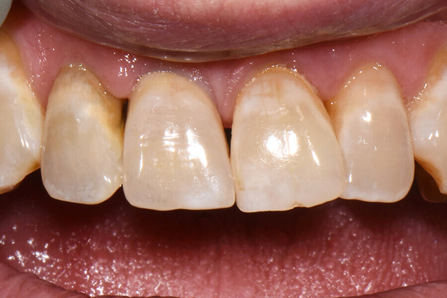
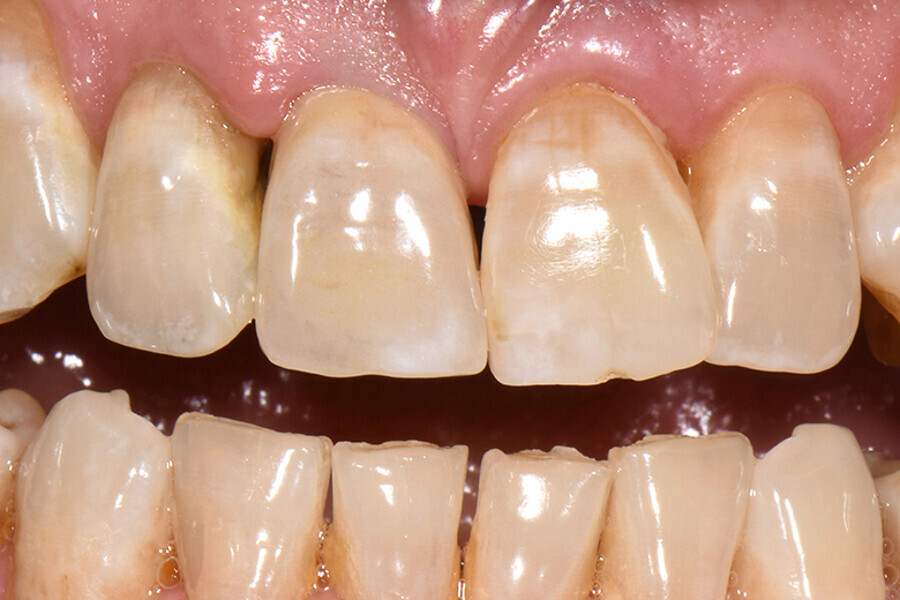
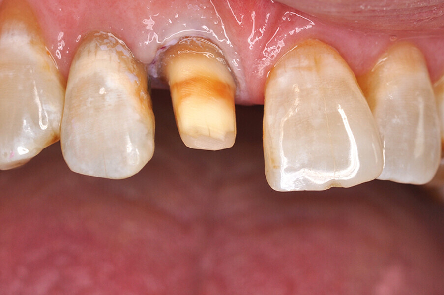
Fig. 1. Situación inicial: A fin de estabilizar el diente 11 de forma duradera, se procedió a su preparación para una corona de cerámica libre de metal.
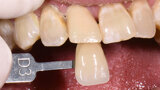
Fig. 2. El color dental básico se determinó mediante la guía de colores VITA classical A1–D3.
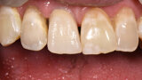
Fig. 3. Resultado tras la primera cocción de dentina durante la prueba clínica en boca.
Fig. 4. Los maquillajes VITA AKZENT Plus se aplicaron en varios pasos y se fijaron repetidamente mediante cocción.
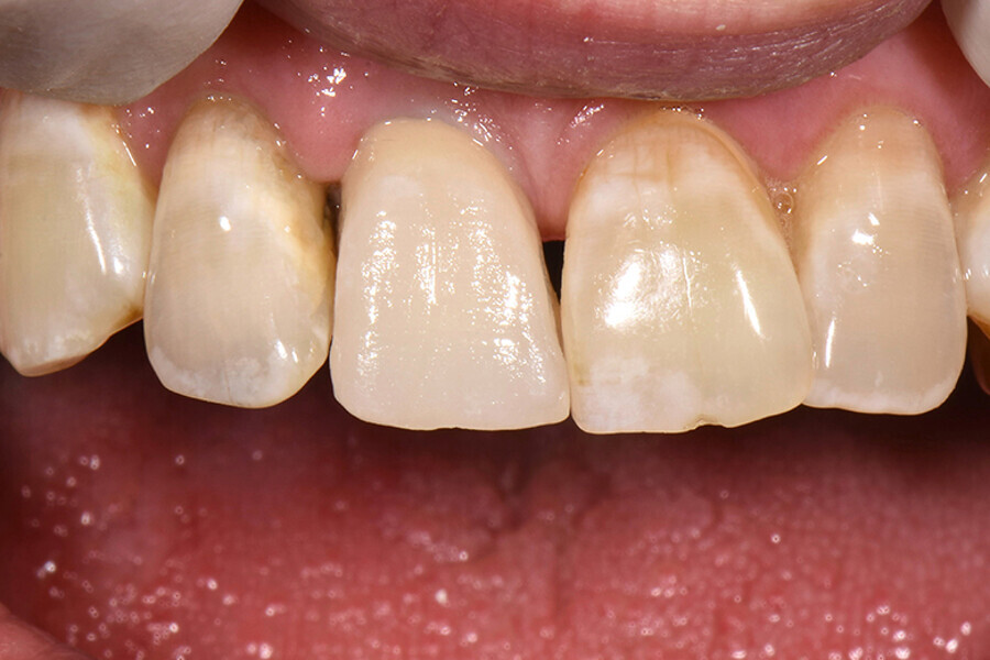
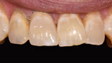
Fig. 5. La corona caracterizada y acabada durante la prueba clínica en boca.
Fig. 6. Tras la colocación autoadhesiva de la corona terminada se observó una estética general armoniosa.
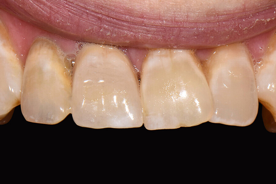
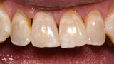
Fig. 7. La corona se integró estéticamente en la dentadura remanente natural.
Fig. 8: Resultado. Vista detallada que no deja lugar a dudas: se imitó a la naturaleza en todas sus facetas.