Fig. 1. Barra de Duralay® OSU, modelo rígido donde se fabrica la barra y barra metálica colada.
Fig. 2. Barra de Duralay® OSU, modelo rígido donde se fabrica la barra y barra metálica colada.
Fig. 3. Barra de Duralay® OSU, modelo rígido donde se fabrica la barra y barra metálica colada.
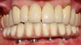
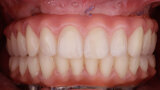
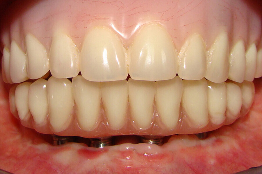
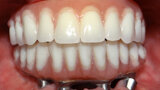
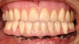
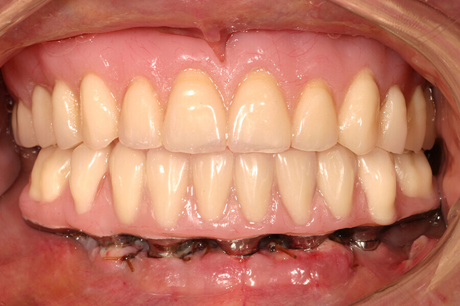
Fig. 4 Prótesis Híbrida inmediata y radiografía control con 6 años post-operatorio
Fig. 5. Prótesis Híbrida inmediata y radiografía control con 6 años post-operatorio
Fig. 6. Prótesis Híbrida inmediata y radiografía control con 6 años post-operatorio
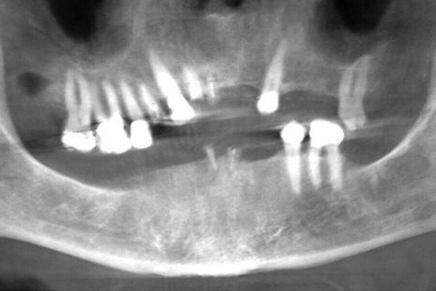
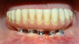
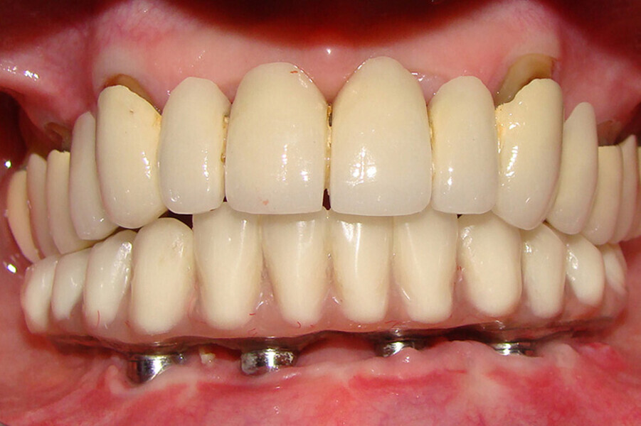
Fig. 7. Rx Pre-operatoria, Prótesis híbrida inmediata con 10 años de evolución y Rx Control a los 10 años.
Fig. 8. Rx Pre-operatoria, Prótesis híbrida inmediata con 10 años de evolución y Rx Control a los 10 años.
Fig. 9. Rx Pre-operatoria, Prótesis híbrida inmediata con 10 años de evolución y Rx Control a los 10 años.
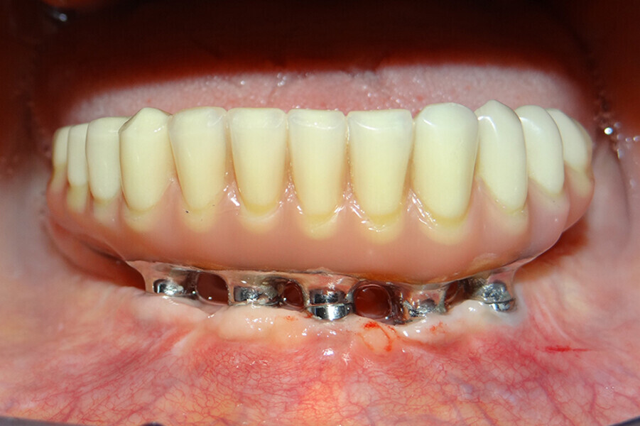
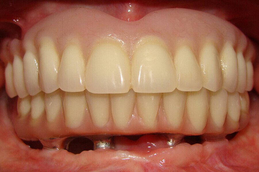
Fig. 10. Prótesis híbrida inmediata con 10 años de evolución y Rx Control a los 10 años.
Fig. 11. Prótesis híbrida inmediata con 10 años de evolución y Rx Control a los 10 años.
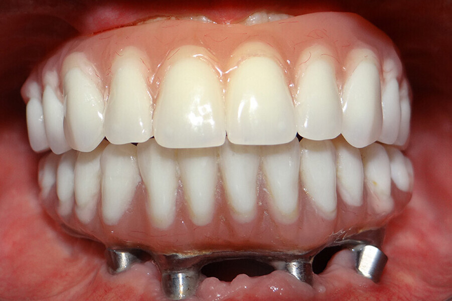
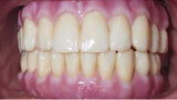
Fig. 12. Prótesis híbrida inmediata con 6 años de evolución y Rx Control a los 6 años.
Fig. 13. Prótesis híbrida inmediata con 6 años de evolución y Rx Control a los 6 años.
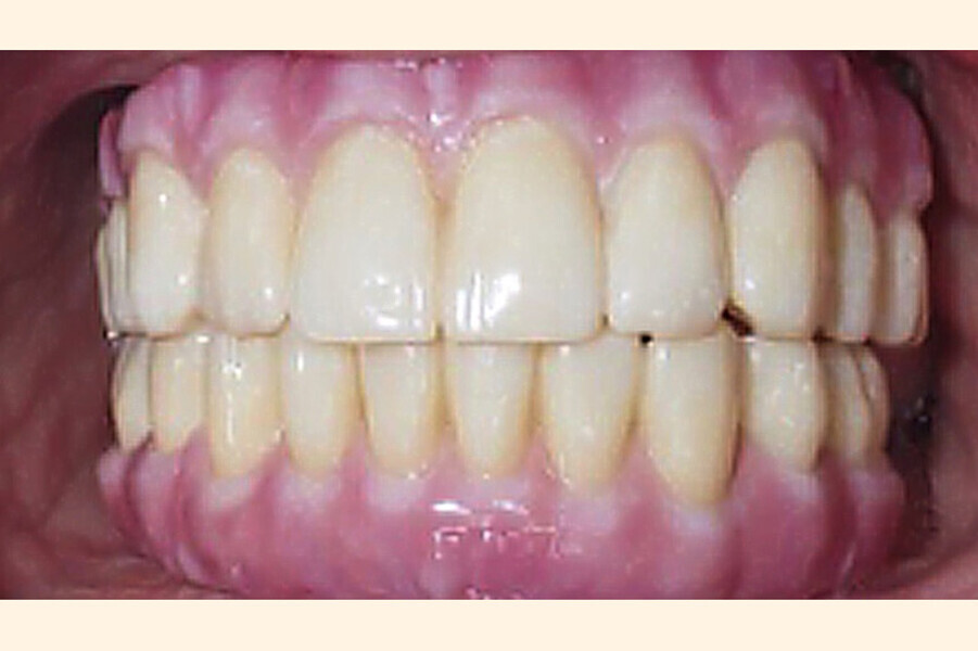
Fig. 14. Rx Control y Prótesis híbrida inmediata con 5 años de evolución.
Fig. 15. Rx Control y Prótesis híbrida inmediata con 5 años de evolución.
Fig. 16. Rx Pre-operatoria, Prótesis híbrida inmediata con 6 años de evolución y Rx Control a los 6 años.
Fig. 17. Rx Pre-operatoria, Prótesis híbrida inmediata con 6 años de evolución y Rx Control a los 6 años.
Fig. 18. Rx Pre-operatoria, Prótesis híbrida inmediata con 6 años de evolución y Rx Control a los 6 años.
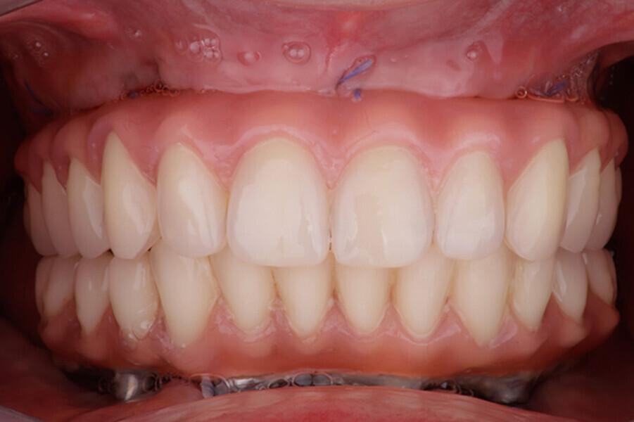
Fig. 19. Prótesis híbrida inmediata con 7 años de evolución y Rx Control a los 7 años.
Fig. 20. Prótesis híbrida inmediata con 7 años de evolución y Rx Control a los 7 años.
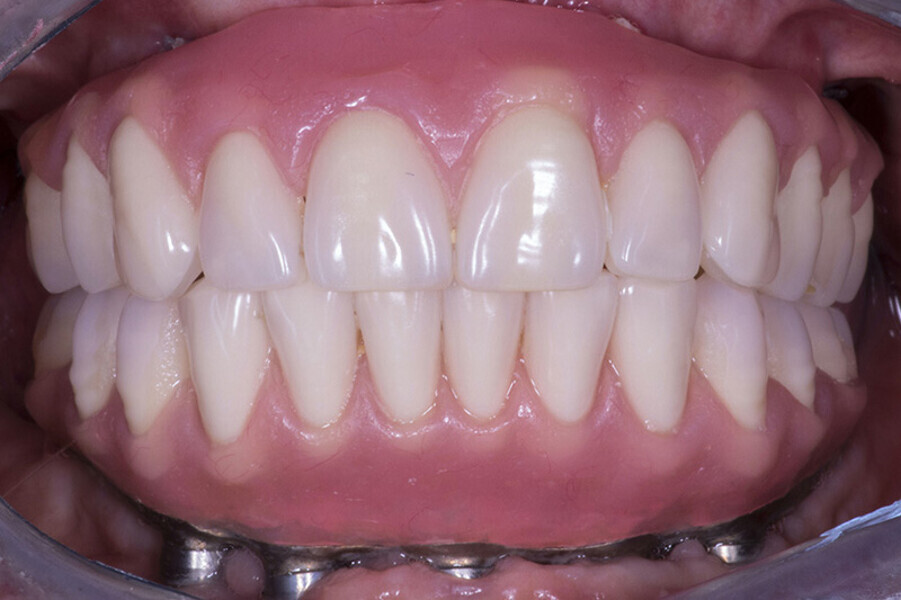
Fig. 21. Rx Pre-operatoria, Prótesis híbrida inmediata con 5 años de evolución y Rx Control a los 5 años.
Fig. 22. Rx Pre-operatoria, Prótesis híbrida inmediata con 5 años de evolución y Rx Control a los 5 años.
Fig. 23. Rx Pre-operatoria, Prótesis híbrida inmediata con 5 años de evolución y Rx Control a los 5 años.
Fig. 24. Rx Pre-operatoria, Prótesis híbrida inmediata con 8 años de evolución y Rx Control a los 8 años.
Fig. 25. Rx Pre-operatoria, Prótesis híbrida inmediata con 8 años de evolución y Rx Control a los 8 años.
Fig. 26. Rx Pre-operatoria, Prótesis híbrida inmediata con 8 años de evolución y Rx Control a los 8 años.
Fig. 27. Rx Pre-operatoria, Prótesis híbrida inmediata con 5 años de evolucion y Rx Control a los 5 años.
Fig. 28. Rx Pre-operatoria, Prótesis híbrida inmediata con 5 años de evolucion y Rx Control a los 5 años.
Fig. 29. Rx Pre-operatoria, Prótesis híbrida inmediata con 5 años de evolucion y Rx Control a los 5 años.
Fig. 30. Todo lo necesario previo a la cirugía y colocación de los implantes dentales: encerado diagnóstico, prueba estética, guía quirúrgica, guías de mordida, postes de impresión modificados, Guía vestibular de Putty, barra de Duralay® OSU.