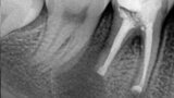
Figura 1. Inclinación de la raíz distal del primer molar inferior derecho hacia lingual. Ubicada aproximadamente a 10 mm de la cortical ósea vestibular, lo que hace imposible hacer el abordaje quirúrgico a través de microcirugía.
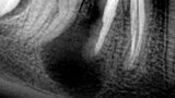
Figura 2. Lesión periapical en el diente 46 (primer molar inferior derecho) de gran tamaño. Iniciando una reabsorción radicular externa en la raíz distal.
Figura 3. Diente fuera de boca tras exodoncia atraumática.
Figura 4. Apicectomía del diente 46.
Figura 5. Preparación apical, sellado y reimplantación.
Figura 6. Control al mes, donde se evidencia inicio de cicatrización y reparación de la reabsorción radicular externa.
Figura 7. Control a los 3 meses, donde el proceso de cicatrización es acelerado, sin necesidad de colocar injerto de hueso.
Figura 8. Control a los 2 años, donde se observa cicatrización completa.