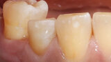
Fig. 1. Situación inicial: el diente 34 estaba fuertemente dañado. La encía se había adentrado en la cavidad.
Fig. 2. Estado tras la revisión, la colocación de la espiga y la reconstrucción.
Fig. 3. Durante la preparación se procuró no dejar ningún borde afilado en la cavidad.
Fig. 4. Únicamente se acortaron por oclusal las paredes remanentes de la cavidad.
Fig. 5. Tras el escaneo intraoral se estableció el límite de la preparación.
Fig. 6. Mediante un escaneo vestibular se trasladó la intercuspidación habitual.
Fig. 7. Durante el diseño de la restauración se respetaron los grosores de capa mínimos.
Fig. 8. Vista oclusal de la endocorona virtual en el software CAD.
Fig. 9. Vista lingual del diseño.
Fig. 10. El bloque VITABLOCS Mark II fijado en la unidad de fresado.
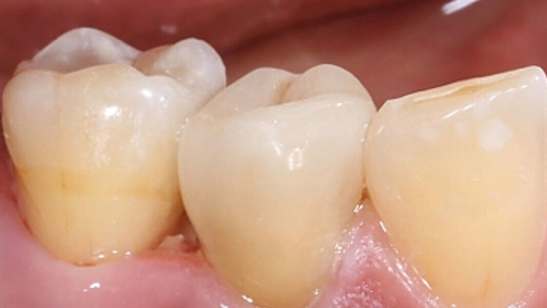
Fig. 11. La restauración de cerámica de feldespato durante la prueba clínica en boca.
Fig. 12. Desde vestibular no se observaban transiciones entre la restauración y el diente.
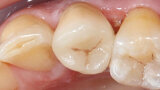
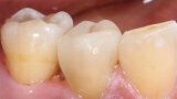
Fig. 13. Vista oclusal de la endocorona colocada de forma totalmente adhesiva.
Fig. 14. Resultado: integración altamente estética de la restauración durante la revisión al cabo de seis meses.
Dr. Oxana Naidyonova, Karagandá (Kazajistán)
Figura 8. Control a los 2 años, donde se observa cicatrización completa.