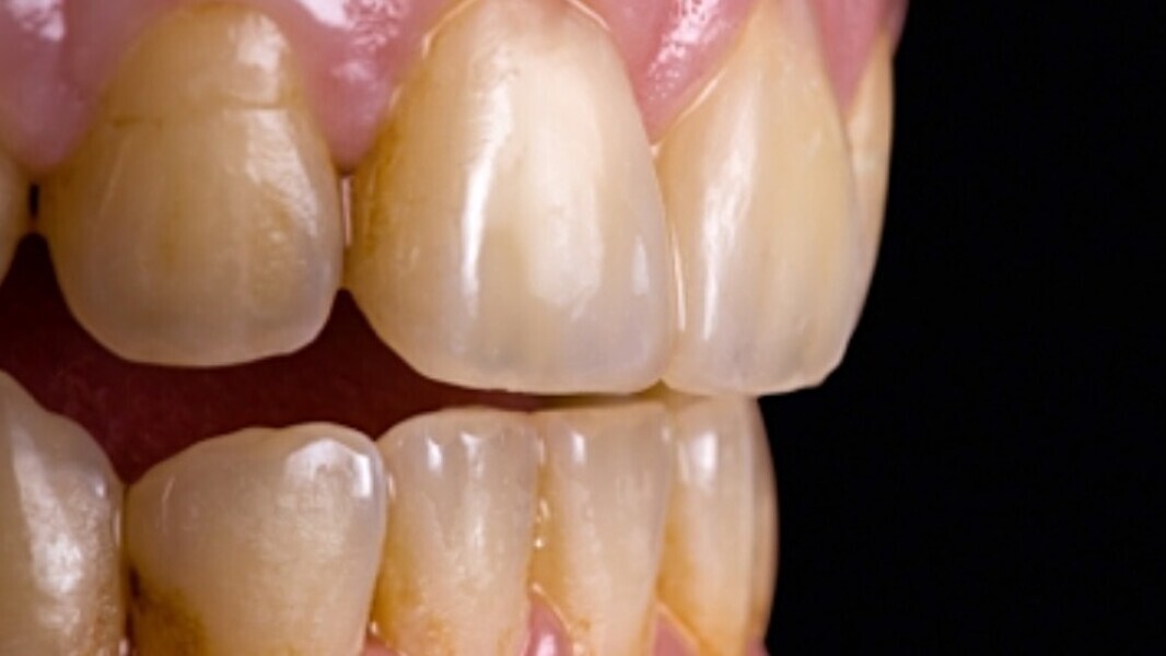
Fig. 1. Situación de partida: paciente joven con diastema entre los dientes 11 y 21.
Fig. 2. Las carillas sumamente delgadas se diseñaron en el software inLab.
Fig. 3. El resultado de alta precisión tras el proceso de fresado con CEREC MC XL.
Fig. 4. Las microcarillas delgadas en los dientes 11 y 21 durante la prueba clínica en boca.
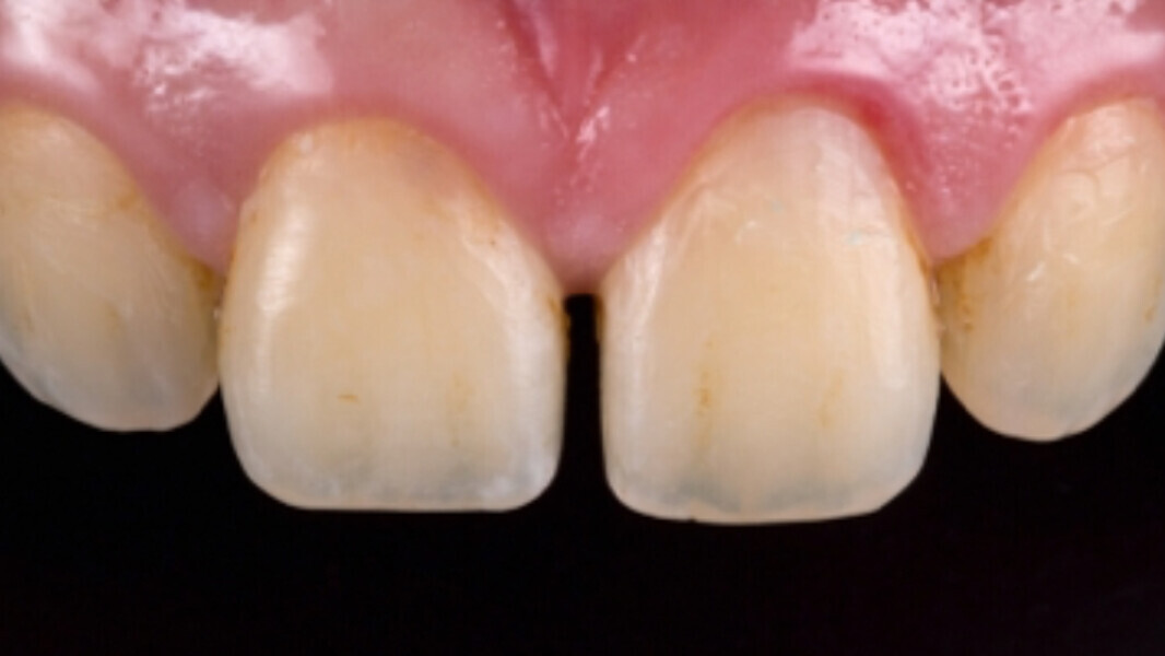
Fig. 5. Carilla caracterizada con maquillajes fotopolimerizables, antes de la colocación.
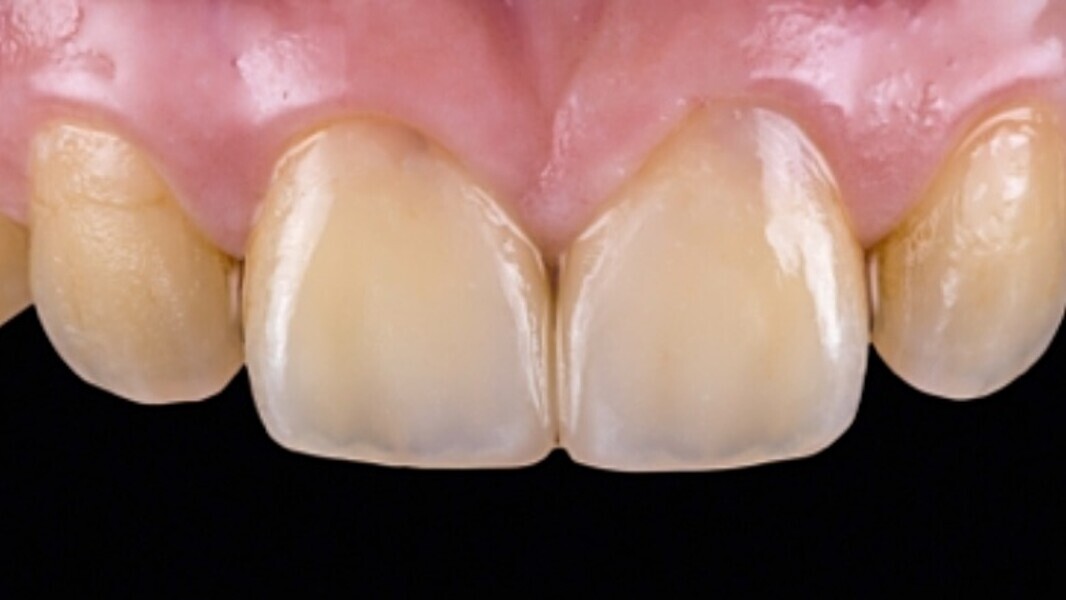
Fig. 6. Tras la fijación completamente adhesiva se observó una transmisión natural de la luz.
Fig. 7: También desde lateral se observaba una apariencia natural y sin transición.
Fig. 8. Resultado: el paciente se mostró muy satisfecho con el resultado altamente estético logrado en una sola sesión.