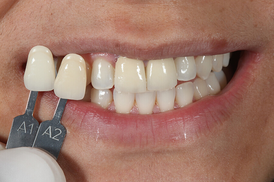
Fig. 2. El color dental básico A1 se determinó mediante la guía de colores VITA classical A1–D4.
Fig. 3. Las guías de color VITA VMK Master LUMINARY se utilizaron para determinar los efectos de fluorescencia.
Fig. 4. Mediante las guías de color VITA VMK Master TRANSLUCENT se determinaron los matices cromáticos translúcidos.
Fig. 5. Dado que el diente 11 había sido sometido a una reconstrucción de perno-muñón metálica, se optó por utilizar estructuras de aleación no preciosa.
Fig. 6. Sobre las estructuras de aleación no preciosa confeccionadas por CAD/CAM se aplicó el amortiguador de CET VITA NP BOND entre la cerámica y la aleación metálica.
Fig. 7. Para la cocción "wash" se roció VITA SPRAY-ON OPAQUE POWDER A1 (OP1).
Fig. 8. Se llevó a cabo la primera cocción de dentina con VITA VMK Master LUMINARY 1 (blanco) y 4 (marrón-naranja claro).
Fig. 9. El núcleo de dentina se estratificó con DENTINE A1 de manera reducida anatómicamente.
Fig. 10. A continuación se personalizó con TRANSLUCENT 5 (T5: azul claro) y con NECK 4 (N4: naranja).
Fig. 11. Se reprodujo el esmalte mediante una mezcla de ENAMEL 1 (70%) y TRANSLUCENT 4 (30%).
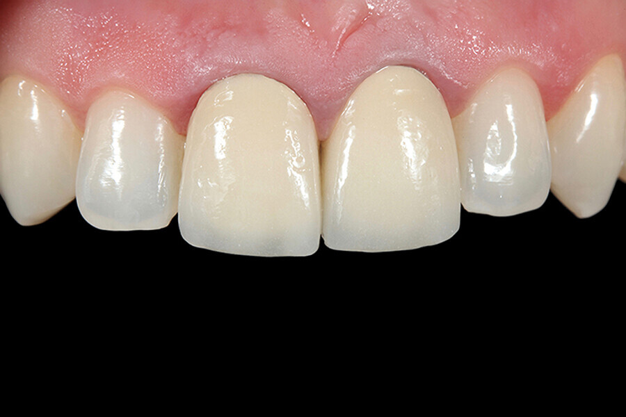
Fig. 12. El resultado final tras el acabado, la caracterización y el glaseado con VITA AKZENT Plus y el pulido.
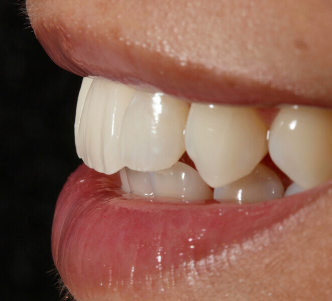
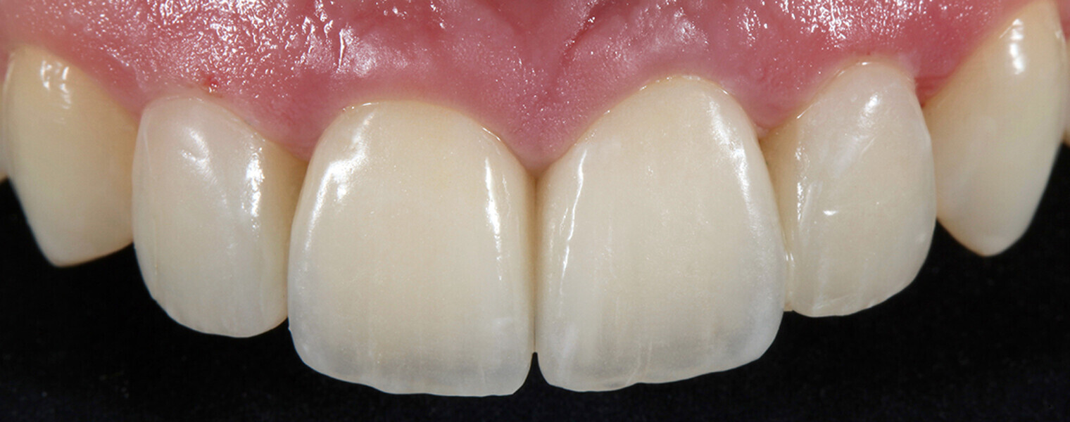
Fig. 13. Los bordes incisales simétricos armonizan con el contorno de los labios.
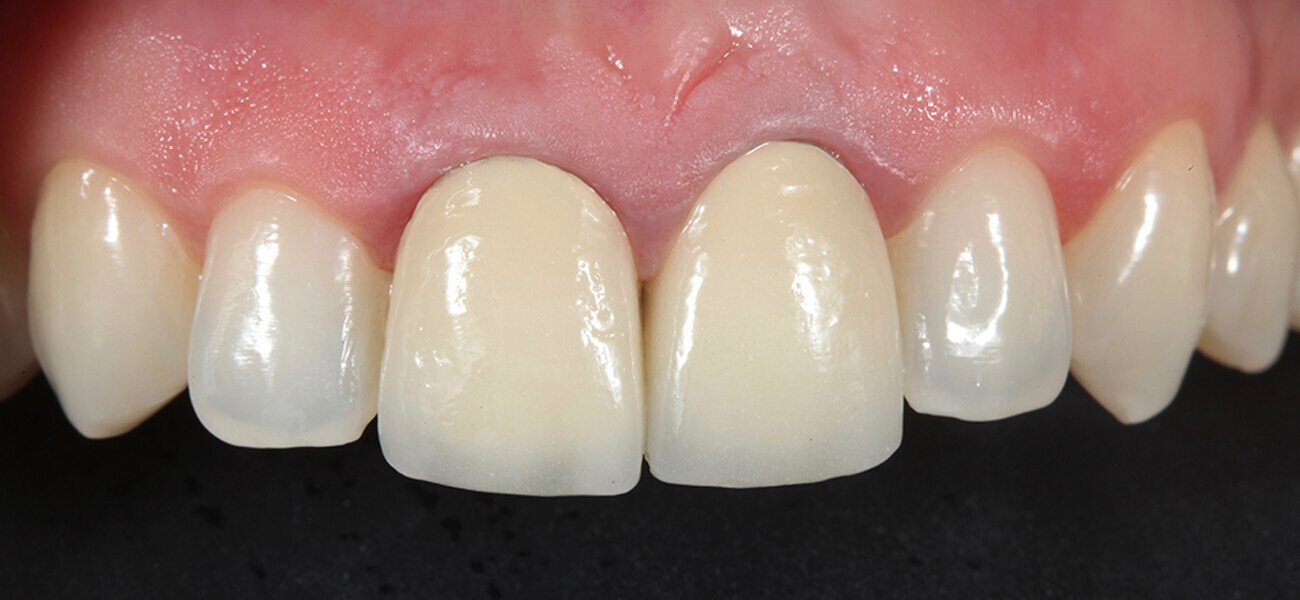
Fig. 14. Los dos tipos de restauración distintos presentan un juego de luces natural.
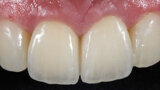
Fig. 15a. Vista frontal que muestra la conseguida estética de la restauración.
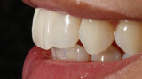
Fig. 15b. Vista lateral, donde se aprecia la morfología natural de la superficie.