Search Dental Tribune

El enemigo invisible en la periimplantitis

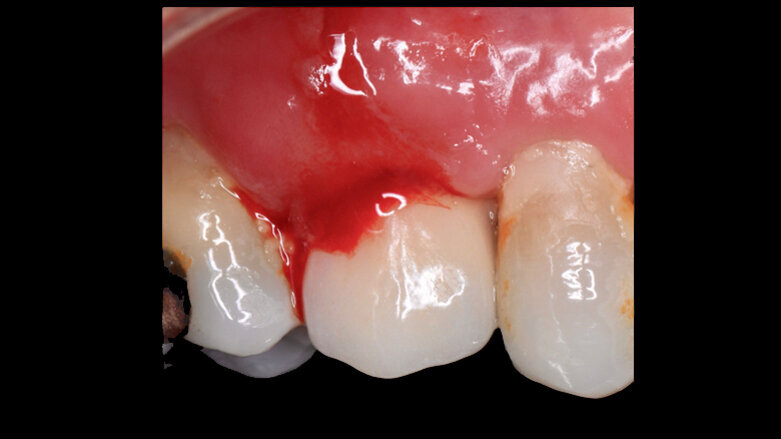
Figura 1. El examen clínico muestra enrojecimiento de la zona, presencia de sangrado, profundidad al sondaje vestibular de 8-8-8 mm y distal 8-8-8 mm. (Fotos: Samia Isaac / Ivan Herrera )
Samia Isaac Tatis, Iván Herrera Ustariz

Samia Isaac Tatis, Iván Herrera Ustariz

sáb. 18 enero 2020

guardar

Los autores afirman que el biofilm oral adherido a las superficies de los implantes dentales produce infección de los tejidos periimplantarios y la falla del implante. La superficie de los implantes es un potencial reservorio para la adhesión de un microorganismo que tiene un papel importante en la patogénesis de las lesiones periimplantarias.

La acumulación de microorganismos en las superficies de los implantes dentales es el principal factor etiopatogénico de la periimplantitis, enfermedad que se caracteriza por la inflamación y destrucción de los tejidos de soporte del implante[1]. La inflamación y destrucción de los tejidos se produce por la acción de los productos bacterianos tóxicos, citoquinas inflamatorias como interleucina (IL-1) beta (β), IL-6 y factor de necrosis tumoral alfa[2], lo cual avanza produciendo inflamación y activación de osteoclastogénesis que conlleva a la perdida ósea alrededor del implante.

Estudios reportan la presencia de bacterias como Aggregatibacter actinomycetemcomitans, Prevotella intermedia, Porphyromonas gingivalis, Treponema denticola y Tannerella forsythia en sitios con periimplantitis[3]. Asimismo, varios autores indican de la presencia de Eschericia coli, Staphylococcus aureus, Enterococcus faecails, que son microorganismos no comunes de la microbiota oral normal[4]. Albertini y cols[5] reportan por su parte presencia de organismos como Pseudomonas aeruginosa, Candida albicans y Staphylococcus aureus en sitios con lesiones periimplantares.

“La presencia de C. albicans en el biofilm oral subgingival juega un papel en la etiopatogenia de las enfermedades periodontales”. 

Candida albicans es un microorganismo fúngico oportunista que coloniza superficies de mucosas[6] y sitios de implantes afectados por periimplantitis donde los niveles de estos microorganismos son más altos que en sitios sanos[7]; este hongo tiene capacidad de adherirse a diferentes sustratos, producir hifas, secretar enzimas hidrolíticas, invadir tejidos y activar la respuesta inflamatoria.

La presencia de C. albicans en el biofilm oral subgingival juega un papel en la etiopatogenia de las enfermedades periodontales[8]; asimismo, el uso de antibióticos en el tratamiento de enfermedades periimplantarias puede facilitar la proliferación de hongos en las regiones oral y subgingival[9].

C. albicans tiene la capacidad de adherirse a las superficies de los implantes dentales, contribuyendo a la inflamación de los tejidos blandos y la pérdida de hueso alveolar[10]. Las unidades formadoras de colonias (UFC) de las especies de candida son más altas en el biofilm oral subgingival de pacientes con periimplantitis que en los individuos sin enfermedades periimplantarias.

Janus y cols reportan que en condiciones aeróbicas, el biofilm oral que contiene C. albicans tienen una colonización significativamente mayor de otros microorganismos, como las especies Prevotella y Fusobacterium, cuando son comparadas con las muestras sin candida[11].

Un estudio reporta ausencia de C. albicans en zonas sin enfermedad periimplantar y presencia de este hongo en sitios con periimplantitis[12], secretando proteinasas que interactúan con estreptococos promoviendo sinérgicamente su virulencia[13].

La infección a largo plazo por C. albicans produce destrucción persistente y crónica del tejido, esto se produce a través de las citoquinas pro-inflamatorias[14]; la actividad citolítica se desencadena por la interleucina 1 alfa de las células epiteliales orales infectadas por C. albicans[15].

1La superficie de los pilares protésicos de los implantes dentales que quedan expuestos en la cavidad oral son cubiertos por las biopelículas salivales[16]. Las proteínas de la saliva mucina y albúmina son receptores para el proceso de adhesión microbiana inicial[17] y a la adhesión de los microorganismos fúngicos[18].

Caso clínico

Paciente femenino de 67 años de edad, sana, no medicada. Acude a consulta por dolor en zona de segundo premolar superior derecho tratado con implante post-exodoncia, 2 años de evolución; al examen clínico se observa edema, enrojecimiento de la zona, presencia de sangrado (Figura 1), profundidad al sondaje vestibular de 8-8-8 mm y distal 8-8-8 mm.

Posteriormente a la valoración, se aplica anestesia local distal y mesial a la lesión con Arteek (articaína al 4%, epinefrina 1:100.000, New Stetic, Colombia), se realiza curetaje de tejido granulomatoso por vestibular enviándose a estudio histológico (biopsia) y microbiológico (cultivo), se continua con aplicación de láser de diodo FONA (Alemania), se formula Koact 1000 (amoxicilina 875 mg/ácido clavulánico 125 mg, Novamed, Colombia), Dentagel (clorhexidina al 0.2%, Farpag, Colombia), aplicado en la zona cada 12 horas por 3 semanas. El manejo se continúa mediante la aplicación de láser a los 3 y 5 posteriores al día 1.

La biopsia reporta que el tejido epitelial se ve interrumpido en la longitud de sus capas y en el tejido conectivo subepitelial, presencia de infiltrado inflamatorio (abundan los linfocitos, macrófagos), focos hemorrágicos, edema intersticial, acúmulos hemorrágicos de necrosis tisular y colonias de candida. El estudio de cultivo arroja crecimiento de C. albicans (Figura 2).

Figura 2. El estudio de cultivo arroja crecimiento de C. albicans.

Posterior a los resultados se formula fluconazol MK tabletas 200 mg (Tecnoquímicas, Colombia) cada 7 días por 6 semanas.

A los 20 días de controlada la infección se realiza procedimiento quirúrgico resectivo y regenerativo, aplicación de anestésico troncular infraorbitario maxilar superior derecho con Arteek, refuerzo por palatino, posterior levantamiento de colgajo por vestibular, curetaje de todo el tejido granulomatoso alrededor del implante, aplicación de Perisolv(cloramina, Regedent, Suiza) en el defecto óseo periimplantar por 60 segundos, posterior lavado con solución salina, descontaminación del implante con cepillo de titanio Straumann (Suiza) (Figura 3).

Figura 3. Curetaje de todo el tejido granulomatoso alrededor del implante, aplicación de Perisolv en el defecto óseo periimplantar por 60 segundos, lavado con solución salina y descontaminación del implante con cepillo de titanio.

En el defecto óseo periimplantar se injerta un preparado mezcla del aloinjerto Mineroos (Biohorizons, Estados Unidos), plasma rico en plaquetas y fibrina rica en plaquetas y leucocitos L-PRF (Figura 4), con lo que se obtiene tejido conectivo de la zona palatina intervenida, injertándose en la zona vestibular, posterior colocación de membrana de L-PRF, por distal del defecto suturas con AssuCryl 5.0 (ácido poliglicólico, Assut Sutures, Suiza) (Figura 5). Se formula azitromicina 500 mg MK (Tecnoquímicas, Colombia) cada 24 horas por 3 días, acetaminofén más codeína MK, k-cit gel (Laboratorio Farpag, Colombia), aplicado en la herida 3 veces al día. Posteriormente se realizan citas de control cada 5 días para lavado y colocación de láser (6 citas en total).

Figura 4. Injerto en el defecto óseo periimplantar e una mezcla del aloinjerto Mineroos, plasma rico en plaquetas y fibrina rica en plaquetas y leucocitos L-PRF.

Figura 5. Colocación de membrana de L-PRF, por distal del defecto suturas con AssuCryl 5.0.

Al control postoperatorio a 30 días la paciente presenta una regeneración de todo el tejido mucoso periimplantar, sellado de tejido blando, color de mucosa normal y no hay  de sangrado. No se realiza sondaje para no afectar la cicatrización (Figura 6).

Figura 6. Control postoperatorio a 30 días presenta una regeneración de todo el tejido mucoso periimplantar, sellado de tejido blando, color de mucosa normal y no hay de sangrado.

__________________________________________________________________

  1. La Dra. Samia Isaac Tatis es odontóloga, Universidad de Cartagena. Periodoncista Universidad Javeriana.
  2. El Dr. Iván Herrera Ustariz es odontólogo, Universidad Metropolitana – Farmacia Clínica Universidad del Atlántico. Magister Farmacovigilancia Universidad de Sevilla, España.

Bibliografía

[1] Belibasakis GN. Microbiological and immuno- pathological aspects of peri-implant diseases. Arch Oral Biol. 2014; 59:66–72.

[2] Pokrowiecki R, Mielczarek A, Zareba T, Tyski S. Oral microbiome and peri-implant diseases: where are we now? Ther Clin Risk Manag. 2017; 13:1529-1542.

[3] Casado PL, Otazu IB, Balduino A, de Mello W, Barboza EP, Duarte ME. Identification of periodontal pathogens in healthy periimplant sites. Implant Dent 2011; 20:226– 235

[4] Thurnheer T1, Belibasakis GN. Integration of non-oral bacteria into in vitro oral biofilms. Virulence. 2015;6(3):258-64

[5] Albertini M, López-Cerero L, O'Sullivan MG, Chereguini CF, Ballesta S, Ríos V, et al. Assessment of periodontal and opportunistic flora in patients with peri-implantitis. Clinical Oral Implants Research. 2015;26(8):937-941

[6] Williams DW, Jordan RP, Wei XQ, Alves CT, Wise MP, Wilson MJ, Lewis MA. 2013. Interactions of Candida albicans with host epithelial surfaces. J Oral Microbiol. 5:22434.

[7] [vii] Zakaria MN, Takeshita T, Shibata Y, Maeda H, Wada N, Akamine A, Yamashita Y. 2015. Microbial community in persistent apical periodontitis: a 16S rRNA gene clone library analysis. Int Endod J. 48:717–728.

[8] Canabarro A, Valle C, Farias MR, Santos FB, Lazera M, Wanke B. Asso- ciation of subgingival colonization of candida albicans and other yeasts with severity of chronic periodontitis. J Periodontal Res. 2013; 48:428-432.

[9] Cha JK, Lee JS, Kim CS. Surgical therapy of peri-implantitis with local minocycline: a 6-month randomized controlled clinical trial. J Dent Res. 2019;98:288-295. https://doi.org/10.1177/0022034518818479220 34518818479.

[20] De-La-Torre J, Quindos G, Marcos-Arias C, et al. Oral candida coloni- zation in patients with chronic periodontitis. is there any relationship? Rev Iberoam Micol. 2018;35:134-139.

[11] Janus MM, Crielaard W, Volgenant CM, van der Veen MH, Brandt BW, Krom BP. Candida albicans alters the bacterial microbiome of early in vitro oral biofilms. J Oral Microbiol. 2017;9:1270613.

[12] Leonhardt A, Renvert S, Dahlén G. Microbial findings at failing implants. Clin Oral Implants Res 1999;10:339–345.

[13] Xu H, Sobue T, Thompson A, et al. Streptococcal co-infection augments Candida pathogenicity by amplifying the mucosal in ammatory response. Cell Microbiol 2014;16:214–231.

[14] Martin R, Wächtler B, Schaller M, Wilson D, Hube B. Host-pathogen interactions and virulence-associated genes during Candida albicans oral infections. Int J Med Microbiol 2011;301:417–422.

[15] Dongari-Bagtzoglou A, Kashleva H, Villar CC. Bioactive interleukin-1alpha is cytolytically released from Candida albicans-infected oral epithelial cells. Med Mycol 2004;42:531–541.

[16] Elter C, Heuer W, Demling A, Hannig M, Heidenblut T, Bach FW, et al. Supra- and subgingival biofilm formation on implant abutments with different surface characteristics. Int J Oral Maxillofac Implants 2008;23:327–34.

[17] Murray PA, Prakobphol A, Lee T, Hoover CI, Fisher SJ. Adherence of oral

streptococci to salivary glycoproteins. Infect Immun 1992;60:31–8.

[18] Samaranayake LP, McCourtie J, MacFarlane TW. Factors affecting the in-vitro adherence of Candida albicans to acrylic surfaces. Arch Oral Biol 1980;25:611–5.

To post a reply please login or register

La impresión 3D transforma la práctica odontológica

Arturo Arciniega destaca que la impresión 3D permite mejorar la precisión de las restauraciones en rehabilitación oral. Fotos: Cortesía del autor

jue. 23 abril 2026

guardar

La odontología vive una transformación profunda impulsada por la digitalización. Tecnologías como el escaneo intraoral, el diseño CAD y la impresión 3D están redefiniendo la forma en que los clínicos planifican, ejecutan y comunican sus tratamientos.

El Dr. Arturo Arciniega Valverde, especialista en rehabilitación oral, implantología y estética, analiza en este artículo cómo estos avances permiten ofrecer una odontología más precisa, eficiente y personalizada.

La incorporación de flujos de trabajo digitales completos ya no es una tendencia, sino una realidad en expansión. En la práctica clínica diaria, estas herramientas permiten optimizar procesos que antes dependían de múltiples pasos analógicos, reduciendo tiempos y mejorando la predictibilidad de los resultados.

“La odontología digital no es una tendencia, es una evolución natural de la profesión”, afirma el Dr. Arciniega.

 

Con más de quince años de experiencia, el Dr. Arciniega ha integrado la tecnología digital en todas las áreas de su consulta. Desde el escaneo intraoral hasta la fabricación mediante impresión 3D, su enfoque se basa en la creación de flujos de trabajo digitales que mejoran la eficiencia y la personalización de los tratamientos.

 

La impresión 3D en la consulta

Uno de los pilares de esta transformación es la impresión 3D, que permite fabricar dispositivos como guías quirúrgicas, restauraciones provisionales o guardas oclusales de forma rápida y precisa en la propia consulta o clínica. Esta tecnología no solo optimiza el trabajo clínico, sino que también mejora la comunicación con el paciente al facilitar la visualización de los resultados.

En el Dental Summit CoLife 2026, donde será uno de los conferenciantes, el tema de la plática del Dr. Arciniega abordará la integración de la impresión 3D en el flujo clínico diario, particularmente en rehabilitación estética y restauradora.

 

El experto presentará casos clínicos de aplicación diaria, sobre fabricación de guías quirúrgicas, guardas oclusales, restauraciones provisionales y planificación estética.

 

“La presentación se centra en cómo la tecnología digital —escaneo intraoral, diseño CAD y fabricación mediante impresión 3D— permite optimizar procesos clínicos, reducir tiempos de tratamiento y mejorar la precisión en múltiples procedimientos”, explica el experto mexicano.

“También discutiré casos clínicos donde esta tecnología se aplica en la práctica diaria, como guías quirúrgicas para implantes, guardas oclusales, restauraciones provisionales y planificación estética”, agrega.

La tecnología digital facilita tratamientos más eficientes, personalizados y predecibles para los pacientes.

 

La precisión es otro de los grandes beneficios de la odontología digital. La captura de datos tridimensionales con alta exactitud mejora la adaptación de restauraciones y dispositivos, reduciendo errores y aumentando la calidad final de los tratamientos.

Además, la digitalización permite una mayor eficiencia en los tiempos de tratamiento. Muchos procedimientos pueden realizarse en menos citas, lo que beneficia tanto al clínico como al paciente.

La inteligencia artificial comienza a desempeñar un papel relevante. Herramientas basadas en IA ayudan a analizar imágenes diagnósticas, automatizar el diseño de restauraciones y optimizar la planificación implantológica.

 

Mejorar resultados

Aunque estas tecnologías no sustituyen al profesional, sí potencian su criterio clínico, permitiendo tomar decisiones más informadas y mejorar los resultados terapéuticos.

El crecimiento de la odontología digital es especialmente notable en países como México, donde cada vez más clínicas adoptan estas tecnologías para responder a la demanda de tratamientos más estéticos y personalizados.

A pesar de los avances, el Dr. Arciniega insiste en que la clave está en la integración progresiva de estas herramientas, comenzando por aplicaciones prácticas que permitan a los profesionales adaptarse de forma gradual al flujo de trabajo de la odontología digital.

“Mi interés es compartir cómo estas herramientas pueden integrarse de manera práctica en la consulta diaria, no solo en grandes centros o laboratorios, sino también en clínicas privadas”, concluyó el Dr. Arciniega.

___________________________________________________________________________________________________________________________________

El Dental Summit CoLife 2026 se celebrará en Barranquilla, Colombia del 21 al 23 de mayo en el Centro de Convenciones Comfamiliar.

___________________________________________________________________________________________________________________________________

 

 

ARTICULOS RELACIONADOS

_______________________________________________________________________________________________________________________________

DENTAL SUMMIT COLIFE 2026 

La impresión 3D transforma la práctica odontológica

Arturo Arciniega

_______________________________________________________________________________________________________________________________

DENTAL SUMMIT COLIFE 2026 

El camino hacia la pasividad perfecta en implantología

Marinelly Mendes

_______________________________________________________________________________________________________________________________

DENTAL SUMMIT COLIFE 2026

“La odontología digital potencia nuestro criterio clínico”

Alvaro Reuter

_______________________________________________________________________________________________________________________________

DENTAL SUMMIT COLIFE 2026 

Promover la salud oral para reducir la necesidad de restauraciones

Eraldo Pesaressi

_______________________________________________________________________________________________________________________________

DENTAL SUMMIT COLIFE 2026

La odontología digital es el nuevo standard clínico

Ahmad Al-Hassiny 

_______________________________________________________________________________________________________________________________

 

 

ARTICULOS RECOMENDADOS

_______________________________________________________________________________________________________________________________

EXPODENTAL MADRID

La robótica, nueva frontera en cirugía implantológica

Javier de Pisón

VER MAS

_______________________________________________________________________________________________________________________________

EXPODENTAL MADRID

El imparable ímpetu de Expodental Madrid

Javier de Pisón 

VER MAS

_______________________________________________________________________________________________________________________________

EXPODENTAL MADRID

Factores esenciales para adquirir un escáner intraoral 

Enrique Jadad 

VER MAS

_______________________________________________________________________________________________________________________________

REPORTAJE, PARTE 1

"Todo sistema que no tenga medición no es fotogrametría"

Javier de Pisón

VER MAS

_______________________________________________________________________________________________________________________________

REHABILITACION & IMPLANTOLOGIA ORAL

Relevancia de la fotogrametría en casos All-on-X

Enrique Jadad 

VER MAS

_______________________________________________________________________________________________________________________________

REVISION

Los dientes, guardianes silenciosos de nuestra salud

D. Suárez Quintanilla

VER MAS

_______________________________________________________________________________________________________________________________

GESTION DE LA CLINICA

Cómo fijar precios en Odontología 

Juan Carlos Mejía

VER MAS

_______________________________________________________________________________________________________________________________

FORMACION - EDICION ESPECIAL

Nuevas tecnologías en las clínicas universitarias

Varios autores

VER MAS

_______________________________________________________________________________________________________________________________

CIRUGIA ORAL

Todo lo que necesita saber sobre Cirugía Piezoeléctrica

José Rosas Díaz

VER MAS

_______________________________________________________________________________________________________________________________

ESTETICA

La belleza dental a través de la historia 

Javier de Pisón

VER MAS

_______________________________________________________________________________________________________________________________

 

 

 

 

 

 

 

 

 

Temas:
To post a reply please login or register
advertisement
advertisement