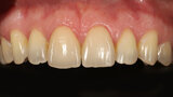
Fig. 1. Situación inicial: la erosión y la abrasión habían causado una reducción de la zona incisal y pérdida de la morfología de los dientes 11 y 21.
Fig. 2. Se simularon selectivamente los incisivos centrales ideales usando el software Smile Designer Pro.
Fig. 3. Utilizando una llave de silicona transparente y composite fotopolimerizable, se confeccionó intraoralmente el mock-up.
Fig. 4. El mock-up satisfizo las expectativas estéticas de la paciente.
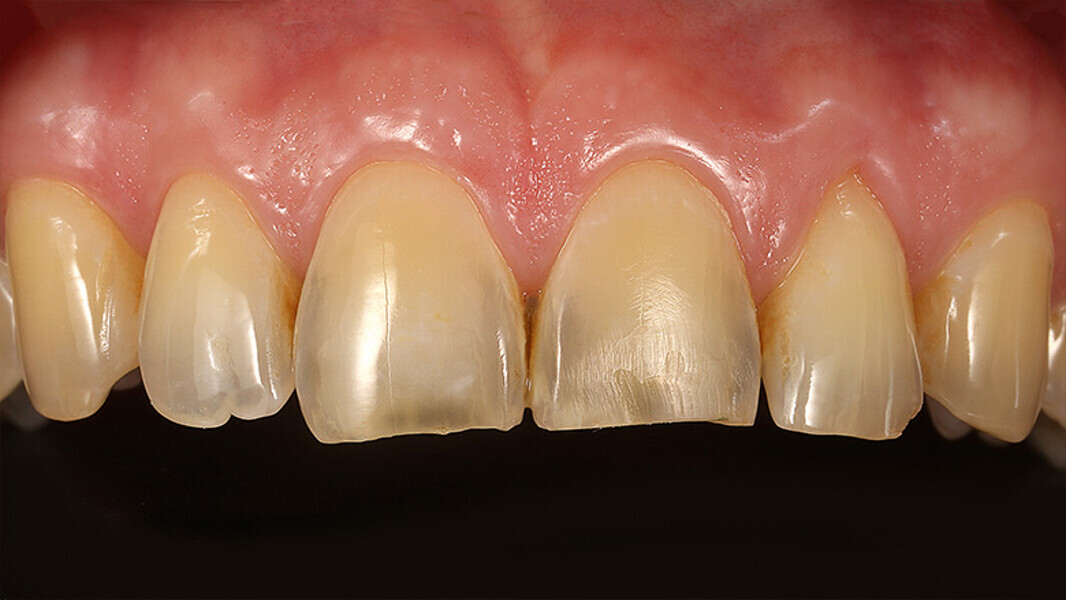
Fig. 5. Preparación mínimamente invasiva durante la creación de un microchámfer en la zona cervical.
Fig. 6. Se escaneó la situación clínica con CEREC Omnicam.
Fig. 7. Diseño de las carillas de cerámica híbrida con el software CEREC.
Fig. 8. La aplicación CEREC-Smile Design permite evaluar las restauraciones junto con los labios.
Fig. 9. Las carillas de VITA ENAMIC multiColor muy delgadas, inmediatamente después del fresado.
Fig. 10. Incorporación de la textura y la morfología con el disco de diamante.
Fig. 11. Bastó un simple pulido de alto brillo para acabar definitivamente las restauraciones.
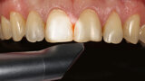
Fig. 12. Las carillas ya acabadas, poco antes de la prueba clínica en boca.
Fig. 13. Mediante el acondicionamiento con ácido fluorhídrico se obtiene una superficie microrretentiva.
Fig. 14. Aplicación en las superficies dentales de un adhesivo monocomponente fotopolimerizable.
Fig. 15. Las dos carillas se integraron de forma absolutamente natural en la zona estética.
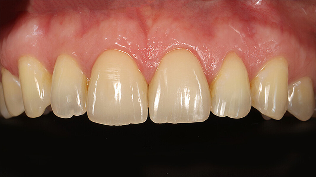
Fig. 16. Resultado: el contorno de los bordes incisales armonizó con el contorno de los labios.