Fig. 1. Papiloma escamoso. Tumor benigno de origen epitelial asociado al VPH que puede aparecer en la mucosa bucal, principalmente lengua, labios y paladar.
Fig. 2. Verrugas. Lesión benigna que se localiza frecuentemente en lengua, paladar duro, paladar blando y labio, frecuente en niños y adolescentes.
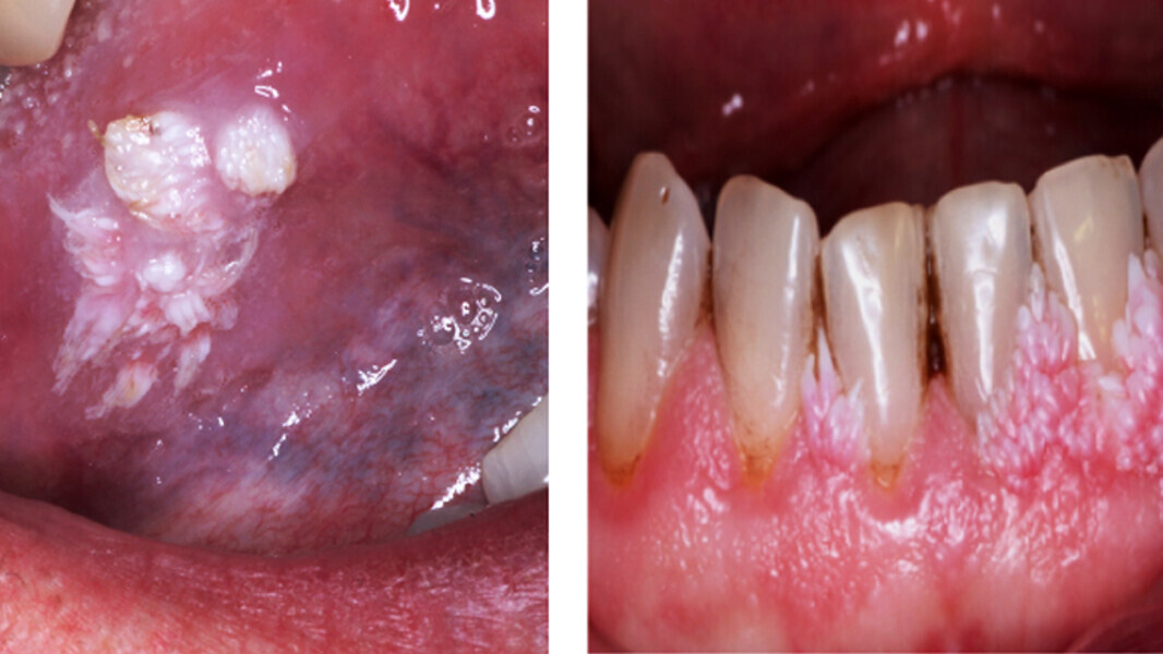
Fig. 3. Condilomas. Son lesiones que se pueden presentar en la mucosa oral, su apariencia es blanda con una superficie parecida a la coliflor.
Fig. 4. Hiperplasia epitelial multifocal. Patología benigna de la mucosa oral, caracterizada por lesiones múltiples, bien definidas, del mismo color de la mucosa oral.
Fig. 5. Carcinoma de lengua. Clínicamente, el tumor puede ser indistinguible, pero existen datos que lo identifican claramente.
Fig. 6. Verrugas y condilomas. Los pacientes con SIDA suelen presentar múltiples lesiones de VPH en mucosa genital y bucal, asociadas a inmunosupresión.