Search Dental Tribune

Aclaramiento dental con alineadores para Ortodoncia

La evidencia muestra que es posible realizar aclaramientos dentales no solo en casos de ortodoncia fija, sino también con alineadores. Imágenes y video: Enrique Jadad

Los doctores Enrique Jadad y Sergio Kohen, autores del libro “Estética y blanqueamiento dental en la era digital”, abordan en este artículo un concepto de tratamiento que combina las propiedades terapéuticas para la corrección de la oclusión de los alineadores dentales con su utilización estética para el aclaramiento dental durante la ortodoncia.

La demanda de tratamientos estéticos como carillas dentales, coronas cerámicas y blanqueamientos ha aumentado vertiginosamente en los últimos 20 años. Uno de los tratamientos más populares es el blanqueamiento dental, el cual desde hace un tiempo se puede combinar con tratamientos ortodóncicos y restauradores para ayudar a restituir la forma, la estética, la función y la sonrisa de los pacientes.

Las manchas y el oscurecimiento de los dientes son un efecto secundario temporal común del tratamiento de ortodoncia convencional con brackets, que se debe a la dificultad de los pacientes para mantener los dientes limpios durante el tratamiento. Los materiales utilizados en ortodoncia fija crean puntos de acumulación de placa, que pueden provocar la formación de precursores de manchas blancas, tinciones, caries y periodontitis1. Con el paso del tiempo, el contacto y la cantidad de la placa dental sobre la superficie dental aumenta, lo que puede irritación gingival, inflamación, hemorragia gingival y gingivitis2.

Figura 1. Paciente con ortodoncia fija que presenta acumulación de placa y lesiones blancas.

 

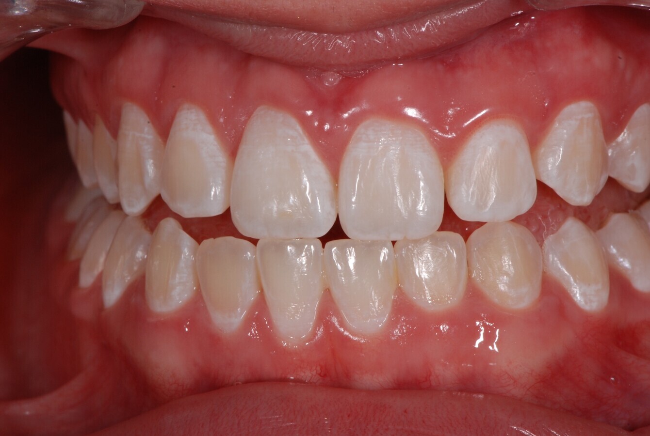
Figura 2. Caso de ortodoncia convencional en el que la paciente vio afectada sel color de sus dientes y pidió un aclaramiento dental.

 

Figura 3. La efecto polidireccional de los peróxidos utilizados en los aclaramientos dentales hace que sean efectivos incluso en zonas cubiertas por aditamentos como brackets.

 

Figura 4. Tratamiento de aclaramiento dental con férulas prefabricadas y predosificadas con peróxido de hidrógeno en una paciente con brackets.

 

Varios estudios microbiológicos que comparan la ortodoncia fija con la tecnología de alineadores indican una disminución significativa de la placa bacteriana con el tratamiento con alineadores debido a que los pacientes pueden realizar su higiene oral de forma normal, ya que tienen acceso a todas las superficies dentales. En cambio, los pacientes bajo tratamiento de ortodoncia convencional suelen declararse insatisfechos con el color de sus dientes debido al difícil manejo de la higiene bucal, que puede resultar en decoloración dental.

Estética de la sonrisa

Los factores que contribuyen a la aparición de manchas en la superficie externa de los dientes son una higiene bucal deficiente, el tabaquismo o la ingesta de bebidas como café o vino. En casos aislados de pacientes con ortodoncia, el color dental puede alterarse como resultado de complicaciones derivadas de necrosis o hiperemia del tejido pulpar. Por ello, muchos pacientes de ortodoncia buscan un tratamiento de aclaramiento dental para mejorar la estética y su sonrisa. Estos dispositivos removibles de ortodoncia permiten mejorar la salud bucal y minimizan la aparición de lesiones blancas debido a la descalcificación del esmalte, lo cual es un hallazgo clínico común en casos de ortodoncia fija1,2,3.

El aclaramiento en el hogar es cada vez más popular desde su introducción en 1989 por Haywood y Heymann, y para este tratamiento tenemos a nuestra disposición a los dos compuestos más utilizados: peróxido de carbamida y peróxido de hidrógeno. El peróxido de carbamida se descompone en peróxido de hidrógeno y urea, lo que genera efectos aclaradores en los dientes y un aumento del pH de la cavidad bucal. La urea, componente fundamental de la carbamida, provoca un aumento transitorio del pH oral que neutraliza aún más la saliva, cuyo pH fisiológico normal es de 6,2-7,6 y contribuye a reducir la formación de placa, así como la incidencia de descalcificación y caries. La Asociación Dental Americana aprobó el uso del peróxido de carbamida tanto en la consulta odontológica como en el hogar a bajas concentraciones3.

En el pasado, el aclaramiento en el hogar se realizaba con cubetas con reservorios que contenían el producto aclarador. Pero no hay evidencia que demuestre que el aclaramiento con reservorios sea más eficaz que sin estos depósitos. Debido a este hallazgo, la técnica dio un giro de 180 grados y se dejaron de fabricar dispositivos con reservorios. He tenido la fortuna de discutir el tema con expertos como los doctores Bruce Matis, Sergio Kohen, Jorge Perdigao, Carlos Francci, Alessandro Lougercio o Renato Miotto, y todos concluyen que los reservorios no son necesarios4,5.

Figura 5. Férula blanda termoformada para aclaramiento dental sin reservorio.

 

Figura 6. Férula inferior para aclaramiento dental sin reservorio.

 

En 2005 estudiamos la posibilidad de realizar aclaramientos dentales en pacientes portadores de brackets de ortodoncia, lo cual generó una gran controversia a nivel internacional. En 2010, Javier Martínez de Pisón, director de Dental Tribune para Latinoamérica y España, nos entrevistó en Ciudad de México y el artículo se publicó en portada. Después, llegó la guinda del postre, cuando publicamos en el American Journal of Orthodontics and Dentofacial Orthopedics (AJODO), el primer estudio clínico sobre este tópico en la historia de la odontología1,2.

Después de eso, uno de los mayores fabricantes lanzó TresWhite Ortho, un aclarador especial para pacientes con ortodoncia fija. Para poner las cosas en contexto, es importante saber que el peróxido de hidrógeno tiene un bajo peso molecular de 32 mg/m, lo que permite su fácil dispersión a través del esmalte hacia la dentina5. Una vez alcanza la dentina, las moléculas de oxígeno actúan sobre los pigmentos oscuros rotándolos y fragmentándolos, creando así un efecto de aclaramiento de la estructura dental. El peróxido de hidrógeno actúa de manera polidireccional dentro de los dientes, aún en zonas cubiertas por aditamentos como brackets, lo que hace posible que se logren aclaramientos en las áreas situadas debajo de estos aditamentos6,7.

Los pacientes que participaron de esta investigación se mostraron muy receptivos y deseosos de utilizar este producto aclarador. Además de sus efectos, los tratamientos de aclaramiento dental incrementan la responsabilidad del paciente de mantener una buena higiene oral7,8,9,10,11. Los pacientes de ortodoncia son más receptivos a aceptar un tratamiento basado en un producto aclarador dental que a cepillarse con una pasta dental fluorada o usar enjuagues antiplaca. Esto quedó evidenciado al retirar la férula blanda con el gel de peróxido de hidrógeno de TresWhite Ortho, momento en el que se deben cepillar los dientes de forma vigorosa para remover los residuos del gel aclarador, que tienen una textura viscosa. El resultado fue la eliminación química y mecánica de los filamentos y bacterias de la superficie de los dientes y de los brackets1.

Figura 7. Tratamiento de aclaramiento dental en un paciente de ortodoncia con brackets.

 

Antes de la publicación en 2011 de la investigación sobre el aclaramiento en pacientes con brackets, el blanqueamiento dental se realizaba después del tratamiento de ortodoncia debido a muchas razones. Una de ellas era esperar dos semanas tras finalizar el tratamiento de ortodoncia con un aparato fijo para dar tiempo a que las encías cicatrizaran en caso de gingivitis. Después de la publicación que realizamos en AJODO, se han publicado más de 150 investigaciones, de las cuales 48 nos citan por haber sido pioneros de este cambio de paradigma7,8,9,10.

Figura 8. Artículo publicado en AJODO en 2011, el primero indexado sobre aclaramientos dentales en pacientes portadores de brackets de ortodoncia.

 

El tratamiento ortodóncico con alineadores transparentes, tecnología para ortodoncia que se diseña y fabrica mediante CAD/CAM, es cada vez más popular. En los últimos años ha crecido enormemente la cantidad de marcas comerciales dedicadas a este campo de la odontología, que requiere la utilización de alineadores secuenciales personalizados y removibles para corregir problemas ortodóncicos. El primer sistema de alineadores transparentes fue Invisalign, introducido por Align Technology en 19977,8. Actualmente, hay muchas más empresas, como Aline, Clear Aligner, Smart Direct Club, ClearCorrect, OrthoClear, Klepp, ClearPath, eCligner, K Line, Byte, OrthoCaps.

La ortodoncia con alineadores transparentes ofrece algunas ventajas respecto a los aparatos fijos tradicionales, la más importante de las cuales es la estética, comodidad y aceptación de los pacientes. Además, son más cómodos para comer y cepillarse los dientes, ya que los pacientes pueden quitárselos. En cuanto al aclaramiento dental utilizando alineadores transparentes como cubetas de blanqueamiento, se trata de un procedimiento que nos brinda muchas ventajas, como menor costo para el paciente al eliminar el proceso de fabricación de las cubetas, reducción del tiempo de tratamiento y mejora de la higiene bucal del paciente11,12,13.

 

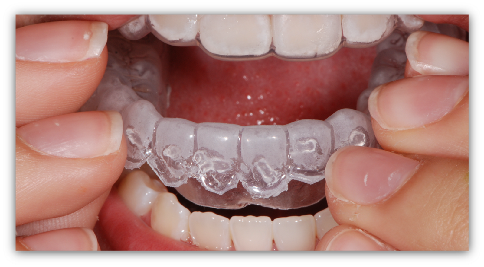
Figura 9. Alineador dental en el que se está agregando gel de peróxido de carbamida a baja concentración.

 

Sword y Haywood10 utilizaron en 2020 un alineador como bandeja de blanqueamiento en varios pacientes. Su objetivo era evaluar la viabilidad de realizar el blanqueamiento al mismo tiempo que el tratamiento ortodóncico y evitar manchas en las zonas donde se encuentran los puntos de fijación. El estudio sugirió que el blanqueamiento en el hogar con peróxido de carbamida al 10% podía realizarse simultáneamente con el tratamiento ortodóncico con alineadores porque el material blanqueador tenía partículas de tamaño molecular pequeño que podían penetrar en la dentina de las zonas adyacentes a los puntos de fijación sin necesidad de contacto directo entre el material blanqueador y la superficie del diente14,15,16,17. Otro estudio sugirió el uso de ataches linguales para obtener un aclaramiento dental homogéneo, aunque los movimientos planificados por el clínico requerían fijaciones labiales anteriores9.

Figura 10. El gel Klepp, que contiene 11% de peróxido de carbamida, ha sido desarrollado especialmente para ser utilizado en alineadores dentales. Nótese la tixotropía del gel.

 

Levrini et al. sugirieron que no era recomendable el uso de agentes blanqueadores con alineadores al inicio del tratamiento ortodóncico, ya que el apiñamiento de los dientes afectaría al ajuste de la cubeta y el resultado del blanqueamiento dental. Otros estudios en los que se utilizaron alineadores para el blanqueamiento dental no mostraron efectos adversos en las encías ni en la sensibilidad dental que provocaran la interrupción del tratamiento. En resumen, el blanqueamiento dental con alineadores transparentes es una forma de tratamiento segura que no causa daño a las encías cuando se realiza bajo supervisión profesional18,19,20.

El aclaramiento dental durante el tratamiento con alineadores es eficaz y consigue un tono dental homogéneo, debido a la capacidad de las partículas del agente blanqueador para penetrar las zonas adyacentes a los ataches20,21. Durante varios años hemos colaborado con la empresa Klepp, filial del grupo Grimberg Dentales de Argentina, para crear un gel a base de peróxido de carbamida al 11% para el tratamiento de pacientes con alineadores.

Figura 11. Aplicación del gel de peróxido de carbamida en baja concentración en el alineador dental para ortodoncia por las caras vestibulares.

 

Este producto ha mostrado ser eficaz para mejorar el color dental, disminuir la placa bacteriana y reducir los índices de inflamación gingival. En el seguimiento de casos manejados con alineadores como guardas portadoras del producto Klepp testeados durante un periodo de 4 semanas, hemos observado con el equipo de espectrofotometría Easy Shade de VITA que no tenemos regresiones de color 6 meses después de interrumpir el aclaramiento.

Figura 12. Fase inicial de paciente con alineadores para aclaramiento dental con peróxido de carbamida al 11%.

 

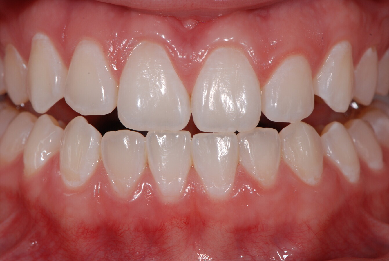
Figura 13. Muestra del color que se obtuvo después de realizar un aclaramiento en un paciente tratado con alineadores dentales.

 

Figura 14. Vista lateral de un caso de ortodoncia con alineadores, utilizados como férula contenedora de peróxido de carbamida.

 

Figura 15. Resultado del aclaramiento dental con alineadores y peróxido de carbamida al 11% utilizado durante 8 horas de noche por 3 semanas continuas.

 

Conclusiones

La utilización de alineadores dentales con gel de blanqueamiento ha probado ser un método eficiente de aclaramiento de los dientes del paciente durante el tratamiento ortodóncico. Sus principales ventajas son las siguientes: 

  1. Eficiencia en la distribución del gel blanqueador. Los alineadores actúan como bandejas personalizadas, asegurando una distribución uniforme del gel blanqueador sobre la superficie de los dientes. Como son fabricados a medida, los alineadores minimizan el contacto del gel con las encías, reduciendo el riesgo de irritación gingival.
  1. Sincronización de tratamientos. El blanqueamiento con alineadores no interrumpe el tratamiento de ortodoncia. La simultaneidad ahorra tiempo y mejora la experiencia del paciente, que obtiene dientes mejor alineados y blancos a la vez.
  1. Compatibilidad y seguridad. La mayoría de los alineadores son compatibles con agentes blanqueadores con baja concentración de peróxido de hidrógeno o de carbamida. Es fundamental usar productos recomendados por un profesional para evitar daños en los dientes o en los alineadores.
  1. Impacto en la hipersensibilidad dental

El blanqueamiento dental puede provocar o aumentar la hipersensibilidad en algunas personas. Cuando se combina con alineadores, este efecto puede intensificarse debido al contacto prolongado del gel en los dientes. El uso de desensibilizantes o geles específicos mitiga este efecto.

  1. Resultados personalizados

La combinación de ambos tratamientos permite personalizar los resultados en función de las necesidades del paciente. El profesional puede ajustar la frecuencia y la concentración del agente blanqueador según la tolerancia y el progreso del paciente.

  1. Consideraciones estéticas y prácticas

Algunos pacientes buscan un color más uniforme de los dientes al final del tratamiento ortodóncico, lo que convierte el blanqueamiento en un complemento valioso de la terapia. El blanqueamiento puede programarse durante fases específicas del tratamiento para maximizar los resultados estéticos finales.

El tratamiento combinado de ortodoncia y blanqueamiento dental mediante alineadores potencia la estética dental, pero requiere de una supervisión adecuada para evitar efectos adversos. En nuestro libro, titulado, "Estética y blanqueamiento dental en la era digital", se pueden consultar dos capítulos dedicados a este apasionante tema, en los que se explica en detalle el protocolo de este tipo de tratamiento.

Autor

__________________________________________________________________________________________________________________________________________________

Enrique Jadad Bechara es Especialista en Rehabilitación Oral, investigador y conferencista internacional con práctica privada en Barranquilla, Colombia.

Referencias

  1. Jadad E, Montoya J, Arana G, Gordillo LA, Palo RM, Loguercio AD. Spectrophotometric evaluation of color alterations with a new dental bleaching product in patients wearing orthodontic appliances. Am J Orthod Dentofacial Orthop. 2011;140:e43-e47.
  2. Montenegro‐Arana A, Arana‐Gordillo LA, Farana D, Davila-Sanchez A, Jadad E, Coelho U, et al. Randomized double‐blind clinical trial of bleaching products in patients wearing orthodontic devices. Oper Dent 2016;41:379-87.
  3. Haywood, B.; Heymann, H.O. Nightguard vital bleaching. Quintessence Int. 1989, 20, 173-176. [PubMed].
  4. Matis B, Wang G, Matis J, Cook N, Eckert G. White Diet: Is It Necessary during Tooth Whitening? Dent.2015, 40:235-240. [Google Scholar] [CrossRef] [PubMed].
  5. Basting RT, Amaral FL, Franca FM, Florio FM. Clinical comparative study of the effectiveness of and tooth sensitivity to 10% and 20% carbamide peroxide home-use and 35% and 38% hydrogen peroxide in-office bleaching materials containing desensitizing agents Operative Dentistry 2012;37(5):464-473.
  6. Fasanaro Bleaching teeth: History, chemicals, and methods used for common tooth discolorations. J. Esthet. Dent. 1992, 4:71-78. [CrossRef] [PubMed].
  7. Sardarian A, Malekpour B, Roshan A, Danaei SM. Bleaching during orthodontic treatment and its effect on bracket bond strength. Dent Res J. 2019;16:245.
  8. Alajmi S, Shaban A, Al-Azemi R. Comparison of short-term oral impacts experienced by patients treated with Invisalign or conventional fixed orthodontic appliances. Med. Princ. 2020, 29, 382-388. [CrossRef] [PubMed].
  9. Gomes MN, Dutra H, Morais A, Segura R, Devito‐Moraes AG. In-office bleaching during orthodontic treatment. J Esthet Restor Dent 2017;29:83-92.
  10. Sword RJ, Haywood VB. Teeth bleaching efficacy during clear aligner orthodontic treatment. Compend. Contin. Educ. Dent. 2020, 41, e6-e11.
  11. Lunardi N, Correr AB, Rastelli AN, Lima DA, Consani RL. Spectrophotometric evaluation of dental bleaching under orthodontic bracket in enamel and dentin. J Clin Exp Dent 2014;6:e321-6.
  12. Arboleda-Lopez C, Manasse RJ, Viana G, Bedran-Russo AB, Evans CA. Tooth Whitening during Orthodontic Treatment: A Six Month in vitro Assessment of Effectiveness and Stability. Int J Dent Oral Health 2015;1. Doi http://dx.doi. org/10.16966/2378-7090.120.
  13. Alajmi S, Shaban A, Al-Azemi R. Comparison of short-term oral impacts experienced by patients treated with Invisalign or conventional fixed orthodontic appliances. Med. Princ. Pract. 2020, 29, 382-388. [CrossRef] [PubMed].
  14. Consolaro A, Consolaro RB, Francischone L. Clarifications, guidelines and questions about the dental bleaching associated with orthodontic treatment. Dent. Press J. Orthod. 2013, 18, 4-10. [CrossRef].
  15. Martini EC, Favoreto MW, de Andrade HF, Coppla FM, Loguercio AD, Reis A. One-year follow-up evaluation of reservoirs in bleaching trays for at-home bleaching. J. Esthet. Restor. Dent. 2021, 33, 992-998. [CrossRef].
  16. Martini EC, Favoreto MW, Coppla FM, Loguercio AD, Reis A. Evaluation of reservoirs in bleaching trays for at-home bleaching: A split-mouth single-blind randomized controlled equivalence trial. J. Appl. Oral Sci. 2020, 28, e20200332. [CrossRef].
  17. Martini EC, Parreiras SO, Acuña ED, Loguercio AD, Reis A. Does the use of reservoirs have any impact on the efficacy of at-home bleaching? A systematic review. Braz. Dent. J. 2019;30:285-294. [CrossRef].
  18. Seleem D, Dadjoo S, Ha A, Santos C, Mirfarsi S, Matsumura-Lem K, Lazarchik, D. Effect of 10% carbamide peroxide on tooth shade, plaque index and gingival index during invisalign treatment. Dent. J. 2021;9:48. [CrossRef] [PubMed].
  19. Levrini L, Paracchini L, Bakaj R, Diaconu A, Cortese S. Dental bleaching during orthodontic treatment with aligners. Int. J. Esthet. Dent. 2020, 15, 44–54. [PubMed]
  20. Chen W, Qian L, Qian, Y, Zhang Z, Wen X. Comparative study of three composite materials in bonding attachments for clear aligners. Orthod. craniofacial Res. 2021; 24 (4), 520-527. doi:10.1111/ocr.12465.
  21. Fang S, Liu C, Liu Q, et al. A study on the mechanical properties and biological properties of a novel slow-release hydrogen peroxide invisible appliance materials. Pract. Stomatol. 2022; 38, 3. doi:10.3969/j.issn.1001-3733.2022.03.002.
  22. Pereira R, Silveira J, Dias S, Cardoso A, Mata A, Marques D. Bleaching efficacy and quality of life of different bleaching techniques - randomized controlled trial. oral Investig. 2022; 26 (12), 7167-7177. doi:10.1007/s00784-022- 04678-5.
Recomendamos

• Edición Especial sobre Piezocirugía

 

• Especial sobre Blanqueamiento Dental

 

• Especial sobre Técnicas de escanear

 

• Especial sobre Formación en Odontología

 

• Edición Especial sobre Láser en Odontología

 

• Edición Especial sobre Odontogeriatría

Temas:
To post a reply please login or register
advertisement
advertisement